Revisão Prática M14

Revisão Prática M14

Patologia Geral

Ciro Octavio de Souza Fernandes (lvl 5)
Unsectioned

Preview this deck

ESTEATOSE UNILOCULAR (UNIVESICULAR) - 7

Front

Star 0%
Star 0%
Star 0%
Star 0%
Star 0%

0.0

0 reviews

5
0
4
0
3
0
2
0
1
0

Active users

1

All-time users

1

Favorites

0

Last updated

2 years ago

Date created

Mar 2, 2024

Cards (33)

Unsectioned

(33 cards)

ESTEATOSE UNILOCULAR (UNIVESICULAR) - 7

Front

-  Arquitetura hepática alterada

- ⇩👀 de capilares sinusoidais, veias centro-lobulares e espaço porta

- Hepatócitos ⇧ de volume e arredondados (Vacuolização)

- Núcleo periférico

- Hepatócitos Adipócitos

- Alguns hepatócitos com Esteatose Multilocular

Back

QUELÓIDE

Front

- Tecido epitelial delgado.

- Tecido conjuntivo subepitelial delgado (derme superficial) com vasos e fibras.

- Tecido conjuntivo (derme profunda) muito espesso e desorganizado (devido a proliferação fibrosa).

- Ausência de glândulas e folículos pilosos

 

 

Back

INFARTO AGUDO DO MIOCÁRDIO

Front

- Área de infarto: 

. + eosinofílica, 

. Cardiomiócitos hipercontraídos, permeados por muitas céls inflamatórias (roxas)

. Apagamento dos Cardiomiócitos

. Apagamento dos Núcleos 

 

- Área normal: 

. Cardiomiócitos justapostos

 

Bandas de Hipercontração - Necrose

 

 

Back

DISTÚRBIOS CIRCULATÓRIOS - 5

Front
  1. Congestão Hepática
  2. Hemorragia Pulmonar
  3. Trombose Arterial
  4. Infarto Hemorrágico Pulmonar
  5. Infarto Agudo do Miocárdio
Back

DISTÚRBIOS DO CRESCIMENTO E DA DIFERENCIAÇÃO CELULAR - 7

Front

1. Hemangioma Cutâneo 

2. Hemangiossarcoma 

3. Carcinona Basocelular 

4. Carcinona Espinocelular 

5. Melanoma 

6. Adenocarcinoma Mamário 

7. Metástase - Osteossarcoma

Back

ADENOCARCINOMA MAMÁRIO

 

Front

- Nódulo com estroma exuberante ora frouxo, ora denso englobando estruturas tubulares (semelhante a glândulas), muitas vezes sem presença de luz

- Infiltrado celular → predomínio de céls mononucleares

- Glândulas com pleomorfismo celular e nuclear (diferenciação variada)

- Atipias estruturais nas glândulas

- Área tumoral sem limites definidos

 

Back

HEMANGIOMA CUTÂNEO

Front

- Tumor benigno que mimetiza vasos sanguíneos de calibres variados.

- Células tumorais são muito semelhantes ao endotélio de vaso sanguíneo normal

 

Back

DEGENERAÇÃO HIALINA - 2

Corpúsculo Negri (Raiva)

Front

- Acúmulo de material protéico e acidófilo no citoplasma (Corpúsculo de Negri/CN)

- CN geralmente nodular e arredondado

 

Back

MELANOMA

Front

- Céls neoplásicas irregulares

- intensidades de acúmulo de melanina (melanócitos)

- Contornos imprecisos.

- Infiltrativo

Back

INFARTO HEMORRÁGICO PULMONAR

Front

REGIÃO DO INFARTO

- Predomínio de Hemorragia intra-alveolar 

- Septos alveolares: com núcleo e sem núcleo

 

Hemácias íntegras = Infarto recente

 

FORA DO INFARTO

- Edema

- Alvéolos aerados preenchidos por exsudato apresentando uma coloração homogênea.

- Vasos repletos de hemácias → HIPEREMIA

Back

METÁSTASE - OSTEOSSARCOMA PULMONAR

Front

Várias metástases com aspectos nodulares, tamanhos variados, distribuídas no pulmão. 

Back

MENINGITE

Front

- Exsudato no espaço subaracnóideo do córtex cerebral

- Predominância de neutrófilos

Back

PIGMENTAÇÕES - 3

HAL

Front

1. Hemossiderose

2. Antracose

3. Lipofuscina

Back

HEMANGIOSSARCOMA (ANGIOSARCOMA)

Front

- Grande quantidade de células tumorais malignas

- Ampla variedade de atipias nucleares e celulares

Back

NECROSE DE COAGULAÇÃO E ESTEATOSE MULTILOCULAR

Front

- Acidofilia citoplasmática

- Cariólise

- Picnose

- Cariorrexe

- Esteatose Multilocular

- Persistência do arcabouço tecidual, apesar da perda das características morfológicas celulares

- Ausência de núcleos e arcabouço celular eosinofílico são características da necrose de coagulação

Back

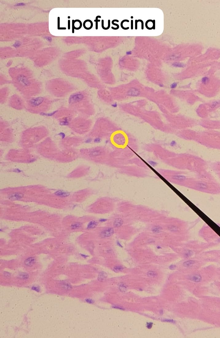
LIPOFUSCINA

Front

- Pigmento castanho dourado perto dos núcleos

- Produto resultante da deficiência da degradação de macromoléculas

- “Idade da célula”

- Células que não se multiplicam muito e têm “vida longa”

Back

INFLAMAÇÃO AGUDA E CRÔNICA - 4

Front
  1. Miocardite Chagásica Crônica
  2. Pancreatite Aguda
  3. Meningite
  4. Abscesso Pulmonar
Back

DEGENERAÇÕES - 3

Front
  1. DEGENERAÇÃO HIDRÓPICA
  2. ESTEATOSE UNILOCULAR (UNIVESICULAR) E MULTILOCULAR (MULTIVESICULAR)
  3. DEGENERAÇÃO HIALINA 
Back

INFARTO DO MIOCÁRDIO CICATRIZADO

Front

Fibras cardíacas normais entremeadas por tecido conjuntivo corado em azul.

Back

ABSCESSO PULMONAR 

Front

ABSCESSO PULMONAR

PARÊNQUIMA:

- Vasos hiperemiados

- Alvéolos aerados com exsudato inflamatório 

 

ÁREA DE NECROSE :

- Região fortemente basófila 

- Perda da arquitetura (necrose)

- Membrana Piogênica

- ⇧ Céls inflamatórias

 

Back

ANTRACOSE

Front

- Macrófagos alveolares com pigmentação enegrecida → depósitos de carbono

- Alvéolos preenchidos por material róseo ao lado de alvéolos aerados

Back

CARACTERÍSTICAS BENIGNAS X MALIGNAS

Front
Back

TROMBOSE ARTERIAL

Front

. R. Avermelhada: hemácias 

. R. amorfas, opacas e menos eosinofílicas: fibrina e plaquetas e leucócitos (ponto roxo).

 

 

- Presença de Degeneração Hidrópica.

- Trombos arteriais geralmente são oclusivos

Back

MIOCARDITE CHAGÁSICA CRÔNICA

Front

- Exsudato inflamatório entre os feixes de fibras cardíacas

 

- Linfócitos

- Macrófagos

Back

CARCINOMA BASOCELULAR

 

Front

Derme: 

- Estruturação das células tumorais organizadas em cordões ou paliça.

- Núcleos hipercromáticos.

- Células basofílicas.

- Tumor Infiltrativo.

Back

HEMOSSIDEROSE

Front

- Arquitetura hepática relat. preservada

- Granulação citoplasmática acastanhada (depósitos de hemossiderina)

 

- Hemossiderose pode ser localizada (hemorragia) ou sistêmica (aumento absorção no intestino)

- Hemocromatose é uma hemossiderose sistêmica devido a defeito genético

Back

DEGENERAÇÃO HIDRÓPICA - 2

Front

1. Células da epiderme aumentadas de volume (baloniformes).
2. Citoplasma mais claro e com aspecto granuloso.

 

Provável causa: 

congestão dos vasos - ⇩ do fluxo sanguíneo = hipóxia.

Back

CARCINOMA ESPINOCELULAR 

CARCINOMA EPIDERMÓIDE

CARCINOMA DE CÉLULAS ESCAMOSAS

Front

CARCINOMA ESPINOCELULAR 

CARCINOMA EPIDERMÓIDE

CARCINOMA DE CÉLULAS ESCAMOSAS

- Lâminas concêntricas de queratina ⇒ PÉROLAS CÓRNEAS

 

- Céls atípicas com anaplasia:

. pleomorfismo (nuclear e celular), 

. hipercromasia

. cromatina grosseira, grumosa com vacuolização nuclear, 

. alterações da relação núcleo/citoplasma e núcleo/nucléolo; 

. mitoses frequentes, algumas atípicas, 

. perda de polarização celular, com diferenciação e maturação irregular, 

. formação da queratina intra-epitelial (pérolas córneas).

 

Back

PANCREATITE AGUDA

Front

- T. Inflamado: eosinófilo (leucócitos e neutrófilos++.)

- T. Normal: basofílico

 

Ácino Pancreático

- Exócrino - basofílico

- Endócrino - Ilhota de Langerhans - eosinófila

Back

Apoptose

Front

- Linfonodo com pontos claros semelhantes a "céu estrelado".

 

 

- Pequenos corpúsculos (Corpos apoptóticos): 

. basófilos, quando contêm grande fragmento nuclear  

. acidófilo, quando formados apenas por fragmento de citoplasma condensado

Back

CONGESTÃO HEPÁTICA

Front

- Veia Central e os Capilares sinusóides repletos de hemácias

- Hepatócito com degeneração hidrópica

 

- Hiperemia passiva 

- Hipóxia

Back

HEMORRAGIA PULMONAR

Front

- Predomínio de hemorragia intra-alveolar. 

- Hemácias íntegras.

 

- Hemácias íntegras = Hemorragia recente, sem inflamação.

Back

ANGIOGÊNESE E REPARO TECIDUAL

 

Front

1. INFARTO DO MIOCÁRDIO CICATRIZADO

2. QUELÓIDE

Back