Section 1

Preview this deck

osteoarthritis

Front

Star 0%
Star 0%
Star 0%
Star 0%
Star 0%

0.0

0 reviews

5
0
4
0
3
0
2
0
1
0

Active users

0

All-time users

0

Favorites

0

Last updated

6 years ago

Date created

Mar 14, 2020

Cards (55)

Section 1

(50 cards)

osteoarthritis

Front

arthritis resulting in degeneration of bones and joints, especially those bearing weight; results in bone rubbing against bone

Back

chondroma

Front

tumor,usually benign that forms in cartilage

Back

exostosis

Front

bony,outward projection from surface of a bone; also called a bone spur

Back

dislocation

Front

occurs when bones in a joint are displaces from normal allignment and ends of bones are no longer in contact

Back

spondylosis

Front

specifically refers to ankylosing of spine, but commonly used in reference to any degenerative condition or vertebral column

Back

paget's disease

Front

fairly common metabolic disease of bone from unknown causes; usually attacks middle-ages and older adults and is characterized by bone destruction and deformity

Back

arthralgia

Front

joint pain

Back

whiplash

Front

cervical muscle and ligament sprain or strain as a result of sudden movement forward and backward of head and neck; can occur as a result of rear-end collision

Back

orthopedics

Front

branch of medicine specializing in diagnosis and treatment of conditiond of musculoskelteon

Back

compression fracture

Front

fracture involving loss of height of a vertebral body; may be result of trauma

Back

osteomalacia

Front

softening of bones caused by deficiency of calcium; thought to be caused by insufficient sunlight and vitamin D in children

Back

crepitation

Front

noise produced by bones or cartilage rubbing together in conditions such as arthritis

Back

orthotics

Front

healthcare profession specializing in making orthopedic appliances such as braces and splints; person skilled in making and adjusting these appliances an orthotist

Back

impacted fracture

Front

fracture in which bone fragments are pushed into each other

Back

closed fracture

Front

fracture in which there is no open skin wound

Back

osteoma

Front

tumor found in bone tissue

Back

prepatellar bursitis

Front

pain and swelling in bursa located between patella and skin; seen often in persons who kneel frequently

Back

bunion

Front

inflamation of bursa of first metatarsophalangeal joint

Back

rheumatology

Front

branch of medicine specializing in diagnosis and treatment of musculoskeletal and autoimmune conditions affecting joints, muscles, and bones

Back

gout

Front

type of arthritis presenting as pain and swelling usually in first metatarsophalangeal joint caused by high uric acid blood level resulting in uric acid and crystals being deposited in soft tissue

Back

transverse fracture

Front

complete fracture that is straight across bone at right angles to long axis of bone

Back

comminuted fracture

Front

fracture in which bone is shattered, splinted or crushed into many small pieces or fragments

Back

oblique fracture

Front

fracture at an angle to a bone

Back

herniated nucleus pulpsus

Front

herniation or protrusion of inter-vertebral disk; may require surgery

Back

spiral fracuture

Front

fracture in which fracture line spirals around shaft of bone; can be caused by twisting injury and is often slower to heal than other types of fractures

Back

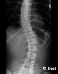
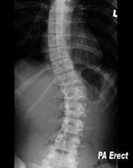
scoliosis

Front

congenital anomaly occurring when vertebrae fails to fully form around spinal cord

Back

osteoporosis

Front

decrease in bone mass producing a thinking and weakening of bone with resulting fractures; bone becomes more porous especially in spine and pelvis

Back

osteogenic sarcoma

Front

most common type of bone cancer, usually begins in osteocytes found at end of long bones

Back

compound fracture

Front

fracture in which bone has broken through the skin

Back

lordosis

Front

abnormal increase in forward curvature of lumbar spine

Back

prosthetics

Front

healthcare profession specializing in making artificial body parts

Back

ewing's sacroma

Front

malignant growth found in shaft of long bones that spreads through peritoneum; removal is treatment of choice because tumor will metastasize or spread to other organs

Back

osteopathy

Front

general term for bone disease

Back

ankylosing spondylitis

Front

inflammatory spinal condition resembling rheumatoid arthritis and results in gradual stiffening and fusion of vertebrae; more common in men than woman

Back

osteomyelitis

Front

inflamation of bone and bone marrow

Back

podiatry

Front

healthcare profession specializing in diagnosis and treatment of disorders of feet and lower legs

Back

synovitis

Front

inflammation of synovial membrane

Back

bursitis

Front

inflamation of bursa

Back

sponyliolusthesis

Front

forward sliding of lumbar vertebrae over vertebra below it

Back

rickets

Front

deficiency in calcium and vitamin D found in early childhood that results in bone deformities, especially bowed legs

Back

stress fracture

Front

slight fracture caused by repetitive low impact forces, like running, rather than single forceful impact

Back

pathological fracture

Front

fracture caused by diseased or weakend bone

Back

callus

Front

mass of bone tissue that forms at fracture site during its healing

Back

ostealgia

Front

bone pain

Back

greenstick fracture

Front

fracture in which there is an incomplete break;one side of bone is broken and another side is bent *common in kids due to their softer and more piable bone structure

Back

kyphosis

Front

abnormal increase in outward curvature of thoracic spine

Back

colles' fracture

Front

common type of wrist fracture

Back

osteochondroma

Front

tumor, usually benign, that consists of both bone and cartilage tissue

Back

myeloma

Front

tumor that forms in bone marrow tissue

Back

chiropractic

Front

healthcare profession concerned with diagnosis and treatment of malalignment conditions of spine and musculoskeltal system and improving health

Back

Section 2

(5 cards)

subluxation

Front

incomplete dislocation; joint alignment is disrupted, but ends of bones remain in contact

Back

systemic lupus erythematosus

Front

chronic inflammatory autoimmune disease of connective tissue affecting many that may include joint pain and arthritis may be mistaken for rheumatoid arthritis

Back

rheumatoid arthritis

Front

chronic form of arthritis with inflammation of joints, swelling, stiffness, pain and changes in cartilage that can result in crippling deformities considered to be autoimmune disease

Back

sprain

Front

damage of ligaments surrounding a joint due to overstretching, but no dislocation of joint or fracture of bone

Back

talipes

Front

congenital deformity causing misalignment of ankle joint and foot

Back