Section 1

Preview this deck

Elongated, raised, firm, pink lesion adjacent to denture boarder; seen in denture wearers; caused by ill fitting denture

Front

Star 0%
Star 0%
Star 0%
Star 0%
Star 0%

0.0

0 reviews

5
0
4
0
3
0
2
0
1
0

Active users

0

All-time users

0

Favorites

0

Last updated

6 years ago

Date created

Mar 14, 2020

Cards (67)

Section 1

(50 cards)

Elongated, raised, firm, pink lesion adjacent to denture boarder; seen in denture wearers; caused by ill fitting denture

Front

Epulis fissuratum (papillary hyperplasia)

Back

Type of cyst: Follicular cyst; developmental origin; associated with the crown of an unerupted or partially erupted tooth; occurs in 3rd molar area or max. canine area affects mandible more than maxilla

Front

Dentigerous

Back

birth mark; extra blood vessels, "strawberry mark"

Front

Hemangioma Congenital: stays and grows Infantile: disappears as person grows

Back

German Measles AKA =

Front

Rubella: Viral infection, red rash on body, erythema of mucosa

Back

Absence of ALL teeth

Front

Anodontia

Back

Most common malignancy in the oral cavity; lower lip, lateral boarders of the tongue, floor of the mouth.

Front

Squamous cell carcinoma

Back

Edema

Front

Swelling

Back

Ectopic sebaceous glands seen on buccal mucosa

Front

Fordyce's granules

Back

Nasopalatine Canal Cyst

Front

Located between max. centrals or around incisive foramen (occlusal radiograph to see)

Back

Elongated filiform papilla caused by broad spectrum antibiotics, and long term steroids and antifungals:

Front

Black hairy tongue

Back

Red, raised spots on palate (or elsewhere). Inflamed orifices of mucous glands:

Front

Petechiae

Back

Type of cyst: found in the area where a tooth should have formed but is missing; odontogenic

Front

Primordial

Back

Type of cyst: occurs where tooth was extracted but cyst was left. (Resides where tooth was extracted)

Front

Residual

Back

BENIGN bullous lesions of mucosa; effects sub-epithelial cells Scarring and blindness results

Front

Pemphigoid

Back

Premalignant lesion that cannot be wiped off; seen in cheek, lip, floor of the mouth, and base of the tongue; can be caused by smokeless tobacco/snuff

Front

Dysplastic Leukoplakia

Back

This type of cyst is also known as a periapical cyst; it occurs on non-vital teeth (infection); teeth with severe decay; pt. will complain of pain when biting down TX = extraction or Root Canal

Front

Radicular

Back

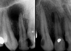
Compound and Complex Odontomas

Front

Compound: Anterior of Max.; "Numerous small teeth" - see picture Complex: Post of Jaws; Mass

Back

Measles AKA =

Front

Rubeola: Koplik's spots (red spots)

Back

benign tumor of epithelium; pedunculated; cauliflower like appearance; found mostly on palatal area/uvula

Front

Papilloma

Back

Rubor/Erythema

Front

Redness

Back

When giving an injection, accidentally hitting the pterygoid plexus with a PSA can cause a blood clot called:

Front

Hematoma

Back

Migratory Glossitis (another name?)

Front

Geographic Tongue (wandering rash) *also common in diabetics

Back

seen with cervical node enlargement, fever, and reddened oral mucosa:

Front

Primary Herpetic gingivostomatitis

Back

Calor

Front

Heat

Back

One large tooth with 2 roots; appears as one less tooth in the arch

Front

Fusion

Back

MALIGNANT bulla Attacks desmosomes and hemidesmosomes

Front

Pemphigus Nickolsy's sign

Back

Type of cyst: found in salivary glands; elevated, translucent, bluish; mucous containing

Front

Mucocele (similar to Ranula, except Ranula is a salivary gland disease that is severe blockage of the duct)

Back

Microdontia is commonly seen on which teeth?

Front

3rd/4th molars or maxillary lateral incisors (#7 & #10) -- "Pegged Laterals" Pierre Robin Syndrome

Back

Hutchinson's incisors, Rhagades, and Mulberry Molars are defects seen in what disease?

Front

Syphilis Primary stage: Chancre Secondary stage: Mucous patches Tertiary stage: Gumma

Back

What is the difference in a Periodontal Abscess and a Periapical Abscess?

Front

Periodontal abscess: Healthy tooth - trauma related Periapical abscess: Non-healthy tooth - severe decay

Back

Benign Hyperkeratosis =

Front

Linea Alba

Back

benign, multilocular tumor found most often in the mandibular area. Soap bubble appearance on radiographs

Front

Ameloblastoma

Back

Connection or fusion of roots after development by cementum only

Front

Concrescence. Cant be seen clinically

Back

Yellow, soft, fatty tumor found on the floor of the mouth and buccal mucosa:

Front

Lipoma

Back

Infectious Mononucleosis is caused by:

Front

Epstein-Barr Virus

Back

Dolor

Front

Pain

Back

Fluid filled lesion with circumscribed border:

Front

Vesicle

Back

Found on the center of the dorsum of the tongue where there is loss of filiform papilla; common in diabetics:

Front

Median Rhomboid

Back

3 stages of Cementoma ("Periapical Cemental Dyplasia")

Front

1. Radiolucent, 2. radiopaque specks, 3. circumscribed area of radiopacity.

Back

What is the unique bacteria found in Aggressive Periodontitis (juvenile perio)?

Front

AA (aggregatibactor Actinomycetemcomitans) - PMN Defect, sparse plaque

Back

Teeth with enlarged pulp chambers causing the view small roots

Front

Taurodontism

Back

Characteristic of Lichen Planus (but don't get confused with lichen planus); White, Lacy lines; seen in lower mandibular posterior area (uncomfortable)

Front

Wickham's Striae

Back

When Henrtwigs epithelial root sheath does not separate from the dentin ____________ is formed. It can be confused with calculus and is found near CEJ and Furcation.

Front

Enamel Pearl

Back

Palatine Cyst

Front

Located in mid palatal area (mirror image) (occlusal radiograph to see)

Back

Disorder associated with Paget's disease that shows excess secondary cementum on roots on radiographs:

Front

Cementum Hyperplasia

Back

Salivary stone in duct (blockage)

Front

Sialolith

Back

Where is the most common area you will see dens in dente (tooth within a tooth)

Front

Maxillary Lateral

Back

Inherited disorder of tooth development: Brittle enamel

Front

Amelogenesis Imperfecta

Back

Type of cyst: affects attached gingiva and alveolar mucosa, is elevated and circumscribed

Front

Gingival

Back

Salivary gland tumors are most commonly found where?

Front

Parotid Gland (pleomorphic adenoma)

Back

Section 2

(17 cards)

Cleidocranial Dystosis

Front

delayed closure of fontanels and cranial sutures. Hypoplasia of clavicles. supernumerary teeth

Back

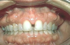
appear notched caused by syphilis

Front

Hutchinson's incisors

Back

Lyme Disease

Front

Seen with rheumatoid arthritis; transmitted by ticks and spirochetes; stiff neck

Back

Multiple sclerosis

Front

Degenerative disease of the CNS; sclerosis of myelin sheath (Schwann's cells); Chronic - goes in and out of remission

Back

small extra bony growths usually seen on the Buccal cortical plate

Front

Exostoses

Back

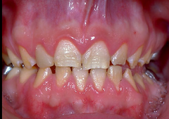
Scarlett Fever

Front

strawberry tongue is associated with what disease?

Back

Mulberry Molars (see image)

Front

Back

Addison's Disease

Front

insufficiency of the adrenal cortex ; yellow to brown pigmentation

Back

irregularly shaped molars with poorly defined cusps also caused by syphilis

Front

Mulberry Molars

Back

1,000 (500 and lower) 3,000-7,000 = healthy patient

Front

An ANC below _________ puts the patient at risk for infection

Back

diffuse not circumscribed and not confined. 2 bacteria ass. w/ = 1. Streppjiogines 2. Staph aureus Severe case treated in hospital with Cephalosporin

Front

Cellulitis

Back

Single tooth dividing or twinning. Has two complete or incomplete crowns that share on root.

Front

gemination

Back

Acromegaly

Front

Seen in Paget's disease, symptoms include: class III malocclusion with diastema, hypercementosis, and osteoporosis. Results from pituitary adenoma or hyperplasia

Back

Twisting or bending or root

Front

dilaceration

Back

Ischemia

Front

The local effect of thrombosis is:

Back

cleidofacial dystosis

Front

Clavicles normal but shoulders can be hunched.

Back

Hutchinson Incisors (see image)

Front

Back