Section 1

Preview this deck

median rhomboid glossitis

Front

Star 0%
Star 0%
Star 0%
Star 0%
Star 0%

0.0

0 reviews

5
0
4
0
3
0
2
0
1
0

Active users

1

All-time users

1

Favorites

0

Last updated

1 year ago

Date created

Mar 1, 2020

Cards (88)

Section 1

(50 cards)

median rhomboid glossitis

Front

-red, atrophic area -midline of tongue - dorsal surface

Back

lichen planus

Front

Back

erosion

Front

Back

mucocele

Front

-lower lip -bluish/pink fluid filled nodule -traumatic severance of salivary gland duct

Back

nicotine stomatitus

Front

Back

gemination

Front

two teeth have developed from a single root - normal count

Back

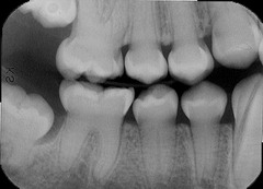
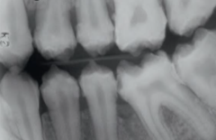
dentinogenesis imperfecta on radiograph

Front

Back

median rhomboid glossitis

Front

Back

angular cheilitis

Front

Back

leukoplakia

Front

Back

NUG/NUP

Front

-punched out, blunted papillae -painful, foul odor, metallic taste -regional lymphadenopathy

Back

nicotinic stomatitis

Front

-scattered red dots -heat leads to reddened hard palate

Back

pleomorphic adenoma

Front

-mixed tumor -associated with parotid gland -hard palate

Back

mucocele

Front

Back

hypodontia

Front

one or several teeth are missing

Back

candida albicans

Front

-fungal infection -local or systemic factors

Back

anodontia

Front

complete absence of teeth

Back

dentinogenesis imperfecta

Front

Back

pyogenic granuloma - pregnancy tumor

Front

-hormonal influence -granulation tissue in response to local irritant

Back

attrition

Front

Back

pseudomembranous candidiases

Front

Back

linea alba

Front

Back

gingival hyperplasia

Front

-inflammation of gingiva -usually medication induced

Back

external resorption

Front

-unknown etiology -braces

Back

geographic tongue

Front

-atrophy of filiform papillae -erythema surrounded by raised white border

Back

abfraction

Front

Back

fusion

Front

two teeth are joined resulting in one large tooth - one tooth less than normal

Back

thrush

Front

-white plaques can wipe off - leave red painful patch -erythematous candidiasis - HIV/AIDS patients

Back

chronic hyperplastic pulpitis - pulp polyp

Front

-inflamed pulp tissue within a tooth that is decayed -painless

Back

abrasion

Front

Back

epulis fissuratum - inflammatory fibrous hyperplasia

Front

-ill fitting denture -around denture flange

Back

peripheral giant cell granuloma

Front

-multinucleated -deep reddish color

Back

internal resorption

Front

-possible pulp injury -pink tooth

Back

papilloma

Front

-caused by HPV -soft palate and uvula -cauliflower like - pedunculated

Back

leukoedema

Front

-milky white lesion on buccal mucosa -disappears when stretched

Back

amelogenesis imperfecta on radiograph

Front

Back

ranula

Front

-floor of mouth -associated with sublingual gland

Back

pemphigus vulgaris

Front

-separation of epidermis by rubbing of skin - nikolsky's sign -verruca vulgaris - wart caused by HPV

Back

hairy tongue

Front

-elongation of filiform papillae

Back

ranula

Front

Back

papillary hyperplasia of palate - pseudopapillomatosis

Front

-lesion under maxillary denture -denture never removed

Back

fibroma

Front

-most common tumor of OC -pink, smooth firm -hyperplastic tissue in response to irritation

Back

oligodontia

Front

congenitally missing 6 teeth or more

Back

where is the most common site for a sialolithiasis?

Front

wharton's duct

Back

amelogenesis imperfecta

Front

Back

leukoplakia

Front

-white plaque on oral mucosa -CANNOT wipe off

Back

leukoedema

Front

Back

aphthous ulcer

Front

-well circumscribed with erythematous halo -unattached mucosa - lip

Back

hemangioma

Front

-developmental vascular lesion -tongue

Back

melanotic macule

Front

flat, brown freckle

Back

Section 2

(38 cards)

condensing osteitis - focal sclerosing osteomyelitis

Front

-radiopaque -apex of inflamed or necrotic tooth

Back

kaposi's sarcoma - human herpes virus 8

Front

-associated with AIDS -bluish purple, white macules or plaques

Back

sjogren syndrome

Front

-autoimmune disease -xerostomia and dry eyes -burning, discomfort, may lose papillae

Back

HSV-1

Front

-oral -initial infection - primary herpetic gingivostomatitis -painful, red, multiple vesicles -acyclovir or antiviral creams

Back

where is SCC most often seen?

Front

lateral surfaces of tongue or floor of mouth

Back

odontogenic keratocyst - OKC

Front

-basal cell carcinoma -unilocular or multilocular radiolucency -posterior of mandible -recurrence is high - benign

Back

herpes labialis

Front

found on lip border

Back

epstein barr virus - EBV

Front

-fatigue, malaise, palatal petechaie -oral hairy leukoplakia -causative organism is herpes virus

Back

what is the most common type of skin cancer?

Front

basal cell carinoma

Back

nasopalatine duct cyst - incisive canal

Front

-midline of maxillary anterior -heart shaped radiolucency

Back

what is the most dangerous form of skin cancer?

Front

melanoma

Back

lateral periodontal cyst

Front

-between roots of mandibular premolars -prevalent in men - "men have bigger lats"

Back

cytomegalovirus - CMV

Front

-immunocompromised -oral mucosal ulcerations -HSV-5

Back

lichen planus

Front

-fine lace like white lines -wickham's striae

Back

erythema multiforme

Front

-stevens johnson syndrome -bull's eye lesion -acute ulcerative condition of skin and mucous membranes

Back

hand food and mouth disease - coxsackie virus

Front

-ulcerations or vesicles of feet, mouth, hands -flu like symptoms -young children

Back

periapical cemental dysplasia - periapical cemento-osseous dysplasia

Front

-mixed radiopaque/lucent at apices -mandibular anterior -AA women

Back

scurvy

Front

-vitamin C deficiency -"out to sea" -4 H's - hemorrhagic signs, hyperkeratosis, hematologic abnormalities, hypochondriasis

Back

globulomaxillary cyst

Front

-between maxillary lateral and canine -unilocular radiolucency

Back

varicella zoster virus - VZV

Front

-chickenpox - erythema, vesicles, pustules, crusted lesions -shingles - painful unilateral erythema, vesicles, ulcers, only adults

Back

cleidocranial dysostosis - dysplasia

Front

-clavicles not formed -associated with supernumerary teeth

Back

gardner's syndrome

Front

-premalignant colon polyps -multiple osteomas and tumors -associated with supernumerary teeth

Back

herpangina - coxsackie virus

Front

-vesicles or ulcers of posterior OC or soft palate -flu like symptoms

Back

HSV-2

Front

-genital -HSV-1 can infect genital area

Back

recurrent intraoral HSV

Front

found on hard palate and attached gingiva

Back

herpetic whitlow

Front

recurrent and painful HSV infection of the fingers

Back

florid cemento-osseous dysplasia

Front

-mixed radiopaque/lucent -dense masses of cementum or bone

Back

myasthenia gravis - MG

Front

-long term neuromuscular disease -drooping of eye or corner of mouth

Back

cementoma

Front

-mixed radiopaque/lucent -apex of vital teeth -mandibular anterior -AA women

Back

lupus erythematosis

Front

-autoimmune disorder -butterfly rash -mucosa and skin ulcerations

Back

nasolabial cyst - nasolacrimal

Front

-over maxillary canine region -may lift ala of nose

Back

ameloblastoma

Front

-multilocular radiolucency -"soap bubble" or "honey combed" -posterior mandible

Back

dentigerous cyst - follicular

Front

-around crown of impacted tooth -unilocular radiolucency

Back

what is the most common type of oral cancer?

Front

squamous cell carcinoma

Back

paget's disease

Front

-alkaline phosphatase is elevated -larger and thicker bones -"cotton wool" radiopacities

Back

radicular cyst - periapical

Front

-apices of necrotic tooth -well circumscribed unilocular radiolucency

Back

odontoma

Front

-most common - benign -primarily enamel and dentin tissue

Back

primordial cyst

Front

-replaces tooth -unilocular radiolucency

Back