Section 1

Preview this deck

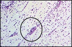
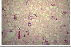
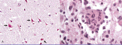
TDP-43 staining

Front

Star 0%
Star 0%
Star 0%
Star 0%
Star 0%

0.0

0 reviews

5
0
4
0
3
0
2
0
1
0

Active users

0

All-time users

0

Favorites

0

Last updated

6 years ago

Date created

Mar 1, 2020

Cards (76)

Section 1

(50 cards)

TDP-43 staining

Front

normally stains only nucleus, but in ALS, stains cytoplasm as well!

Back

microglial cells

Front

extremely small glial cells that remove cellular debris from injured or dead cells derived from bone marrow can for "microglial nodules" or transform into histiocytes/Gitter Cells

Back

Lipohyalinosis and microatheromas

Front

destructive vessel lesion characterized by loss of nml aterial architecture, mural foam cells; accum of lipid-laden MO w/ in itimal layer of vessel . Assoc with lacunar infarct.

Back

AVMs microscopically

Front

thick walled arteries of various SM proliferation, collagen deposition, and duplication of internal elastic membrane thick walled-"arteriolized" veins Gliotic CNS tissue b/w abnormal blood vessels

Back

Berry aneurysm microscopic findings

Front

may contain thrombotic material fibrocalciferous plaque material neck of sac has hyalinized collagenous tissue

Back

CAA microscopically

Front

leptomeningeal and cortical areas will show accumulations of eosinophilic material will see loss of vascular smooth muscle and double barreled contour apple-green bifringence of amyloid under polarizing illumination or protein immunohistochemistry

Back

vascular dementia gross findings

Front

cerebral atrophy and ex vacuo hydrocephalus from reduction in white matter multifocal lacunar infarcts

Back

Lacunar infarcts

Front

hypertension affects deep penetrating arteries/arterioles supplying basal ganglia, deep white matter, and brainstem locations (in desc. order of freq.): lenticular nucleus, thalamus, internal capsule, deep white matter, caudate nucleus, pons single or multiple, small, cavitary infarcts <15mm

Back

Most vulnerable regions of hypoperfusion/hypoxia in brain

Front

Hippocampal pyramidal cells of Sommer's sector (CA1) Cerebellar purkinje fibers Pyramidal neurons in cerebral cortex layers

Back

interstitial edema in brain

Front

due to obstructive hydrocephalus

Back

Adrenoleukodystrophy microscopically

Front

will see prominant perivascular collections of lymphocytes and macrophages - macrophages appear very dark red and "blobby" as they are ingesting lots of fat will also appear foamy and some will appear in multilayered-spiral appearance

Back

Myelin stain

Front

stains myelin a deep blue (white matter!)

Back

Methanol poisoning

Front

Symptoms: Severe metabolic acidosis, retinal damage (blindness) will see extensive hemorrhage in putamen - extensive necrosis can be seen microscopically as well

Back

ALS clinical features

Front

evidence of LMN degeneration by clinical, electryphysiological, or neuropathological exam evidence of UMN degen by clinical exam progression of the motor syndrome within one region to the next through history or examination

Back

Neuronal responses to injury

Front

Central Chromatolysis: swollen neuron that has lost Nissl substance - seen w/axotomy Eosinophilic Change: "Red Neuron" change seen w/hypoxic-ischemic injury

Back

vascular dementia microscopic findings

Front

extensive atherosclerotic or hypertensive microvascular changes hyaline arteriolosclerosis lipohyalinesclerosis

Back

cytotoxic edema

Front

secondary to neuronal, glial, or endothelial cell injury failure of cellular Na-k pump leads to swelling

Back

ALS pathogenesis

Front

TDP-43 is central to pathogenesis - pathological accumulation of this protein - form inclusion bodies Familial forms show mutations in TARDBP gene - other forms have irregular proteins that interact with TDP-43, leading to accumulation link w/FTLD-TDP

Back

Non-thrombotic emboli

Front

tumor, fat, air

Back

AVMs

Front

arterial venous malformation, occurs when arteries or veins come together improperly and are weaker When one of these forms, the probability of a hemorrhage increases by 1% every year affect MCA > ACA > PCA

Back

Astrocytes

Front

Provide structural and metabolic support for neurons react to injury make the BBB regulate ion/neurotransmitter concentration fibrillary and gemistocytic morphologies

Back

amyotrophic lateral sclerosis (ALS)

Front

Degeneration upper and lower motor neurons - substantia nigra, spinocerebellar tracts, dorsal columns and autonomic system all affected sporadic (90-95%) and familial forms

Back

Watershed infarcts

Front

at the border between major cerebral circulations (typically MCA and ACA -> linear para-sagittal infarct) -> vasospasm, associated with hypotension, association with hypoxic-ischemic encephalopathy -> wedge shaped

Back

Thiamine deficiencies

Front

Beriberi and Wernicke's encephalopathy seen in chronic alcoholics and developing countries

Back

time course changes w/ischemia: microscopic

Front

24 hours-2 weeks: - tissue necrosis - influx of macrophages, vascular proliferation, reactive gliosis - reactive astrocytes can easily be seen repair: after 2 weeks - removal of necrotic tissue and loss of normal architecture w/gliosis

Back

Adrenoleukodystrophy grossly

Front

myelin loss in posterior lobes also damage corpus collosum will spare the U-fibers

Back

Time course changes in gross appearance of brain during ischemia

Front

diffuse brain swelling with widened gyri and narrow sulci necrosis of vulnerable regions laminar necrosis of cerebral cortex

Back

vasogenic edema

Front

swelling caused by inflammatory response in the subarachnoid space causing increased vascular permeability

Back

Wallerian degeneration

Front

degeneration of the distal portion of the axon and myelin sheath

Back

PML microscopic appearance

Front

foamy macrophages bizarre astrocytes very sparse lymphocytes due to immune suppression! will also see enlarged oligodendroglial nuclei with ground glass appearance

Back

Transtentorial herniation

Front

medial aspect of temporal lobe is compressed against the free edge of the tentorium and herniates underneath it will see CNIII compromise w/pupillary dilation and impaired ocular movements on side of herniation can compromise PCA

Back

vascular dementia

Front

disease caused by numerous small cerebral vascular accidents symptoms: gait abnormalities, dementia, pseudobulbar signs, will see multiple bilateral, gray matter and white matter infarcts

Back

pseudolaminar necrosis

Front

neuronal loss and gliosis is uneven

Back

Cerebral amyloid angiopathy (CAA)

Front

Beta-amyloid deposition in walls of cortical and leptomeningial arteries - predisposes patients to lobar hemorrhages accounts for 12-15% of all cerebral hemorrhages in elderly

Back

Wernicke's encephalopathy

Front

Gaze palsies Ataxia (respond to thiamine administration) Korsakoff's psychosis - retrograde and anterograde amnesia - confabulation - irreversible normally see lesions in mammilary bodies - also see in PAG and thalamus microscopically, can see hemosiderin-laden macrophages due to the microhemorrhages - will also see breakdown of myelin - spongy and gliotic as well

Back

MS microscopic pathology

Front

will see loss of staining of myelin (luxophilic) will see lots of lymphocytes and macrophages - macrophages will be "foamy" at edges of plaques Will see variation in disease activities in plaques - some parts will by hypercellular and others will be hypocellular shadow plaques will appear intermediate staining b/w myelination and demyelination inactive plaques show as hypocellular areas w/loss of oligodendrocytes, sharply defined margins, and axonal loss (shortened and less dense)

Back

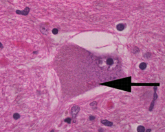
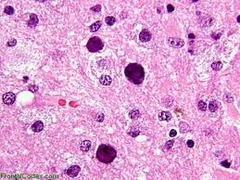
ALS microscopic findings

Front

Loss of motor neurons and astrocytosis in the brain, spinal cord, and motor cortex bunina bodies: small, eosinophilic inclusions, 2-5 micrometers in diameter that are in small beaded chains - sparse in most ALS cases Neuronal, hyaline inclusion bodies that are large and homogenous, often displacing NIssl substance many other inclusions that can be seen when staining for ubiquitin or nucleoporin 62 Resemble LEWY bodies (Parkinson's), so you must identify which stain you are using!

Back

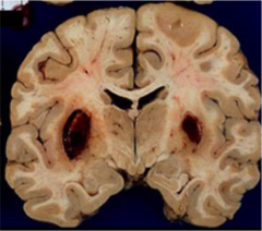
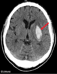
Acute hypertensive hemorrhage

Front

distribution of lenticulostriate branches of MCA perforating arterioles to the pons of basilar artery most often affects deep cerebral nuclei (putamen, thalamus, caudate nucleus)

Back

Tonsillar herniation

Front

Displacement of the cerebellar tonsils through the foramen magnum can compromise respiratory and cardiac centers medulla

Back

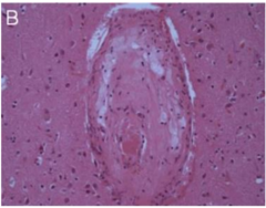
cavernous angioma

Front

abnormal collection of thin-walled vascular channels w/out intervening brain parenchyma - no intervening brain tissue young adults most commonly affected - 1/4 of patients are children 1/3 of patients present w/focal epilepsy

Back

chronic changes to gross brain

Front

cavitation of infarcted areas due to liquifactive necrosis residual reactive astrocytes form a gliotic scar at infarct edges

Back

PML gross appearance

Front

will often see confluent discoloration of gray foci in cortex and white matter - generally unilateral - can see necrosis

Back

Intracellular inclusion bodies

Front

can be intranuclear on cytoplasmic reflect underlying disease process

Back

Cerebral amyloid angiopathy clinical features

Front

depends on size of hemorrhage - range from massive stroke to progressive dementia parietal lobe involvement can result in contralateral "neglect" syndrome commonly found in individuals w/alzheimer-like neurofibrillary pathology

Back

Spontaneous intracranial hemorrhage

Front

Hypertension most important cause! peak incidence in over 60 years and more common in men

Back

Subfalcine (cingulate) herniation

Front

Asymmetric expansion of a cerebral hemisphere displaces the cingulate gyrus under the edge of the falx (a large fold of the dura mater). These herniations can be associated with compression of the anterior cerebral artery).

Back

microscopic changes with ischemia

Front

no apparent changes in first 12 hours 12-24 hrs: - eosinophilic changes in neurons ("red neurons") - similar thing happens to glial cells - influx of neutrophils after 24 hours

Back

ALS gross findings

Front

anterior nerve roots appear shrunken and gray when compared to the posterior afferent roots may show spinal cord atrophy frontal and temporal lobe atrophy in patients w/dementia

Back

MS gross appearance

Front

plaques in (what should be white matter) appear darkish brown/black - often in optic nerves and adjacent to ventricles can see loss of stained myelin (should be blue) tends to prefer posterior column of spinal cord

Back

Shower embolization

Front

Fat embolism after fracture

Back

Section 2

(26 cards)

CJD gross and microscopic changes

Front

gross: little to some atrophy (due to rapid onset) microscopic: - neuronal loss - gliosis - spongiform change - amyloid (kuru) plaques in 10% of cases

Back

what is in the matrix compartment of striatum?

Front

smooth neurons with AChE

Back

Huntington disease gross features

Front

decreased brain weight progressive atrophy of the striatum (caudate and putamen) atrophy of the frontal lobe cortex widening of cerebral sulci

Back

what is in the patch compartment of striatum?

Front

GABA neurons! spiny neurons

Back

viral encephalitis microscopic features

Front

perivascular chronic inflammation macroglial nodules neuronalphasia (dying neuron surrounded by cuff of lymphocytes)

Back

CJD clinical manifestations

Front

rapidly progressive dementia - "startle myoclonus* - visual or cerebellar disturbances - pyrimidal dysfunction - akinetic mutism characteristic EEG changes elevations of protein 14-3-3

Back

abscesses microscopically

Front

start as tight clusters of neutrophils, then progress to centers of necrosis with fibrous capsules w/granulation tissue and gliosis

Back

Brain abscess predisposing conditions

Front

acute bacterial endocarditis congenital HD w/right to left shunt COPD recent dental work intra-abdominal and UTI signs and symptoms depend on locations

Back

Parkinson's Gross pathology?

Front

pallor of substantia nigra and locus ceruleus slight cortical atrophy and ventricular dilatation

Back

herpes encephalitis microscopic features

Front

red neurons neuronophagia intranuclear Cowdry A inclusions

Back

meningitis microscopically

Front

neutrophils in subarachnoid space and perivascular (Virchow-Robin) space venulitis - neutrophils in leptomeningeal veins

Back

Dementia with Lewy Bodies

Front

dementia involving visual hallucinations, cognitive fluctuations, and atypical movements - can represent advanced stage of PD will see diffuse cortical atrophy and ventricular dilation pallor of substantia nigra and locus ceruleus

Back

Meningitis vs. Encephalitis w/ function

Front

meningitis: normal mental function encephalitis: - altered mental status - motor and sensory deficits

Back

Primary vs postinfectious encephalitis

Front

Primary: neuronal involvement and can see inclusions, viral particles on EM, and can culture postinfectious (acute disseminated encephalomyelitis) - neurons are spared - no virus detected - type III immune mediated

Back

Meningitis clinical signs

Front

Nuchal rigidity Kernig sign Brudzinski sign jolt accentuation of headache

Back

Dementia w/Lewy Bodies microscopically

Front

cortical and brain stem Lewy bodies Microvacuolation in temporal cortex Alz. Disease changes may be present Lewy bodies are alpha-synuclein, ubiquitin, and neurofilament immunoreactive

Back

What does CAG code for?

Front

Glutamine-more triplets, more disfigured the protein

Back

Arboviral encephalitis

Front

general microscopic features of viral encephalitis Gray matter involvement - WNV prefers gray in brain stem and spinal cord no viral inclusions need serologic or molecular testing to confirm

Back

Creuzfeldt-Jakob Disease

Front

Rare transmissible form of dementia caused by infective proteins called prions (spongiform encephalopathies) sporadic, iatrogenic, and familial forms - sporadic: 50-70 years old - familial: AD, changes to PRNP gene - contamination during surgery reportedly transmitted via corneas & growth hormone obtained from cadavers polymorphism at codon 129 of PRNP gene of chromosome 20p

Back

Huntington disease microscopic features

Front

neuronal loss and astrocytosis of caudate and putamen GABAnergic medium spiny neurons preferentially destroyed - other neurons spared till later in disease thought that loss of neurons into lateral pallidum is explanation will see diffuse inclusions and huntingtin accumulation

Back

Cortical Lewy bodies

Front

homogenous eosinophilic structures that have ill defined edges lack and obvious halo like in brainstem

Back

Molecular pathogenesis of Parkinson's

Front

Substantia Nigra-Pars compacta - protein accumulation - mitochondrial abnormalities - neuronal loss alpha-synuclein is the major component of Lewy bodies - MUST BE PRESENT TO MAKE DIAGNOSIS aggregates are toxic to neurons and can spread like prions - medulla -> brainstem -> limbic structures -> neocortex

Back

HSV encephalitis

Front

immunocompetent: aseptic meningitis neonates: encephalitis immunosuppressed: acute necrotizing encephalitis fever, seizures, mental status changes rapidly progressive to coma and death

Back

aseptic meningitis

Front

viral meningitis will see scanty infiltrate of lymphocytes in meninges and perivascular space surrounding some superficial cortical blood vessels

Back

HSV encephalitis gross features

Front

bilateral, asymmetric hemorrhagic necrosis in medial and inferior temporal lobes, insula, and cyngulate gyri, and orbitofrontal involvement

Back

Meningitis gross pathology

Front

brain surrounded by puss - first visible at base, then follow meningeal vessels ventriculitis-puss in ventricles

Back