Section 1

Preview this deck

Screening for Cervical Carcinoma

Front

Star 0%
Star 0%
Star 0%
Star 0%
Star 0%

0.0

0 reviews

5
0
4
0
3
0
2
0
1
0

Active users

0

All-time users

0

Favorites

0

Last updated

6 years ago

Date created

Mar 14, 2020

Cards (534)

Section 1

(50 cards)

Screening for Cervical Carcinoma

Front

Pap Smear = secondary prevention: catch dysplasia before it develops into carcinoma by scraping cells and analyzing under microscope *most successful screening test (reduced incidence in US) *does NOT screen for adenocarcinoma Schiller test (iodine/potassium iodide): dysplastic epithelium does not stain because of lack of glycogen

Back

Dysgerminoma

Front

Malignant GERM CELL (most common malignant) tumor from OOCYTE characterized by clear cytoplasm w/ central nuclei *Often before age 30 *Male equivalent is seminoma Tumor markers: LDH, hCG

Back

Endometrial Hyperplasia

Front

Hyperplasia of GLANDS RELATIVE TO STROMA from unopposed estrogen Presentation: bleeding Risk factors: - postmenopausal woman - obesity (higher aromatase) - anovulation (no progresterone) - nulliparity - HRT - PCOS - granulosa cell tumor Histology: - CELLULAR ATYPIA (biggest risk factor for development of carcinoma) - simple vs. complex (not that important risk factor)

Back

Lichen Sclerosis vs. Lichen Simplex Chronicus

Front

Sclerosis: thinning ("parchment-like") of epidermis and fibrosis of dermis w/ leukoplakia - post-menopausal women - INCREASED risk of carcinoma (non-HPV) Simplex Chronicus (squamous hyperplasia): thick ("leathery") vulvar skin due to hyperplasia from chronic irritation w/ leukoplakia - NO INCREASED risk of carcinoma

Back

Acute Pancreatitis

Front

Autodigestion of pancreas by pancreatic enzymes (trypsin is first enzyme activated --> activation of other enzymes) --> inflammation, hemorrhage, necrosis (liquefactive and fat necrosis of peripancreatic fat) Causes (I GET SMASHED) - Idiopathic - Gallstones (obstruct pancreatic drainage) - Ethanol (spasm in sphincter of oddi) - Trauma - Scorpion sting - Mumps - Autoimmune - Steroids - HyperCa (activate trypsin) or HyperTG - Endoscopic Retrograde CholangioPancreatography (ERCP) - Drugs (sulfa, PIs, NRTIs etc.) Clinical: - epigastric pain that radiates to back - N/V - periumbilical (cullen) and flank (grey-turner) hemorrhage - enzyme elevation (lipase-later/longer/specific, and amylase) - hypocalcemia (used up in fat necrosis saponification) = poor prognosis - Ranson's criteria determine prognosis Complications - shock (from hemorrhage) - renal failure (from shock) - pseudocyst (fibrous granulation tissue that walls off the necrosis, not epithelium hence pseudo) - abscess (E Coli) - DIC (activated coag factors) - ARDS (enzymes damage alveolar-capillary interface)

Back

Clear Cell Adenocarcinoma

Front

Malignant proliferation of glands, characterized by clear cytoplasm Rare complication of DES-associated adenosis (persistence of columnar epithelium in upper 2/3 of vaginal canal)

Back

Cervical Transformation Zone

Front

Exocervix (vaginal side): stratified squamous Endocervix (uterus side): simple columnar This junction is where cervical pathology occurs

Back

Gynecologic Tumor Epidemiology

Front

Incidence (US) endometrial>ovarian>cervical Incidence (worldwide) cervical>endometrial>ovarian (HPV screen/vaccine not as common) Prognosis ovarian>endometrial>cervical (deeper is worse since less symptoms)

Back

Preeclampsia

Front

Triad (arises in 3rd trimester): HTN (pregnancy-onset), proteinuria, edema Due to abnormality of maternal/fetal vascular (spiral arteries) interface --> endothelial damage, vasoconstriction, ischemia Eclampsia = preeclampsia + seizures HELLP = preeclampsia + thrombotic microangiopathy of liver - Hemolysis (w/ schistocytes) - Elevated Liver enzymes - Low Platelets

Back

Condyloma

Front

Warty neoplasm on vulva Causes: - HPV 6/11 --> condyloma acuminatum (koilocytic change but low risk progression to carcinoma) - 2ndary syphillis --> condyloma latum

Back

Complications of DES

Front

DES Mom (user): - breast carcinoma DES Daughter (in utero): - Adenosis --> Clear Cell Carcinoma - SM tubal proliferation --> ectopic pregnancy or infertility

Back

Granulosa-Theca Cell Tumor

Front

Malignant STROMAL tumor of granulosa and theca cells that produces estrogen --> signs of excess estrogen: - precocious puberty (young) - menorrhagia/metrorrhagia (reproductive) - endometrial hyperplasia/bleeding (post-menopausal) *Call-Exner bodies

Back

Endometrial Carcinoma

Front

Malignant proliferation of endometrial glands (most common INVASIVE carcinoma) Presentation: postmenopausal bleeding Hyperplastic pathway (75%) - estrogen exposure --> hyperplasia --> invasive carcinoma - histology: endometrioid (normal) - ptEn tumor suppressor gene - 60 yr old woman Sporadic pathway (25%) - no precursor, but atrophic endometrium - histology: serous (papillary w/ pSammoma bodies) - p53 mutation --> aggressive - 70 yr old woman

Back

Bartholin Cyst

Front

Dilation of Bartholin gland (posterolateral vulva) due to obstruction --> inflammation --> potential abscess Presentation: - unilateral, painful, cystic lesion - woman of reproductive age

Back

Extramammary Paget Disease

Front

Malignant epithelial cells in epidermis (carcinoma in situ w/ no underlying carcinoma) Presentation: - erythematous - itchy - ulcerated Stains: - PAS+ (P for Paget) - Keratin+ (epithelial) - S100- (melanoma is S100+ve)

Back

Gallstones

Front

Precipitation of cholesterol or bilirubin in bile --> stones in gallbladder caused by: - increased cholesterol/bilirubin - decreased bile acid - stasis Cholesterol (90%) - yellow, radiolucent - fat, fertile (female, estrogen), forty, fibrates...also Crohns/cirrhosis, native american Bilirubin (10%) - black, radio-opaque - extravascular hemolysis (increase heme breakdown) - biliary tract infection (ascaris, clonorchis) Complications: - biliary colic (contraction against lodged stone by meal-induced CCK) - cholecystitis (inflammation) - ascending cholangitis (infection due to obstruction caused by enteric gram -ve...jaundice, fever, RUQ pain) - gallstone ileus (block small bowel after GB>SI fistula) - gallbladder cancer (gallstones --> inflammation --> porcelain --> cancer)

Back

Childhood Infections

Front

Measles (Rubeola) - paramyxovirus (-ssRNA w/ envelope) - 4Cs (cough, coryza, Koplik-spots, conjunctivitis) - rash (starts on head and goes down) - SSPE (immunocompromised) - Warthin-Finkeldey giant cell Rubella (German 3-day measles) - togavirus (+ssRNA w/ envelope) - milder measles (rash/myalgias) - toRches (PDA, pulmonary artery hypoplasia, MR, deafness, glaucoma/cataracts) Mumps - paramyxovirus (-ssRNA w/ envelope) - parotid, testis, pancreas - aseptic meningitis VZV chickenpox - herpes (dsDNA w/ envelope) - rash trunk to extremities --> macule --> vesicle --> rupture --> crust - recurrence = shingles Fifth/B19 (erythema infectiosum) - parvo (dsDNA naked) - slapped cheek rash - hydrops fetalis HHV-6 (Sixth, roseola) - high febrile seizures - later rash (trunk to extremities) Whooping cough (bordetella pertussis) - gram negative coccobaccilus - catarrhal (rhinorrhea, conjunctivitis, fever) - paroxysmal (inspiratory whoop) Diptheria (corynebacterium) - gram +ve bacilli - pseudomembrane pharyngitis - cervical lymphadenopathy (bulls neck) - myocarditis RSV - paramyxovirus (-ssRNA w/ envelope) - winter - bronchiolitis <2 yr olds Epiglottitis (haemophilus) Otitis media - middle ear fluid - <3 yrs - strep pneumo, haemophilus, moraxella

Back

Choriocarcinoma

Front

Malignant GERM CELL tumor from PLACENTA characterized by cytotrophoblasts/synctiotrophoblast (but absent villi) *Hemorrhagic spread (exception to carcinoma - trophoblasts try to find blood) *Poor response to chemo Tumor markers: beta-HCG

Back

Biliary Colic

Front

Waxing and waning RUQ pain due to contraction (CCK-mediated after meal) against a lodged gallstone...pressure relived when stone passed

Back

Endometriosis

Front

Endometrial GLANDS AND STROMA that are found outside of the endometrial cavity (appear as "brown specks") Presentation: - dysmenorrhea (pain w/ menses) - infertility (esp if tubal) - pain w/ defecation (sometimes) - dyspareunia Cause: - retrograde menstruation and implantation - metaplasia - transportation of endometrial tissue via lymphatics Common sites: - ovary (chocolate cysts) - uterine ligaments (pelvic pain) - pouch of douglas (pain w/ defecation) - fallopian tubes (infertility) - myometrium (adenomyosis - due to hyperplasia of basal layer of endometrium)

Back

Asherman Syndrome

Front

Secondary amenorrhea (lack of menses) due to loss of basalis (the regenerative layer) --> scarring Cause: aggressive dilation and curettage (D&C)

Back

Chronic Pancreatitis

Front

From continued bouts of acute pancreatitis --> inflammation, fibrosis, atrophy, and pseudocyst formation Most common causes (not stones): - alcohol (adults) - cystic fibrosis (children) Clinical: - epigastric pain that radiates to back - PANCREATIC INSUFFICIENCY --> malabsorption (steatorrhea, DAKE deficiency) + DM type 1 (destruction of islets) - amylase/lipase are NOT good markers - dystrophic calcifications ("chain of lakes") - increased risk for pancreatic carcinoma

Back

Ovarian Tumor Overview

Front

Surface epithelium (coelomic) - 70% (most common) - Types: serous/mucus cystadenoma/adenocarcinoma; endometrioid (from ovarian endometriosis); brenner (bladder-like) - Symptoms: vague pain, urinary compression - Can cause omental caking - CA-125 tumor-marker Germ Cell Tumors (from the egg) - 15% (2nd most common) - Mimics tissue subtype - Types: fetal (cystic teratoma, embryonal carcinoma); oocytes (dysgerminoma); yolk sac (endodermal sinus); placenta (choricocarcinoma) Sex-Cord Stroma (from CT - fibroblasts, granulosa, theca) - Types: granulosa-theca, sertoli-leydig, fibroma Metastasis - Kruckenberg (bilateral mucinous, signet ring cells, from GI/gastric) - Pseudomyxoma peritonei (mucus in peritoneum, due to appendix or ovary tumor)

Back

HPV

Front

Human Papilloma Virus (HPV) is a sexually transmitted virus that infects the lower genital tract (vulva, vagina, and especially cervix at the transformation zone) Risk factors: multiple sex partners, smoking, early intercourse, HIV Types: - low-risk: 6/11 - high-risk: 16/18 and 31/33 Mechanism: - Infection --> dysplasia (CIN) --> invasive carcinoma - high risk HPV creates gene products that destroy tumor suppressors and increase the risk for dysplasia (E6 destroys p53, E7 destroys Rb)

Back

Vulvar Carcinoma

Front

Malignant, arising from SQUAMOUS epithelium...very RARE Presentation: leukoplakia (must be distinguished from lichen) HPV type - HPV 16/18 - arises from vulvular intraepithelial neoplasia (VIN) = dysplasia (high N:C, hyper chromatic, pleomorphic, mitotic) - often reproductive age Non-HPV type - arising from lichen sclerosis - elderly women

Back

Cholecystitis

Front

Inflammation/THICKENING of the gallbladder wall caused by gallstones (GB distention --> vessel compression --> ischemia) or infection (primary or secondary to stones), or primary ischemia (systemic problem) Acute: - RUQ pain that radiates to right scapula (w/ murphys sign) - N/V - fever w/ elevated WBC - elevated alkaline phosphatase Chronic: long-standing cholelithiasis (always) - vague RUQ pain - rokitanksy-aschoff sinuses (invagination of mucosa) - complication: porcelain GB (shrunken, hard, calcified)

Back

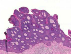
Cervical Intraepithelial Neoplasia (CIN)

Front

Dysplastic growth at the cervical transformation zone caused by high-risk HPV that destroy tumors suppressors (p53/Rb) Characteristics: - koilocytic change - nuclear atypia - increased mitosis Grading (higher grade is less likely to reverse): - CIN 1 (mild - 1/3 of epithelium) - CIN 2 (moderate - 2/3 of epithelium) - CIN 3 (severe - most of epithelium) *all of the above are REVERSIBLE - Carcinoma in situ (all of epithelium) *NON-REVERSIBLE

Back

HPV Vaccine

Front

Quadrivalent: 6/11 (condylomas) and 16/18 (CIN/carcinoma) - Protection only lasts for 5 years - Pap smear still necessary (doesn't work against 31/33)

Back

Vaginal Structure

Front

Embryology: - lower 1/3 derived from urogenital sinus (normally non-keratinized stratified squamous epithelium) - upper 2/3 derived from mullerian duct (normally columnar epithelium) Lower 1/3 (non-keratinized stratified squamous) usually replaces upper 2/3 so that they whole vagina is same epithelial type *Adenosis = PERSISTENCE of columnar epithelium in upper 2/3 of vaginal canal (often due to DES exposure in utero)

Back

Vaginal Carcinoma

Front

Malignant carcinoma from SQUAMOUS epithelium, related to high-risk (16/18) HPV (precursor is VAIN) Often secondary to cervical squamous cell carcinoma Spread: - lower 1/3 --> inguinal nodes - upper 2/3 --> iliac nodes

Back

Hydatidiform Moles

Front

Abnormal conception characterized by swollen/edematous villi w/ proliferation of trophoblast (its all DADS FAULT) Findings: - absent heart sounds - "snowstorm" appearance on ultrasound - larger than normal uterus - higher b-hCG than expected - passage of "grape-like" masses in 2nd trimester (if no prenatal care) Associations: - early preeclampsia - theca-lutein cysts - hyperemesis gravidarum - hyperthyroidism - later choriocarcinoma Complete - completely dad (2 sperm + empty ovum = 46) - complete mole (no fetal tissue) - completely edematous (all villi are edematous) - complete proliferation (diffuse proliferation) - HIGHER (b-hCG and risk for choriocarcinoma) Partial - part dad/part mum (2 sperm + 1 egg = 69) - part fetal (fetal tissue present) - part edematous (some villi) - part proliferation (focal) - LOWER (b-hCG and low risk for choriocarcinoma) Treatment: - dilation and curettage (complete removal) - methotrexate

Back

Hormonal Effects on Endometrium

Front

Estrogen: hyperplasia --> carcinoma Progesterone: atrophy (protective against carcinoma)

Back

Mature Cystic Teratoma (Dermoid Cyst)

Front

Benign GERM CELL (most common benign) cystic tumor from MATURE FETAL tissue of 2 or 3 embryologic layers (ex. hair, skin/sebum, teeth) *Struma ovarii = thyroid tissue (can cause hyperthyroid) *If immature (often neuroectoderm) can be malignant

Back

Endometrial Polyp

Front

Hyperplastic, well-circumscribed protrusion of endometrium Presentation: - abnormal bleeding - painless *Can be caused by tamoxifen (SERM that is agonist at uterus)

Back

Pancreatic Carcinoma

Front

Adenocarcinoma arising from pancreatic ducts that has a late presentation (poor prognosis) Risk factors: - elderly - SMOKING - chronic pancreatitis Clinical - epigastric pain - weight loss (cachexia) - head (tumor mass effect): obstructive jaundice w/ palpable gallbladder (courvesiers) - tail: mets, type 1 DM (islet knockout) - migratory thrombophelbitis (swelling/tender/erythema in extremities - trousseau) Tumor marker: CA 19-9 Prognosis: BAD (<6 months average)

Back

Endodermal Sinus (Yolk Sac) Tumor

Front

Malignant GERM CELL (most common in KIDS) tumor from YOLK SAC *Schiller-Duval bodies (glomerular-like) Tumor markers: AFP

Back

Cervical Carcinoma

Front

Invasive carcinoma that arises from CIN-dysplasia Presentation: - middle aged woman - vaginal bleeding (esp post-coital) Risk factors: - high-risk HPV - smoking - immunodeficiency (cannot destroy virus) Complication: lateral invasion to ureters or anterior invasion to bladder --> hydronephrosis and post-renal failure --> death

Back

Sertoli-Leydig Cell Tumor

Front

Sertoli cells (form tubules) and Leydig cells (Reinke crystals) --> androgen (hirsutism and virilization)

Back

Fibroma

Front

Benign STROMAL tumor of ovary characterized by proliferation of spindle-shaped fibroblasts *Meigs syndrome: pleural effusion and ascites DUE to fibroma (stops after removal)

Back

Leiomyoma (Uterine Fibroid)

Front

Benign proliferations (often multiple) of myometrial smooth muscle, related to estrogen exposure (enlarge during pregnancy, premenopausal, decrease in menopause) *does not progress to sarcoma *very common (20-30% of women) Characteristics: - MULTIPLE - well-defined - WHITE wholly mass Presentation: - usually asymptomatic - can causes bleeding/infertility *Leiomyosarcoma: - de novo (not from leiomyoma) - single - necrotic/hemorrhagic - postmenopausal

Back

Serous/Mucinous Surface Epithelial Ovarian Tumors

Front

Serous (watery, 80%) vs. mucinous (mucus, 20%) based on what fills the cyst Benign (cystadenoma): single cysts, flat lining, premenopausal vs. Malignant (cystadenocarcinoma): complex, thick/shaggy lining, postmenopausal vs. Borderline: between benign/malignant *BRCA1 mutation --> risk of serous carcinoma of the ovary and fallopian tubes

Back

Sepsis

Front

A constellation of clinical/lab findings that lead to suspicion of a serious infection Manifestations: - septic splenitis: enlarged, soft, neutrophils - bacteremia (or fungi, virus, parasite) - fever/hypothermia - WBCs - hypotension --> septic shock - DIC (coagulation AND fibrinolysis activated by cytokines --> bleeding and ischemia) - end organ damage (ARDS, ARF, liver, HF) Causes: - UTI (Ecoli, Pseudomona, Klebsiella, Enterobacter, Proteus) - Pneumonia (strep pneumo, haemophilus, staph-super, klebsiella, legionella, mycoplasma, chlamydia) - Meningitis (group B strep, Ecoli, listeria, neisseria, haemophilus, strep pneumo) - Cellulitis (pyogenes) - Peritonitis (after ascites, GI, GU infections)

Back

Exotic Infections

Front

Treponema (not sexually transmitted) - Yaws: papillomatous nodules followed by gummas (necrotic lesions on bones/nasopharynx) - Pinta: pruritic papules that change color and eventually lose color - Bejel: endemic syphillis (no tertiary cardio) Borrelia (Lyme disease) - Ixodes tick (attached for 24 hours) - NE/midwest - 1 (local): erythema migrants (bullseye) - 2 (systemic): facial nerve palsy, arthritis, cardiac block RMSF (rickettsia ricketsii) - Dermacentor tick - SE states - initial: fever, myalgia, headache - later: rash (starts on wrist/ankles, includes palms/soles) Q fever (coxiella) - blood/tissues/placentas of infected farm animals...aerosolized spores - NO rash...pneumonia, culture -ve endocarditis, hepatitis Typhus (rickettsia prowazekii) - epidemic/louse-borne (passed in feces after blood meal) - rash (trunk to extremities) - myalgia/pneumonia/encephalitis Plaque (yersinia pestis) - rat flea vector - bipolar gram-ve coccobaccili - bubonic, septicemic, pneumonic

Back

Uterine Anatomy

Front

Endometrium - mucosal lining - hormone-sensitive - grows/proliferative (estrogen), prepares/secretory (progesterone), shedding/menses Myometrium - smooth muscle

Back

Endometritis

Front

Bacterial infection of endometrium Acute: - caused by retained product of conception - symptoms: fever, pain, bleeding Chronic: - lymphocytes, PLASMA cells - causes: retained product of conception, PID, IUD, TB - symptoms: pain, bleeding, INFERTILITY

Back

Embryonal Rhabdomyosarcoma

Front

Malignant mesenchymal proliferation of immature skeletal muscle (rhabdomyoBLAST w/ cross-striations = desmin/myogenin +ve) Presentation: - child (<5 yrs) - "grape-like" mass (sarcoma botryoides) that bleeds and protrudes from vagina/penis

Back

Placental Anomalies

Front

Previa (preview of placenta) - overlies cervical os - 3rd trimester bleeding - may require C-section Abruption - separation of placenta prior to delivery - risk factors: trauma, smoking/cocaine, HTN/preeclampsia - common cause of still birth - presentation: 3rd trimester bleeding, fetal insufficiency, possible DIC/shock for mother Accreta/increta/percreta - implantation in myometrium with 3 types distinguishable by depth (Accreta=Attaches; INcreta=INvades; PERcreta=PERforates) - difficult delivery - postpartum bleeding

Back

Ectopic Pregnancy

Front

Implantation of fertilized ovum at a site other than uterine wall (most common is fallopian tube) often due to scarring (ex. endometriosis, PID) Presentation: - lower quadrant abdominal pain (must rule out) - can rupture --> hemorrhage

Back

PolyCystic Ovarian Syndrome (PCOS)

Front

Syndrome of multiple ovarian cysts from degenerated follicles --> bilateral enlarged cystic ovaries Increased LH (LH:FSH = 2:1) --> increased androgens (hirsutism) --> increased estrogens --> increased estrogen (estrone) --> follicular degeneration AND decreased FSH (feedback) Presentation: - obesity (high adipose aromatase --> peripheral androgen conversion to estrogens) - hirsutism (increased androgens) - infertility (anovulation) - insulin resistance --> Type 2 DM in 10-15 years - increased risk for endometrial carcinoma (high unopposed estrogen) Treatment: - weight reduction - OCP - clomiphene (ovulation) - ketoconazole, spironolactone

Back

Misc Ovarian Cysts

Front

Common cysts that can cause pain and enlarged ovaries Luteal Cyst: hemorrhage into corpus luteum Follicular Cyst: degeneration of a follicle prior to rupture/ovulation

Back

Section 2

(50 cards)

Esophagitis

Front

Inflammation of the esophagus that can be caused by a number of things: - GERD (#1) - eosinophillic esophagitis (eosinophil infiltration due to atopy) - HSV ("punched-out" ulcers) - CMV (immunosuppressed, linear) - candida (immunosuppressed, white plaque) - ingestion of toxic substances

Back

Celiac Disease

Front

Immune-mediated damage of small bowel due to gluten (gliadin) exposure Pathogenesis - gliadin is deaminated by tTG (tissue transglutaminase) - deaminated gliadin is presented on MHC II on APC cells - TH mediate damage Risk factors: - DQ2/8 Findings: - chronic diarrhea, bloating, (failure to thrive in children) - associations: dermatitis herpetiformis (IgA deposition in dermal papillae) - duodenal biopsy shows villi flattening, crypt hyperplasia, and lymphocytes in epithelium Labs: - IgA Ab vs. endomysium, tTg, gliadin - some can be IgA deficient (use IgG instead) *increased risk of malignancy (small bowel carcinoma, T-cell lymphoma)

Back

Chronic Gastritis

Front

Chronic INFLAMMATION of stomach mucosal from 2 etiologies: autoimmune vs. H. pylori Both associated with intestinal metaplasia (mucus cells that aren't normally in stomach) and increased risk for gastric cancer H. pylori (most common - 90%) - ureases/proteases weaken the mucosal defenses - most often ANTRAL (2nd - body) - increased risk for ulceration, gastric adenocarcinoma, and MALT lymphoma Autoimmune - T-cell mediated damage (Type 4 HS) --> Ab (side-effect of damage) - Ab vs. parietal cells (achlorhydria) in body/fundus - G-cell hyperplasia in response to low acid - Ab vs. IF (megaloblastic/pernicious anemia due to low B12 absorption - most common cause of deficiency)

Back

Mumps

Front

Bilateral inflamed parotitis Also: orchitis, pancreatitis, aseptic meningitis *Elevated serum AMYLASE (either pancreas or salivary glands) *Elevated serum LIPASE (just pancreas)

Back

Mucoepidermoid Carcinoma

Front

Malignant (most common malignant) tumor of MUCINOUS and SQUAMOUS cells that is usually in the parotid and can involve the facial nerve --> palsy/pain

Back

Duodenal Atresia

Front

Failure of the duodenum to canalize --> - polyhydramnios (failure to swallow fully) - billious vomiting (after bile enters) - distention of stomach and duodenum --> "double-bouble" *Associated with Downs

Back

Ulcerative Colitis

Front

- ULCER (just mucosa/submucosa) - COLON (starts in rectum and works it way up CONTINUOUSLY through colon to cecum) --> LLQ pain with BLOODY diarrhea - Microscopic: crypt abscess (neutrophils) - Gross: pseudo polyps (the part that isn't eroded appears raised) and loss of haustra (flat pipe) - Complications: toxic megaCOLON, carcinoma - Associations: p-ANCA, primary sclerosing cholangitis - Smoking PROTECTS

Back

Ménétrier Disease

Front

Hyperplastic gastric folds (rugae) that look like brain gyri --> excess mucus production and decreased acid production

Back

Aphthous Ulcer (Canker Sore)

Front

Painful, superficial ulcer on oral mucosa...grayish base with erythema *often in relation to stress, and recur Behcet Syndrome (immune complex vasculitis): recurrent aphthous ulcers, genital ulcer, uveitis

Back

Sialadenitis

Front

Inflammation of salivary gland, often due to an obstructing stone (sialolisthiasis) Causes: - stone - bacterial (S aureus) - viral (mumps) - autoimmune (Sjogrens)

Back

Hemochromatosis

Front

Disorder of excess body iron that deposits in tissues (liver, pancreas, heart, joins) and causes damage via free radicals Pathogenesis: - Primary: AR defect (HFE gene, C282Y) in iron regulation in enterocyte --> all iron that is absorbed goes into blood - Secondary: chronic transfusions Clinical (late adulthood) - micronodular cirrhosis (liver) - secondary DM (pancreas) - bronze skin (skin) - cardiac arrhythmia and dilated cardiomyopathy (heart) - arthropathy (joints) - gonadal atrophy (pituitary) - increased risk of HCC Labs: - increased ferritin (storage), increase serum iron, increase transferrin saturation, decreased TIBC - Prussian blue stain Treatment: - phlebotomy - iron chelators (...ferox)

Back

Hepatocellular Carcinoma

Front

Malignant tumor of hepatocytes Risk factors: - chronic hepatitis (B/C) - cirrhosis (alcoholic, hemochromatosis, wilsons) - aspergillus aflatoxins (grains) Complications: - Budd-Chiari (hepatic vein obstruction --> blood backup w/ hepatomegaly and ascites) Tumor marker: AFP

Back

Carcinoid Tumor

Front

Low-grade neuroendocrine (chromogrannin +ve) malignancy that normally occurs in the small bowel...it is asymptomatic (liver detoxifies 5-HT to 5-HIAA) until it metastasizes and doesn't dump into liver via portal system Pathology: small, well-demarcated polyps Presentation (after mets): - bronchospasm/wheezing - flushing - diarrhea - TIPS (tricuspid insufficiency, pulmonic stenosis) *no LH lesions due to MOA that metabolizes it

Back

Alcoholic Liver Disease

Front

3 patterns of injury: Fatty liver: - accumulation of fat - heavy, greasy liver - reversible Alcoholic hepatitis: - long-term (5 years) - acetaldehyde damages hepatocytes (inflammation and necrosis) - mallory body (damaged keratin filaments) - AST>ALT - painful hepatomegaly Alcoholic cirrhosis: - complication of chronic alcohol-induced liver damage - most common cause of cirrhosis in West

Back

Squamous Cell Carcinoma

Front

Malignant neoplasm of squamous cells in oral mucosa (often in floor of mouth and detected late)...95% of oral cavity cancer Risk factors: tobacco, alcohol Precursors (squamous cell dysplasia): - leukoplakia (white plaque that cannot be scraped away) - erythoplakia (red plaque = vascularized leukoplakia) <more likely to be malignant

Back

Peptic Ulcer Disease

Front

SOLITARY ULCER in proximal duodenum (90%) or distal stomach (10%) Duodenal: - H pylori (95%) or ZES (5%) - DECREASED pain w/ meals --> weight gain (eat to feel better) - hypertrophy of mucus-producing brunners glands - complications include posterior perforation --> pancreatitis or gastroduodenal artery bleeding - NO RISK of carcinoma Gastric: - H pylori (70%) or NSAIDS - GREATER pain w/ meals --> weight loss (feel better to starve) - complications include hemorrhage of left gastric artery (most often on lesser curvature) - increased risk of carcinoma (biopsy to check if irregular and malignant)

Back

Lactose Intolerance

Front

Decreased lactose metabolism due to lactase enzyme decreased function 1) Congenital (rare, young child) 2) Acquired (brush-border loss, older child) 3) Infection (temporary) Presentation: - abdominal distention - diarrhea

Back

Acute Gastritis

Front

Simple ACIDIC damage to stomach mucosa (either increased production or decreased protection/defenses) Some defenses that can fail: - mucin layer - bicarb secretion - blood supply (take acid away) Mechanisms of injury: - shock (ICU patient) --> decreased blood flow --> mucosal ischemia --> stress ulcers - severe burn (curling ulcer) --> hypovolemia --> mucosal ischemia (reduced blood supply) - NSAIDS (decreased PG --> increased acid and decreased mucus/bicarb/bloodflow) - alcohol (damage mucosa making it susceptible to acid damage) - chemo (knock out mucosal stem cells) - increased ICP (cushing ulcer) --> vagal stimulation --> ACh-induced acid Results - superficial inflammation - erosion (epithelial layer) - ulcer (mucosal layer)

Back

Meckel Diverticulum

Front

TRUE diverticulum (all three layers out pouch) due to persistence of VITELLINE (omphalomesenteric) DUCT Rules of 2s - 2% of people (most common GI tract anomaly) - 2 inches long - 2 feet from IC valve - first 2 years of life - 2 tissue types (gastric/pancreatic) Presentation: bleeding, volvulus (twisting on mesentery --> ischemia), intussusception (telescoping due to traction/inflammation that causes "dragging") - mimics appendicitis with RLQ pain

Back

Mucocele

Front

A dome shaped mucosal swelling due to: - escape of saliva in CT from trauma to gland (extravasation) - obstruction and subsequent dilation and back up of ducts (retention) *Most common non-neoplastic lesion of salivary glands

Back

Tracheoesophageal Fistula

Front

Congenital defect of an abnormal connection between trachea and esophagus...most common is proximal atresia with distal fistula Presentation: - vomiting - polyhydramnios (can't swallow as much fluid) - aspiration (food from stomach back into trachea --> lungs) - abdominal distention (air into intestines)

Back

Warthin Tumor

Front

Benign cystic tumor with ABUNDANT LYMPHOCYTES AND GERMINAL CENTERS (cystic lymph tissue)...2nd most common tumor of salivary glands (usually in parotid)

Back

Achalasia

Front

Disordered relaxation/motility of LES (lower sphincter) --> constant closure --> food-buildup ("bird-beak" on barium swallow) Pathogenesis: damaged ganglion cells in myenteric/auerbach (between muscle layers in muscularis) plexus --> disordered relaxation/motility Causes: - idiopathic (most common) - 2ndary to Chagas disease (megaesophagus) Clinical - dysphagia (SOLIDS AND LIQUIDS) - putrid breath (rotting food) - LES pressure high on manometry (can't relax) - increased risk for squamous cell carcinoma

Back

Oral Thrush

Front

Superficial white deposit (cheese-like) on the oral mucosa/tongue that CAN be scraped off...in immunocompromised patients by candida

Back

HBV Serology

Front

Concepts: - Surface Ag is the key marker of INFECTION (acute if <6 months, chronic if >6 months) - IgM vs. core is the definition of ACUTE - Sign of victory is IgG vs. surface Components: - HBsAg: SURFACE antigen (indicates current infection, whether acute or chronic) - Anti-HBsAg: indicates immunity, whether recovered or immunized - HBcAg: CORE antigen (not used) - Anti-HBcAg: IgM indicates acute or recent (window); IgG indicates chronic or recovered - HBeAg: ENVELOPE antigen that is secretes w/ DNA (indicates replication and transmissibility, acute of infective chronic) - Anti-HBeAg: indicates low transmissibility, but has or had infection Acute: - sAg (current infection) - eAg (transmissible) - IgM to core (acute) Immunized: IgG to surface only Recovered: IgG to surface, core, and envelope Chronic: - sAg (current infection) - eAg (transmissible) OR Anti-HBe (non-transmissible) depending on infectivity - IgG to core (chronic) Window: ONLY IgM to core (recent) but no IgG to surface yet

Back

Appendicitis

Front

Acute inflammation of the appendix, often due to fecalith (adults) or lymphoid hyperplasia (children) Presentation: - diffuse pain --> mcburneys point pain Complications: - rupture --> peritonitis - abscess DDX: diverticulitis, ectopic pregnancy, meckels diverticulum

Back

Reye Syndrome

Front

Fulminant liver failure and encephalopathy in children who take aspirin (only indicated in kawasaki) with a viral illness...aspirin metabolites decreased beta-ox of FA by inhibiting mitochondrial enzymes Presentation: - fatty liver - hypoglycemia --> coma - elevated liver enzymes - N/V - hepatomegaly

Back

Esophageal Motility Disorders

Front

Achalasia: incomplete relaxation of LES --> high resting tone Diffuse esophageal spasm: uncoordinated, spastic SM contraction --> "corkscrew" Scleroderma: sclerosis and atrophy of SM --> decreased LES tone

Back

Gastroesophageal Reflux Disease (GERD)

Front

LES not as tight as it should be --> acid reflux from stomach into esophagus --> stress-induced metaplasia (non-keratinizing squamous --> non-ciliated columnar w/ goblet = Barretts esophagus) Risk factors: - alcohol - tobacoo - obesity - high fats - caffeine - hiatal hernia Clinical - "heartburn" (mimics MI chest pain) - asthma (adult-onset) due to irritated airway - damage to teeth enamel - ulceration/stricture/barretts esophagus *barretts esophagus has an increased risk for adenocarcinoma

Back

Liver Tumors

Front

Hepatic Adenoma: - benign - exogenous hormones: OCP/anabolic steroids, regresses after cessation - increases during pregnancy - risk of rupture and hemorrhage Focal Nodular Hyperplasia: - localized hyperplastic nodule - central stellate scar Angiosarcoma: - malignant - endothelial - carcinogens: arsenic, vinyl chloride (PVC) Cavernous hemangioma: benign Mets: - colon, pancreas (portal) - breast, lung (common) - "bumps" (multiple nodules) on free edge

Back

Wilson Disease

Front

AR defect in ATP-mediated copper transport system (ATP7B gene, chr 13) resulting in low copper into ceruloplasmin (transporter) and low excretion in bile --> build up in hepatocytes and build up in tissues --> free radical (OH) damage Clinical - cirrhosis (liver) - neurologic/psychiatric (brain) - kayser-fleisher rings (cornea - deschemets) LabsL - increased urinary copper - decreased ceruloplasmin Treatment: chelation with penicillamine

Back

Zenker Diverticulum

Front

A false diverticulum from outpouching of mucosa through a defect in muscular wall, normally ABOVE UES (junction of esophagus and pharynx) Presentation: - dysphagia - halitosis (bad breath - due to rotting food)

Back

Pleomorphic Adenoma

Front

Benign tumor of MULTIPLE (pleomorphic - biphasic) tissues: stroma (ex. cartilage) and epithelial (ex. glands)...most common tumor of salivary gland (usually in parotid) Presentation: - mobile - painless - no invasion (facial nerve near parotid is fine) - well-circumscribed BUT irregular margins (hard to excise well --> recurrence) *Can progress to carcinoma - 10% (would invade facial nerve --> palsy)

Back

Whipple Disease

Front

Systemic tissue damage due to Tropheryma whippelii infection Pathogenesis: macrophages cannot digest bacteria and become foamy (PAS+) --> compression of lacteals in lamina propria --> malabsorption of chylomicrons and steatorrhea Symptoms (CAN): - cardiac valves - arthritis - neurologic

Back

Gallbladder Carcinoma

Front

Adenocarcinoma from the glandular epithelium of the gallbladder Risk factors: - gallstones - porcelain GB Cholecystitis in elderly woman Poor prognosis

Back

Hepatitis Viruses

Front

A (RNA picorna) - fecal-oral - only acute - travelers - mild symptoms - IgM = active - IgG = past infection or immunization (for travel) E (RNA hepe) - fecal-oral - only acute - waterborne - mild symptoms, but fulminant (massive necrosis) in pregnant women - IgM = active - IgG = past (no immunization) B (DNA hepadna) - birth, sex, blood (IVD) - 20% are chronic - risk of HCC D (RNA delta) - defective (depends on HBV) - superinfection worse (after) - coinfection not bad (same time) C (RNA flavi) - sex, blood (IVD) - 80% are chronic - risk of HCC - HCV-RNA test

Back

Cirrhosis

Front

End-stage liver damage characterized by fibrotic bands (mediated by TGF-beta from stellate cells that are beneath the endothelial cells of sinusoids) and regenerative nodules Clinical - Portal HTN --> ascites, splenomegaly (w/ low platelets due to sequestration), portosystemic shunts (varices, hemorrhoids, caput medusa), hepatorenal syndrome - Decreased detox function of ammonia --> mental status change (encephalopathy), asterixis, coma - Decreased estrogen removal --> gynecomastia, spider angioma, palmar erythema - Decreased bilirubin conjugation --> jaundice - Decreased protein synthesis --> hypoalbuminemia (edema) and hypoclotting-factors (coagulopathy) - increased risk of HCC Caused by: - alcoholic liver disease - micronodular (60-70%) - chronic viral hepatitis (post-necrotic - various nodule sizes) (B/C - 10%) - hematochromatosis - micronodular (5%) - biliary disease - mono lobular micro nodular (5%)

Back

Biliary Disease

Front

Primary Biliary Cirrhosis - autoimmune granulomatous destruction of INTRAhepatic bile ducts - lymphocytes - anti-MITOCHONDRIAL Ab - high ALP - women, 40 yrs old, w/ other autoimmune disease Secondary Biliary Cirrhosis - extrahepatic obstruction --> bile backup and damage of duct - high ALP w/ -ve AMA Primary Sclerosing Cholangitis - inflammation and fibrosis (onion-skin) of INTRA and EXTRAhepatic bile ducts - "chain of pearls" as some regions appear dilated between fibrosed areas - associated with UC and p-ANCA (man w/ IBD) - increased risk of cholangiocarcinoma Presentation of biliary disease: - pruritus (bile), jaundice (bilirubin) dark urine (CB), light-colored stool (no bile in gut), hepatosplenomegaly (back-up) - both can lead to later cirrhosis - labs: increased CB, ALP

Back

Tropical Sprue

Front

Similar to celiac, but: - responds to abx - arises after infectious diarrhea - damage is more in jejunum/ileum vs. duodenum --> nutritional deficiency - after people visit tropical place

Back

Esophageal Varices

Front

Dilated submucosal vein in lower esophagus, secondary to portal HTN (portosystemic shunt backup --> left gastric vein backup --> dilated esophageal veins) Complication - normally asymptomatic - PAINLESS (vs. Mallory-Weiss) hematemesis *common in cirrhosis (seen in alcoholic liver disease)...most common cause of cirrhotic death

Back

Mesenteric Ischemia

Front

Lack of blood supply to the small intestine via arteries that run along a mesentery Transmural = thrombosis (A-fib, DVT w/ patent FO) or mesenteric venous thrombosis Mucosal: hypotension, atherosclerosis (angina-like)

Back

Hepatitis

Front

Inflammation of liver parenchyma due to hepatitis viruses, other viruses (EBV/CMV), alcohol (alcoholic hepatitis), toxins (amanita phalloides, CCl4), and drugs (acetaminophen, INH, halothane) Acute (<6 months) presentation: - mixed jaundice - dark urine (CB is water soluble) - fever, malaise, nausea - ALT>AST Chronic (>6 months) presentation: - same symptoms with continued inflammation - risk of progression to cirrhosis and hepatocellular carcinoma Pathology - patchy necrosis (more in zone 3) - lobular disarray - lymphocytes (viral)

Back

Salivary Gland Basics

Front

3 major glands: parotid, submandibular, sublingual Many minor glands - Parotid = serous --> Stensen duct (maxillary 2nd molar) - Submandibular = mixed --> Wharton duct (floor of mouth) - Sublingual = mucus --> many ducts

Back

Jaundice

Front

Abnormal yellowing of skin/sclera due to excess bilirubin deposition that is normally due to increased production or decreased excretion Increased UNCONJUGATED (UGT capacity): - hemolysis (overwhelm UGT capacity) - physiologic newborn (deceased UGT capacity) - Gilbert (low UGT-mild) and Crigler-Najjar (absent UGT-fatal) Increased CONJUGATED (transport/obstruction after UGT): - Dubin-Johnson (transport out of liver, black liver) - Rotor (transport out of liver, normal liver) - Obstructive (gallstones, cancer, parasites, biliary tract disease) --> other findings from damage (ALP) and bile is blood Increased MIXED: Hepatitis - unconjugated: destroy hepatocytes (less UGT capacity) - conjugated: destroy bile ductules (CB leaks out)

Back

Esophageal Web

Front

Protrusion of the mucosa (most superficial layer) into the lumen of the esophagus (upper) --> dysphagia (obstruction of big solids) Association - increased risk for squamous cell carcinoma - Plummer-Vinson syndrome: esophageal web, iron deficiency anemia, beefy-red tongue (atrophic glossitis - you can see the underlying blood vessels)

Back

Gastric Carcinoma

Front

Malignant adenocarcinoma of surface epithelial cells sub classified as intestinal or diffuse Intestinal - large, irregular ulcer - lesser curvature - risk factors: intestinal metaplasia (chronic gastritis, nitrosamines (smoked foods), smoking Diffuse - signet rings cells that infiltrate stomach wall --> desmoplasia (thickening/leathery = linitis plastica) - NO risk factor associations Presentation: - presents late --> poor prognosis - weight loss - abdominal pain - anemia - early satiety Early spread (lymph nodes) or liver (portal) - virchow: left supraclavicular - krukenberg: bilateral ovaries, mucin-secreting signet ring cells (diffuse-type) - sister mary joseph: subQ periumbilical

Back

Normal Heme Metabolism

Front

1) RBC consumed by RES macrophages --> hemoglobin --> heme + globin 2) Heme --> Fe + protoporphyrin 3) Protoporphyrin --> UCB 4) Albumin carries UCB to liver 5) Liver conjugates (UCB --> CB) by uridine glucuronyl transferase (UGT) in hepatocytes 6) CB is transferred to bile and released 7) Intestinal flora convert CB --> urobillinogen --> stercobilin (brown stool) and urobilin (yellow urine after being reabsorbed and secreted)

Back

Esophageal Carcinoma

Front

Malignant carcinoma of the esophagus that is separated into adeno (lower 1/3) vs. squamous (upper 2/3) Adenocarcinoma (glands) - most common in west - lower 1/3 - related to GERD, barrett metaplasia, obesity, smoking Squamous cell carcinoma - most common worldwide - upper 2/3 (often middle) - risk factors (irritants): alcohol, tobacco, hot liquids, achalasia (food buildup), esophageal web (food buildup), toxic ingestion (ex. lye), esophagitis Clinical - late presentation --> poor prognosis - progressive dysphagia - weight loss, pain, hematemesis - may invade laryngeal nerve --> hoarseness/cough Lymph spread - upper 1/3: cervical - middle 1/3: mediastinal - lower 1/3: celiac

Back

Oral Hairy Leukoplakia

Front

White "fluffy" patches on the LATERAL tongue that CANNOT be scraped off...look similar to oral thrush (candidiasis) but due to EBV infection (EBV-induced hyperplasia) in HIV patients

Back

Mallory-Weiss Syndrome

Front

Longitudinal lacerations at GEJ (gastro-esophageal) caused by severe vomiting (acid toxic to epithelium) Presentation: - common in alcoholic, bulimics --> PAINFUL hematemesis Complication: Boerhaave syndrome (boer through esophagus --> air in mediastinum and subcutaneous air-bubbles/emphysema)

Back

Section 3

(50 cards)

Changes in Blood Circulation at Birth

Front

Prior to birth there are 3 shunts: - Ductus venosus: blood from placenta enters via umbilical vein and skips the liver into IVC - Foramen ovale: the high O2 blood from placenta --> umbilical vein --> ductus venosus --> IVC --> heart is shunted from R>L heart and into systemic circulation - Ductus arteriosus: the low O2 from the SVC --> RA --> RV --> pulmonary artery --> PDA (due to high pulmonary resistance) --> systemic circulation At birth: - pulmonary resistance decreases (lose thick medial layer) - shunts close - LV hypertrophies

Back

Right-to-Left Shunts

Front

Right to Left Shunts (all begin with T) are the causes for early/newborn cyanosis (requires surgery or PDA maintaining) 1: Truncus arteriosus (1 vessel) - single artery from PA/Aorta (lack of aorticopulmonary septum formation) - accompanied by VSD (both ventricles feed into this artery) 2: TGA (2 vessels) - aorta from RV, pulmonary artery from LV (separate systems) - not compatible w/ life w/o a shunt 3: Tricuspid atresia (3 = tri) - absence of tricuspid --> ASD (and VSD to get some blood to lungs) - RA hypoplastic 4: Tetralogy of fallot (4 = tetra) - PROV: Pulmonic stenosis, Rvh, Overriding aorta, Vsd 5: TAPVR (5 letters) - pulmonary veins drain back to RH (separate circulations) - must have ASD or PDA

Back

Oligohydramnios

Front

Causes (not enough urine): renal agenesis, ARPKD, obstructive uropathy (posterior urethral valves below bladder) Effects: - pulmonary hypoplasia (also caused by diaphragmatic hernia compressing UNILATERAL lung) - Potter sequence (hitting walls) --> low-set ears, small jaw, flattened nose, limb defects - amnion nodosum (vernix caseosa from fetal skin rubbing on amniotic membrane)

Back

Ductal Carcinoma In Situ (DCIS or Intraductal Carcinoma)

Front

Malignant proliferation of cells in ducts that does not invade into BM (no mass) Pathogenesis: center of mass dies (necrotic) and becomes calcified (detectable on mammography) Camedo-type: necrosis and calcification in center Paget: DCIS that extends up to the nipple up to the skin --> eczematous changes (underlying carcinoma)

Back

Hereditary Non-Polyposis Colorectal Cancer (HNPCC - Lynch)

Front

AD mutation of DNA mismatch repair genes (MSH2/MLH?) --> microsatellite (non-coding region that still gets copied) instability - increased risk for CRC (most often appears on RIGHT SIDE) - also increased risk for ovarian and endometrial cancer

Back

Fibroadenoma

Front

Tumor of fibrous tissue and glands...the most common benign tumor of the breast...most common in premenopausal Presentation: - well-circumscribed, mobile (not stuck), marble-like - estrogen-sensitive (pregnancy, prior to menstruation) *benign, no increased risk for cancer

Back

Neuroblastoma

Front

Most common tumor of kids <1y/o that is often seen in the retoperitoneum (adrenal, sympathetic chain)...originates from neural crest Histology: - small round blue cells - Homer-Wright rosettes Presentation: - abdominal mass/pain - endocrine symptoms (proptosis, diarrhea, cushings) - respiratory symptoms - "opsoclonus-myoclonus" (dancing eyes and feet) - blueberry muffin rash Unfavorable Prognosis: - Older age - 1p deletion - Diploid - N-myc amplification - High mitosis - Poorly differentiated *Ganglioneuroblastoma (50:50) and Ganglioneuroma (0:100) other variations

Back

Glycogen Storage Disorders

Front

*Very Poor Carbohydrate Metabolism 1 (Von gierkes) 2 (Pompes) 3 (Coris) 5 (Mcardles) Von-Gierke (1) - Glucose-6-phosphatase (making glucose that can leave the cell after glycogenolysis) - Symptoms (severe): increased glycogen (G6P inhibits glycogenolysis) --> hepatomegaly, severe hypoglycemia, increased lactate (and uric acid due to competition for excretion) Pompes (2) - Lysosomal alpha-1,4--glucosidase - Symptoms: heart (cardiomegaly, hypertrophic cardiomyopathy), tongue, liver Coris (3) - Debranching enzyme (alpha-1,6-glucosidase) --> inability to liberate the final glucose (so not as sever) - Symptoms: mild hypoglycemia (no lactate increase), hepatomegaly, limit-dextran (can't debranch) accumulation Mcardles (5) - Muscle glycogen phosphorylase --> cannot break it down - Symptoms: muscle pain/cramps, myoglobinuria (red urine) Treatment: - hepatic/hypoglycemic (von-gierke/cori) --> eat cornstarch (slow release glucose) or frequency glucose - muscle (mcardles): sugar prior to exercise, avoid exercise

Back

CHD Associations

Front

Rubella (PDA, PS) Turners (coarctation, bicuspid aortic) DiGeorge (Truncus arteriosus, T4 fallot) Marfan (MVP, TAA, AR, dissection) Downs (ASD-primum, VSD, cushions-mitral)

Back

Malformation Associations

Front

Downs: single palmar crease, epicanthal folds, CHD, hirschsprungs, duodenal atresia Turner: cystic hygroma, shield chest, edema of hands/feet, short, coarctation Edwards: small jaw, rocker feet, clenched fists Patau: holoprosencephaly, polydactyl, cleft Thalidomide: limbs, ears, brain DES: vaginal malformations, clear cell adenocarcinoma

Back

NRDS

Front

Sufactant deficiency --> increased surface tension of alveoli and alveolar collapse --> cyanosis and dyspnea Dx: - L/S ratio (>2 is good, <1.5 is bad) - CXR white out Risk factors: - prematurity (low surfactant) - maternal DM (insulin downregulates surfactant) - C-section (less stress --> less steroid --> less surfactant) Complications (from supplemental O2): - ROP (proliferation of retinal vessels --> retinal detachment) - intraventricular hemorrhage - Old BPD (necrosis of respiratory epithelium --> fibrosis)

Back

Hirschsprung Disease

Front

Failure of ganglion (myenteric and submucosa) to descend from neural crest --> inability to contract/relax and do peristalsis Clinical - failure to pass meconium (like CF) - bilious vomiting - empty rectal vault - dilation (megacolon) of bowel proximal to obstruction - rectal suction biopsy (takes deeper layers) --> absent ganglion cells Associations: - Downs - RET mutation Treatment: resect and pull-through

Back

Priapism

Front

Painful, sustained erection --> 4 hours Associations (ischemic): - sickle cell (sickled RBC get trapped) - meds (sildenafil, trazoBONE) Treat IMMEDIATELY

Back

Cryptorchidism

Front

Failure of the testicle to descend into scrotal sac...the most common male genital abnormality - 3% @ birth, 1% @ 1yr *most resolve spontaneously (after age 2 should be done by surgeon) *more common in prematurity, low birth weight Physiology: - 1st phase: transabdominal (controlled by AMH) - 2nd phase: inguinoscrotal (controlled by androgens) Complications: - impaired spermatogenesis (too warm >37) - testicular atrophy w/ infertility - increased risk of seminoma

Back

Periductal Mastitis

Front

Smoking --> relative Vit A deficiency --> inability to maintain epithelium of lactiferous duct --> squamous metaplasia --> inflammation Presentation: - subareolar mass - nipple retraction (non-cancerous cause)

Back

Left-to-Right Shunts

Front

Left to Right Shunts (all 3 letters) --> Late (L for Left and Late) cyanosis (2ndary to Eisenmengers syndrome...they are also the most common (VSD being the most) VSD - cause of death is CHF - faster to eisenmengers ASD - septum primum (low)...also associated w/ AV endocardial cushion defect (ex. mitral) - septum secundum (high)...isolated - paradoxical embolism in PFO - fixed, split S2 (more blood in pulmonary) - slow to eisenmengers PDA - normally closes at 2 weeks - continuous machine-like murmur - PGE kEEp open; INDomethacin INDs

Back

Misc. Metabolic Disorders

Front

Morquio Syndrome - N-acetylgalactosamine-6-sulfatase (keratan sulfate) - severe growth limitation, coarse face, cloudy cornea, skeletal abnormalities (ribs/chest --> resp/cardio complications) Fabry (XR) - alpha-galactosidase A (ceramide trihexoside) - early: peripheral neuropathy, angiokeratomas, hypohidrosis (low sweat) - late: renal failure, CVD Metachromatic Leukodystrophy (AR) - arylsulfatase A (cerebroside sulfate) - demyelination --> dementia/ataxia Krabbe Disease (AR) - galactocerebrosidase (galactocerebroside/psychosine) - peripheral neuropathy (low tone), developmental delay, "krabby" - irritable Gaucher Disease (AR) - glucocerebrosidase (glucocerebroside) - MOST COMMON - hepatosplenomegaly, pancytopenia, aseptic necrosis of femur, lipid-laden macrophages ("crumpled paper") Niemann-Pick Disease (AR) - sphingomyelinase (sphingomyelin) - progressive neurodegeneration, foam cells (lipid-laden macrophage), "cherry red spot" - ashkenazi jews

Back

Phyllodes tumor

Front

Similar to fibroadenoma, due to overgrowth of fibrous tissue Presentation: - "leaf-like" lobulations - older women (5th decade) *can be malignant

Back

Intraductal Papilloma

Front

Small papillary (finger-like) projection into a large duct, near the nipple, lined by 2 cells (epithelial and myoepithelial) Presentation: - nipple discharge (bloody or serous) - premenopausal - must be distinguished from papillary carcinoma (no double cell layer)...common in postmenopausal *slight increased risk for cancer

Back

Invasive Lobular Carcinoma

Front

Invasive carcinoma of cells that lack E-cadhedrin (don't stay together) --> "single-file" pattern

Back

Colonic Polyps

Front

Hyperplastic (most common) - hyperplasia of glands - "serrated" - usually in left (rectosigmoid) - benign, no malignant potential Adenomatous (2nd) - neoplastic proliferation of glands - benign, but premaligant (adenoma-carcinoma sequence) Hamartomatous - non-neoplastic distortion of normal architecture - no malignant potential - associated with juvenile-polyposis and peutz-jeghers

Back

Bronchopulmonary Dysplasia

Front

Old: associated with oxygen therapy for premature babies --> necrosis of respiratory epithelium and fibrosis New (considering better treatment for premature babies) - reduced alveolar development --> lower surface area for gas exchange --> lung damage

Back

Lung Development

Front

Stages (EPCSA - Evangelical Presbyterian Church of South America) Embryonic (3-6): Segmental airways from trachea to tertiary bronchi Pseudoglandular (6-16): Continued bronchiolar development to terminal bronchioles Canalicular (16-24): terminal bronchioles become respiratory bronchioles Saccular (24-birth): epithelium thins and alveoli (terminal sacs) begin to develop Alveolar (birth-8 yrs): adult alveoli (continued septation) *Respiration is capable around week 25 (surfactant and first terminal sacs)

Back

Phimosis/Paraphimosis

Front

Phimosis: cannot retract foreskin --> infections Paraphimosis: non-reducible foreskin after a forced contraction --> urinary restriction and pain

Back

Disorders of Galactose Metabolism

Front

How does galactose enter glycolysis? - Galactose --> Galactose-1-P (galactokinase) - Galactose-1-P --> Glucose-1-P (uridyltransferase w/ UDP-glucose cofactor) Galactokinase Deficiency (galactokinase) - MILD - galacticol accumulates --> cataracts - galactose in blood/urine (but not much damage done) Classic Galactosemia (uridyltransferase) - BAD - Gal-1-P uridyltransferase deficiency, --> Gal-1-P accumulations --> P depletion - Symptoms: failure to thrive, jaundice, hepatomegaly, cataracts (galacticol), retardation, E coli sepsis - Treatment: avoid galactose and lactose

Back

Kidney Morphogenesis

Front

Kidneys: - occurs "inside out" - nephrogenic zone is the outer, primitive layer that persists until 37 weeks

Back

Breast Cancer Overview

Front

Most common, but 2nd most death (after lung) Risk factors: - age (post-menopause) - early menarche/late menopause (increased estrogen exposure) - obesity (higher aromatase) - atypical hyperplasia - FH - BRCA1/2 - AA (increased triple -ve) Types: - Terminal duct - Ductal CIS - Pagets (DCIS to nipple) - Invasive Ductal Carcinoma - Lobule - Lobular CIS - Invasive Lobular Carcinoma Prognosis (TNM) - Mets is most important - Spread to axillary lymph nodes is most useful (use sentinel lymph node biopsy - inject die to see how far it spreads) Predictive factors (Predict response to treatment) - ER/PR +ve (tamoxifen) - nuclear - HER2/Neu/c-erbB2 (trastuzumab) - cell surface receptor - triple -ve...often AA...poor prognosis

Back

Squamous cell carcinoma of the penis

Front

Malignant proliferation of squamous cells on penile skin Risk factors: - high risk HPV (16/18/31/33) - foreskin (no circumcision) --> inflammation - phimosis - lichen sclerosis Presentation: - ulcerated or fun gating mass - pain, discharge, difficulty voiding Precursors (in situ carcinomas): - Bowen: leukoplakia on shaft - Bowenoid papules: reddish papules - Erythroplasia of Queyrat: erythroplakia of glans

Back

Colorectal Carcinoma

Front

3rd most common incidence and cause of death (after prostate/breast and lung), most common in elderly (>60-70) Risk factors: - red meat - low fiber - smoking - IBD 2 pathways: - adenoma-carcinoma sequence (APC-->K-ras-->p53/COX)...FAP - microsatellite instability pathway (DNA mismatch repair enzyme defect)...HNPCC Presentation: - left --> "napkin ring" w/ decreased stool size and bloody stool - right --> "raised" lesion with iron-deficiency anemia (due to occult bleeding) and vague pain Tumor Marker: CEA

Back

Twinning

Front

Dizygotic (fraternal) twins are ALWAYS from 2 fertilized eggs (2 eggs + 2 sperm) --> Dichorionic Diamniotic membranes *Fraternal = DiDi Monozygotic (identical) twins are from 1 fertilized egg (1 egg + 1 sperm) that separates early in pregnancy...the TIMING of the separation determines the number of membranes - early = DiDi (25%) - mid = MonoChorion Diamnion (75%) - late = MonoMono (rare) - very late = MonoMono conjoined (very rare) *Identical = DiDi, MonoDi, MonoMono Twin-twin transfusion syndrome can lead to disproportionate blood supply whenever twins share a CHORION and a SINGLE PLACENTA --> high M&M

Back

Balanitis

Front

Inflammation of the glans penis, most common if uncircumscribed

Back

Mammary Duct Ectasia

Front

Inflammation of the wall of subareolar duct --> dilation Presentation: - multiparous, postmenopausal - green-brown nipple discharge - plasma cells on biopsy

Back

Peyronie disease

Front

Abnormal penis curvature (not fracture) due to fibrous plaque w/in tunica albuginea --> ED, pain, anxiety

Back

Hamartomatous Polyp Disorders

Front

Juvenile Polyposis (AD) - multiple juvenile (hamartomatous) polyps in the colon and stomach - increased risk for carcinoma (since large number) Peutz-Jegher Syndrome (AD) - hamartomatous polyps through GI tract - mucocutaneous hyperpigmentation on lips, oral mucosa, genitals - increased risk fro colorectal, breast, GYN cancer

Back

Invasive Ductal Carcinoma

Front

Invasive carcinoma that forms "duct-like" structures...most common 85% Presentation: - rock hard mass that doesn't move - may result in dimpling/retraction at nipple Types: - tubular: well differentiated tubules with no myoepithelial cells - mucinous: abundant extracellular mucus (tumor cells in mucus pool) - medullary: lymphocytes, plasma cells - inflammatory: dermal lymphatic invasion --> inflammation/swelling w/ peau d'orange (can be mistaken for mastitis)

Back

Disorders of Fructose Metabolism

Front

How does fructose enter glycolysis? - Fructose --> Fructose-1-P (fructokinase) - Fructose-1-P --> DHAP/GAD (aldolase B) Essential Fructosuria (fructokinase) - MILD/NO SYMPTOMS - fructokinase deficiency --> fructose buildup - fructose appears in blood/urine Fructose Intolerance (aldolase B) - BAD - aldolase B deficiency --> F-1-P accumulation --> depletion of P - Symptoms: hypoglycemia, vomiting, poor feeding, jaundice, cirrhosis - Treatment: avoid fructose and sucrose

Back

Familial Adenomatous Polyposis (FAP)

Front

AD loss of the APC tumor suppression gene on chr 5 --> greater risk of K-ras mutations and 100-1000s of polyps --> 100% chance of carcinoma by age 40 Treatment: prophylactic removal of colon Gardner syndrome: FAP with fibromatosis (fibroblast proliferation) and osteoma (benign tumor in skull) Turcot syndrome: FAP with malignant CNS tumors (medulloblastoma, glial tumors)

Back

Wilms Tumor

Front

Most common renal tumor of early childhood, characterized by blastema (undifferentiated mesenchyme) Presentation: - abdominal mass - hematuria - flank pain - HTN (renin secretion) Associations (syndromes): - WAGR (WT1 on chr 11): Wilms, aniridia, Gu malformations, Retardation - Beckwith-Weidemann (WT2 on chr 11): Wilms, organomegaly (including tongue), hemihypertrophy

Back

Hypospadias/Epispadias

Front

Abnormal urethral opening Hypospadias - opening on inferior (ventral when erect) surface of penis - due to failure of urethral folds to close - associated with inguinal hernia and cryptorchidism Epispadias - rare - opening on superior (dorsal when erect) surface of penis - abnormal positioning of genital tubercle - associated with bladder exstrophy

Back

Fibrocystic Change

Front

Fibrosis and cysts in the breast. Most common change in premenopausal breast, due to hormones --> - "lumpy breast" - vague irregularities - blue dome cysts - apocrine metaplasia Benign, with no risk for carcinoma The following DO have an increased risk for carcinoma: - ductal hyperplasia with sclerosing adenosis (2x risk) - atypical hyperplasia (5x risk)

Back

Adenoma-Carcinoma Sequence

Front

The molecular progression from normal colonic mucosa --> adenomatous polyp --> carcinoma *AK-53 COX 1) APC (Adenomatous Polyposis Coli gene) mutation (normally binds b-catenin so it cannot move to nucleus) --> risk of polyp 2) Kras mutation --> actual polyp 3) p53 mutation/increased COX (aspirin protects) --> progression of polyp to carcinoma *Both copies of APC on chr5 need to be knocked out for most people (sporadic), unless you have FAP

Back

Diverticula

Front

Outputting of mucosa and submucosa through muscularis propria (false) in relation to wall stress: - constipation/straining - low fiber diet - arise where vasa recta cross = weak point Diverticulosis = many diverticula Diverticulisis = inflammed diverticula -> LLQ "appendicitis" (fever, WBC, pain) --> risk of fistula (bladder), obstruction, or perforation --> rectal bleeding (hematochezia)

Back

TORCHeS

Front

Toxoplasmosis: chorioretinitis, hydrocephalus, intracranial calcification Other: listeria/agalactiae/ecoli--> neonatal menigitis; parvovirus --> hydrops fetalis Rubella: cataracts, PDA, deafness CMV: hearing loss, seizures, petechial rash, periventricular calcifications Herpes: VZV, HSV2 (encephalitis, herpetic lesions) Syphillis: saddle nose, notched teeth, short maxilla, saber shins, deafness

Back

Other CHD

Front

Ebstein's anomaly - lithium exposure in utero - downward displacement of the tricuspid valve into RV --> "atrialization" (make smaller) of the RV --> RHF Coarctation of the aorta - turners (XO), and bicuspid aorta association - nearing near insertion of ductus arteriosus - HTN in upper extremities and weak/delayed pulse in lower (brachial femoral delay) - intercostal arteries enlarge to give collateral circulation --> "notched" ribs

Back

Mastitis

Front

Bacterial infection of breast that often occurs during breastfeeding (easier for bacteria to get in) and is due to staph aureus Presentation: warm, erythematous breast with purulent discharge Treatment: abx, but continue feeding

Back

Prematurity

Front

Def: <37 weeks gestation and <2500g Effects: - CNS: cerebral palsy, epilepsy, MR - Metabolic: hyperbilirubin --> kernicterus - NRDS - intraventricular hemorrhage (blood vessel rupture --> bleeding into ventricles) - NEC (decreased perfusion --> mucosa necrosis and chance for rupture) Causes: - maj idiopathic - PROM - placental abruption

Back

Congenital Malformations

Front

Occurs in 1-2% of infants Causes: - Unknown (65%!!!) - Hereditary: 20% - Teratogen: 10% (lethal in first few weeks) - Chromosomal: 5% (common cause of lethality pre-birth)

Back

Crohn Disease

Front

Think about NOT UC - TRANSMURAL - ALL INTESTINE (small and big) with SKIP LESIONS --> RLQ pain with NON-BLOODY diarrhea - Microscopic: lymphoid aggregates w/ granulomas - Gross: cobblestone, stricture (thinning - "string sign"), creeping fat (pulled with stricture) Complications: malabsorption (SMALL BOWEL), calcium oxalate kidney stones, fistulas, carcinoma (if colon involvement) Associations: arthritis, uveitis, ankylosing spondylitis/sacroiliitis, erythema nodusum - Smoking HURTS

Back

Infants of Diabetic Mothers

Front

- Increased size - Increased fat - Increased malformations (heart, CNS, renal) - Hypoglycemia (high fetal insulin to down regulate mothers high sugar)

Back

Eisenmengers Syndrome

Front

The L>R shunts (VSD/ASD/PDA) cause an increase in pulmonary blood flow --> pulmonary vasculature remodeling --> pulmonary HTN --> R to L shunt (w/ compensatory RVH) --> LATE CYANOSIS and CLUBBING

Back

Section 4

(50 cards)

CNS cell responses to injury

Front

Neurons: - central chromatolysis: nucleus to periphery in response to axonal transaction - intraneuronal deposits - atrophy: neuronal loss that is accompanied by astrogliosis Glia (oligo, ependyma, astro, microglia): - astrogliosis: "scar tissue" of CNS, produce GFAP - rosenthal fibers: eosinophillic tubular structures in astrocyte processess...pilocytic astrocytoma - corpora amylacea: "brain sand", round concentrically lamented bodies of glycogen

Back

Choriocarcinoma (men)

Front

Malignant germ-cell tumor of trophoblasts (both) = placenta-like TM: b-hCG (characteristic) --> hyperthyroid or gynecomastia (similar alpha subunit as TSH, FSH/LH) Spreads early via blood (like placenta)

Back

Testicular Torsion

Front

Twisting on spermatic cord --> thin-walled veins (easily closed) is blocked --> inability to drain --> hemorrhagic infarction Cause: failure of testes to attach to inner lining of scrotum (via gubernaculum) Dx: - sudden testicular pain - absent cremasteric reflex (nerves in cord)

Back

Seminoma

Front

Malignant germ cell tumor of oocytes...similar to dysgerminoma Histology: - large cells with clear cytoplasm and central nuclei (fried egg) - HOMOGENOUS mass with no hemorrhage/necrosis *Good prognosis TM: b-hCG (maybe)

Back

Multiple Endocrine Neoplasia (MEN)

Front

MEN 1 (3P = PIT, PAN, PARA) - AD mutation of MEN 1 gene on chr 11 that codes for Menin (tumor suppressor) - PITuitary hyperplasia/adenoma (prolactin or GH) - PANcreatic neuroendocrine tumore (VIP, ZES, insulin, glucagon) - PARAthyroid hyperplasia/adenoma (1ry hyperPTH) MEN 2A (2P = PARA, PHEO) - AD mutation of RET proto-oncogene on chr 10 that codes for a tyrosine kinase receptor - PARAthyroid hyperplasia/adenoma (1ry hyperPTH) - PHEOchromocytoma (secretes catecholamines) - Medullary thyroid carcinoma MEN 2B (1P = PHEO) - AD mutation of RET proto-oncogene on chr 10 that codes for a tyrosine kinase receptor - PHEOchromocytoma (secretes catecholamines) - Medullary thyroid carcinoma *Mucosal neuromas (oral/intestinal) *Marfanoid habitus

Back

Prostatitis

Front

Acute: bacterial - chlamydia/gonorrhea (young - STD) - ecoli/pseudomonas (old - UTI) - presentation: dysuria w/ FEVER/CHILLS - DRE: tender/boggy - labs: WBCs and bacteria Chronic - dysuria with LOW BACK PAIN - labs: WBCs, but no bacteria

Back

Congenital Adrenal Hyperplasia

Front

CONGENITAL enzyme deficiencies --> low CORTISOL --> high ACTH (feedback) --> BILATERAL ADRENAL HYPERPLASIA *depending on the enzyme that is missing effects the levels of aldosterone and sex hormones and the presentation 21-hydroxylase (most common - top vertical) - cannot produce cortisol OR aldosterone - shunting to sex steroids - low aldo, cortisol, increased sex - presentation (volume): hypoNa/hyperK, hypovolemia w/ hypotension --> increased renin - presentation (sex): virilization, precocious puberty 11-beta-hydroxylase (bottom vertical) - cannot produce cortisol or aldosterone, but CAN make weak mineralocorticoids (DOC) = apparent mineralocorticoid excess - shunting to sex steroids - low aldo, cortisol, increased sex, DOC - presentation (volume): opposite of 21 - hyperNa/hypoK, hypervolemia w/ HTN --> decreased renin - presentation (sex): same as 21 - virilization, precocious puberty 17-alpha-hydroxylase (horizontal) - cannot produce cortisol or sex - shunting to aldosterone - high aldo, low cortisol, sex - presentation (volume): hyperNa/hypoK w/ hypervolemia --> HTN w/ decreased renin - presentation (sex): deficiency --> ambiguous and lacking 2ndary characteristics

Back

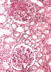
Secondary Hyperparathyroidism

Front

Excess PTH due to cause that is extrinsic of parathyroid gland Causes: - renal failure --> renal insufficiency --> decreased phopshate excretion --> increased P --> decreased Ca) - renal failure --> low VitD --> decreased Ca Labs: - increased P, decreased Ca - increased PTH (response) - increased alkaline phosphatase *low Ca effects ALL FOUR GLANDS

Back

Orchitis/Epididymitis

Front

Inflammation of the testicle and epididymis Causes: - chlamydia/neisseria (STD - young men) - E coli/pseudomonas (after UTI - older men) - mumps (meninges, parotid, pancreas - school age) - autoimmune orchitis (granulomatous) - TB

Back

Medullary Carcinoma

Front

Malignant proliferation of C cells (calcitonin) --> high levels of calcitonin --> hypocalcemia Histology: sheets of malignant cells in an amyloid stroma (congo red stain) *Can be familial (MEN2A/B) associated with RET mutations --> prophylactic thyroidectomy

Back

Hypoparathyroidism

Front

LowPTH --> low Ca and high P Causes: - autoimmune damage - surgical excision (during thyroidectomy) - DiGeorge (failure of 3/4th pouches) Symptoms: - spasms, tetany - numbness, tingling - Trousseau sign: occlusion of brachial artery with BP cuff --> carpal spasm - CHvostek sign: tapping on facial nerve (CHeek) --> contraction of facial muscles

Back

Hyperaldosteronism

Front

High aldosterone --> increased Na/water and decreased K/H+ Symptoms: - hypernatremia w/ volume expansion --> HTN - hypokalemia - metabolic alkalosis Primary: - adrenal adenoma = Conn syndrome (or less commonly hyperplasia/carcinoma) - high Aldo - low Renin (due to high blood flow) - treat with aldo receptor antagonist (spironolactone, eplerenone) Secondary: - activation of RAAS (low BP, atherosclerosis, fibromuscular dysplasia) - high Renin --> high Aldo

Back

Primary Hyperparathyroidism

Front

Excess PTH due to parathyroid itself (hyperplasia, adenoma, carcinoma) *adenoma is most common, involving ONE GLAND *hyperplasia (enlarged of FOUR GLANDS) Symptoms (hyperCa): - muscle weakness and constipation (groans) - nephrolithiasis (stones) - depression (psychiatric overtones) - metastatic calcification (esp in kidney tubules) - Acute pancreatic (enzyme activation) - Osteitis fibrosa cystica (bone resorption due to hyperPTH --> fibrosis with cystic spaces) Lab: - high PTH --> high Ca, low P (phosphate trashing) - increase urinary cAMP (since PTH receptor is Gs) - increase alkaline phosphatase (sign of osteoblastic activity which PTH triggers)

Back

Reidels Fibrosing Thyroiditis

Front

Chronic inflammation with extensive fibrosis of thyroid Presentation: - hypothyroidism in 1/3 - HARD AS WOOD, NON-TENDER thyroid - fibrosis can spread to airways/esophagus *mimics anaplastic carcinoma due to extension

Back

Teratoma (men)

Front

MALIGNANT (benign in females) germ cell tumor of mature fetal tissue from 2-3 embryonic layers

Back

Testicular Tumors

Front

2 types: germ-cell and sex-cord stromal (no epithelial) Presentation: - firm, painless mass - DOES NOT illuminate Treatment: - do NOT biopsy (can see scrotum and most are malignant) - radical orchiectomy Germ Cell Tumors (95% - malignant) - Risk factors: UDT, XXY - Occur in 15-40 years olds - Fetal: teratoma, embryonal carcinoma - Oocytes: seminoma (good prognosis) - Placenta: choriocarcinoma - Yolk Sac: yolk sac/endodermal sinus - Mixed (60% of germ cell) Sex-Cord Stromal (5% - benign) - Sertoli: usually silent - Leydig: produces androgen/estrogen, Reinke crystals, precocious puberty/gynecomastia Lymphoma: - most common cause of testicular mass in males >60 - usually large B-cell type

Back

Syndrome of Inappropriate Anti-Diuretic Hormone (SIADH)

Front

Too much ADH --> concentrated urine and EUVOLEMIC (compensatory response) hyponatremia --> mental status changes, seizures, neuronal/cerebral edema (osmotic pull inwards) Causes: - ectopic (small cell lung carcinoma) - CNS trauma - pulmonary infection - drugs (cyclophosphamide) Treatment: - water restriction - hypertonic saline or salt tablets - demeoclocycline (ADH receptor V2 antagonist) or vaptans *correct hyponatremia slowly to prevent central pontine myelinolysis

Back

Parathyroid Disorders

Front

HyperPTH - Primary: hyperPTH --> increased Ca/decreased P - Secondary: increased P --> decreased Ca --> hyperPTH Hypoparathyroidism: parathyroid damage/absence --> low PTH --> low Ca/high P Pseudohypoparathyroidism: PTH resistance --> low Ca despite high PTH Mimics PTH disorder - hypercalcemia of maligancy (PTHrp --> hyperCa) - familial hypercalcemic hypocalciuria: CaSR insensitivity --> hyperCa required to decrease PTH --> hyperCa and hypoCa in urine

Back

Hydrocele

Front

Fluid collection within tunica vaginalis due to incomplete closure of processus vaginalis (infants) or blockage of lymphatic drainage (adults) Presentation: - scrotal swelling - DOES illuminate with U/S (water vs. blood)

Back

Pituitary Adenoma

Front

Benign tumor anterior pituitary Non-functional (no hormone) - mass effect --> bitemporal hemianopsia - hypopituitarism (compression) - headache Functional (hormone-producing) - prolactinoma: galactorrhea/amenorrhea (females), decreased libido/headache (men)...treat w/ DA agonist (bromocriptine) - GH: gigantism (children), acromegaly (adults), 2ndary DM (glucagon-like)...treat w/ ocreotide - ACTH: cushing disease (with hyper pigmentation) - TSH/LH/FSH (rare)

Back

Hypopituitarism

Front

Insufficient hormone production due to loss of pituitary parenchyma loss (>75% --> symptoms) Causes: - non-functional pituitary adenoma, craniopharyngioma - Sheehan syndrome (birthing-related blood loss causes infarction of pituitary that is more susceptible due to increased demand of pregnancy; symptoms: poor lactation, loss of pubic hair) - empty sella (trauma or congenital-arachnoid herniation) Treatment: HRT

Back

Hydrocephalus

Front

Communicating (decreased CSF absorption by arachnoid granulations) - post-meningitis scarring - Arnold-Chiaria malformation - choroid-plexus tumor overproducing CSF Non-communicating (obstructive) - foramen of monro (lateral --> 3rd) - cerebral aqueduct (3rd --> 4th) Normal pressure hydrocephalus - increased CSF and dilated ventricles BUT normal pressure - wet (incontinence), wacky (dementia), wobbly (ataxia) Hydrocephalus ex vacuo - atrophy of brain tissue leads to compensatory increase in CSF (alzheimer's, HIV, Pick)

Back

Varicocele

Front

Dilation of the spermatic vein (in pampiniform plexus) due to impaired drainage - most common in left side (left gonadal vein drains into left renal vein - can be invaded by RCC) Presentation: - scrotal swelling with "bag of worms" - increased temperature --> infertility - does NOT illuminate with U/S

Back

Hyperthyroid

Front

Increase TH --> - increased BMR (increases synthesis of Na/K ATPase) - increase sympathetic (increased b1 receptors) Symptoms - weight loss with increased appetite - heat intolerance/sweating (heat production) - tachycardia w/ arrhthymias - tremor, anxiety, insomnia - diarrhea - oligomenorrhea - bone resorption - hypocholesterolemia - hyperglycemia (glucagon-like) - hyperreflexia - warm, moist skin Labs: - increase T3/4 - decreased TSH Causes - Graves - Toxic multinodular goiter - Thyroid storm (massive elevation of catecholamines and TH after acute stress)

Back

Multinodular Goiter

Front

Enlarged thyroid gland with multiple goiters due to relative iodine deficiency that is normally euthyroid Can become TOXIC (TSH-INDEPENDENT) --> hyperthyroid

Back

BPH

Front

Age-related hyperplasia of stroma and glands related to DHT...test-->DHT via 5-alpha-reductase (more sensitive as age) *no increased risk of malignancy Incidence: - 50% @ 50 - 75% @ 80 Presentation: - obstructive (transition/periurethral zone - lateral/middle lobes) --> start/stop, dribbling, impaired emptying - SM bladder hypertrophy (pushing against obstruction) - backup --> hydronephrosis, UTI - irritative (frequency, urgency, nocturia) Labs: - PSA is "slightly" elevated (4-10)...cancer is normally >10...normal is <4 Treatment: - alpha 1 anatagonist (terazosin, tamsulosin) --> relax SM - 5-alpha reductase inhibitor (finasteride)

Back

Adrenal Insufficiency

Front

Lack of adrenal hormones --> - hypotension (cortisol) - hypoNa/hyperK and hypoVolemia (Aldo) - metabolic acidosis (Aldo) - hyperPigmentation (increased ACTH w/ MSH/POMC - only in Primary) - vomiting and diarrhea Acute (rapid hypotension and shock): - Waterhouse-Friderichsen syndrome (neisseria meningiditis --> hemorrhage) - abrupt withdrawal of glucorticoids Chronic (Addisons): - autoimmune - TB - AIDS - metastatic carcinoma (esp lung cancer)

Back

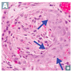
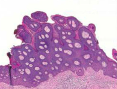
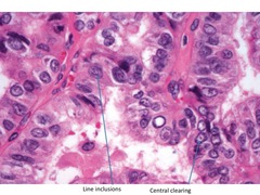
Papillary Carcinoma

Front

Most common malignant thyroid carcinoma...good prognosis Histology: - papillary (finger-like) projections - Orphan Annie-eyed nuclei (white clearing in center of nucleus) w/ nuclear grooves - psammoma bodies Risk factors - ionizing radiation Spread: cervical nodes

Back

Anaplastic Carcinoma

Front

Undifferentiated malignant tumor of the thyroid that invades local structures --> dysphagia (esophagus) or respiratory compromise (larynx) *similar to Ridels fibrosing thyroiditis except older patients Histology: undifferentiated

Back

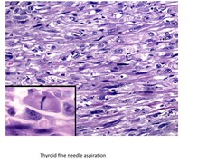
Thyroid Neoplasia

Front

Distinct, solitary nodules that are more likely to be benign Dx: - radioactive uptake (increased in nodular goiter and Graves; decreased-cold in neoplasia) - FNA to biospy (too bloody to resect) Types: - follicular adenoma (benign) - Papillary (80% of malignant) - Follicular - Medullary - Anaplastic Treatment: thyroidectomy --> complications of hoarseness (laryngeal nerves) and hypocalcemia (removal of PTH)

Back

Thyroglossal Duct Cyst

Front

Thyroid develops at the base of the tongue and travels along the thyroglossal duct to anterior neck Cyst (persistent duct) presents as an anterior neck mass that moves with swallow

Back

Hypothyroid

Front

Decrease TH --> - weight gain with decreased appetite - cold intolerance (minimal heat production) - bradycardia and SOB - hypoactivity w/ weakness - constipation - hypercholesterolemia - hypoglycemia - oligomenorrhia - hyporreflexia - cool, dry skin - myxedema (accumulations of GAGs in skin/soft tissue --> deep voice, large tongue, edema-like) Labs: - decrease T3/4 - increased TSH Causes: - cretinism (congenital) - Hashimoto thyroiditis - Subacute granulomatous thyroiditis - Riedel thyroiditis - Iodine deficiency or excess - Goitrogens (amiodarone, lithium) - radioiodine ablation tx for hyperTH

Back

Cretinism

Front

Congenital hypothyroidism Symptoms: - mental retardation (TH is required for brain development) - short stature - coarse facial features - umbilical hernia - enlarged tongue Causes: - maternal hypothyroidism - thyroid agenesis - dyshormonogenetic goiter (deficiency of TPO) - iodine deficiency

Back

Hashimoto Thyroiditis

Front

Most common cause of iodine-sufficient hypothyroidism....autoimmune destruction of thyroid gland (CD4/8, cytokines, Ab) Associations: - HLA-DR5 - increased risk of B-cell lymphoma Presentation - initial hyperthyroidism (leakage of already synthesized) followed by gradual hypothyroidism - anti-TG and anti-TPO Ab often present - smooth goiter (increased TSH due to low feedback) Histology - chronic inflammation with germinal centers - hurthle cells (eosinophillic metaplasia of cells lining the follicles)

Back

Posterior Fossa anomalies

Front

Arnold-Chiara Type 2: cerebellar tonsillar + vermis herniation, aqueductal stenosis/hydrocephalus, meningomyelocele Dandy Walker: enlarged/cystic posterior fossa (4th ventricle), agenesis of cerebellar vermis

Back

Graves Disease

Front

Hyperthyroidism (most common cause) due to an IgG autoAb that stimulates TSH receptor (HS 2) Clinical - goiter (stimulation from Ab) - hyperthyroidism - exopthalmos (fibroblast on lids) - pretibial myxedema (fibroblast in dermal shin --> glycosaminoglycan) Histology: - irregular follicles - "scalloped colloid" Labs: - increase TH - decreased TSH - TSI - hyperglycemia Treatment: - beta-blockers (symptomatic) - thioamides (PTU, methimazole) - radioiodine ablation

Back

Pseudohypoparathyroidism (Albright hereditary osteodystrophy)

Front

High PTH with end-organ resistance to PTH --> apparent hypoparathyroidism (low Ca, high P) Genetics: AD inheritance of defect Gs alpha subunit on PTH receptor Symptoms: - hypocalcemia with high PTH - shortened 4/5 digits - short stature

Back

Yolk Sac Tumor

Front

Malignant germ cell tumor that resembles yolk sac...most common in CHILDREN (<3 yrs) Histology: - yellow, mucinous - Schiller-Duval (glomerulus-like) TM: AFP (characteristic)

Back

Diabetes Insipidus

Front

Inability of action of ADH that is either central or peripheral Clinical - polyuria/dipsia - hypernatremia and high osmolality - hyperosmotic volume contraction - dilute urine (inability to concentrate) Dx: water deprivation (should lead to urine concentration) doesn't change urine osmolality Central/Neurogenic: ADH deficiency (hypothalamic or post pit pathology) - decreased ADH - trauma, tumor, infection - treatment: desmopression (ADH/vasopressin analog), hydration Peripheral/Nephrogenic: ADH insensitivity (renal) - normal or increased ADH - caused by meds (lithium, demeoclocycline) or inherited - no response to desmopressin - treatment: thiazides, hydration

Back

Pheochromocytoma

Front

BROWN tumor of chromaffin cells in adrenal medulla (from neural crest) --> increased catecholamines Symptoms: - episodic HTN - headaches - palpitations, tachycardia - sweating Dx: - increased serum metanephrines (meta/normeta) - increased 24-hr metanephrines/VMA Treatment: - resection w/ phenoxybenzamine and beta-blocker (pan-alpha blockers to block before tumor removed so that NE/E that escapes doesn't work) Rule of 10s - 10% bilateral - 10% familial (MEN 2A/B, VHL, NF1) - 10% malignant - 10% outside adrenal medulla (bladder wall) - 10% in kids - 10% calcify

Back

Prostatic Adenocarcinoma

Front

Malignant proliferation of prostatic glands...most common cancer in men (2nd death, after lung) Occurs in posterior/peripheral prostate --> asymptomatic until late in course Risk factors: - age - race (AA) - diet in high sat fats Screening (age 5) - DRE (best since it palpates the posterior lobe) - PSA (>10 is worrisome at any age, but esp. young) Dx: - REQUIRES biopsy (needle core) - nuclei contain dark nucleoli - Gleason grading system (multiple regions/2 is based on architecture) - Tumor markers, PAP, PSA Complications: - spread to lumbar spine (osteoblastic mets) --> low back pain w/ increased alkaline phosphatase Treatment: - prostatectomy - continuous (instead of pulsatile) GnRH analog (leuprolide) --> decreased FSH/LH - flutamide (androgen receptor inhibitor)

Back

Neural Tube Defects

Front

Failure of closure of the neural tube. Associated with decreased folate prior to conception/during pregnancy. Can diagnosis in utero (AFP) Anencephaly (anterior): absence of brain/calvarium, "frog-like", polyhydramnios due to low swallowing Spina bifida occulta: bony defect in vertebral column w/ no neural protrusion...can show a tuft of hair Meningocele: protrusion of meninges through bony defect Meningomyelocele: protrusion of meninges and spinal cord through bony defect --> severe dysfunction

Back

Follicular Carcinoma

Front

Malignant proliferation of follicles that is surrounded by a fibrous capsule with INVASION through the capsule (unlike follicular adenoma) *FNA cannot distinguish (invasion is the only difference) *Mets occur hematogenously

Back

Cushings Syndrome

Front

Excess of cortisol --> - muscle weakness with thin extremities (protein breakdown to provide aa for gluconeogenesis) - moon facies, buffalo hump, truncal obesity - hyperglycemia - abdominal red-purple striae (cortisol impairs collagen synthesis) - HTN (upregulates alpha-1 receptors) - osteoporosis - amenorrhea - immunosuppression (inhibits PLA2 --> less AA metabolites-PG/LT/TX; inhibits IL-2; inhibits histamine) ACTH-secreting pituitary adenoma - DISEASE (most common endogenous) - increased ACTH - BILATERAL enlargement - high-dose dexamethasone suppresses cortisol Exogenous paraneoplastic ACTH - most common - increased ACTH - BILATERAL enlargement - high-dose dexamethasone does NOT suppress (it is a cancer) Exogenous corticosteroids - decreased ACTH (feedback) - BILATERAL adrenal atrophy Primary adrenal adenoma/hyperplasia/carcinoma - decreased ACTH (feedback) - UNILATERAL atrophy (opposite adrenal) - UNILATERAL enlargement Dx: - increased 24 urine cortisol (ALL 4) - ACTH (up in 2, down in 2) - high-dose dexamethasone (distinguish between source of ACTH - ectopic vs. pituitary)

Back

Subacute granulomatous thyroiditis (de Quervain)

Front

Granulomatous thyroiditis that follows a viral infection, flu-like illness Presentation: - TENDER (de QuerPAIN), soft thyroid - increased ESR (inflammation) - transient hyperthyroidism that can progress (not always) to hypothyroid - self-limited course

Back

Cerebral edema

Front

Vasogenic: increased vascular permeability (destroy cell tight junctions) and plasma filtrate in white matter...infection, lesion, infarction Cytotoxic: swelling of cells in gray matter from water/Na influx w/o permeability alteration...hypoxia, hypoosmolality Interstitial: transudation of CSF from ventricles in severe hydrocephalus

Back

Embryonal Carcinoma

Front

Malignant germ cell tumor of immature (vs. teratoma) fetal tissue Histology: hemorrhagic mass w/ necrosis Aggressive with early hematogenous spread TM: AFP, b-hCG (maybe)

Back

Intracranial Pressure (ICP)

Front

CPP = MAP - ICP

Back

Forebrain anomalies

Front

Polymicrogyria: too many convulsions Lissencephaly (agyria): smooth brain (no convulsion) Megal/microencephaly: big/small brain volume Holoprosencephaly: failure of hemispheric separation --> cyclopia (worst), midline facial anomalies Agenesis of corpus callosum: "batwing" ventricles

Back

Follicular Adenoma

Front

Benign proliferation of follicles surrounded by a FIBROUS CAPSULE that is usually non-functional

Back

Section 5

(50 cards)

Coup vs. contrecoup

Front

Coup = blow to stationary head Contrecoup = blow to a decelerating head ex. injury to occipital brain --> anterior rebound Shaken-baby syndrome: multiple coup/contrecoup contusions due to ample subdural space with immature brain --> cerebral edema, subdural hematoma, retinal hemorrhage --> 20% fatality but the rest are handicapped

Back

Meningitis CSF Findings

Front

Bacterial: neutrophils, low glucose, increased protein Viral: lymphocytes, normal glucose (they are dead), increased protein Fungal: lymphocytes, low glucose

Back

Meningitis Etiologies

Front

Neonates: GBS (agalactiae), E. Coli, Listeria Nonvaccinated kids: H. influenzae Children/Teens: N. meningiditis (nasopharynx) Adults/Eldery: Strep pneumo, Listeria Viral: Coxsackie, Echo, Polio

Back

Motor Unit

Front

Neuron or CN + muscle fibers that it innervates

Back

Epidural hematoma

Front

Bleeding outside of dura due to skull fracture leading to rupture of middle meningeal artery Lens-shaped lesion (separation of dura from skull) since dura sticks to skull at some points Clinical: "talk and die", lucid interval followed by neurologic signs --> herniation

Back

Pilocytic Astrocytoma

Front

BENIGN tumor in POSTERIOR FOSSA (ex. cerebellum) in CHILDREN Histology: well-circumscribed with cystic and nodular appearance, biphasic (some dense, some loose regions) Rosenthal fibers (eosinophilic corkscrew fibers) GFAP +ve Prognosis: good if resected early

Back

Wallerian Degeneration

Front

Following traumatic transection of axon the portion of axon distal to injury begins to break down...myelin is catabolized by Schwann cell and engulfed --> myelin ovoids

Back

Cerebral Ischemia

Front

Damage to brain (>5 mins) due to lack of glucose/oxygen to neurons Causes: low perfusion (athersclerosis, shock), hypoxia (anemia) Susceptible areas: watershed (between major arteries), pyramidal neurons of hippocampus (CA1 Sommers), purkinje layer of cerebellum, cerebral cortex (layers 3/5/6) Susceptible cells: neurons>oligo>astro

Back

Metastases to Brain

Front

Lung, Breast, Kidney, Lymphoma

Back

Schwannoma

Front

BENIGN tumor of SCHWANN cells in ADULTS Involves cranial nerves (most commonly CN8 at cerebellopontine angle --> DEAFNESS/TINNITUS) Stain S-100 +ve, "ice cream cone" sign into internal acoustic meatus Can be bilateral in NF-2

Back

Craniopharyngioma

Front

BENIGN SUPRATENTORIAL tumor derived from EPITHELIAL remnants of RATHKE'S POUCH (precursor to anterior pituitary) --> bitemporal hemianopsia (ddx in child vs. pituitary adenoma) Calcification is common (tooth enamel), "motor-oil" cysts

Back

Leukodystrophies

Front

All are due to lack of enzyme and subsequent de/dysmyelination (less production or maintenance of myelin) Krabbe Disease: AR, galactocerebroside beta-galactosidase deficiency, accumulation of galactocerebroside metabolite called sphingosine/psychosine in macrophages --> toxic to myelin sheath --> exaggerated startle and hyper irritable infants (krabby), optic atrophy, globoid cells Metachromatic Leukodystrophy: AR, arylsulfatase deficiency, cerebroside sulfate (and other sulfatides) accumulates...sulfatides bind dyes and change color, spares subcortical Adrenoleukodystrophy: XL, disruptive metabolism of VLCFA...can't add CoA --> buildup in CNS/adrenal/testes

Back

Myelin

Front

Myelin Protein Zero (50%) and Myelin Basic Protein (2nd most abundant) One oligo myelinates MANY in CNS (loss = plaque) One schwann myelinates ONE in PERIPHERAL (loss = segmental)

Back

Diffuse Axonal Injury

Front

Injury to white matter caused by angular head acceleration (ex. MVA, falls) Microscopic axonal injury with axonal retraction, swelling and distal degeneration

Back

Herniation

Front

1) Subfalcine/cingulate: cingulate gyrus under the falx cerebri --> ACA compression 2/3) Transtentorial/uncal: medial temporal lobe over tentorium cerebelli --> compression of contra cerebral peduncle (ipsi hemiparesis) + PCA (contra homo hemi) + CN3 ("down/out/dilated") 4) Cerebellar tonsillar: tonsils into foramen magnum --> compression of brain stem and coma/death from CP arrest

Back

Hemangioblastoma

Front

BENIGN tumor of CEREBELLUM (infratentorial) in ADULTS Assoc. with VHL syndrome with concurrent retinal angiomas Histology: thin-walled capillaries w/ foamy, vacuolated cells (not oligo) Gross: can be hemorrhagic

Back

Spinal cord infarction

Front

L4 and T1 are most vulnerable

Back

Lyme Disease

Front

Caused by borrelia burgdorferi from ixodes tick --> meningitis, facial nerve palsy, encephalopathy

Back

Brain abscess

Front

Localized suppurative (bacterial) infection with central necrosis and inflammatory cells surround by reactive gliosis. Caused by strep/staph Can rupture into dura/ventricles

Back

Intracerebral hemorrhage

Front

Bleeding into brain parenchyma --> hemorrhagic stroke Caused by rupture of Charcot-Bouchard micro aneurysms of lenticulostriate vessels in basal ganglia/internal capsule (secondary to HTN/amyloid)

Back

Chronic Traumatic Encephalopathy

Front

Concussions from sports-related brain injuries --> similar changes to alzheimer's (atrophy, tau accumulation, neuronal loss) Clinical: mood, behavioral, memory disorders

Back

Werdnig-Hoffman Disease (Spinal Muscular Atrophy)

Front

Inherited degeneration of anterior motor horn (AR) --> "floppy baby" (no tone or reflexes) and death a few years after birth

Back

Oligodendroglioma

Front

MALIGNANT tumor of OLIGODENDROCYTES in ADULTS most often in WHITE MATTER of FRONTAL LOBE --> seizures Histology: "fried egg" clear cytoplasm and "chicken wire" capillary pattern (like a branching tree), often calcified 1p, 19q deletion Prognosis: slow growing, 2-10 yrs

Back

Stroke epidemiology

Front

Athersclerotic/embolic (ischemic): high incidence, low mortality Hemorrhagic (ICH/SAH): low incidence, high mortality

Back

Perinatal cerebrovascular disease

Front

Germinal matrix hemorrhage graded 1-4 1: blood DOES NOT EXTEND into ventricles 2: blood DOES extend into ventricles 3: blood DOES extend into ventricles and forms a CAST 4: blood extends into WHITE MATTER

Back

Waterhouse-Friderichsen

Front

Neisseria meningiditis infection leading to adrenal hemorrhage and insufficiency Clinical: purpura, DIC, coma

Back

Ischemic Stroke

Front

Thrombotic: atherosclerotic plaque rupture and thrombus formation --> pale infarction Embolic: embolus travels from another region (ex. DVT with patent FO, A-fib) --> hemorrhagic infarct (due to embolus lyse) Lacunar: secondary to hyaline arteriolosclerosis (HTN/DM) in lenticulostriate vessels --> cystic (lacunar/lake) regions of in basal ganglia/thalamus

Back

Multiple Sclerosis

Front

Autoimmune (T-cell and humoral) destruction of CNS myelin and oligodendrocytes --> gray periventricular plaques (oligo loss and reactive gliosis) in white matter Epi: white women in 20-30s, HLA-DR2, regions away from equator Clinical (relapsing and remitting) - blurred vision in one eye (optic neuritis) - vertigo, nystagmus, intention tremor, scanning speech (brainstem/cerebellum) - INO (MLF) - hemiparesis or hemisensory (subcortical white matter) - bladder/bowel incontinence (ANS) CSF: increased lymphocytes, increased IgG (oligoclonal bands), myelin basic protein Treatment: steroids (acute) and beta-interferon (chronic) Variants: acute (fatal over months) and optical (bilateral optic neuritis)

Back

Poliomyelitis

Front

Damage to anterior motor horn due to polio virus --> LMN signs

Back

Types of Injury in PNS

Front

- Segmental dymyelination (loss of schwann cells) - Axonal degeneration (injury to axon) w/ subsequent muscular atrophy - Reinnervation (from another nerve --> muscle changes to nerve fiber type) - Myopathy (muscle damage without nerve damage)

Back

Meningitis

Front

Infection/inflammation of leptomeninges (pia/arachnoid) Presentation (triad): headache, neck stiffness, fever WITH photophobia, vomiting, altered mental status Treatment: CSF sample (L4-L5) from subarachnoid space Complications (bacterial): death, hydrocephalus, hearing loss, seizures

Back

Treatment of increased ICP

Front

- Osmotic agents (mannitol) and diuresis (acetazolamide) - Head elevation - Hyperventilation (decrease CO2 --> vasoconstriction response) - CSF drainage (shunt, LP) - Burr hole/craniectomy

Back

Progressive histopathology of cerebral ischemia

Front

Liquefactive necrosis 12-48 hours: red (eosinophillic) neurons 1-3 days: neutrophils 3-5 days: macrophages (microglia) 1-2 weeks: reactive gliosis (granulation tissue) >2 weeks: glial scar surrounding a cystic space

Back

Misc associations with brain infections

Front

HSV 1: children/adults, temporal and orbital, hemorrhagic, cowdry A HSV 2: neonates after birth CMV: immunosuppressed, owls eye Candida: immunosuppressed, pseudohyphae Mucor: nonseptate, nasal sinus Aspergillus: branching septate, from lung Cryptococcus: mucoid capsule, pigeon Toxoplasmosis: HIV, ring-enhancing, cats Cysercercosis: taenia solium, pork, calcified cysts Naegleria fowleri: amoeba, infested fresh water

Back

Neurosyphillis

Front

Caused by treponema pallidum (tertiary) and can be seen with warthin-starry stain. Clinical: meningovascular neurosyphillis, subacute encephalitis (mental deterioration and mood alterations), tabes dorsalis (degeneration of dorsal columns), argyll-robertson pupils

Back

Axonal regeneration and remyelination

Front

Regeneration: Happens after peripheral axonal injury but is a very slow process (limited by rate of neurofilament transport)...done by growth cones (regenerating cluster) at stump that use schwann cells left behind Remyelination: stripped axon provides stimulus...cells in endoneurium can replace schwann cells --> "onion bulb" appearance of concentric layers

Back

Pituitary Adenoma

Front

Most commonly prolactinoma, leads to bitemporal hemianopia from pressure on optic chiasm

Back

Friedreich's Ataxia

Front

Degenerative disorder of spinocerebellar (limb/trunk ataxia), dorsal columns (loss of vibration/proprioception), pyramidal (muscle weakness) tracts and loss of DTRs Cause: AR, GAA repeat in frataxin on chr9 (iron binding protein that normally transports iron out of mitochondria) --> iron buildup with free radical damage via Fenton rxn Assoc. with hypertrophic cardiomyopathy, DM, and kyphoscoliosis

Back

Glioblastoma Multiforme (Grade IV astrocytoma)

Front

Most common MALIGNANT tumor in ADULTS Found in CEREBRAL HEMISPHERES, might cross-over ("butterfly"), ring-enhancing (due to microvascular hyperplasia) Histology: poorly circumscribed, "pseudopalasading" with central necrosis Stain GFAP +ve Median survival = 1 yr

Back

Meningioma

Front

BENIGN tumor in ADULTS of ARACHNOID cells in meninges, more frequent in WOMEN May have dural attachment (w/ "tail"), parasagittal Histology: "whorled" pattern and psammoma bodies (laminated calcifications) Symptoms: compresses, but does not invade brain --> seizures

Back

Syringomyelia

Front

Cystic degeneration of anterior white commissure in spinal cord from C8-T1 --> bilateral loss of pain/temp sensation in a "cape-like" pattern Associated with Type 1 Chiari Can spread to anterior horn (motor weakness) or lateral horn (sympathetic-horners)

Back

Prion Disease

Front

PrPc (chr 20) is normal and in alpha-helix PrPsc is abnormal and in beta-sheet - resistant to degradation - resistant to sterilization - makes others change - no immune response --> "spongy" vacuolization from damage to neurons/glial cells Can be sporadic (happens randomly), inherited (familial fatal insomnia), transmitted (vCJD-BSE, iatrogenic CJD, Kuru) Creutzfeldt-Jacob: - mostly sporadic, but can be transmitted (corneal transplant or human growth hormone) - dementia/ataxia/startle myoclonus - rapid progression with death <1yr - period "spike-waves" on EEG VariantCJD (mad cow-BSE, younger/slower, +behavioral changes) Kuru: acquired from cannibalism Fatal Familial Insomnia: sleep disturbances, ataxia, autonomia, coma

Back

Sub-arachnoid hemorrhage (SAH)

Front

Bleeding into SA space due to rupture of berry aneurysm (circle of willis) --> bleed on bottom of brain Berry aneurysms are associated with ADPKD, marfans, and ehlers-danlos. Clinical symptoms: "worst headache of life", xanthrochomia (yellow hue of CSF in LP due to bilirubin)

Back

CNS Tumor Summary

Front

Adults (70% supratentorial)...Good MOSH PIT - Glioblastoma multiforme (grade IV astrocystoma) - Meningioma - Oligodendroglioma - Schwannoma (infratentorial) - Hemangioblastoma (cerebellar) - Pituitary Adenoma Children (70% infratentorial)...PMEC - Pilocytic astrocytoma - Medulloblastoma - Ependymoma - Craniopharyngioma (supratentorial)

Back

Amyotrophic Lateral Sclerosis

Front

AKA Lou Gehrig's...Degenerative MOTOR (no sensory) disorder with UMN (lateral corticospinal tract) and LMN (anterior motor horn) signs Initial signs: atrophy and weakness of hands (fine finger movement) --> lower limbs, tongue/pharynx/larynx with sparing of eyes and sphincters Cause: sporadic (normally), rare familial (zinc-copper SOD mutation --> free radical injury in neurons)

Back

Skull fractures

Front

Diastatic: cross sutures Comminuted: highly fragmented Depressed: sunken in Orbit/ethmoid --> "raccoon eyes" Basilar --> "battle sign" of swollen mastoid Ring --> fall on butt and "ring" around foramen magnum

Back

Subdural hematoma

Front

Bleeding beneath the dura due to rupture of bridging veins (trauma, elderly, alcoholics) Crescent-shaped lesion on CT and progressive neurologic signs --> herniation

Back

Stroke symptoms

Front

- Weakness/numbness of one side of the body - Aphasias - Loss of vision one eye - Dizziness or loss of balance - Severe headache

Back

Ependymoma

Front

MALIGNANT tumor of EPENDYMAL cells lining the 4th ventricle (--> can cause hydrocephalus) in CHILDREN Histology: perivascular pseudorosettes

Back

Medulloblastoma

Front

MALIGNANT tumor of CEREBELLAR GRANULAR cells (NEUROECTODERMAL origin) in CHILDREN Can compress 4th ventricle and cause hydrocephalus. Can send "drop metastases" to spinal cord. Histology: Homer-Wright rosettes, small round blue cells

Back

Section 6

(50 cards)

Sarcoidosis

Front

Systemic disease of noncaseating granulomas (CD4 T-cell response)...classically seen in AA females, but young non-smokers Lung: - hilar lymph nodes - stellate inclusions ("asteroid bodies") within giant cells in UPPER AND MIDDLE LOBES Systemic: - uveitis - skin (erythema nodosum) - salivary/lacrimal glands (like sjogrens) Clinical: - SOB and cough - elevated ACE - hypercalcemia (epithelioid histiocytes produce 1-alpha hydroxylase --> increased Vit D --> hypercalcemia) - negative TST due to anergy Treatment: steroids

Back

Pulmonary Hypertension

Front

PPa>25 (normal = 10) Primary: idiopathic, BMPR2 mutation --> proliferation of vascular SM Secondary: - hypoxemia (obstructive/restrictive) --> hypoxic vasoconstriction - CHD and left>right shunt --> volume overload in right heart (eisenmengers) - recurrent PEs - left heart failure leading to back pressure Histology: pulmonary artery arthersclerosis, SM hypertrophy, intimal fibrosis, plexiform lesion Clinical --> RVH - seen as exertional SOB and RHF

Back

Microscopic features of MS

Front

Active plaques: inflammatory cells (T) surround, preservation of axons with destruction of oligo Inactive plaques: less infiltrate, gliosis Shadow plaques: border between affected and unaffected, thinned-myelin

Back

Vitamin Deficiencies

Front

Thiamine (B1) - TPP is a cofactor for dehydrogenase (pyruvate and alpha-ketoglutarate) + transketolase rxns responsible for breaking down glucose --> less glucose --> heart/brain injuries - Wernicke's encephalopathy (acute, mammillary bodies): triad of ataxia, confusion, ophthalmoplegia - Korsakoff's psychosis (chronic, medial dorsal thalamus): confabulation and retrograde amnesia - Dry (polyneuritis and muscle wasting) and Wet (dilated cardiomyopathy and edema) Ber1 Ber1 B12 (cobalamin) - cofactor for homocysteine --> methionine and methylmalonyl-CoA --> succinyl-CoA in breakdown of odd/branched FA - abnormal myelin production results --> subacute (slow) combined (ascending and descending) degeneration of dorsal, lateral corticospinal, and spinocerebellar tracts --> ataxia, numbness, weakness Folate (B9-not so benign) - NTD if deficient during conception and early gestation Niacin (NAD/B3) - Three D's of pellagra: diarrhea, dementia, dermatitis

Back

Vascular Dementia

Front

2nd most common cause of dementia HTN, atherosclerosis and vasculitis --> recurrent multifocal infarction

Back

Central Pontine Myelinolysis

Front

Focal demyelination of central pons (anterior brain stem) by macrophages due to rapid IV correction of hyponatremia --> disrupted consciousness/delirum + bilateral paralysis ("locked in") Occurs in malnourished patients (ex. alcoholics, liver disease)

Back

Pleural effusion

Front

Fluid between pleural layers Transudate (bilateral, <1.015)): CHF, nephrotic, cirrhosis of liver Exudate (unilateral, >1.015): infection, cancer Chylothorax: milky lymphatic fluid Hemothroax: blood due to ruptured AA

Back

Alzheimer's Disease

Front

Degenerative disease of the cortex leading to dementia (most common cause) Pathophysiology: breakdown of amyloid precursor protein (normally APP>A-alpha, but APP>A-beta is pathological) Clinical: slow-onset memory loss (recent to distant) and progressive loss of cognitive function (motor/language skills, behavior/personality) with no focal neurologic deficits (paralysis/sensory loss) Sporadic (late, predisposed by ApoE4, decreased by ApoE2) vs. Early (familial presinilin 1 (chr2), presinilin 2 (chr 14) and Downs (chr21)) Histologic features - cerebral atrophy with hydrocephalus ex vacuo - extracellular A-beta neuritic plaques w/ trapped neuritic processes esp around vessels (cerebral amyloid angiopathy --> hemorrhage) - intracellular neurofibrillary tangles of paired helical filaments (PHF) from hyperphosphorylated tau (MT organizing protein) - loss of neurons in the nucleus basalis of Meynert

Back

Chronic bronchitis

Front

CLINICAL definition: productive (mucus) cough of 3 months over a minimum of 2 years...related to SMOKING (irritants) Pathology: hypertrophy of bronchial mucous glands (due to smoking) such that "Reid Index" (gland thickness vs. wall thickness) > 50% Clinical: - productive cough - "blue bloaters" from cyanosis due to CO2 trapping (PaCO2 up and PaO2 down) --> cor pulmonale (hypoxic vasoconstriction --> PHTN/RVH/RHF) - increased risk of infection (behind "tube" blockage) - wheezing, crackles, dyspnea

Back

Pulmonary edema

Front

Transudate (hemodynamic pressure causes) - CHF (LHF leading to back-pressure) - decreased oncotic pressure (nephrotic syndrome, liver cirrhosis) - lymphatic blockage (tumor) Exudate - infections - ARDS Histology: - fluid in alveolar spaces - hemosiderin (iron) laden macrophages (heart failure cells) - chronic passive congestion Clinical - SOB, hypoxic - crackles (wet)

Back

Asthma

Front

REVERSIBLE airway bronchoconstriction and SM hypertrophy, most often type 1 hypersensitivity allergy (associated with allergic rhinitis, eczema)...can also be exercise, viral, aspirin (+nasal polyps) Initial exposure: TH2 cells induced by allergen to secrete IL-4 (IgE), IL-5 (eosinophils), and IL-10 (TH2) Reexposure: IgE cross-link on mast cells - preformed mediators (histamine-vasodilation/permeability) - generation of LTC4/D4/E4 (bronchoconstriction) - later inflammation (MBP from eosinophils) Clinical: SOB, wheezing, productive cough Histology of sputum: - curschmann spirals (spiral-shaped mucus plugs) - charcot-leyden crystals (MBP aggregates from eosinophils)

Back

Charcot Marie Tooth (Hereditary Motor and Sensory Neuropathy)

Front

AD progressive disorder --> sensorimotor issues including distal muscle weakness, scoliosis, muscular atrophy of calf, pes cavus (high arch)

Back

Pneumothorax

Front

Air in pleural space (between visceral and parietal) Clinical: decreased expansion, fremitus, and breath sounds on affected side w/ hyper resonance Spontaneous: rupture of emphysematous bleb, young/tall/males, "collapse", trachea shifts to injured side Tension: penetrating injury, air enters (but can't leave) and pushes trachea to other side Open (air goes in and out) vs. Closed (air stays in and just needs to be drained) vs. Tension (air keeps going in but doesn't come out)

Back

Lewy Body Dementia

Front

Related to Parkinson's except: - cortical (instead of basal ganglia) Lewy Bodies - hallucinations and dementia come earlier - Parkinsonian (TRAPS) features come later

Back

Restrictive Lung Disease

Front

Characterized by restricted filling of the lung (decreased TLC) due to: - interstitial lung disease (MANY causes) - mechanical/structural problem with chest wall (polio, myasthenia gravis, scoliosis, morbid obesity) Spirometry: FVC DOWN, FEV1 down, FEV1/FVC is increased (>80%) Due to fibrotic interstitium, DLCO (diffusion ) is also impaired Clinical: SOB, hypoxia, "dry" crackles

Back

Hypersensitivity Pneumonitis

Front

Granulomatous rxn (type III/IV) to inhaled organic antigen: - farmers lung (microployspora faeni in moldy hay) - malt workers lung due to aspergillum - pigeon breeders lung due to pigeon droppings Acute: fever, cough, SOB, resolves with removal Chronic: interstitial fibrosis

Back

Emphysema

Front

Destruction of alveolar air sacs by proteases/elastase --> loss of elastic recoil, increased compliance, dilated air sacs, and decreased DLCO (less surface area to diffuse) Why obstructive (air trapping)? - loss of elastic recoil --> lower ability of "balloons" to "ping" air out - collapse of bronchiole walls (pressure dysfunction) Clinical: - "pink puffer" (pursed lips and prolonged expiration to prevent airway collapse) - CXR shows dilated "barrel chest" and hyper inflated lungs (decreased elastic recoil leads to chest wall winning "tug of war" and increased FRC) - SOB and non-productive cough - later cor pulmonale (PHTN/RVH/RHF) - weight loss (due to effort/exercise of breathing) Pathophysiology (imbalance of proteases and antiproteases): - smoking: smoke up regulates proteases, centroacinar, upper lobes - alpha-1-antitrypsin deficiency: A1AT misfolding in ER of hepatocytes (pink/PAS positive globules), proteases win, panacinar, lower lobes

Back

Goodpasture's syndrome

Front

Ab vs alpha-3 chain of type IV collagen --> - acute renal failure from RPGN (hematuria) - pulmonary hemorrhage (hemoptysis) Clinical: linear IgG immunofluorescence along glomerular and alveolar BM

Back

Atelectasis

Front

AKA lung collapse leading to perfusion without ventilation (V/Q mismatch) Causes: - resorption (airway obstruction not allowing air through so not inflating portion of lung) - compression: pleural effusion or pneumothorax - contraction: due to fibrosis

Back

Duchenne Muscular Dystrophy

Front

X-linked disorder w/ deleted dystrophin (like a tendon - helps anchor muscle fibers to ECM) Clinical: - normal at birth but can't keep up - initial proximal weakness (begins at pelvic girdle) - calf pseudo hypertrophy (actually replaced by fibrous/fat) - serum CK is raised - Gower's sign (using upper extremities to help them get up)

Back

Mesothelioma

Front

Malignant tumor of mesothelial (pleural) cells that "encases" the lung Associated with occupational exposure to asbestos (construction, plumbing, shipbuilding)...10% risk if exposed by 35 year latency Clinical: - pleural effusions (fluid make by mesothelium), SOB, pleuritic chest pain - CXR shows diffuse bilateral "shadows" - 50% mortality <1 yr

Back

Anatomy of respiratory system

Front

Trachea: cartilage, pseudostratified ciliated Bronchi: pseudo stratified ciliated, cartilage, mucus glands Bronchiole: Clara cells, no glands, smooth muscle Respiratory bronchioles --> alveolar ducts --> alveolar sacs Capillary-alveolar space: each has its own epithelium and BM w/ interstitium between Pneumocytes: 1: flat, 95% of surface 2: small, surfactant, regenerative, induce fibrosis

Back

Gun Shot Wounds

Front

Distance: - Contact: muzzle imprint (discoloration) - Close (6-8 inches): bullet + gunpowder stippling + soot - Intermediate (1-3 feet): bullet + gunpowder stippling - Distant (3+ feet): bullet only Entrance wounds (circular) vs. exit wounds (stellate, irregular)

Back

Pneumoconioses

Front

Small particles engulfed by alveolar macrophage (dust cell) --> IL1/TNF --> fibrosis...most often occupational exposure: Coal worker (carbon dust): "black lung", assoc. with RA (Caplan syndrome), UPPER lobes Carbon pollution (mild exposure): benign, anthracosis, carbon-laden macrophages in lung and hilar lymph nodes Silicosis: sandblasters (cleaning brick buildings), silica miners, silica impairs phagolysosomal fusion, silicotic nodules (concentric collage fibers) increased risk for TB and lung cancer, UPPER lobe (like TB) Berylliosis: miners, aerospace workers, noncaseating granulomas in lung, hilar nodes, and other organs (like sarcoid), increases risk for lung cancer, upper lobes Asbestosis: construction/plumbers/ships, fibrosis of lung and pleura, asbestos bodies (long, golden brown, "ferruginous" body), mesothelioma, lung cancer (more), laryngeal cancer, LOWER lobes

Back

Guillian-Barre Syndrome

Front

Life-threatening autoimmune peripheral demyelination associated with previous infections (campylobacter jejuni, CMV/EBV) and subsequent cell-mediated immune response a few weeks later --> segmental dymyelination and ascending paralysis Clinical: ascending motor paralysis that can progress to respiration (support w/ ventilator) Treatment: plasmapheresis, IVIG helps

Back

Frontotemporal Dementia (Pick's)

Front

Degenerative disease that PICKS the frontal (behavioral) and temporal (language) cortices eventually progressing to dementia...little memory loss initially Occurs earlier than Alzheimer's (40-60 years) Histology: - ROUND, silver-staining aggregates of tau protein in neurons - posterior 2/3 of super temporal gyrus is spared

Back

Myotonic Dystrophy

Front

AD w/ anticipation due to CTG repeats in DMPK gene --> sustained involuntary contractions (myotonia) with difficulty releasing Clinical: myotonia, muscle wasting, cataracts, testicular atrophy, frontal balding, arrhythmia (My Tonia, My Testicles, My Toupee, My Ticker)

Back

Metabolic Disturbances on Neurologic System

Front

Hypoglycemia - loss of neurons in hippocampus and cortical 3, 5, 6 Hyperglycemia - hyperosmolar coma and diabetic ketoacidosis --> confusion/stupor/coma Hepatic encephalopathy - complications of liver failure/cirrhosis - blood is shunted around liver and NH3 (ammonia) is not metabolized...also other toxic chemicals --> seizures, asterixis, coma

Back

Types of guns

Front

Handguns (one bullet and short barrel) - Revolvers: user must manually "revolve" to rotate new bullet into barrel - Automatic: force from fired cartridge helps to reload (bullet has rotating marks on it) Shotguns (multiple pellets and long barrel)

Back

COPD (obstructive lung diseases)

Front

Characterized by obstruction of air flow resulting in air trapping during expiration Types: bronchitis, emphysema, asthma, bronchiectasis Spirometry: - FVC down, FEV1 DOWN --> decreased FEV1/FVC ratio (<70%) - TLC and RV increased (due to air trapping)

Back

Progressive Multifocal Leukoencephalopathy (PML)

Front

JC polyoma virus infection of oligodendrocytes --> demyelination of CNS Immunosuppression (AIDS, leukemia) leads to reactivation of latent virus Rapid neurologic signs --> death

Back

Natural causes of sudden death

Front

>90% are cardiovascular (80% of those are due to atherosclerosis) - CAD (most common, >60% luminal narrowing...death may result from ischemia or ischemia-induced arrhythmia) - PE (saddle embolus) - Myocarditis (viral, Coxsackie B) - Valvular (bicuspid aortic, rheumatic mitral, MVP) - Berry aneurysms --> SAH - ICH from HTN or amyloid - Perforated peptic ulcer - Intense anaphylaxis (type I HS) - HOCM (young athletes w/ enlarged heart and septal thickening)

Back

ARDS (acute respiratory distress syndrome)

Front

Damage to alveolar-capillary interface --> protein leakage/edema (non-cardiogenic), necrotic epithelial cells, and hyaline membrane (fibrin-rich fluid and necrotic debris) Clinical: - hypoxemia/cyanosis (thicker diffusion barrier) - lung collapse (atelectasis due to increased surface tension) - CXR shows diffuse "white-out" - interstitial fibrosis (restrictive-like) Causes: sepsis, infection, shock, trauma, aspiration, pancreatitis, DIC, hypersensitivity, drugs...neutrophils secrete proteases (imbalance) and free radicals --> damage to pneumocytes (I and II) Treatment: - underlying cause - PEEP (keep lungs open)

Back

Alzheimer's Treatment

Front

AChEI (mild to moderate for slowing the progression): Tacrine, Donezipil, Rivastigmine, Galantamine NMDA antagonist (moderate to severe): Memantine

Back

Pneumonia Overview

Front

Infection of the lung parenchyma...normally occurs with impaired defenses (ex. cough reflex, mucus plugging, ciliary stasis, viral pneumonia superinfection) Clinical: - fever and chills - cough with sputum (pus and/or blood) - tachypnea - pleuritic chest pain (maybe pleural rub) - bronchial breath sounds w/ dullness to percussion and increased fremitus - elevated WBC (infection) Complications: - empyema (pus in pleural space) - bacteremia: spread in blood - lung abscess: walled off infection Diagnosis: - CXR (lobar vs. broncho vs. interstitial) - sputum stain - blood work

Back

Bronchiectasis

Front

Dilation of airways leading to lost ability of air to exit (ex. air slower through big pipe, circles around)...secondary to necrotizing inflammation to airway walls Causes: - cystic fibrosis - kartagener syndrome (defective dyne arm of cilia --> sinusitis, situs inversus, infertility, lung infection-can't clear) - infections - bronchial obstruction - allergic bronchopulmonary aspergillosis (asthmatics and cystic fibrosis have hypersensitivity to aspergillus) Clinical: cough, SOB, copious foul-smelling sputum (rotting in lung) - later hypoxemia and cor pulmonale - amyloidosis (due to chronic inflammation)

Back

Parkinson's Disease

Front

Degenerative disease with loss of dopaminergic neurons in substantia nigra pars compact --> striatum in basal ganglia (nigrastriatal pathway) Etiology: aging, maybe MPTP (illicit drug) Clinical (TRAPS, which can progress to dementia): - Tremor (pill rolling at rest) - Rigidity (cogwheel) - Akinesia/bradykinesia (w/ expressionless face) - Postural instability - Shuffling gate Histology: - loss of pigmented neurons in substantia nigra - round, eosinophilic inclusions of alpha-synuclein (Lewy bodies)

Back

Huntington Disease

Front

Degeneration of GABA neurons in caudate nucleus of basal ganglia --> less inhibition of cortex --> unwanted movement (chorea) Genetics: AD, chr4, CAG repeats of hungtintin gene w/ anticipation through males (expansion occurs during spermatogenesis) Symptoms: chorea + athetosis ("snake-like") that can lead to dementia/depression (high suicide rate) Histology: atrophy of caudate (larger lateral ventricle since caudate borders ventricle) *HUNT 4 DANCING SNAKE and GrAB her and put into a CAGe

Back

Parkinson Treatment

Front

Levodopa (DA replacement) DBS on subthalamic nucleus

Back

Blunt vs. Sharp force trauma

Front

Blunt force --> Lacerations (skin tearing) Abrasions (scrape/friction) Contusions (bruise w/ bleeding) Sharp force --> Stab (depth bigger than length) Incised (depth less than length) Puncture (pointed object) Chop

Back

Cause vs. Mechanism vs. Manner

Front

Cause: disease/injury responsible for initiating the lethal sequence of events Mechanism: physiological derangement produced by the cause that results in death itself Ex. GSW led to exsanguination (Cause = GSW, mechanism = exsanguination) Ex. Cardiovascular disease led to myocardial infarction (Cause = CVD, mechanism = MI) The cause and mechanism can be vice versa Manner: how the cause arose (natural vs. accident vs. suicide vs. homicide vs. undetermined)

Back

Inflammatory Myopathies

Front

Polymyositis: symmetrical proximal muscle weakness (problems with stair, chairs, hair) --> distal later...also heart/lung/vessel manifestations Dermatomyositis: polymyositis + rashes (periorbital heliotrope and knuckles/elbows gottrons papules)

Back

Postmortem changes

Front

Rigor mortis: stiffening, disappearance of ATP, 3-36 hours, starts in small (jaw) and spreads to large muscles, can be mechanically broken by stretching Livor mortis: accumulation of blood with pale areas where resting on surface, 2-6 hours = in vessels and can be blanched, 10+ hours = in interstitium and cannot be blanched (tardieu spots = petechiae) Desiccation: drying of tissues/mucous membranes (lips/eyes/scrotum) --> red/black Ocular: open eyes --> red/black with drying (tache noire) in 3 hours, closed eyes --> cloudy corneal in 24 hours Decomposition: - green discoloration of abdomen (24-36 hours) - marbling (hemolysis of blood vessels) - epidermis becomes detached - sulfhydryl groups give bad odor - gassy distension of cavities Adipocere: adipose becomes waxy and acts as preservative, only in wet places)

Back

Subacute Sclerosing Panencephalitis (SSPE)

Front

Progressive, debilitating sequelae of measles virus from infancy --> death Viral inclusions in neurons (gray) and oligodendrocytes (white)

Back

Cases reportable to a medical examiner

Front

Natural deaths (where cause may still be unknown) and non-natural deaths (homicide, suicide, accident) Homicide: volitional act by another (but no "criminal" intent - leave it to the legal system) Suicide: intentional, self-inflicted Accident: no evidence of intent (ex. MVA, fall, OD, drowning) Natural death w/ no need for internal autopsy: - 50-60 history of cardiac disease - <50 with terminal cancer, AIDS - >60 with no suggestion of anything except natural death

Back

Neurotoxicities

Front

CO: - hypoxic damage (cortex, hippocampus, cerebellar) - cherry red skin - globus pallidus necrosis Methanol: - metabolized to formic acid - toxic to retinal ganglion cells --> metabolic acidosis, blindness Ethanol (long term): - cerebellar degeneration (ataxia, wobbly gait, nystagmus) - peripheral neuropathy - rhabdomyolysis - FAS (retardation, smooth philtrum, epicanthal folds) Radiation: - increased ICP (HA, N/V, papilledema) - coagulative necrosis and vasogenic edema - tumors: meningiomas, sarcomas, gliomas Lead: - children: CNS, mental development + encephalopathy - adults: peripheral neuropathy (demyelination --> wrist/foot drop)

Back

Idiopathic Pulmonary Fibrosis (Usual Interstitial Pneumonia)

Front

Fibrosis of lung interstitium...unknown etiology but possibly cyclical injury (temporal heterogeneity with some cysts and some fibrosis) where TGF-beta from injured type 2 pneumocytes causes collagen deposition Must exclude fibrosis by drugs (amiodarone and bleomycin) and radiation Clinical: - progressive SOB and cough - fibrosis on CT ("honeycomb") often in LOWER lobes - poor outcome (<3 yr survival) Treatment: lung transplant

Back

Leprosy

Front

Lepromatous: infected schwann cells --> demyelination and remyelination with fibrosis at site of injury --> symmetric loss of pain fibers (unaware of injuries) Tuberculoid: cell-mediate --> granulomas and more localized

Back

NRDS (neonatal respiratory distress syndrome)

Front

Respiratory to distress in neonate due to inadequate surfactant --> increased surface tension --> alveolar collapse (hard to inflate again) Clinical: - tachypnea - high respiratory effort w/ accessory muscles - hypoxemia w/ cyanosis Caused by: - prematurity: surfactant starts at 28, adequate at 34, Lecithin:sphingomyelin ratio (lecithin/PDC increase) >2 is adequate - C-section: lack of stress-steroids (steroids increase surfactant production) - maternal diabetes: insulin decreases surfactant Complications: - PDA (hypoxemia-caused since oxygen closes the DA) - necrotizing entercolitis (hypoxemia) - free-radicals from oxygen therapy --> ROP (blindness) and bronchopulmonary dysplasia Treatment: - maternal steroids before birth - artificial surfactant after birth

Back

Pulmonary embolism

Front

Consequence of DVT from legs...most are clinically silent (collateral blood supply) Significance and outcome depends on size: - small: silent, or increase PHTN - medium: wedge-shaped infarct - big (saddle): death from acute right heart failure Risk factors: cancer, stasis, hyper coagulable, OCP, pregnancy Clinical: - chest pain, SOB, hemoptysis - pleural rub

Back

Section 7

(50 cards)

Bronchopneumonia

Front

Scattered patchy consolidation around bronchioles Microbes (bacterial): - staph aureus (superinfection, IVD, nosocomial) - hemophillus (COPD) - pseudomonas (CF) - moraxella (COPD)

Back

Hematuria

Front

Gross (visible by eye) vs. microscopic (>3 RBCs/hpf) Urine dipstick normally detects microscopic (FP w/ myoglobin, antiseptic solutions, bleach) Isomorphic: anywhere in GU system Dysmorphic: glomerular origin RBC casts: glomerular Main causes: - UTIs (women) - bladder cancer (men) - kidney disease (men)

Back

Quick Pulmonary Associations

Front

Hemoptysis: cancer, pneumonia, infarction, TB, bronchiectasis Clubbing: cancer, abscess, empyema, UIP Cavitation: abscess, squamous cell carcinoma, TB, fungus Upper zone: coal workers pneumoconiosis, silicosis, TB, sarcoid Lower zone: asbestosis, UIP

Back

Interstitial (Atypical) Pneumonia

Front

Diffuse interstitial infiltrates w/ mild symptoms (minimal sputum/cough and low fever) Microbes (virus and weird bacteria): - mycoplasma (young adults, cold agglutinin) - chlamydia (young adults) - coxiella (high Q fever, farmer/vets, spores from cattle placentas) - RSV (infants) - CMV (transplant, AIDS, owls eye) - HSV - influenza (elderly/immunocompromised, can be super infected) - adenovirus (mild, "smudge cells")

Back

Essential Mixed Cryoglobulinemia

Front

Resembles MPGN except presence of "PAS-positive capillary loop thrombi" IgG-IgM deposits (linked together) that aggregate when cooled Associated with Hep C

Back

IgA Nephropathy (Berger)

Front

Nephritic syndrome due to IgA immune complex deposition in mesangium (most common nephropathy) that presents in childhood as EPISODIC HEMATURIA often following an MUCOSAL INFECTION (ex. respiratory, GI)...since IgA defends mucosal lining...defective glycosylation of IgA1 could be important LM: mesangial proliferation EM: mesangial deposits IF: IgA deposits Associations: Henoch-Schonlein purpura

Back

Misc. pneumonia

Front

Nosocomial: ill patients, immunocompromised, abx, ventilator (pseudomonas, staph) Lipoid: aspiration of oily substance (ex. mineral oil) engulfed by macrophages --> foamy cytoplasm

Back

Bronchioalveolar carcinoma

Front

Adenocarcinoma in situ (so peripheral) characterized by "thickened" alveolar walls from columnar Clara cells CXR: pneumonia-like consolidation Treatment: resection, good prognosis

Back

Goodpasture Syndrome

Front

A cause of RPGN with linear IF due to anti-BM Ab...these Ab are against collagen IV alpha 3 in BM of alveoli and glomeruli --> hemoptysis and hematuria

Back

Rapidly Progressive Glomerulonephritis (RPGN/Crescentic)

Front

Nephritic syndrome that progresses to renal failure in weeks-months...characterized by "crescents" composed of fibrin, macrophages, C3b Many causes (use IF): - linear (Goodpasture syndrome due to Ab vs. BM) - granular (PSGN or DPGN) - negative...pauci-immune (vasculitis - perform ANCA)

Back

Complications of Lung Cancer

Front

PSHH Pleural involvement (esp. adeno) that could lead to effusions SVC syndrome (obstruction) leading to distended neck veins and edema of face/UE Hoarseness from compression of the superior recurrent laryngeal nerve Horner's syndrome (Pancoast-apical tumor) from compression of sympathetic chain

Back

Pneumocystis jiroveci

Front

Remains latent and reactivated in immunocompromised (AIDS <200) Histology: - foamy, pink exudate ("cotton candy") - mononuclear infiltrate - silver stain (GMS)

Back

Glomerulus Anatomy

Front

Mesangial: between (mes) vessels (angial) Endothelium, BM, and Epithelium make up the filtration barrier which is negatively charged due to heparin sulfate proteoglycans

Back

Minimal Change Disease

Front

Most common NEPHROTIC syndrome in CHILDREN Pathogenesis: loss of podocyte foot processes (effacement) due to cytokines...selective proteinuria (lose albumin but not Ig) LM: normal EM: effacement (flattening) of foot processes IF: negative Assoc: mostly idiopathic, but seen w/ Hodgkin lymphoma (overproduction of cytokines), respiratory infections (25%), immunizations (10%), and drugs (NSAIDs) Treatment: excellent response to steroids (adults not as good as children) but can progress to FSGS

Back

Microalbuminuria

Front

Definition: 30-300g albumin/day Associated with DM (20%) and HTN (30%)

Back

Diabetic glomerulonephropathy

Front

High glucose --> NEG of VASCULAR BM --> protein leaking in and hyaline arteriolosclerosis of efferent-2nd arteriole --> hyper filtration (increased GFR) --> sclerosis of mesangium Initial: microalbuminuria Later: nephrotic syndrome LM: Kimmelstiel-Wilson nodules (mesangial sclerosis/expansion) + membrane thickening

Back

Adenocarcinoma

Front

Most common lung cancer in nonsmokers and females and people with previous lung scars Peripheral location (can spread to pleura) Histology: mucin+ with glandular pattern Treatment: resection, good prognosis

Back

Nephritic Syndrome

Front

Glomerular disorders characterized by glomerular inflammation (neutrophils) Pathogenesis: immune-complex deposition activates complement --> C5a --> neutrophils --> hypercellular/inflamed glomeruli Also seen: - hematuria (with RBC casts and dysmorphic RBCs) - HTN (due to salt retention) - periorbital edema (loose CT) - oliguria - azotemia (increased BUN and creatinine) - proteinuria (<3.5g/day) Types: - PSGN - RPGN - DPGN/MPGN (nephritic-nephrotic) - Alport Syndrome - IgA Nephropathy (Berger)

Back

Polycystic Kidney Disease (PKD)

Front

INHERITED, BILATERAL defect of ENLARGED kidneys with cysts in CORTEX and MEDULLA ARPKD (infants) - worsening renal failure and HTN (increased renin) - born with Potter sequence (facies, pulmonary hypoplasia) - hepatic cysts and fibrosis w/ PHTN ADPKD (ADults) - mutation at birth (APKD1/2), but cysts develop over time - flank pain, hematuria, HTN (increased renin), progressive renal failure - associated with berry aneurysms (cyst in brain), hepatic cysts, and mitral valve prolapse

Back

Drugs that cause ischemic ATN

Front

NSAIDs (inhibit PG at afferent arteriole) and ACE-I/ARBs (inhibit ATII at efferent arteriole) --> potential decrease in blood flow to kidney and possibility for pre-renal azotemia and ischemic ATN

Back

Pauci-immune causes for RPGN

Front

Weg(c)ener's granulomatosis: c-ANCA, nasopharynx/sinuses/lung/kidney Churg-Strauss: p-ANCA, necrotizing, granulomatous inflammation, eosinophilia, asthma Microscopic polyangiitis: p-ANCA, lung/kidney/skin w/ pulmonary hemorrhage

Back

Lung abscess

Front

AKA aspiration pneumonia...seen in alcoholics, comatose patients...often in right lower lobe (anatomy of airway) Microbes (anaerobes): - bacteroides, fusobacterium, peptococcus - staph aureus CXR: air-fluid level Treatment: clindamycin

Back

Large Cell Carcinoma

Front

Highly anaplastic, pleomorphic large cells (no glands, mucin, bridges, or pearls) Treatment: resection, poor prognosis

Back

Acute Renal Failure (ARF)

Front

Acute, severe decrease in renal function with marked azotemia (decrease in BUN and Cr) and oliguria...also called Acute Kidney Injury (AKI) Pre-renal: decreased blood flow to kidneys (shock, dehydration) - decrease GFR w/ azotemia, oliguria - BUN:Cr>15 (wants to resorb lots to conserve volume-BUN can, but Cr cannot) - FENa <1% and Uosm>500 (tubular concentrating function remains intact) Intrinsic: due to ATN, ischemia/toxins, interstitial nephritis, and sometimes acute GN (RPGN/HUS) - decrease GFR (debris obstructing tubules) - BUN:Cr<15 (disrupted reabsorbing capacity) - FENa>2% and Uosm<500 (concentrating function disrupted) - brown, granular casts Post-renal: obstruction of the urinary tract - decrease GFR (back-pressure) w/ azotemia, oliguria - early stage: BUN:Cr>15 (increased tubular pressure "forces" BUN out), FENa<1% and Uosm>500 (tubular concentrating function remains intact - late stage: long standing obstruction leads to disrupted tubular function...BUN:Cr<15, FENa>1%, Uosm<500

Back

Diffuse Proliferative Glomerulonephritis (DPGN)

Front

Nephritic syndrome (can present as nephrotic like MPGN) due to immune complex deposition (sub endothelial or intramembranous) LM: wire looping (loopus) IF: granular (IgG, IgA, C3, !C1q!) Associations: - most common cause of death in LUPUS - can also lead to RPGN (crescentic)

Back

Congenital Nephrotic Syndrome (Finnish)

Front

Rare genetic condition due to mutations in nephrin, a protein in the filtration slit diaphragm between podocytes --> nephrotic presentation (massive proteinuria after birth) Seen in neonates (often premature and small)

Back

Focal Segmental Glomerular Sclerosis

Front

Focal: <50% of glomeruli Segmental: only part of each glomeruli LM: focal segmental sclerosis (hyalinosis) EM: effacement (flattening) of foot processes IF: negative (maybe IgM, C3, C1) Etiologies: - primary idiopathic (most common) - secondary: familial/genetic HIV, heroin use, sickle cell disease, Hispanics, African Americans, obesity Treatment: poor response to steroids

Back

Poststreptococcal Glomerulonephritis (PSGN)

Front

Nephritic syndrome 2-3 weeks after group A beta-hemolytic strep (with M protein, increased anti-DNase B titers, ASO) infection of skin/pharynx...usually seen in children Clinical: hematuria (cola-colored), oliguria, HTN, edema (peripheral and periorbital) IM: hypercellular, inflamed (enlarged) glomerulus EM: subepithelial IC humps (but no BM thickening since it is acute) IF: "starry sky" granular appearance (IgG, IgM, C3) C3 levels return to normal in 2 weeks (unlike DPGN and MPGN) Treatment: supportive (normally resolves, but can progress to RPGN)

Back

Nephrotic Syndrome

Front

Glomerular disorders (damage to filtration charge barrier) characterized by >3.5g/day proteinuria and: - hypoalbuminemia (pitting edema) - hypogammaglobulinemia, IgG (infections) - hypercoagulable (preferential loss of antithrombin III) - hyperlipidemia/cholesterolemia (liver makes fat to "thicken" blood since protein was lost) - frothy urine with fatty casts Types: - Minimal Change Disease - FSGS - Membranous Nephropathy - MPGN/DPGN - Diabetic GN - Amyloidosis

Back

Amyloidosis

Front

Kidney is most commonly involved organ in systemic amyloidosis...amyloid deposits in mesangium --> nephrotic syndrome LM: Congo red stain shows apple-green birefringence under polarized light Types: - AL-primary (lamda light chains): associated with plasma cell dyscrasias such as monoclonal gammopathy of undetermined significance (MGUS) and multiple myeloma - AA-secondary (serum amyloid A): associated with chronic inflammatory states such as RA, AnkSpon, IBD, Crohn's, Ulcerative Colitis

Back

Monoclonal Ig Light Chain Deposition Disease (MIDD)

Front

Associated with plasma cell dyscrasias (multiple myeloma, MGUS) with a nephrotic presentation --> light chain (kappa) deposition in GBM and tubular BM --> nodular mesangial expansion (like diabetic GN)

Back

Lobar Pneumonia

Front

Consolidation of an entire lobe of the lung Microbes (bacterial): - strep pneumo (95%, esp asplenic) - klebsiella (aspiration due to malnourished/debilitated, alcoholics, elderly, diabetics, "currant jelly sputum") - legionella (water source, silver stain) Stages: - congestion: dilation and permeability of vessels --> edema (red and boggy) - red hepatization: spongy lung --> "solid" liver (due to exudate of PMNs, RBCs, and fibrin filling alveolar spaces) - gray hepatization: degradation of red cells within exudate - resolution

Back

Alport Syndrome

Front

X-linked (alpha 5...3 is also lost) (sometimes AR-alpha 3) inherited defect in type IV collagen --> hematuria, sensorineural hearing loss, and eye problems (retinopathy, lens dislocation, cataracts) EM: Thinning and splitting followed by thickened/layered "basket-weave" BM *"Can't see, can't pee, can't hear a buzzing bee"

Back

Membranous Nephropathy

Front

Most common cause of nephrotic syndrome in CAUCASIAN adults characterized by THICK glomerular BM due to SUB EPITHELIAL immune complex deposition IC involves Ab vs. megalin (rats) or phospholipase A2 Assoc: Hep B>C, SLE (most common nephrotic for SLE), tumors, drugs (NSAIDs, penicilamine, gold) LM: GBM thickening EM: "spike and dome" IF: granular Treatment: poor response to steroids and can progress to chronic renal failure

Back

Proteins in Urine

Front

Proteinuria = albuminuria (ish) Albumin = 66.5kD, -ve charge (sticks to +vely charge dipstick) Ig (whole thing) = 150kD, +ve charge Ig kappa/lambda (light) = 22kD, +ve charge (doesn't stick to +vely charge dipstick) Measuring proteinuria: - g of protein/day (measure for 24 hours) - mg of protein/mg of creatinine (one sample) **these are basically the same because the average person excretes 1g of creatinine per day (so 1g and 24 hours are the same) Ranges: - normal: <200 protein, <30 albumin - microalbumin: 30-300 albumin - non-nephrotic: 200-3500 protein, 300-3000 albumin - nephrotic: >3500 protein, >3000 albumin

Back

Squamous Cell Carcinoma

Front

Squamous: Sentral, Smokers, paraneo Syndrome (PTHrp --> hypercalcemia) Histology: keratin pearls and intercellular bridges, cavitation Treatment: resection

Back

Renal Agenesis

Front

Absent kidney formation Unilateral: hypertrophy and hyper filtration of compensating kidney --> renal failure later Bilateral: oligohydramnios (no urine) --> lung hypoplasia (no stretch from urine) and Potter sequence (flat face and low set ears w/ limb deformities)...incompatible with life

Back

Cortical Necrosis

Front

True coagulative necrosis of renal cortex (spares medulla) Causes: placental abruption (obstetric emergency), severe shock, ethylene glycol

Back

Medullary Cystic Kidney Disease

Front

INHERITED, AD defect leading to cysts in MEDULLARY collecting ducts --> parenchymal fibrosis and SHRUNKEN kidneys and worsening renal failure

Back

Acute Tubular Necrosis

Front

Injury and necrosis of tubular epithelial cells...most common cause of ARF (intrinsic azotemia) Necrotic epithelial cells shed and plug tubules --> decreased GFR (back pressure) and muddy brown/granular casts (dead cells) Epithelial damage leads to lower reabsorption ability - BUN:Cr<15 - FENa>2% and Uosm<500 Etiologies: - ischemia (PT and medullary TAL): decreased blood supply that is often preceded by prerenal azotemia - toxins (PT): aminoglycosides, heavy metals (lead/cisplatin), myoglobinuria (crush injury), ethylene glycol, radio contrast dye, urate (tumor lysis - dead cancer cells - use allopurinol during chemo) Histology: - loss of tubular brush border - tubular dilation and "flattening" - granular casts Clinical: - oliguria w/ muddy brown/granular casts - elevated BUN and Cr (BUN:Cr<15) - hyperkalemia and AGMAcidosis (decreased excretion of both) Treatment: requires immediate dialysis, can be reversible since cells can regenerate

Back

Stages of lupus nephritis

Front

1 and 2 = minimal clinical symptoms 3 and 4 = nephritic with low C3 5 = nephrotic 6 = ESRD 1 - Minimal - LM: normal - IF: deposits 2 - Mesangial proliferative - LM: mesangial hypercellularity - IF: deposits 3 - Focal: <50% of glomeruli w/ subendo deposits 4 - Diffuse: >50% of glomeruli w/ subendo deposits 5 - Membranous: subepi on LM and IF 6 - Advanced sclerosis: 90% globally sclerosed

Back

Fungal pneumonias

Front

Dimorphic fungi that cause localized disease in immunocompetent but disseminated disease in immunocompromised (mold in soil, yeast in human): Coccidioides: deserts, spores, spherules Histoplasma: Ohio river valley, bat droppings (caves) Blastomyces: Ohio river valley, broad budding Opportunistic fungi: - candidiasis - cryptococcus: bird dropping, disseminate to meninges, mucoid capsule w/ india ink - mucor: nasal cavity and sinuses, DKA - aspergillosis: 45deg branching, fungus ball in cavity (TB), invasive (blood vessels), allergic BPA --> ashtma/bronchiectasis, hypersensitivity pneumonitis (malt workers)

Back

Horseshoe Kidney

Front

U-shaped conjoined kidney at lower pole...can't ascend all the way because it gets stuck on IMA

Back

Dysplastic Kidney

Front

NONINHERITED, congenital malformation of renal parenchyma w/ cysts and abnormal tissue (DYSPLASIA - ex. cartilage/smooth muscle)...most frequent cause of abdominal mass in newborn Usually unilateral, but can be bilateral (and must be distinguished from PKD)

Back

Bronchial Carcinoid tumor

Front

Well differentiated neuroendocrine cells (chromogranin +ve) that form a polyp-like mass in bronchus (arranged in nests) --> mass effect and possible carcinoid syndrome (5-HT --> flushing, diarrhea, hypotension, wheezing)

Back

Lung Cancer Overview

Front

Most common cause of cancer mortality (2nd most common cancer) - 15% overall survival Risk factors: smoking (polycyclic aromatic hydrocarbons + arsenic, proportional to pack yrs), radon (isotope decay from uranium), asbestos (lung>mesothelioma) Clinical presentation: - symptoms: cough, hemotypsis weight loss - CXR: solitary "coin" nodule (could be benign ex. granuloma, hamartoma) Small cell (15%-chemo-too small to resect) vs. Non-small cell (85%-resective) T: size N: spread to Nodes (hilar and mediastinal) M: adrenal gland

Back

Membranoproliferative Glomerulonephritis (MPGN)

Front

Nephrotic or nephritic syndrome characterized by THICK glomerular BM with "tram-track" appearance due to immune complex deposition...mesangial cells proliferate and "cut" deposit into "tracks" LM: GBM thickening EM: "tram track" IF: granular Types: - I: sub endothelial deposit, associated with Hep C>B, more often "tram tracks", low complement - II: dense deposit - intramembranous deposit of C3, associated with C3 nephritic factor (stabilizes C3 convertase to breakdown C3 --> overactive comp and low C3) Treatment: poor response to steroids and can progress to chronic renal failure

Back

ANCAs

Front

p-ANCA: perinuclear (stains nuclear envelope but not cytoplasm), anti-MPO c-ANCA: cytoplasmic (stains cytoplasm - big hole - but not nucleus), anti-PR3

Back

Small Cell (oat cell) carcinoma

Front

Aggressive, poorly differentiated small (oat) cells (dark blue with scant cytoplasm) of neuroendocrine origin (Chromogranin A +ve) with scant cytoplasm Small: Sentral, Smokers, paraneo Syndrome (Adh, Acth, Antibodies that cause lAmbert-eAton) Treatment: chemo (too small to resect)

Back

Tuberculosis

Front

Inhalation of mycobacterium tuberculosis --> granuloma formation (TH1 releases IFN-alpha leading to macrophage activation) Primary: focal caseating necrosis in LOWER lobe with fibrosis and calcification (Ghon complex) --> asymptomatic (but +ve PPD) Secondary: reactivation (AIDS, aging etc.) --> cavitary caseating necrosis in UPPER lobe --> fevers, night sweats, cough w/ blood, weight loss Systemic spread: - meningitis (basilar) - kidneys (sterile pyuria) - lumbar vertebrae (Pott's) - cervical lymph nodes

Back

Section 8

(50 cards)

Calcineurin Inhibitor Toxicity

Front

Cyclosporine A and Tacrolimus are both Calcineurin inhibitors used in transplants (immunosuppression) but they have significant toxicity. Pathology: isomorphic vacuolization of PT epithelium

Back

Fat necrosis

Front

Fatty acids released when fat dies and binds to calcium (saponification) calcium deposits and "chalky" soap, which appear dark blue on H&E - Trauma to breast Fat necrosis of PERIpancreatic fat

Back

Cellular mechanisms of adaptation

Front

Cell may respond to stress by metaplasia/hyperplasia/dysplasia AND: - sequestering cytoplasmic damaged organelles in phagosomes --> lipofuscin (residual bodies) - induce more/less production of organelles

Back

Mediators of acute inflammation

Front

TLRs: - on innate immune cells - recognize PAMPs (ex. LPS on gram-ve) and DAMPs --> upregulation of NF-kB transcription factor --> release of inflammatory mediators Arachidonic Acid: - released from PL in membrane by PLA2 - AA (acted on by COX) --> PG --> vasodilation/permeability and fever/pain (PGE2) - AA (acted on by 5-lipo) --> LT --> attracts neutrophils (LTB4) and vasoconstriction/bronchospasm and increased permeability Mast cells: - activated by trauma, C3a/5a, IgE cross-linking - immediate: preformed histamine (vasodilation, vascular permeability) - delayed: AA metabolites (LT) Complement: - all pathways lead to C3/C5 convertase and MAC - C3a/C5a (anaphylatoxins) --> mast cell degranulation - C5a = neutrophil chemoattractant - C3b = opsonin for phagocytosis - MAC = lyse microbes Factor XII (Hageman) --> coagulation --> bradykinin (vasodilation, vascular permeability, pain)

Back

NSAIDS and Corticosteroids

Front

NSAIDS (aspirin) --> COX inhibition --> stop PG synthesis Corticosteroid --> PLA2 inhibition --> stop PG AND LT synthesis

Back

Renal Transplant Rejection

Front

Major indications: HTN, DM Hyperacute - minutes to hours - host preformed Ab vs. blood antigens Acute - weeks to months - T-cell or Ab mediated vs. HLA antigens Chronic - months to years - diffuse interstitial fibrosis and arterial sclerosis

Back

Cellular injury

Front

Injury occurs when stress exceeds the cell's ability to adapt (hyper/meta/dysplasia)...the injury can be reversible or irreversible Causes of injury: - inflammation - nutritional excess/deficiency - hypoxia - genetic mutation - trauma

Back

Acute Interstitial Nephritis

Front

Drug-induced hypersensitivity (drugs act as haptens) rxn involving the interstitium (the CT b/w tubules) that results in ARF (intrarenal azotemia) Drugs: NSAIDs, penicillin, diuretics, sulfa, phenytoin Clinical: - oliguria w/ EOSINOPHILS in urine - fever and rash - hematuria Treament: resolves w/ cessation of drug, but can lead to renal papillary necrosis

Back

Carbon tetrachloride

Front

A solvent used in dry-cleaning industry that leads to oxidative free radical injury CCl4 --> CCl3 (by P450 system) --> cellular injury and ribosomal swelling --> loss of protein synthesis --> lower apolipoproteins --> fatty liver

Back

Necrosis vs. Apoptosis

Front

Necrosis: PATHOLOGIC cell (MANY) death that is accompanied by INFLAMMATION Apoptosis: PHYSIOLOGIC (programmed) cell (ONE or FEW) death that is ENERGY-DEPENDENT

Back

Metaplasia

Front

Change in stress --> change in CELL TYPE Often seen in epithelium (ex. Barrett esophagus - with reflux, the esophagus epithelium changes from squamous --> columnar mucin-producing...to handle acid reflux) REVERSIBLE, but can progress --> dysplasia --> cancer (ex. Barrett's esophagus --> adenocarcinoma) Ex. myositis ossificans - ossification of skeletal muscle during trauma (density in muscle on XR)

Back

Sequence of events in cell injury

Front

EM (minutes): membrane swelling, mitochondrial densities, nuclear loss LM (later): swelling, fatty change Gross: necrosis

Back

Affects on low ATP on cells

Front

Low ATP (from OxPhos deficiency in hypoxia) --> Na/K pump dysfunction --> high intracellular Na --> swelling (water follows) --> Ca pump dysfunction --> high intracellular Ca --> activation of BAD enzymes --> anaerobic glycolysis --> lactic acid buildup --> protein/nuclear denaturation

Back

Chronic Renal Failure (CRF)

Front

ESKF that can result from insults to ANY area of kidney (glomerulus, tubules, inflammatory, vascular)...most commonly w/ DM, HTN, glomerular disease --> shrunken/cystic kidneys that don't work Symptoms (MAD HUNGER): - Hyperkalemia and Metabolic Acidosis (cannot excrete H+/K+) - Uremia...increased nitrogenous waste products --> nausea/anorexia, pericarditis, encephalopathy w/ asterixis, urea crystals in skin - Na/H20 retention --> HTN/edema - Anemia (less erythropoietin from renal peritubular interstitial cells) - Hypocalcemia (decreased 1-alpha hydroxylation of vitamin D) - Renal osteodystrophy (hypocalcemia --> increased PTH-secondary hyperparathyroidism --> bone resorption/osteoporosis + osteomalacia/cannot mineralize) Treatment: dialysis or transplant

Back

Gangrenous necrosis

Front

Prolonged ischemia of limbs/GI tract Dry: no infection Wet: superimposed infection liquefaction

Back

UTI basics

Front

Infection of urethra, bladder (cystitis), or kidneys (pyelonephritis) More common in women (shorter urethra due to ascending infection) Risk factors: sexual intercourse, urinary stasis, catheters

Back

Renal oncocytoma

Front

BENIGN epithelial tumor with a gross appearance of "well-circumscribed mass (solid/tan) with central scar" - no "clear" cells unlike RCC. Often resected to exclude malignancy Histology: cells with abundant mitochondria Clinical: flank pain, hematuria, palpable mass

Back

Calcium deposition (calcification)

Front

Dystrophic: deposits of calcium on DEAD tissue in NORMAL serum calcium levels (ex. saponifaction in fat necrosis) Metastatic: deposits of calcium/phosphate on ALL BODY tissue in HIGH serum calcium

Back

Inflammation overview

Front

Inflammatory cells, proteins, and fluid enter interstitial space...divided into acute (neutrophils) and chronic (lymphocytes) 1st: fluid (edema), proteins (complement) 2nd: neutrophils (24 hrs) 3rd: macrophage (2-3 days) Characteristics: - redness/warmth (hyperemia from vasodilation - histamine, PG, bradykinin) - swelling (exudative edema - histamine) - pain (bradykinin, PGE2) - fever (IL-1/6, TNF --> PGE2 --> raise hypothalamic set-point)

Back

Wilm's Tumor (nephroblastoma)

Front

MALIGNANT kidney tumor of immature mesenchyme (blastema) often seen in children (average age 3 years) Clinical: palpable mass, hematuria, HTN (renin secretion) Pathogenesis: loss of function of tumor suppresor WT1/2 on chr 11 Can be part of syndrome: - WAGR (WT1): Wilm's tumor, Aniridia, Genital abnormalities, Retardation - Beckwith-Wiedemann (WOHHM - WT2): Wilm's tumor, Organomegaly, Hypoglycemia, Hemihypertrophy, Macroglossia

Back

Chronic Pyelonephritis

Front

The result of multiple episodes of acute pyelonephritis --> interstitial fibrosis and tubular atrophy...REQUIRES predisposition (vesicoureteral reflux in children, BPH/carcinoma/stone in adults) --> cortical scarring (esp at poles) w/ blunted calyces Histology: "thyroidization" (atrophic tubules w/ eosinophilic proteinaceous material looks like follicles)

Back

Liquefactive necrosis

Front

Tissue becomes liquefied due to enzymatic lysis of cells/protein (enzymes leak out of dead cells) - Brain (microglial cells) - Abscess (neutrophils) Pancreatitis (pancreatic enzymes)

Back

Irreversible cellular injury

Front

Membrane damage (hallmark) - PLASMA membrane (leaking of cytoplasmic contents into serum ex. cardiac troponin, Ca2+ into cell) - MITOCHONDRIAL membrane (loss of OxPhos and cytc leaking apoptosis) LYSOSOMAL membrane (hydrolytic enzymes activated by Ca2+ kill stuff)

Back

Acute inflammation

Front

Characterized by edema and neutrophils - fluid and PMN filtered through vessel wall Response to infection (innate, to eliminate pathogen) and necrosis (clear debris)

Back

Angiomyolipoma

Front

Hamartoma composed of blood vessel (angio), muscle (myo), and fat (lipoma)...common in TSC

Back

Dysplasia

Front

Disordered cellular growth and the proliferation of PRECANCEROUS cells...can arise from hyper/metaplasia REVERSIBLE (remove inciting stress)

Back

Coagulative necrosis

Front

Nucleus disappears BUT cell shape/structure remains intact/firm Often due to ischemia/infarct (except brain) wedge-shaped infarct Two kinds: - Red: due to REPERFUSION of LOOSELY organized tissue due to VENOUS OCCLUSION (artery still supplies) or COLLATERAL CIRCULATION (lung, liver, intestine) White (pale): solid organs with a single blood supply (heart, kidney, spleen)

Back

Cell death

Front

Nuclear loss (hallmark) - Pkynosis: condensation - Karyorrhexis: fragment - Karyolysis: dissolution

Back

Free radicals

Front

Oxygen species with UNPAIRED ELECTRONS in outer shell...the bad ones (3 middle) can be "dealt with" by listed enzyme O2 --> O2' (SOD) --> H202 (CAT) --> OH' (glutathione peroxidase) --> H20

Back

Cystitis

Front

UTI of the BLADDER Clinical (no systemic): dysuria, frequency/urgency, and suprapubic pain Lab findings: - cloudy urine - >10 WBCs/hpf - +ve leukocyte esterase on dipstick (WBC) - nitrites on dipstick (bacteria convert nitrate to nitrite) - 100k CFU in culture Etiology: - E Coli (80%) - Staph saprophyticus: young, sexually active women - Klebsiella pneumoniae - Proteus mirabilis: alkaline/ammonia urine - Enterococcus faecalis Sterile (-ve culture) with pyuria (+ve dipstick and microscopic) --> urethritis caused by Neisseria/Chlamydia

Back

Free radical injury

Front

Can be physiologic (ETC) or pathologic (radiation, inflammation, drugs, metals, reperfusion) Free radicals cause tissue damage by peroxidation of lipids (membrane damage) and oxidation of DNA (mutations) Protective mechanisms: - antioxidants (ACE) - enzymes (catalase, SOD, glutathione peroxidase) - metal carriers (transferrin/ferritin-iron, cerulopaslmin-copper)

Back

Squamous Cell Carcinoma (urinary tract)

Front

Malignant proliferation of squamous cells (doesn't normally have squamous cell epithelium, so must start after squamous metaplasia due to chronic irritation)...worse prognosis than transitional cell Most common in bladder Risk factors: - chronic cystitis - schistosoma hematobium (middle eastern male) - long standing nephrolithiasis - smoking Clinical: painless hematuria

Back

Renal Cell Carcinoma (RCC)

Front

MALIGNANT epithelial (PCT) tumor of kidney tubules Epi: - older men (3M:F) - 70% of renal carcinoma - occur in smokers (sporadic) Gross: well-circumscribed but irregular yellow mass protruding from cortex Histology: "clear cell" filled with lipids/glycogen Clinical: - triad: hematuria, palpable mass, flank pain - fever, weight loss - paraneoplastic syndrome (EPO --> polycythemia, renin --> HTN, PTHrp --> hypercalcemia, ACTH --> Cushings) - can lead to left-sided varicocele after spread to left renal vein (hematogenous spread although epithelial - spreads to lung/bone) - can spread to retroperitoneal lymph nodes Pathogenesis: - loss of VHL (3 letters) tumor suppressor gene on chr 3 in RCC (3 letters) --> IGF (3 letters) --> HIF (3 letters) --> VEGF/PDGF - sporadic: unilateral, upper pole, older males, cigarette smoke - inherited: VHL disease, younger, bilateral, w/ hemangioblastoma of cerebellum Grading: 1- confined to kidney 2 - invades the peri-renal fat 3 - involves the lymph nodes or renal vein 4 - distant metastases Prognosis: 5-yr survival is 70% for grades 1-3

Back

Thrombotic Thrombocytopenic Purpura (TTP)

Front

Inherited defect due to Ab vs. ADAMTS13 (a plasma metalloprotease that cleaves/degrades vWF) --> micro thrombi formation (--> low platelets) and hemolytic anemia (RBCs "shear" over thrombi) Clinical: - thrombocytopenia (formation of thrombi) - purpura - hemolytic anemia (shearing of RBCs) - CNS involvement (unlike HUS, which involves kidney more)

Back

Papillary Renal Carcinoma

Front

10-15% of renal carcinomas (after 70% clear cell) Histology: - psammoma bodies - foamy macrophages - hemorrhage Genetics: - trisomies of chr7/17 - loss of Y chr

Back

Reversible cellular injury

Front

Cellular swelling (hallmark) due to increase intracellular Na+ and following water - Loss of microvilli (like blowing up a latex glove and loss fingers) - Membrane blebbing Dissociation of ribosomes from RER decrease in protein synthesis

Back

Caseous necrosis

Front

Combination of coagulative/liquefactive necrosis...granulomatous inflammation in TB/fungal infections

Back

Autophagy

Front

- Intracellular - Lysosome-mediated - Ovoid inclusion bodies - Ubiquitination

Back

Hemolytic-Uremic Syndrome (HUS)

Front

Consumption of undercooked beef w/ EHEC O157:H7 w/ Shiga toxin --> endothelial damage --> micro thrombi formation (--> low platelets) and hemolytic anemia (RBCs "shear" over thrombi) Clinical: - acute diarrhea (bacterial infection) - thrombocytopenia (formation of thrombi) - hemolytic anemia (shearing of RBCs) - ARF (thrombi and vasoconstriction in glomerular capillaries --> hypoperfusion)

Back

Steatosis (fatty change)

Front

Accumulation of TG Can be due to: - starvation - alcohol (most common) - CCl4 poisoning (dry cleaning)

Back

Atrophy

Front

Decrease in cell SIZE (ubiquitination of cytoskeleton and autophagy of organelles) and NUMBER (apoptosis) due to decrease in stress/hormones/nutrients

Back

Hypoxia

Front

Hypoxia = low oxygen supply to tissue (impair OxPhos leading to low ATP/energy) and causes cellular injury Can be due to: - ischemia (decreased blood to tissue - atherosclerosis, shock, decreased venous drainage) - hypoxemia (PaO2<60 - high altitude, hypoventilation, alveolar diffusion defect, V/Q mismatch) - low O2 binding capacity (anemia=low Hb, CO poisoning=normal Hb but competitive binding, methmoglobinemia=oxidant stress on Fe-->Fe3+ within Hb leads to inability to bind O2)

Back

Transitional (urothelial) Cell Carcinoma

Front

Malignant tumor from urothelial lining (epithelial hyperplasia precedes) of renal pelvis/ureter/bladder/urethra Most common type (90%), most often in bladder, most often w/ older adults most often papillary Risk factors (Pee SAC): - Phenacetin - Smoke (polycyclic aromatic hydrocarbons, naphthylamine) - Azo/Aniline dyes (hairdresser) - Cyclophosphamide Clinical: painless hematuria

Back

Nephrolithiasis (kidney stones)

Front

Precipitation of urinary solute as a stone (from low urine or high solute leading to a high solute concentration) Clinical: - colicky pain - hematuria - unilateral flank tenderness - stone is usually passed (surgery if not) 4 types: - Calcium (80%): most often hypercalcuria w/ normocalcemia (idiopathic), can be ethylene glycol, vitamin C - Ammonium magnesium phosphate (15%): infection w/ urease +ve (Klebsiella, Staph sapro, Proteus), staghorn caliculi - Uric acid (5%): radiolUcent, hot/arid climate, acidic urine w/ low volume, gout or high cell turnover (leukemia) - Cystine (1%): children, AR condition cystinuria

Back

Fibrinoid necrosis

Front

Damage to blood vessel wall due to leaking of proteins into wall bright pink staining - Malignant HTN Vasculitis

Back

Pyelonephritis

Front

UTI of the KIDNEY...usually due to ascending infection (vesicoureteral reflux, catheter, obstruction predisposes) Clinical: fever + leukocytosis (systemic signs) w/ flank pain, WBC casts (intrarenal), and cystitis signs (dysuria, urgency/freq) Etiology: - E Coli (90%) - Enterococcus faecalis - Klebsiella

Back

Oncosis

Front

Cellular swelling

Back

Apoptosis

Front

Energy-dependent (uses ATP) programmed cell death of single/small groups of cells...no inflammation Process/features: - eosinophillic cytoplasm - cell shrinks - nucleus condenses/fragments - apoptotic bodies fall (like leaves from a tree) and are phagocytzed Mediated by caspases (caspase 3 is central) --> proteases (cytoskeleton) and endonucleases (DNA --> specific-sized fragments) Intrinsic (mitochondrial) pathway (caspase 9): bcl-2 (holds cyt c) inactivation --> cyt c leakage --> apoptosome --> apoptosis Extrinsic (receptor-ligand) pathway (caspase 8): FasL binds Fas receptor, TNF and TNF-R CD8 T-cell pathway: perforins (create pores) and granzymes (activate caspases)

Back

Renal Papillary Necrosis

Front

Necrosis of renal papillae that presents with gross hematuria and flank pain...can come from acute interstitial nephritis Causes included (SAAD): - Sickle cell - Analgesics (chronic NSAIDs) - Acute pyelonephritis - DM

Back

Hypertrophy vs. hyperplasia

Front

-trophy: increase in cell size (NOT #) due to increase in stress/work -plasia: increase in cell # due to increase in stress/work Normally occur together, EXCEPT heart/brain/nerve (cannot make new cells, so only undergo hypertrophy) Hyperplasia CAN --> dysplasia --> cancer (ex. endometrium, NOT BPH)

Back

Section 9

(50 cards)

Repair in wound healing

Front

Damaged tissue is replaced with a fibrous scar because it cannot be regenerated (either permanent tissue OR if stem cells are lost) - myocardium (MI) - DEEP skin cuts (stem cells in basal layer are lost)

Back

Neoplasia

Front

Unregulated, irreversible, monoclonal (from one progenitor cell - only one isoform is found) Can be benign (local) or malignant (invasion with potential for metastases)

Back

Cancer screening

Front

Goal of screening is to find dysplastic change before cancer arises OR cancer before symptoms Common screening: - pap smear (find CIN - cervical intraepithelial neoplasia) - mammography (find ductal carcinoma in situ - prior to invasion) - PSA/DRE (grows in posterior, find prostate cancer before spread) - hemoccult/colonoscopy (find benign adenomas/polyps and remove)

Back

Type I HSR Examples (2)

Front

Allergic/atopic (rhinitis, eczema, asthma, hives/urticaria) Anaphylaxis (sytemic)

Back

Mechanism of repair in wound healing

Front

1) Granulation tissue - consist of fibroblast (deposit type III collagen), capillaries (by VEGF, provide nutrients), myofibroblasts (contract wound) 2) Scar formation - collagenase removes type III collagen (requires zinc) - type I collagen replaces

Back

Tumor nomenclature

Front

Epithelial cell lineage: - glands: adenoma vs. adenocarcinoma - branching projection: papilloma vs. papillary carcinoma - polyps (non-branching) - cystic Mesenchymal lineage: - fat: lipoma vs. liposarcoma - bone: osteoma vs. osteosarcoma - vessel/endothelial: hemangioma vs. angiosarcoma - smooth muscle: leiomyoma vs. leiomyosarcoma - skeletal muscle: rhabdomyoma vs. rhabdomyosarcoma - CT: fibroma vs. fibrosarcoma - cartilage: chondroma vs. chondrosarcoma Lymphocyte (only malignant): lymphoma/leukemia Melanocyte: nevus (mole) vs. melanoma Blastoma: tumor of progenitor cells Teratoma: tumor of germ cells

Back

Mixed connective tissue disease

Front

Mixed features of SLE, systemic sclerosis, polymyositis Have an ANA and autoantibody vs. U1 ribonucleoprotein

Back

Type IV HSR Pathogenesis

Front

Delayed or cell-mediated (T-cell response) - NO antibodies - sensitized T-cells encounter antigen and release cytokines leading to macrophage activation - can lead to granuloma formation - cytotoxic T-cells also involved

Back

Tumor markers

Front

NOT used for diagnosis (because lack of sensitivity/specificity), but is used to monitor recurrence and response to treatment. Tissue biopsy is REQUIRED for diagnosis PSA: prostate, BPH Chromogranin: neuroendocrine CA 125: ovarian CEA: colorectal/pancreatic ACTH: small cell of lung AFP (transiently elevated in pregnancy): hepatocellular Monoclonal IgG: multiple myeloma Calcitonin: medullary thyroid

Back

Benign vs. Malignant tumors

Front

Benign: - slow-growing - well circumscribed and distinct - mobile - organized - small, uniform nuclei Malignant: - rapid-growing and invasive - poorly circumscribed - fixed - disorganized - large, dark, polymorphic nuclei

Back

Sjogren's Overview and Pathogenesis

Front

Often seen in older women Autoimmune destruction of lacrimal/salivary glands Lymphocyte-mediated (Type 4 HSR) Often seen along with rheumatoid arthritis (may have RF present, whether coupled with RA or not)

Back

Polymyositis/Dermatomyositis

Front

Autoimmune rxn against skeletal muscles (proximal/shoulders weakness and degeneration) No skin rash = polymyositis, with CD8 T-cells With skin rash (scaling on knuckles/knees, heliotrope periorbital) = dermatomyositis, with CD4 T-cells ANA (specifically anti-Jo1 vs. histidyl tRNA synthetase)

Back

Carcinogenesis (oncogenes)

Front

Proto-oncogenes are necessary for normal cell growth and differentiation: - growth factors (ligands that induce growth, ex. PDGF) - growth factor receptors (ex. HER2) - signal transducer (ex. ras) - cell cycle regulators (ex. cyclin, CDK) Mutations --> oncogenes --> unregulated/abnormal growth

Back

Scleroderma Clinical Features (w/ Ab types)

Front

Limited CREST (anti-centromere Ab): rarely effects organs Calcinosis, anti-Centromere Raynaud's Phenomenon Esophageal dysmotitlity Sclerodactyly (skin of hands tight) Telangiectasias Diffuse (antiScl70 vs. DNA topoisomerase I): earlier visceral involvement - GI tract (esophagus dysmotility) - Lung (pulmonary fibrosis) - Kidney (scleroderma renal crisis) - Heart (myocardial fibrosis)

Back

Type I HSR Pathogenesis

Front

Allergic, Atopic, Anaphylactic Antigen (dander, mold, drug etc.) cross-links IgE on mast cells (on SECOND exposure) leading to: first phase (immediate, minutes): release of preformed vasoactive amines (ex. histamine) from mast cells delayed phase (hours): release of leukotrienes and recruitment of inflammatory cells...can be due to eosinophils

Back

Leukocyte Adhesion Deficiency (LAD)

Front

Clinical characteristics: delayed separation of umbilical cord (dead cells don't get cleared), increased circulating neutrophils (don't get into tissue), recurrent infections with no pus Pathophysiology: lack of CD-18 integrins on neutrophils so that they can't bind ICAM/VCAM on endothelium during acute inflammation

Back

Epidemiology of Cancer

Front

Cancer is 2nd leading cause of death in adults/children Adults: CVD, CANCER, chronic respiratory Children: Accidents, CANCER, congenital Incidence: skin, breast/prostate, lung, colorectal Death: lung, breast/prostate, colorectal Lung has HIGH mortality (no screening mechanism and presents late in course - 15% 5-yr survival)

Back

Xeroderma pigmentosum

Front

UVB damage causes pyrimidine dimers, which is normally repaired by restriction endonucleases In XP, the RE are mutated --> permanent DNA damage

Back

Carcinogens (chemicals)

Front

Aflatoxins (aspergillus - stored grains) --> hepatocellular carcinoma Alcohol --> oropharynx/upper esophagus, pancreatic carcinoma, hepatocellular carcinoma Arsenic (in cig smoke) --> skin, lung, angiosarcoma of liver Asbestos --> lung cancer (most likely), mesothelia Cigarettes (polycylic hydrocarbons) --> oropharynx/esophagus, lung, kidney, bladder Nitrosamines (smoked food, Japan) --> stomach carcinoma Vinyl chloride (PVC workers) --> angiosarcoma of liver

Back

Autoantibodies in Sjogren's (3)

Front

ANA: sensitive More specific (against ribonucleoproteins) Anti-SSA (Ro) - can cross placenta --> neonatal lupus and congenital heart block Anti-SSB (La)

Back

Regeneration in wound celling

Front

Damaged tissue can be replaced if stem cells are available to replace it: Labile tissue - stem cells are continuously dividing (ex. skin, bone marrow, bowel) Stable tissue - stem cells are quiescent (G0) but can reenter division (ex. liver) Permanent tissue - no regeneration possible (ex. brain, heart, nerves)

Back

Two-hit hypothesis

Front

Two copies of a gene must be knocked out before symptomatic evidence/tumor formation. ex. rb - if germline mutation then only 1 more hit is needed --> common-ish bilateral retinoblastoma - if sporadic mutations then 2 unlikely hits are needed on the SAME cell --> rare unilateral retinoblastoma

Back

Chronic Granulomatous Disease (CGD)

Front

Clinical characteristics: increased infections with catalase +ve species (s.aureus, pseudomonas cepacia) Pathophysiology: AR or X-linked, NADPH oxidase defect (O2 --> superoxide) Diagnosis: NBT test...remains colorless when O2 CANNOT be converted to superoxide

Back

Chediak-Higashi Syndrome

Front

Clinical Characteristics (BALING): - Bleeding (defective hemostasis) - Albinism (cannot transport melanin) - Leukopenia (difficulty dividing neutrophils) - Infections (cannot destroy pathogens) - Neuropathy (peripheral) - Granules Pathophysiology: AR MT defect that impairs protein/lysosome trafficking --> cannot destroy pathogens or traffic proteins

Back

Type IV HSR Examples (5)

Front

Contact dermatitis (poision ivy, nickel) TB/PPD Sarcoidosis, Berylosis Type I DM Transplant rejection

Back

Drug-induced SLE (Drugs-3/Ab)

Front

Caused by: Hydralazine, Procainamide, Isoniazid Antihistone-Ab Removal of drugs --> remission

Back

Autoantibodies in SLE (4)

Front

ANA: sensitive Anti-dsDNA OR anti-Smith: specific Anti-phospholipid: leads to antiphospholipid syndrome (hypercoagulable state and thrombosis formation...FP syphillis - anticardiolipin, and elevated PTT - anticoagulant)

Back

Carcinogenesis

Front

Cancer requires initiation (DNA damage by caused by carcinogen) AND promotion (continued proliferation and additional mutations)

Back

Scleroderma Overview and Pathogenesis

Front

Presents in middle-aged females Sclerosis of skin, small blood vessels, and visceral organs (fibroblast activation leads to collagen deposition in tissues)

Back

Systemic Lupus Erythematous (SLE) Overview and Pathogenesis

Front

Most commonly seen in middle-aged women of AA/Hispanic/Asian descent Characterized by flare-ups and remissions Apoptosis of cells (in UV damage/sunlight) --> released DNA --> ANA rxn Ab-Ag complexes deposit systemically (Type 3 HSR) --> complement activation/destruction Complement (C1q/C4/C2 - from early classical) deficiency predisposes...lower ability to opsonize Ag-Ab complexes >90% 5-year survival (with biggest killers being renal failure or infection)

Back

Kinetics of tumor growth

Front

Symptoms normally arise after 30 divisions (2^30 cells = 10^9), which is late in course. Only 10 more divisions, 10^12 cells, are compatible with life Tumor growth is NOT associated with a shortened cell cycle, but rather an imbalance between cell production/loss. Also, more cells might be in the proliferative state. Chemotherapy works BEST on fast growing tumors because it affects cells that are actively proliferating

Back

Chronic inflammation

Front

Compared to acute inflammation, it is delayed but more specific. Characterized by lymphocytes (mononuclear) and plasma cells (eccentric nuclei) in tissues Most often seen in: - persistent infections - viruses/fungi/parasites - autoimmune disease - cancer CD4 T-cells: - 1st signal: recognized extracellular antigen on MHC2 on APCs - 2nd signal: activation by B7 onto CD28 --> TH1 (IL-2, IFN-g - cellular) --> TH2 (IL-4, IL5, IL-10 - humoral) CD8 T-cells: - 1st signal: recognize intracellular antigen on MHC1 on all cells - 2nd signal: IL-2 from TH1 CD4 --> killing (1. perforins and granzymes; and 2. express FasL to Fas-R to activate apoptosis) B-cells: activate in 2 ways... - antigen binds surface IgM/IgD - present extracellular antigen to T-cell and CD40-CD40L activation --> IL4/5 --> class-switching --> plasma cell proliferation

Back

Tumor progression

Front

Although tumor origin is monoclonal, the longer a tumor grows, the more subtypes of cells will be evident --> heterogeneity. Subtypes with survival advantage will live longer.

Back

Type III HSR Pathogenesis

Front

Immune Complex deposition in tissues - Ag-Ab binding leading to complement activation and inflammation

Back

Clinical Features of SLE (7)

Front

Non-specific: fever, weight loss, fatigue, lymphadenopathy More specific: (CRASHER) CNS (psychosis/seizures) Rashes: "malar" butterfly, "discoid"...both after sunlight Arthritis Serositis (pleuritis/pericarditis) Hematologic: Ab vs. blood cells (type 2 HSR) Endocarditis (Libman-Sacks - vegetations on both sides of mitral valves) Renal damage (nephrotic/nephritic)

Back

Granulomatous inflammation

Front

Characterized by epitheloid histiocytes (macrophage with abundant pink cytoplasm) surrounded by giant cells and rim of lymphocytes Can be caseating (TB/fungi) or noncaseating (sarcoid, beryllium, cat scratch, crohn) Pathophysiology: macrophages present antigen to CD4 T-cells --> macrophage secretes IL-12 --> TH1 upregulation --> TH1 secrete IFN-g --> macrophages go to epitheloid histiocytes/giant cells

Back

Carcinogens (microbes)

Front

EBV --> nasopharyngeal carcinoma (chinese/african), Burkitt's lymphoma, Hodgkin's lyphoma HHV-8 --> Kaposi sarcoma (older eastern european males, AIDS, transplant pts) HBV/HCV --> hepatocellular carcinoma HPV 16/18 --> vulva/vagina/anus/cervix H. pylori --> gastric/duodenal adenocarcinoma HTLV-1 --> T-cell leukemia/lymphoma (Japan) Liver fluke (chonorchis sinensis) --> cholangiocarcinoma Schistoma haematobium --> bladder cancer

Back

Wound healing

Front

Begins when inflammation begins and occurs via regeneration (only in labile/stable tissues with stem/quiescent cells) and/or repair (when stem cells are not/never present)

Back

Tumor suppressors (2)

Front

p53: regulates progression from G1-->S - if damage, calls DNA repair - if damage irreparable --> BAX --> disrupt bcl-2 (normally stabilizes mitochondrial membrane) --> cyt c leakage from mitochondrial membrane --> apoptosis ...Li-Fraumeni = germline p53 mutation Rb: regulates progression from G1-->S - "holds" E2F until it is phosphorylated by CDK4 --> release and normal progression - mutation leads to "free" E2F and uncontrolled growth

Back

Type III HSR Examples (3)

Front

SLE, Arthus rxn, serum sickness

Back

Neutrophil attractants

Front

IL-8, LTB4, C5a, and bacterial products

Back

Type II HSR Pathogenesis (3) and Examples (3, 3, 2)

Front

Cytotoxic (via antibody/complement binding) destruction via: - opsonization (Ab or C3b) --> phagocytosis (hemolytic disease or newborn, transfusion rxns, autoimmune hemolytic anemia) - antibody binding to basement membrane or ECM --> Fc-mediated inflammation (good pastures - antiglomerularBM-ab, vasculitis-ANCA, bullous pemphigoid - blisters between epiderm/derm) - antibody mediated dysfunction (stimulation - graves TSH, inhibition - MG ACh)

Back

Oncogenes (4 types)

Front

Growth factors: PDGFB (astrocytoma) Growth factor receptors: - HER2/neu (breast) - RET (MEN2A/B, medullary thyroid) - KIT (gastrointestinal stromal) Signal transducers: - ras (mutated ras loses GTPase activity leading to excess signal to nucleus, MANY cancers) - ABL (tyrosine kinase in 9:22 philadelphia chr translocation) --> CML Transcription factors: c-myc (burkitts lymphoma) n-myc (neuroblastoma) l-myc (lung, small cell)

Back

Primary vs. secondary intention

Front

Primary: bring wound edges together (ex. suture) Secondary: edges NOT approximated...granulation tissue fills and myofibroblasts contract wound to make it smaller

Back

Reasons for delayed wound healing

Front

- Infection (continues to call in neutrophils) - Vit C (hydroxylation of collagen), copper (lysyl oxidase), or zinc (collagenase) deficiency

Back

Tumor invasion and spread

Front

Invasion: - down regulation of CAM, E-cadherin --> dissociation of cells in epithelium - attach to laminin on BM - destroy BM collagen type IV with collagenase - attach to fibronectin in ECM - enter vasculature (sarcomas - mesenchyme) or lymphatics (carcinomas - epithelial) and SPREAD - hide from immune system by aggregating with platelets

Back

Carcinogens (radiation)

Front

Ionizing...OH free radicals (nuclear reactor, radiotherapy, Chernobyl) --> AML, CML, papillary carcinoma of thyroid Non-ionizing...pyrimidine dimer (sunlight - UVB) --> melanoma

Back

Neutrophils in acute inflammation

Front

Peak @ 24 hours after inflammation begins 1) Margination (move to edge) 2) Rolling - hit the selectin "speed bump" that bind sialyl Lewis X on neutrophils - P-selectin (upregulated by histamine) from Weibel-Palade body - E-selection (upregulated by TNF/IL-1) 3) Adhesion - CAMs on endothelium upregulated by TNF/IL-1 - Integrins (CD18 - deficient in LAD) upregulated on neutrophils by C5a/LTB4 4) Transmigration/Diapedesis - due to chemoattractants IL-8, C5a, LTB4 5) Phagocytosis - consume pathogens/necrotic tissue using pseudopods - enhanced by opsonins (IgG/C3b) 6) Destruction of phagocytosed material - O2-dependent killing via HOCl (bleach) created in oxidative burst - O2-independent killing via lysozyme/MBP (eosinophils) 7) Resolution - neutrophils die by apoptosis --> pus

Back

Sjogren's Clinical Features

Front

Common: dry eyes, dry mouth, inflammatory joint pain Proof of Sjogren's: Lymphocytic sialadenitis (lymphocytic infiltrate in the salivary gland in the lips) Increased risk: dental caries (lack of saliva), B-cell lymphoma (unilateral parotid enlargement)

Back

Macrophages in acute inflammation

Front

Peak @ 2-3 days after inflammation begins 1-4) Margination, Rolling, Adhesion, Diapedesis (same as neutrophil) 5) Phagocytosis - O2-independent killing (lysozyme) 6) MANAGE inflammation (4 options) - resolution and healing (anti-inflammatory cytokines, IL-10 + TGF-b) - continue acute inflammation (IL-8 call new neutrophils) - abscess formation ("wall off" the inflammation by fibrosis) - chronic inflammation (present to CD4 T)

Back

Section 10

(50 cards)

Primary hemostasis

Front

Formation of a weak PLATELET PLUG (aggregation of platelets) after endothelium vessel wall damage 1) Transient vasoconstriction of damaged vessels ("knee-jerk" reflex) - mediated by neural stimulation - endothelin released (and mediates) 2) Platelet adhesion - vWF (from Weibel-Palade body in endothelial cell AND alpha-granules of platelets) binds exposed endothelium - platelets bind vWF using GPIb receptor 3) Platelet degranulation - ADP (induces GPIIb/IIIa receptor on platelets - necessary for aggregation) - TXA2, a COX product (promotes platelet aggregation - chemoattractant) 4) Platelet aggregation - fibrinogen is the linker molecule that binds GPIIb/IIIa receptors - results in a WEAK platelet plug

Back

Buerger Disease

Front

Pathology: necrotizing vasculitis of digits due to SMOKING Clinical features: gangrene of fingers/toes, raynaud phenomenon

Back

Antithrombotic properties of endothelium

Front

The endothelium has antithrombotic effects and releases factors including: Anticoagulant: - Heparin-like molecules (enhance Antithrombin III --> bind and inhibit thrombin) - Thrombomodulin (modulates thrombin --> activates protein C/S --> inactivated clotting factors V/VIII) Antiplatelet: - ADPhosphaTASE (cleaves ADP) - NO (vasodilation) - PGI2 (prostacyclin, inhibits aggregation) Fibrinolytic: - tPA (activates plaminogen --> plasmin)

Back

Consequences of liver failure of secondary hemostasis

Front

- Decreased production of coagulation factors AND - Decreased activation of epoxide reductase (that recycles vitamin K) --> abnormal secondary hemostasis

Back

Type I DM

Front

Clinical features: weight loss, hyperglycemia, polyphagia, polyuria, polydipsia, glycosuria Pathophysiology: insulin deficiency due to autoimmune destruction by T-cells (aberrant MHC II expression by beta cells) with inflammation of islets Typical patient: thin child Genetics: associated with DR3/DR4, 50% concordance Treatment: life-long insulin *risk for diabetic ketoacidosis

Back

Thrombosis

Front

PATHOLOGIC formation of blood clot (thrombus) in artery or vein (DVT most common) that develop when risk factors are present (hyper coagulable, endothelium damage, disrupted flow) Thrombus (vs. postmortem clot) - lines of Zahn (layers of RBC and platelet/fibrin) - attachment to vessel wall - white head (exposed to flow) and red tail

Back

Hemostasis vs. Thrombosis

Front

Hemostasis: physiologic (healthy) arrest of hemorrhage in response to vascular injury Thrombosis: pathologic (unhealthy) formation of a blood clot with healthy vessels

Back

Type II DM (more common - 90%)

Front

Clinical features, polyuria, polydipsia, polyphagia, and hyperglycemia Pathophysiology: insulin resistance due to decreased number of insulin receptors...followed by insulin deficiency (later) as beta cells get exhausted AND amyloid deposition (amylin secreted with insulin) Typical patient: middle-aged, obese adult Genetics: strong concordance (90%) *risk for hyperosmolar non-ketotic coma (high glucose leads to osmotic diuresis leading to dehydration/hypotension/coma)

Back

Non-enzymatic glycosylation as a sequela of DM

Front

- NEG of large/medium vessel basement membrane --> advanced glycosylation end products (AGEs) --> cross-link plasma protein --> artherosclerosis --> CAD --> peripheral vascular disease and amputation NEG of small vessel (arterioles) basement membrane causing hyaline arteriolosclerosis --> glomerulosclerosis (preferential on efferent arteriole --> hyperfiltration) --> retinal hemorrhage NEG of Hb --> HbA1C

Back

Kawasaki disease

Front

Clinical features: rash on palms/soles, MI (preferential to coronary arteries), fever, lymphadenopathy Classic patient: <4yr old asian child Treatment: aspirin (inhibit platelet aggregation)...NOT for virus infection due to worry of Reyes

Back

Hemolytic Uremic Syndrome (HUS)

Front

Pathophysiology: endothelium damage (from infections - EHEC - O157:H7) --> platelet micro thrombi --> microangiopathic hemolytic anemia EHEC from undercooked beef (industrialized countries)...the "verotoxin" damages endothelium Clinical findings: skin/mucosal bleeding (platelets used up), microangiopathic anemia (shearing across micro thrombi), fever, renal insufficiency (uremic - often occurs in small vessels of kidney)

Back

Glanzmann thrombasthenia

Front

Genetic GPIIb/IIIa deficiency (platelet aggregation is impaired) There are THREE As (IIIa) in glAnzmAnn thrombAsthenia

Back

Vitamin K Deficiency

Front

Vitamin K is made by colonic bacteria, activated/recycled in liver by epoxide reductase (inhibited by warfarin/coumadin) and is responsible for the gamma-carboxylation of factors II, VII, IX, X, C/S Vitamin K deficiency (and secondary hemostasis clinical findings) results from: - warfarin/coumadin therapy - newborns (no bacteria in GI tract to make Vit K) - fat malabsorption (since it is a fat soluble vitamin) - antibiotic therapy (disrupts GI bacteria that make it)

Back

Hemophilia A

Front

Genetics: X-linked recessive deficiency in Factor VIII (AAte) Clinical findings: deep tissue and post surgical bleeding Lab findings: increased PTT (intrinsic pathway), normal PT, decreased factor VIII Treatment: synthetic factor VII

Back

Fibrinolysis

Front

tPA (tissue plasminogen activator) activates plasminogen --> plasmin --> plasmin cleaves fibrin/fibrinogen AND destroys coagulation factors alpha-2-antiplasmin (inactivates plasmin) Disorder mostly associated with activation (streptokinase/urokinase activate plasminogen) even when it is not needed (not stable clots to cleave) --> FIBRINOGEN (not fibrin) cleaving --> NO D-dimer...but still raised PT/PTT

Back

Coagulation Factor Inhibitor

Front

Autoantibody against coagulation factors (auto-FVIII is most common) --> similar findings of hemophilia EXCEPT: when treat with plasma/factor infusion, PTT does not correct (inhibitor binds synthetic factor as well)

Back

Weg(C)ener's Granulomatosis

Front

Pathology: small-vessel necrotizing granulomatous vasculitis involving nasopharynx/lung/kidneys (C-shape) Clinical features: sinusitis, nasopharyngeal ulceration, hemoptysis, hematuria, C-ANCA Treatment: Cyclophosphamide

Back

Hyperemia vs. Congestion

Front

Active hyperemia is due to arteriolar dilation (ex. when exercising to increase blood flow to skeletal muscles) Passive hyperemia (congestion) - LHF --> chronic congestion of lung --> pulmonary edema (with "HF cells" laden with hemosiderin) - RHF --> chronic congestion of liver --> "nutmeg liver"

Back

Grading/Staging of Cancer

Front

Grade (less important): degree of differentiation or similarity to host tissue, 1= good, well diff...4 = bad, poor diff (anaplastic) Stage (more important for prognosis): T = Tumor size (or depth) N = spread to Nodes M = Metastasis...most important

Back

Osmotic damage as a sequela of DM

Front

Glucose enters cell --> sorbitol (conversion by aldose reductase) --> osmotic damage (swelling) When glucose enters: - Schwann cells --> neuropathy - pericytes on retinal bv --> aneurysms --> blindness - lens --> cataracts

Back

Systemic Hypertension

Front

BP >140/90 Primary (95%): unknown etiology, risk factors include age, race (AA), obesity, stress, lack of exercise, salt Secondary (5%): identifiable cause - renal artery stenosis (--> increased renin --> RAAS --> increased TPR and fluid retention)...unilateral atrophy of kidney seen Benign: mild/moderate, no clinical signs (although chronic changes) --> hyaline arteriolosclerosis Malignant: BP >180/120 --> end-organ damage (renal failure, headache, papilledema) --> hyperplastic arteriolosclerosis

Back

Churg-Strauss Syndrome

Front

Pathology: Necrotizing granulomatous vasculitis with EOSINOPHILS involving lungs/heart Clinical features: asthma, P-ANCA, IgE increase

Back

Lipoprotein formulas

Front

Total C = VLDL-C + HDL-C + LDL-C HDL-C = measured directly VLDL-C = TG/5 LDL-C = Total C - (HDL-C + VLDL-C)

Back

Arteriolosclerosis

Front

Narrowing of small arterioles Hyaline arteriolosclerosis - proteins leak into walls --> vascular thickening --> pink hyaline - caused by benign HTN (forcing protein into wall) and DM (NEG of BM leading to leaky wall) - leads to end-organ ischemia (classically arterioloNEPHROsclerosis) Hyperplastic arteriolosclerosis - thickening of small blood vessels due to SM hyperplasia ("onion-skin" wall) - caused by MALIGNANT HTN - leads to fibrinoid necrosis (hemorrhage) and "flea-bitten" acute renal failure

Back

Temporal (giant cell) arteritis

Front

Pathology: large-vessel granulomatous (giant-cell) arteritis of branches of carotid artery (often temporal) leading to intimal fibrosis Clinical signs: headache, bulging temporal artery, visual disturbances (ophthalmic artery), jaw claudication, elevated ESR Stereotypical patient: older woman Treatment: corticosteroids (to avoid blindness)

Back

Causes of edema

Front

- Increased capillary/venous hydrostatic pressure (venous occlusion, CHF) - Reduced oncotic pressure of capillaries (liver failure, decreased albumin synthesis) - Lymphatic obstruction (cancer, inflammation, resection, filariasis) - Increased osmotic pressure of ISF (sodium accumulation)

Back

Immune Thrombocytopenic Purpura (ITP)

Front

Pathophysiology: autoimmune IgG against platelet antigens --> eaten by splenic macrophages --> thrombocytopenia (low platelets) Acute (after a viral infection) vs. Chronic (long-term disease that can be associated with other autoimmune disorder ex. SLE) Lab findings: low platelets, normal PT/PTT (coagulation factors not affected), increased megakaryocytes (trying to produce more platelets) Treatment: corticosteroids, splenectomy (eliminates SOURCE of Ab and SITE of DESTRUCTION)

Back

Secondary hemostasis

Front

Stabilization of platelet plug via the COAGULATION CASCADE Coagulation cascade generates thrombin --> thrombin cross-links fibrinogen to fibrin --> stable thrombus

Back

Hemophilia B

Front

Genetics: Factor IX (B after A, 9 after 8) deficiency Same clinic/lab findings and treatment as hemophilia A (except factor IX is low)

Back

Microscopic Polyangitis

Front

Pathology: small-vessel necrotizing vasculitis involving lung/kidneys (NOT nasopharynx) Clinical features: hemoptysis, hematuria, P-ANCA

Back

Diabetic ketoacidosis

Front

Excessive serum ketones (from TG breakdown --> FFA --> ketoacids) Metabolic acidosis (w/ anion gap), hyperglycemia, hyperkalemia Clinical features: hyperventilation (to blow off acid), dehydration, nausea, vomiting, mental status change, fruity breath

Back

Clinical features of cancer

Front

Primary or metastatic tumors can destroy of compress host tissue leading to certain local factors: - obstruction of ducts - irritate surfaces - lead to inflammation - disrupt hormone secretion Systemic (distant) factors called paraneoplastic syndrome, for example: - ectopic hormone production - skin changes - erythropoietin production --> polycythemia - hypercalcemia from bone resorption

Back

Henoch-Schonlein Purpura

Front

Pathology: vasculitis due to IgA immune complex deposition...in children Clinical features: palpable purpura on buttocks and legs, GI bleeding, hematuria children

Back

Disseminated Intravascular Coagulation

Front

PATHOLOGIC activation of the coagulation cascade --> blocking of small vessels (ischemia and infarction) --> consumption of platelets/factors --> bleeding (IV sites, mucosal surfaces, body orifices) Secondary to another disease process: - obstetric complication (amniotic fluid with tissue thromboplastin leak into maternal circulation) - sepsis (EColi and Nmeningiditis) --> endotoxin activation of coagulation - adenocarcinoma (mucus activates) - acute promyelocytic leukemia (primary granules activate) - rattlesnake bite (venom activates) Lab findings: thrombocytopenia, PT/PTT up, decreased fibrinogen (consumed), microangiopathic hemolytic anemia, elevated D-dimer (fibrinolysis products)

Back

Atherosclerosis

Front

Intimal plaque (with necrotic lipid core - cholesterol clefts) on wall of medium/large sized vessels Risk factors: - modifiable: HTN, hypercholesterol, smoking, DM - non-modifiable: age (older), gender (males, post-menopause female), genetics, infection (chlamydia pneumoniae) Pathogenesis: lipid enters intima (from LDL) --> oxidize --> picked up by macrophages/SM cells ("foam cells") --> inflammation and healing (fibromuscular cap) Complications: - stenosis (impaired flow and ischemia - peripheral vascular disease, angina, ischemic bowel) - plaque rupture with thrombosis (MI, stroke) - plaque rupture with embolus - weakening of vessel wall --> aneurysm

Back

Takayasu's arteritis

Front

Pathology: large-vesel granulomatous arteritis typically involving aortic arch branch points Clinical signs: visual/neuro symptoms, weak or absent pulse in upper extremity ("pulseless disease"), elevated ESR Stereotypical patient: young asian female Treatment: corticosteroids

Back

Pulmonary embolus (PE)

Front

Often due to a DVT thromboembolus NORMALLY SILENT, but can result in: - SOB, pleuritic chest pain - V/Q mismatch due to poor perfusion - Wedge-shaped infarct - Sudden death (saddle embolus)

Back

Reteplase/Alteplase

Front

Synthetic tPA used in fibrinolysis

Back

Disorders of primary hemostasis

Front

Major clinical factors: Mucosal (nose bleed, GI bleed, hematuria etc.) and skin (petechiae, purport, ecchymoses, bruising etc.) bleeding Major lab findings: platelet count (low), bleeding time (high), blood smear (to assess number/shape), bone marrow (to assess progenitor megakaryocytes) Separated by quantity of platelets vs. quality of platelets

Back

Genetics of cancer

Front

Inherited (AD): retinoblastoma, familial adenomatous polyposis, MEN, NF1/2, VHL Inherited (AR): Xeroderma pigmentosum (pyrimidine dimers), ataxia-telangiectasia (dsDNA break) Familial: breast, colon, ovarian

Back

Von Willebrand Disease

Front

AD genetic vWF deficiency (impaired platelet adhesion - primary hemostasis) vWF also STABILIZES FACTOR VII (impaired secondary hemostasis) Clinical findings: skin and mucosal bleeding (primary) AND increased PTT (secondary) Lab tests: abnormal ristocetin assay (vWF function)

Back

Virchow's Triad leading to thrombosis

Front

DISRUPTION OF FLOW: stasis (still) and turbulence (non-laminar) due to: - immobilization (bed rest --> stasis) - arrhythmia (ex. A-fib) - aneurysm (turbulence) ENDOTHELIUM DAMAGE (endothelium is normally protective): - exposed SEC --> platelet adhesion - less production of PGI2 (prostacyclin - inhibits platelet aggregation), NO (vasodilation), tPA (breaks clots), and thrombomodulin (modulates thrombin to activate protein C --> inactivation of factors V/VIII) HYPERCOAGULABLE STATE: - upset balance between procoagulants vs. anticoagulants (inherited/acquired disorders) - protein C/S deficiency (normally inactivated V/VII to turn off) - Factor V Leiden (mutated form won't allow inactivation by C/S) - prothrombin 20210A (mutated --> increased expression --> increased thrombin) - antithrombin III deficiency - OCPs (estrogen increases production of coagulation factors)

Back

Bernard-Soulier syndrome

Front

Genetic GPIb deficiency (platelet adhesion is impaired) Blood smear: mild thrombocytopenia, enlarged platelets (Big Suckers - more immature) Bernard starts with ONE B.

Back

Lab neoplasia

Front

Keratin pearls = squamous cell carcinoma Multiple nodules = metastatic OAT cells (elongated, no cytoplasm) = small cell carcinoma Koiliocytes (dense nuclei and halo) = HPV Desmoplasia (transformation to fibrosis in presence of tumor) = breast cancer Tall columnar cells = colonic adenocarcinoma

Back

Coagulation Cascade

Front

A series of enzymatic conversions where each step proteolytically cleaves an inactive proenzyme into an activated enzyme Each step REQUIRES a phospholipid surface (platelet membrane) and Ca2+ INTrinsic pathway (3 letters, left) - activated by SEC and HMWK - 12, 11, 9, 8 - measure PTT - inhibited by HEP EXtrinsic pathway (2 letters, right) - activated by TT (tissue thromboplastin or tissue factor) - 3, 7 - measure PT - inhibited by W/C (warfarin/coumadin) Common pathway (bottom) - 10, 5, 2 (thrombin), 1 (fibrin) - Factor XIIIa (activated by thrombin) cross-links fibrin

Back

Microangiopathic hemolytic anemia

Front

Pathophysiology: pathologic formation of micro thrombi in small vessels --> "shearing" of RBCs when they pass --> hemolytic anemia and schiztocytes

Back

Endocrine pancreas

Front

Composed of islets of Langerhans with: - beta (inner) cells that secrete insulin - alpha (outer) cells that secrete glucagon

Back

Types of embolism

Front

Thromboembolism (most common - 95%): dislodged thrombus breaks off and travels Atherosclerotic embolus: plaque breaks off and travels (prove by cholesterol clefts) Fat embolus: soft tissue/bone trauma Gas embolism: - decompression sickness from diving (nitrogen precipitation in blood) --> "bends" (joint/muscle pain) and "chokes" (respiratory symptoms) - Caisson disease Amniotic fluid embolus: amniotic fluid enters maternal circulation --> DIC (tissue thromboplastin in AF) with keratin-debris in embolus Paradoxical embolus (from R-->L heart by septal defects): to systemic circulation

Back

Polyarteritis nodosa

Front

Pathology: necrotizing vasculitis involving multiple (poly) medium-sized arteries and "nodes" of fibrosis with micro-aneurysms between nodes Clinical signs: HTN (renal artery involvement), abdominal pain (mesenteric artery involvement), neurologic disturbances, skin lesions, NO LUNG affect Associations: Hep B

Back

Thrombotic thrombocytopenic purpura (TTP)

Front

Pathophysiology: deficiency of ADAMSTS13 (autoantibody against) --> no cleaving of vWF into monomers --> abnormal platelet adhesion to vWF --> platelet micro thrombi --> microangiopathic hemolytic anemia Clinical findings: skin/mucosal bleeding (platelets used up), microangiopathic anemia (shearing across micro thrombi), fever, CNS abnormalities (often occurs in small vessels of CNS) Treatment: plasmapheresis, corticosteroids

Back

Section 11

(34 cards)

Left-sided CHF

Front

Due to: ischemia, HTN (LVH to deal with stress), dilated cardiomyopathy, myocardial infarction, restrictive cardiomyopathy --> Pulmonary congestion (pulmonary edema with SOB, orthopnea, paroxysmal nocturnal dyspnea, and basillar rales) and heart failure cells --> Decreased systemic perfusion (RAAS activation --> exacerbation of problem) Treatment: ACE inhibitor (after load reduction)

Back

Mitral Stenosis

Front

Description: narrowing of the mitral valve Etiology: chronic rheumatic heart disease Clinical features: opening snap followed by a diastolic rumble Complications: LA dilation, pulmonary congestion/HTN, A-fib

Back

Chronic Rheumatic Heart Disease

Front

Valve scarring/thickening leading to mitral stenosis - "fish-mouth" (sometimes aortic - fusion of commissures)

Back

Pericarditis

Front

Inflammation of serosal layer of heart due to infectious agent or autoimmune process --> sharp pain, friction rub Serous: non-bacterial Fibrinous: granular/pinkish exudate, from uremia, rheumatic Purulent: pus (from TB/pneumonia) Granulomatous: caseous, TB

Back

Restrictive Cardiomyopathy

Front

Description: restrictive compliance of myocardium --> diastolic dysfunction (impaired filling) Causes (infiltrate into wall): amyloidosis, sarcoidosis, hemochromatosis, endocardial fibroelastosis (children) Loeffler syndrome (eosinophillic infiltrate --> fibrosis in myocardium) Findings: diminished QRS amplitude

Back

Stable angina

Front

Chest pain, sweating, SOB after exertion/exercise...characterized by >70% stenosis leading to reversible injury of myocytes EKG: ST segment depression (subendocardial ischemia) Treatment: rest, nitroglycerin

Back

Shock classification

Front

Hematogenic/Hypovolemic: due to hemorrhage, trauma, burns --> markedly decreased preload (CVP) Cardiogenic: due to MI, HF, arrhythmia --> markedly decreased cardiac output (CO)

Back

Aortic Regurgitation

Front

Description: back flow from aorta into LV during diastole Etiology: isolated root dilation (syphilitic aneurysm) or valve damage (infectious endocarditis) Clinical signs: early, blowing diastolic decrescendo murmur Complications: - decreased diastolic (leak) and increased systolic (SV) pressure --> increased pulse pressure and hyper dynamic state (bounding/pulsating) - LV dilation...eccentric hypertrophy (volume overload)

Back

Endocarditis organisms/causes

Front

Strep viridans/mutans - most common, low virulence - subacute (infects previously damaged valves - damaged endocardium with platelets/fibrin is susceptible to bacteremia and bacterial vegetations) Staph aureus - IV drug uses, high virulence - acute (affects normal valves), most common on tricuspid Staph epidermidis - prosthetic valves Strep bovis/gallolyticus - endocarditis in patients with underlying colorectal cancer HACEK (negative culture): hemophilus, actinobacillus, cardibaterium, eikenella, kingella Libman-Sacks endocarditis: SLE sterile vegetations on BOTH SIDES of mitral valve --> mitral regurgitation

Back

Aortic dissection

Front

Intimal tear with dissection of blood into media most often at the proximal aorta Caused by: - high stress (proximal aorta with high speed) - pre-existing weakness of media -->HTN leading to hyaline arteriolosclerosis of vasa vasorum and weakening of media -->inherited CT defect (Marfans, Ehlers-Danlos) Presentation: sharp, tearing chest pain Complications: pericardial tamponade, rupture and hemorrhage

Back

Aortic Stenosis

Front

Description: narrowing (fibrosis and calcification) of the aortic valve to <1cm Etiology: "wear and tear" of old age, bicuspid aortic valve, chronic rheumatic heart disease (fusion of commissures) Clinical signs: systolic ejection click with systolic crescendo-decrescendo murmur Complications: LVH, angina/syncope

Back

Clinical features of endocarditis

Front

- Fever - Murmur (due to valve damage - often insufficiency) - Septic embolization --> Janeway lesions (painless erythema on palm/sole), Osler nodes (painful nodules on finger/toe pads), splinter hemorrhage in nail beds, roth spots (white spots in retina) - Anemia of chronic disease

Back

Hypertrophic Cardiomyopathy

Front

Description: hypertrophy (concentric) of left ventricle muscle w/ small chamber --> diastolic dysfunction (impaired filling) Causes: - AD mutations in beta-myosin heavy chain sarcomere proteins --> myofiber hypertrophy with disarray - Friedrich's ataxia Complications: sudden death in young athletes, syncope during exercise *HOCM/ASH (septal hypertrophy) leading to outflow obstruction --> SOB and syncope

Back

Right-sided CHF

Front

Due to: left-sided CHF (most common), cor pulmonale (hypoxic vasoconstriction) --> Systemic congestion (JVD, peripheral edema, cardiac cirrhosis with "nutmeg" texture)

Back

Cardiac tumors

Front

Metastases: MOST COMMON, see multiple spots Myxomas: benign mesenchymal proliferation, often found in LA (pedunculated mass) that can obstruct mitral valve Rhabdomyoma: benign hamartoma of cardiac muscle, associated with TSC in children

Back

Mitral Regurgitation

Front

Description: reflux of blood from left ventricle to left atrium during systole Etiology: - after MVP - LV dilation (stretch valve) - ACUTE rheumatic fever - papillary rupture after MI - infective endocarditis Clinical signs: holosystolic blowing murmur

Back

Myocardial infarction (MI)

Front

Necrosis of cardiac myocytes due to rupture of a plaque leading to thrombosis and COMPLETE occlusion Clinical features: severe chest pain that radiates, sweating, SOB...not relieved by NG EKG: ST segment elevation (transmural necrosis) Treatment: - ASA/heparin, O2, nitrates, beta-blockers, ACE inhibitor - fibrinolysis and angioplasty (can lead to reperfusion injury due to free-radicals)

Back

Abdominal Aortic Aneurysm (AAA)

Front

Due to weakness in wall from athersclerosis (thickened barrier for O2 diffusion to wall --> weakened wall --> balloon-like dilation of wall) Commonly seen in old, male smokers, with HTN Presentation: pulsatile abdominal mass that can rupture (>5cm) --> shock from hemorrhage

Back

Berry aneurysm

Front

Small aneurysms found at branch points in the circle of willis that can lead to subarachnoid hemorrhage if they burst

Back

Hemangioma

Front

Benign tumor comprised of blood vessels (WILL BLANCHE) Present at birth, but often regresses

Back

Myocarditis

Front

Inflammation of myocardium --> dilated heart with flabby myocardium Causes: bacterial (suppurative w/ neutrophils), viral (coxsackie B, w/ diffusde lymphocytic infiltrate), chagas

Back

Heart pathology in rheumatic fever

Front

Endocarditis: vegetations --> mitral regurgitation Myocarditis: Ashoff body (chronic inflammation with giant cells and Anitschow cells w/ caterpillar nuclei) Pericarditis: friction rub

Back

Dilated Cardiomyopathy

Front

Description: dilation (eccentric hypertrophy) of all 4 heart chambers --> systolic dysfunction (reduction in EF) Causes: idiopathic, familial, myocarditis (entero - coxsackie B), alcohol abuse, drugs (doxorubicin, cocaine), pregnancy, chagas disease Complications: mitral/tricuspid regurgitation (stretching), arrhthymia, HF (systolic dysfuntion)

Back

Thoracic Aortic Aneurysm (TAA)

Front

Due to weakness in wall from tertiary syphillis (endarteritis of vasa vasorum --> weakness of wall --> balloon-like dilation of vessel wall) Complications: aortic regurgitation/insufficiency due to dilation of the aortic root, thrombosis (due to non-laminar flow)

Back

Prinzmetal angina

Front

Chest pain, sweating, SOB due to coronary spasm leading to reversible injury of myocytes

Back

Varicose Veins

Front

Abnormally dilated, tortuous, superficial veins due to increased pressure (thrombosis, pregnancy, tumors) or lack of support of venous wall (wall weakening, adipose tissue) Systemic - leg veins Portal - esophagus, hemorrhoids, umbilicus

Back

Angiosarcoma

Front

Malignant proliferation of endothelial cells in skin, breast, liver (PVC)

Back

Pathogenesis of shock

Front

1) Compensated hypotension: reflex mechanisms --> tachycardia and increased TPR (vasoconstriction and RAAS volume retention) 2) Tissue hypoperfusion: low blood and oxygen --> anaerobic metabolism and lactic acidosis 3) Cell and organ injury: renal (ATN), cerebral damage...myocardial depressant factor toxin --> more heart damage...increased urine

Back

Kaposi Sarcoma

Front

Malignant proliferation of endothelial cells associated with HHV-8 (WILL NOT BLANCHE) Presentation: purple patches, plaques, nodules in Eastern European males, AIDS pts, transplant recipients

Back

Cardiac enzymes in MI

Front

Membrane damage --> cardiac enzymes in blood Troponin I/T: specific, rises quickly (4 hrs), down slowly (7-10 days) CK: sensitive, not specific (could be due to skeletal muscle damage) CK-MB: specific isoenzyme of CK (CK-MB:CK is an important ratio), rises quickly (6 hrs), down quickly (3 days), good for REinfarction LD: sensitive, not specific, rises late (24 hrs), down late (8-14 days) LD "flip": measures LD-1:LD-2...normally <1, but if >1 = specific for MI Myoglobin: sensitive, not specific, rises early (2 hrs), down quickly (1 day)

Back

Mitral Valve Prolapse

Front

Description: ballooning of mitral valve into left atrium during systole Etiology: often unknown, but can be "floppy" predisposition due to Ehlers-Danlos or Marfans Clinical signs: mid-systolic "click" (stretched papillary muscles) followed by regurgitation murmur

Back

Acute Rheumatic Fever

Front

2-3 weeks after strep pharyngitis due to antibodies to bacterial M protein that react vs. self (molecular mimicry) Diagnosis based on ASO titers (prove group A strep) and JONES criteria: - Joint problems (migratory polyarthritis - large joints) - Heart problems - Nodules - Erythema marginatum (more red at margins) - Sydenham chorea

Back

Morphologic Changes in MI

Front

<4 hrs: no microscopic/gross changes 4-24 hrs: coagulative necrosis - dark discoloration - risk of arrhythmias 1-3 days: inflammation (neutrophils) - yellow pallor - risk of fibrinous pericarditis 4-7 days: inflammation (macrophages) - yellow pallor - risk of rupture of wall/septum/papillary muscle (leading to tamponade/shunt/insufficiency) 1-3 weeks: granulation tissue - red border (blood vessels) from edge of infarct Months: fibrosis - white scar - risk of aneurysm/thrombus

Back

Unstable angina

Front

Chest pain, sweating, SOB at rest...characterized by rupture of a plaque leading to thrombosis and incomplete occlusion --> reversible injury to myocytes (but can progress to MI) EKG: ST segment depression (subendocardial ischemia) Treatment: nitroglycerin

Back