Section 1

Preview this deck

simple squamous epithelium

Front

Star 0%
Star 0%
Star 0%
Star 0%
Star 0%

0.0

0 reviews

5
0
4
0
3
0
2
0
1
0

Active users

3

All-time users

3

Favorites

0

Last updated

1 year ago

Date created

Mar 1, 2020

Cards (81)

Section 1

(50 cards)

simple squamous epithelium

Front

single layer of flattened cells resting on a basement membrane, air sacs of the lungs

Back

hyaline cartilage

Front

Most common type of cartilage; it is found on the ends of long bones, ribs, and nose

Back

Fibrocartilage

Front

cartilage that contains fibrous bundles of collagen, such as that of the intervertebral disks in the spinal cord.

Back

cutaneous membrane

Front

The skin; composed of epidermal and dermal layers

Back

nervous tissue

Front

A body tissue that carries electrical messages back and forth between the brain and every other part of the body.

Back

bone

Front

Dense, hard connective tissue composing the skeleton

Back

extracellular matrix

Front

a collection of extracellular molecules secreted by cells that provides structural and biochemical support to the surrounding cells.

Back

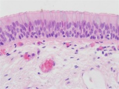
pseudostratified columnar epithelium

Front

tissue that consists of a single layer of irregularly shaped and sized cells that give the appearance of multiple layers; found in ducts of certain glands and the upper respiratory tract

Back

blood connective tissue

Front

fluid extracellular matrix used to transport substances throughout the body.

Back

subcutaneous tissue (hypodermis)

Front

Tissue, largely fat, that lies directly under the dermis and serves as an insulator of the body.

Back

Epidermis

Front

Outer layer of skin

Back

Epithelial functions

Front

protection, absorption, filtration, secretion

Back

characteristics of connective tissue

Front

Vascularized- good blood supply Solid extracellular protein fibers Fluid extracellular ground substance

Back

epithelial cell characteristics

Front

skin cells that cover the outside of the body and line the internal surfaces of organs, fit closely together to form sheets has an apical surface- an upper free surface exposed to the body exterior or the cavity of an internal organ basement membrane- a thin, delicate membrane of protein fibers and glycosaminoglycans separating an epithelium from underlying tissue Avascular- without blood vessels Regenerate easily

Back

stratified cuboidal epithelium

Front

Function: protection Location: Largest ducts of sweat glands, mammary glands, and salivary glands.

Back

stratified squamous epithelium

Front

Function: protects underlying tissues in areas subject to abrasion Location: esophagus, mouth, vagina, skin

Back

Keratin

Front

hard protein material found in the epidermis, hair, and nails

Back

epithelial membranes

Front

cutaneous, mucous, serous

Back

adipose tissue

Front

collection of fat cells

Back

stratified columnar epithelium

Front

Function: protection and secretion Location: rare in the body; small amounts in male urethra and in large ducts of some glands

Back

simple columnar epithelium

Front

Function: Absorption; secretion of mucus, enzymes, and other substances; ciliated type propels mucus (or reproductive cells) by ciliated action. Location: nonciliated type lines most of the digestive tract (stomach to anal canal), gallbladder and excretory ducts of some glands; ciliated variety lines small bronchi, uterine tubes, and some regions of the uterus.

Back

cuboidal cells

Front

cube shaped cells

Back

tissue repair

Front

the process that replaces worn out, damaged, or dead cells 1. inflammation 2. granulation 3. regeneration

Back

endocrine glands

Front

glands that secrete chemicals called hormones directly into the bloodstream

Back

dense fibrous connective tissue

Front

provides great strength through parallel bundles of collagenic fibers; found in tendons

Back

Cartilage

Front

A connective tissue that is more flexible than bone and that protects the ends of bones and keeps them from rubbing together.

Back

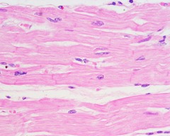
skeletal muscle

Front

A muscle that is attached to the bones of the skeleton and provides the force that moves the bones.

Back

glandular epithelium

Front

Composed of cells specialized to produce and secrete substances into ducts or into body fluids

Back

Tendons

Front

attach muscle to bone

Back

simple epithelium

Front

single layer of cells

Back

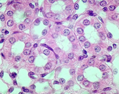
simple cuboidal epithelium

Front

Function: secretion and absorption Location: Kidney tubules; ducts and secretory portions of small glands, ovary surface.

Back

exocrine glands

Front

secrete chemical substances into ducts that lead either to other organs or out of the body ex. sweat and oil glands, liver, and pancreas

Back

transitional epithelium

Front

function: stretches readily and permits distension of urinary organ by contained urine Location: lines the ureters, urinary bladder, and part of the urethra

Back

squamous cells

Front

flattened and scale-like

Back

columnar cells

Front

tall and column shaped

Back

synovial membrane

Front

The lining of a joint that secretes synovial fluid into the joint space.

Back

connective tissue

Front

A body tissue that provides support for the body and connects all of its parts

Back

stratified epithelium

Front

several layers of cells

Back

serous membrane

Front

made by simple squamous epithelium, a thin layer of tissue that covers internal body cavities and secretes a fluid that keeps the membrane moist; also called serosa

Back

areolar connective tissue

Front

Function: wraps and cushions organs Location: widely distributed under epithelia of body

Back

Dermis

Front

Inner layer of skin

Back

loose connective tissue

Front

areolar, adipose, reticular

Back

cardiac muscle

Front

Involuntary muscle tissue found only in the heart.

Back

Ligaments

Front

Connect bone to bone

Back

connective tissue membranes

Front

composed exclusively of various types of connective tissue; no epithelial cells are present in this type of membrane

Back

mucous membrane

Front

Membrane that secretes mucus that lubricates the surface of organs and keeps them moist.

Back

smooth muscle

Front

Involuntary muscle found inside many internal organs of the body

Back

integumentary system

Front

Consists of the skin, mucous membranes, hair, and nail

Back

reticular fibers

Front

Fibers made of collagen fibers that are very thin and branched. Forma tightly woven fabric that joins connective tissue to adjacent tissues. Spleen, lymphnodes, bone marrow

Back

elastic cartilage

Front

cartilage with abundant elastic fibers; more flexible than hyaline cartilage

Back

Section 2

(31 cards)

papillary layer

Front

outer layer of the dermis, directly beneath the epidermis

Back

skin structure

Front

Back

first degree burn

Front

A mild burn characterized by heat, pain, and reddening of the burned surface but not exhibiting blistering or charring of tissues.

Back

Melanocytes

Front

produce melanin

Back

Infections & allergies of the skin

Front

● Athlete's Foot: fungal infection ● Boils and Caruncles: bacterial infection ● Cold Sores: virus ● Contact Dermatitis: exposure causes allergic reaction ● Impetigo: bacterial ● Psoriasis: unknown, triggered by trauma, infection, stress

Back

epidermal dendritic cells

Front

skin cells that initiate an immune system response to the presence of foreign bacteria or viruses

Back

dermal papillae

Front

a fingerlike projection of the dermis that may contain blood capillaries or Meissner corpuscles (of touch)

Back

sweat glands (sudoriferous glands)

Front

the glands that produce a saline solution called sweat

Back

reticular layer

Front

Deeper layer of the dermis that supplies the skin with oxygen and nutrients

Back

stratum lucidum

Front

a layer of the epidermis found only in the thick skin of the fingers, palms, and soles

Back

sebaceous glands

Front

oil glands of the skin connected to hair follicles

Back

eccrine glands

Front

glands that produce sweat; found over most of the body

Back

stratum spinosum

Front

a layer of the epidermis that provides strength and flexibility to the skin

Back

second degree burn

Front

A burn marked by pain, blistering, and superficial destruction of dermis with edema and hyperemia of the tissues beneath the burn.

Back

layers of epidermis

Front

(deep to superficial) stratum basale stratum spinosum stratum granulosum stratum lucidum stratum corneum

Back

Carotene

Front

Yellow to orange pigment that accumulates in the stratum corneum epidermal layer and in fatty tissue of the hypodermis

Back

sebaceous gland imbalance

Front

Creates whiteheads and blackheads

Back

Merkel cells

Front

touch receptors

Back

ABCD rule

Front

asymmetry- sides dont match border irregularity- not smooth and indent color- different colors in same area diameter- more than 6 mm

Back

Melanin

Front

A pigment that gives the skin its color

Back

rule of nines

Front

A system that assigns percentages to sections of the body, allowing calculation of the amount of skin surface involved in the burn area.

Back

sebum

Front

oily substance secreted by sebaceous glands

Back

third degree burn

Front

a burn involving all layers of the skin; characterized by the destruction of the epidermis and dermis, with damage or destruction of subcutaneous tissue

Back

cutaneous glands

Front

all exocrine glands that release their secretions to the skin surface via ducts

Back

Keratinocytes

Front

The most abundant epidermal cells, they function mainly to produce keratin.

Back

apocrine glands

Front

Sweat glands in the pubic and underarm areas that secrete thicker sweat, that produce odor when come in contact with bacteria on the skin

Back

Dermis layers

Front

papillary and reticular

Back

full thickness burn

Front

a burn in which all the layers of the skin are damaged. There are usually areas that are charred black or areas that are dry and white. Also called a third-degree burn.

Back

What two physiological characteristics are highly developed in nervous tissue?

Front

Irritability and conductivity

Back

stratum granulosum

Front

a layer of the epidermis that marks the transition between the deeper, metabolically active strata and the dead cells of the more superficial strata

Back

stratum basale

Front

the deepest layer of the epidermis consisting of stem cells capable of undergoing cell division to form new cells

Back