Section 1

Preview this deck

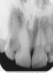
implant

Front

Star 0%
Star 0%
Star 0%
Star 0%
Star 0%

0.0

0 reviews

5
0
4
0
3
0
2
0
1
0

Active users

0

All-time users

0

Favorites

0

Last updated

6 years ago

Date created

Mar 1, 2020

Cards (30)

Section 1

(30 cards)

implant

Front

Back

porcelain fused to metal

Front

Back

vertical bone loss

Front

Back

root canal

Front

Back

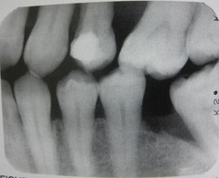
pulp stone

Front

Back

fracture roots

Front

Back

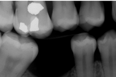
occlusal severe caries

Front

(distal is still intact)

Back

poorly contoured crowns

Front

Back

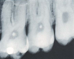
root absess

Front

collection of puss at apex of root. appears as radiolucent circle

Back

fixed bridge

Front

Back

caries

Front

most common reason for taking x-rays

Back

internal resorbsion

Front

circle inside the pulp chamber

Back

interproximal moderate caries

Front

Back

recurrent caries

Front

Back

Occlusal incipient caries

Front

caries that involves the chewing surfaces of teeth found with mirror and explorer

Back

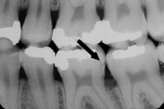
occlusal moderate caries

Front

extends into the dentin appears as radiolucent line

Back

Ortho bands and brackets

Front

Back

external resorption

Front

blunting of root apex to severe loss of root substance

Back

Rampent caries

Front

Back

interproximal incipient caries

Front

Back

horizontal bone loss

Front

Back

All-Porcelain Crowns

Front

Back

Front

Back

amalgam fragment

Front

Back

pulp canal obliteration

Front

Back

hyper cementosis

Front

Back

gold crowns

Front

Back

open contact

Front

an inerproximal opening instead of a contact area where the teeth touch.

Back

calculus

Front

stone like concretions on anterior teeth

Back

interproximal severe caries

Front

Back