Section 1

Preview this deck

Multiple Sclerosis (MS)(Female around 30 years old)

Front

Star 0%
Star 0%
Star 0%
Star 0%
Star 0%

0.0

0 reviews

5
0
4
0
3
0
2
0
1
0

Active users

1

All-time users

1

Favorites

0

Last updated

1 year ago

Date created

Mar 1, 2020

Cards (69)

Section 1

(50 cards)

Multiple Sclerosis (MS)(Female around 30 years old)

Front

HLA-DRB1, EBV increases risk(MONO), Heat can exacerbate symptoms. Oligoclonal bands on CSF immunoblot(Ie immunoglobulins(antibodies) in CSF). Dawson fingers, IgG elevated periventricular white matter

Back

Atypical Parkinsonism syndrome

Front

Atypical parkinsonism disorders: Sx similar to Parkinson, multiple system atrophy

Back

blood vessel anatomy

Front

Back

Hemorrhagic stroke

Front

1.) Intracerebral: bleeding to brain in parenchyma 2.) Subarachnoid: Bleeding around the brain(into subarachnoid spaces and CSF) Puts pressure on surrounding tissues, never treat with TSA, be sure to diagnose correctly so you can know best treatment method.

Back

Venous angioma/hemangioma ("Caput medusae")

Front

abnormal cluster of veins draining a region of brain tissue (also rarely hemorrhage)

Back

Cerebral autosomal recessive arteriopathy with subcortical infarcts and leukoencephalopathy (CARASIL)

Front

HTRA1 mutation(Serine peptidase/protease 1) Sx: stepwise deterioation of brain function, progressive dementia, premature baldness attacks of severe low back pain/spondylosis/disk herniation.... MRI: diffuse white matter changes. Multiple lacunar infarct in basal ganglia/thalamus. Microscopy: Intense arteriosclerosis. No granular osmiophillic material or amyloid deposition.

Back

Vasculitis affecting large arteries

Front

inflammation/necrosis of blood vessel walls. examples also affecting CNS: Giant cell arteritis(old), Takayasu(young)

Back

cavernous hemangioma(Second worst)

Front

abnormally dilated blood vessels, back-to-back vessels, no intervening parenchyma. Mostly frontal-parietal. Intravascular thrombosis. purple malformation, "Raspberry" Large, cystically dilated, thin-walled vessels. simple endothelial lining. Thin fibrous adventitia(butter layer)

Back

AVMs(Worst)

Front

arterial venous malformation, occurs when arteries or veins come together improperly and are weaker. When one of these forms, the probability of a hemorrhage increases. Usually happens in MCA

Back

Central pontine myelinolysis (CPM)

Front

Demyelination of central pons. Due to electrolyte abnormalities, particularly hyponatremia, that are rapidly corrected. Oligodendroglial cells are most susceptible: Central pons. Thalamus. Globus pallidus. Putamen. Lateral geniculate body.

Back

Small vessel disease

Front

distal vertebral a., basilar a., MCA, and circle of willis a........... infarction of these vessels=lacunar infarct Obstruction is due to: 1. Lipohyalinosis-segmental arteriolar wall disorganisation', it is characterized by vessel wall thickening and a resultant reduction in luminal diameter. (HTN causes arterial wall to hypertrophy->lipid hyaline material builds up. Most common 2. Microatheroma-A lipid-containing lesion that forms on the innermost layer of the wall of an artery in atherosclerosis; a plaque.

Back

Krabbe disease (GALC gene, 14)

Front

galactocerebrosidase deficiency, accumulation of galactocerebroside(galacotsylceramide), Globoid cells(Macs)..... PAS positive tubular or filamentous inclusions.... pseudobulbar palsy(death before age 2)

Back

Hypoxic Ischemic Encephalopathy

Front

Circulatory or resp. failure which deprives brain of Oxygen. Etiology: 1.) Cerebral perfusion failure(ischemia) 2.) reduced amount of circulation O2(low SpO2) 3.) insufficient Hb(hypoxia/suffocation): Anaerobic glycolysis for nrg. Death mediated by Glutamate, impaired glutamate uptake=prolonged excitation.... acts as toxin.... NMDA receptor activation= Na+/Ca+ influx= free radicals produced, mitochondrial function inhibited cardiopulmonary arrest: Global reduction in cerebral blood flow, if severe can damage cortical layers Most vulnerable to least Neurons(CA1/"Sommer sector" Hippocampus), Cerebral cortex, Purkinje cells(cerebellum), Thalamus, Basal ganglia, Brainstem, hypothalamus, spinal cord, oligodendrocytes, astrocytes, endothelial cells Eosinophilic Neurons: Hallmark of neuronal death mostly in vulnerable areas(high glutamate, excitotoxicity) See image.....

Back

Atherosclerosis

Front

#1 cause of cerebral infarctions Locations: 1. ICA (@ origin) 2. Cervical part of VA and at junction to form basilar artery 3. Stem or main bifurcation of MCA 4. Proximal PCA(around midbrain) 5. Proximal ACA (over corpus callosum)

Back

Dementia with Lewy Bodies(More Cognitive issues vs motor)(very similar to parkinson's, symptoms differ)

Front

cognitive dysfunction+dementia, hallucinations, episodic decreased responsiveness......(fluctuations in cognition/mental status), premdominatly dementia based vs motor(typical PD) Lewy bodies: Alpha-Synuclein neuronal loss and alpha-syn inclusions

Back

Specific Neuronal Ceroid Lipofuscinosis (CLN1,CLN2, CLN3)

Front

1: palmitoyl-protein thioesterase-1 (infantile) 2: tripeptidyl peptidase(late infantile) 3: lysosomal transmembrane membrane protein(juvenile)

Back

Frontotemporal lobar degeneration(Pick's disease) (Abnormal tau or ubiquitin deposits)

Front

Disorders 1. Behavioral variant frontotemporal dementia(bvFTD): Social inhibition(pressured speech, violent outbursts), OCD behaviors, sweet foods Genes: MAPT(tau), GRN(progranulin, 17), C9ORF72(GGGGCC repeats, 9) -Tau postiive FTDL: Pick bodies(solitary round inclusion bodies in neuronal cytoplasm. Hyperphosphorylated tau w/out AB deposits) -TDP-43 postive FTDL: Nuc. and cytoplasmic inclusions bodies in neurons and glia. TDP-43 protein conjugated w/ubiquitin. -FUS-postive FTDL(freq of ubiquitin) 2. Semeantic Dementia: Anterior temporal lobe. Fluent, anomic aphasia. behavioral changes. syntax, rhythm and motor speech intact. -TDP-postive FDTL, MAPT, C9ORF72: linked to SD 3. Progressive non-fluent aphasia(PNFA) effortful speech and impaired usage of grammar inferolateral CX and anterior insula.

Back

Leukodystrophies(Start)

Front

inborn errors of metabolism d/t mutations in enzymes necessary for the production or maintenance of myelin

Back

Assoc. stroke syndromes

Front

1.)TIA: cerebellar dysfunction <24hrs. Only lasts a few minutes. Increases chance for future infarction significantly(warning sign). 2.)Subclavian steal syndrome: Occlusion/stenosis of Left Subclavian-> retrograde blood blood in VA. Arm exercise-> blood goes to arm instead of brain-> brainstem, cerebellar, or cerebral Sx. 3.) Lacunar Infarcts: occlusion of single branch off large cerebral a.(basal ganglia, pons, internal capsule). Pure motor hemiparesis, no cortical signs("cortical signs" are symptoms or exam findings which are often associated with cortical neuron injury--aphasia, neglect, gaze preference.) or sensory loss. basal ganglia" refers to a group of subcortical nuclei responsible primarily for motor control, as well as other roles such as motor learning, executive functions and behaviors, and emotions A basal ganglia stroke also has some unique signs and symptoms that might make it harder to identify than other types of stroke. These include: difficulty swallowing tremors weak or very stiff muscles that restrict movement loss of awareness of one side of the body severe apathy personality changes Damage to the basal ganglia cells may cause problems controlling speech, movement, and posture. This combination of symptoms is called parkinsonism. pons contains nuclei that relay signals from the forebrain to the cerebellum, along with nuclei that deal primarily with sleep, respiration, swallowing, bladder control, hearing, equilibrium, taste, eye movement, facial expressions, facial sensation, and posture. internal capsule is working as a relay station for the body's motor function. This means that the internal capsule is necessary for arm, leg, trunk and face movement.

Back

Canavan disease(ASPA, 17)

Front

Increase NAA from aspartocylase deficiency, macrocephaly and hypotonicity, N-acetyl-L-aspartic acid (NAA

Back

Spontaneous intracerebral hemorrhage(ie into parenchyma.... no trauma or surgery)

Front

locations 1. Deep cerebral/ganglionic: most... affects basal ganglia(think lenticulostriates off MCA), internal capsule, periventricular white matter, thalamus. 2. Cerebellar 3.Lobar: in cortical/subcortical areas. cerebral amyloid angiopathy in elderly. Vascular malformations in younger pts. HTN most common cause....(microvascular HTN disorder-> perforating branches Cerebral amyloid angiopathy-> Lobar ICH in elderly Vascular malformations-> Lobar ICH in younger pts(ie because of congenital nature)

Back

Vanishing white matter disease (eIF2B)

Front

improper activation of the UFP response in ER, leads to apoptosis, no neurons, only oligodendrocytes and astrocytes. mild cognitive decline, but ataxia, pyramidal signs and spasticity.

Back

cerebral emboli

Front

<45yo 1. Thromus at left atrial appendage(ie AFib) 2. Mural Thrombi-stuck to side of vessel (cardiomyopathy, MI, ventricular aneurysm) 3. Endocarditis 4. Platelet-fibrin emboli(valve lesions) 5. cardiac neoplasms(Cardiac myxoma, papillary fibroelastoma) 6. Paradoxical embolus(patent foramen ovale, right to left shunt)

Back

Moyamoya disease

Front

Progressive stenosis/eventual occlusion of the intracranial terminal ICA(and proximal ACA, MCA, PCA) Forms small anatomic vessels ("moyamoya vessels") "Puff off smoke" on MRA, caused by many tiny arteries growing and attempting to compensate for occlusion/blockage. Characterized by stenosis or occlusion of the terminal part of each internal carotid artery

Back

Acute hemorrhagic leukencephalitis (Hurst disease)(children)

Front

Usually fatal, multifocal white matter hyperintensities...... often preceded via symptoms of URI Severe edema

Back

intracranial hemorrhage

Front

Intracerebral Bleeding into parenchyma. from arterioles/small a., hematoma... Most common cause is HTN, amyloid antipathy, vascular malformations. Increases ICP-> n/v, HA, AMS etc. subarachnoid Bleeding into CSF/subarach. space.... most commonly from ruptured arterial aneurysms(ie berry aneurysm at AcomA, or other spots in circle of willis), AVMs near pial surface..... bleed diathesis(hypocoagulability), amyloid antipathy, trauma, drug use....

Back

Alzheimer's disease

Front

Genetics Early onset: PSEN-1(presenelin-1) chrom. 14, PSEN2 chrom. 1, APP chrom 21 Late onset: APO E4 Most prominent atrophy in the medial temporal region(hippocampus), frontal and parietal reduced white matter Extracellular(beta-amyloid) Intracellular (Tau-hyperphosphorylated): neurofibrillary tangles in bodies of pyramidal neurons of hippocampus(consolidation of info.) and amygdala(emotional stuff) -central core of B-amyloid proteins surrounded by distorted neuritis containing paired helical filament tau(PHF-tau)

Back

Huntingon's disease

Front

chrom 4. A-dom CAG repeats, cell is more susceptible to caspace cleavage, cleavage releases toxic polyglutamine, amyloid like beta pleated sheets, neuronal loss and gliosis in striatum(The striatum is one of the principal components of the basal ganglia, a group of nuclei that have a variety of functions but are best known for their role in facilitating voluntary movement) Chorea, uncontrolled flows from one muscle group to another posterior frontal cortical atrophy first affected, cognitive decline with executive function, poor organization, cant adjust to situations

Back

Cerebral amyloid angiopathy (CAA)

Front

Amyloid precursor prot.(APP), cleaved by B-secretase at N-term.,-> gamma-secretase cleaves C-term.(intracellular terminus)->generates AB amylogenic peptides->deposits into walls of blood vessels. -issue is due to imbalance of production and clearance, not overproduction Mainly deposits into Tunica Media(smooth muscle layer) and adventitia. leads to loss of smooth muscle cells, disrupted vasculature/"double barreling", micro-aneurysm formation, fibrinoid necrosis, perivascular hemorrhage Main cause of lobar(cortical/subcortical region) hemorrhage in the elderly. Most afflicts occipital lobe. Can be asymptomatic. Sporadic vs hereditary(A-dom more severe) -AB, cystatin C, Transthyretin, Prion protein, Gelsolin, BRI2. APoE-E2: Induces changes in amyloid laden vessels->makes them more prone to rupture(worse hemorrhage, mortality, etc.) E4: Enhances amyloid deposition Congo red stain(used to stain amyloidosis), apple-green birefringence

Back

Fibromuscular dysplasia

Front

Abnormal segmental development of arterial wall->vessels are narrow or bulge Most affects renal and cerebral arteries(Vertebral, ICA aa.) Histo: fibrosis, smooth muscle hyperplasia Three subtypes 1. Medial FMD, most common "String of beads" on MRA

Back

Spinal and bulbar Muscular atrophy

Front

"kennedy disease" CAG repeat of Androgen receptor gene (X-rec.) hard to walk and pick up objects. LMN that progresses to bulbar muscles Small nuts, gynecomastia, low fertility(most likely all males)

Back

Hypertensive intracerebral hemorrhage

Front

rupture of small a. penetrating deep into the brain. 1. Lenticulostriates(Off MCA)-> Putamen(most common, helps with motor coordination and movement execution) 2. Thalamostriate(PCA)-> Thalamus 3. Basilar a penetrators(assuming pontines)-> pons and midbrain 4. Charcot Bouchard micro-aneurysms-> brain edema and (when isolated in one hemisphere) subfalcine herniations Arteriohyalinosis -homogenous eosinophilic(aviators) deposits in vessel wall Lipohyalinosis -destructive vessel lesion, loss of arterial architecture, foamy macrophage deposition Fibroid necrosis -accumulation of plasma proteins in vessel walls, vulnerable to rupture Centrencephalic HTN hemorrhage: extends into ventricular system. myelin sheath breakdown. RBC lysis->hemosiderin.... cystic with brown color(hemosiderin). Astrocytosis at periphery. After 1-6 months-> slit-like orange cavity lined with glial scar and hemosiderin laden MACs Abrupt focal Neuro deficits, decreased level of cons., increased ICP->HA, N/V Putamen Hemorrhage(most common)-> damaged internal capsule-> C/L hemiparesis, facial sagging, dysarthria(muscles to make speech bad). Eyes deviate towards lesion.

Back

Corticobasal degeneration (asymmetrical parkinsonism + cognitive dysfunction)

Front

Unilateral arm clumsiness+bradykinesia Alien hand syndrome: Can't control hand movement-> feels like it is not his hand(ie mind of its own) Limb apraxia: Motor planning(50%). Can't perform voluntary skilled movements(in the absence of motor deficit) Achromatic ballooned neurons-perikaryal swelling(cell boyd swelling) dispersion of Nissl substance(granular bodies found in neurons), peripheral nucleus.

Back

Spinal Muscular Atrophy

Front

lower motor neuron degeneration(A-rec., 4 types) SMA1.) Infantile/Werndig-Hoffman- most severe survivable type (0 dies in utero), resp. failure death SMA2.) Intermediate/Dubowitz: 6-18 months..... may live to 3rd decade SMA3.) Kugelberg-Welander: >18months. prog. proximal weakness, legs>arms. Wheelchair bound eventually. Little-no resp. weakness From Survival motor neuron/SMN1 gene mutation(role in motor neuron mRNA synthesis), SMN2 gene can only partially compensate

Back

Mitochondrial myopathy, encephalopathy, lactic acidosis and stroke(MELAS) (MT-TL1) codes RNA transporter leucine

Front

myopathy: red ragged fibers,

Back

Progressive Supranuclear Palsy (PSP)

Front

worried astonished face/pseudobulbar palsy..... Extended trunk(vs PD-usally flexed trunk) Axial rigidity/erect posture. Globose phosphorylated tau NFTs

Back

Acute disseminated encephalomyelitis (ADEM)(viral cause)

Front

Proceeds Infectious illness(coronavirus, coxsackie, cmv,ebv....) Monophasic..... at cortical/subcortical border , perivenous inflammatory infiltrates

Back

Alexander Disease (GFAP mutation, 17)

Front

white matter abnormalities with a frontal predominance, glial fibrillary acid protein defect)codes for intermediate filament found in mature astrocytes...... bulbar symptoms in type 2, type 1: psychomotor retardation Rosenthal fibers

Back

Cerebral autosomal dominant arteriopathy with subcortical infarcts and leukoencephalopathy (CADASIL)

Front

Thickening of blood vessel walls blocks blood flow to brain. A-dom, NOTCH-3 mutation! Sx: migraines, multiple strokes. 5-6th decade of life. Progresses to dementia. Eosinophilic, PAS-postiive(Acid stain), Congo red-negative(amyloidosis detector), granular material replaces smooth muscle cells. Microscopy: Granular osmiophillic material

Back

Adrenoleukodystrophy (ALD) (X-link, ABCD1)(Excess VLCFA, induces ROS generation)(ages 4-10)(death a few years after diagnosis)

Front

Toxicity of testis and adrenal cortex is also seen in addition to myelin loss.... confluent myelin loss with only focal sparing of subcortical myelin

Back

Parkinson's disease

Front

alpha-synuclein(Lewy) proteins build up in brain causing dopamine-releasing neurons to die. Lewy body formation in olfactory bulb(anosmia, no smell) and medulla(constipation, dorsal motor nucleus of vagus(CN 10)), eventually spreads upward to midbrain(motor sx) and cortical areas(neocortex/limbic system->cognitive impairment) Main genes: (A-dom) SNCA, LRRK2, PARK2, PINK1, DJ-1, ATP13A2 SNCA: Encodes alpha-synuclein(mutation is usually duplication/triplicaiton)-> excess alpha-synuclein

Back

Cervical artery dissection(Most often in carotid a., sometimes VA)

Front

Intimal tear->medial/subendothelial hematoma-> hematoma occludes lumen-> ischemic or hemorrhagic Presents in young and middle-aged pateitns with unilateral face or neck pain, Horner's syndrome, facial paresthesias, dizziness, diplopia, vertigo, ataxia, and nausea.

Back

Neuronal Ceroid Lipofuscinoses(Metabolic start, all usually childhood)

Front

excessive accumulation of lipopigemnts.... always premature death.......

Back

Metachromatic leukodystrophy

Front

Arylsulfatase A deficiency, leads to buildup Cerebroside 3-sulfate within oligodendrocytes and Schwann cells(CNS and PNS, with ataxia and dementia), spares subcortical fibers

Back

Neuromyelitis optica(CN IIand III)(Vision issues)

Front

APQ4 autoAB in serum No Oligoclonal bands(ddx vs MS) Primarily Humoral response(ddx vs MS) Head MRI usually Normal, longitudinally extensive central necrotic lesions in spinal cord.

Back

capillary telangiectasia

Front

Made of single walled endothelium. abnormal collection of enlarged capillaries WITH intervening normal brain tissue (unlike cavernous hemangioma) DONT bleed Most commonly a single lesion in the pons BEST seen on gradient echo (slow flow with DEoxyhemoglobin) Can occur after radiation therapy No smooth muscle/elastic fibers. Intervening brain is usually normal.

Back

Gaucher disease(crumpled tissue paper macs, lipid laden)(bone marrow aspiration of Gaucher cells)

Front

hapetosplenomegaly, osteoporosis, AVN of femoral head Glucocerebrosidase deficiency, accumulation of glucocereboside

Back

Berry aneurysm

Front

Most often found in the circle of Willis in the brain circulation Consists of a small, spherical vessel dilation

Back

Ischemic Stroke

Front

Non MF risk: ethnicity(AA), heredity(CADASI, CARASIL, Moymoya) Mod risk: #1 HTN!, atherosclerosis, hyperlipidemia etc... MCA: C/L Face/neck weakness/sensory loss, aphasia.... (hommonuculus) ACA: C/L lower extremity weakness/sensory loss, lack of response(abulia-lacks motivation, akinetic mutism) PCA: Visual defects ICA: Many varieties. Think ICA feeds a lot of the brain. +babinski: toes extend and fan out=UMNL Severe hypovolemia/cardiac pump failure= cerebral blood flow critically lowered= watershed infarction(ACA/MCA or MCA/PCA) Ischemic Penumbra: Area of misery, 8-18ml/min blood flow, neurons are functionally silent, but still can be saved(Area surrounding the directly afflicted stroke)

Back

Multiple system atrophy(Still presence of alpha-synuclein)

Front

1. MSA w/ predominant parkinsonism(putanem and caudate nucleus atrophy) 2. cerebellar type (cerebellar, middle cerebellar peduncle and pontine atrophy, loss of purkinje cells-release GABA-inhibitory) Symptoms of autonomic failure-urinary urgency and frequency, urge incontinence, nocturne, ED, ortho hypotension pallor of SN Glial cytoplasmic inclusions in Oligodendrocytes atrophy of caudate nucleus(storing an processing memories), cerebellum and putanem(aids in movement regulation) on imaging

Back

Section 2

(19 cards)

Inclusion Cell (I-Cell) Disease(Glycoprotein storage disease)

Front

NAGT deficiency, enzymes with no M6P tags N-acetylglutamate synthetase (NAGS) deficiency AR; defective phosphotransferase enzyme in Golgi apparatus resulting in decreased mannose-6-phosphate addition to lysosomal proteins. Lysosomal enzymes in blood with no M6P label. Fibroblasts develop large granules in cytoplasm(Lysosomes containing amorphous material) also can have coarse facial features

Back

Shchwannomatoisis "NF3"? (SMARCB1 gene)(Leucine zipper like transcriptional regulator 1)

Front

Especially in arms and legs, key is there is multiple shwannomas without vestibular involvement(vs NF type 2)

Back

69 done

Front

Back

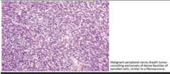
Malignant Peripheral Nerve Sheath Tumor (MPNST)

Front

Occurs w/ NF1, Both NF1 alleles are lost but they require additional hits(mutation in p53 and deletions in CDKN2A) LOF SUZ12 and EED Malignant triton tumor: w/rhabosarcoma differentiation Resembles fibrosarcoma marked areas of secondary hemorrhage and necrosis

Back

Peripheral nerve tumors

Front

Back

Niemann-Pick disease

Front

Sphingomyelinase deficiency, sphingomyelin build-up, hepatosplenamegaly, May-giesma->sea blue histiocytes , lysosomal zebra bodies, can also have cherry red spot

Back

Intoxications

Front

Back

Lysosomal storage disease

Front

A hereditary disorder associated with abnormal lysosomes, where the sufferer is missing one of the lysosomal digestive enzymes

Back

Metabolic disturbances

Front

hyper/hypo glycemia

Back

Neurofibromatosis type 1 (Mutation NF1, 17)(can be sporadic and germ-line) (Neurofibromin protein issue, tumor suppressor)

Front

Multiple Cafe spots(Numerous) and neurofibromas(many), Lisch nodules..... etc. can also be associated with mpnst

Back

Neurofibromatosis type 2(NF2 gene and Merlin deficiency)

Front

Schwannoma, meningiomas and ependymomas..... cataracts.... cafe spots(less than 6(vs NF1 shitload)) Hearing loss, vestibulocochlear Schwannomas association(CN 8)

Back

Wernicke encephalopathy and Korsakoff syndrome

Front

Metabolic disorders caused by thiamine (B1 vitamin) deficiency: alcoholics, hematologic malignancies, hyperemesis gravidarum. Wernicke encephalopathy clinical triad of acute ocular movement abnormalities, ataxia, and confusion. If longterm memory and learning problems result then Korsakoff syndrome. Early stage may reveal T2 hyperintensity or contrast enhancement of mamillary bodies, basal ganglia, thalamus, brainstem, and periaqueductal involvement. Chronic stage may show mamillary body and tegmentum atrophy and dilation of third ventricle.

Back

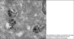
Mucopolysaccharidoses(unable to breakdown glycosaminoglycans)

Front

Type 1: (Hurler syndrome is worst) alpha-L-iduronidase deficiency, build-up of heparan sulfate, dermatan sulfate balloon cells, hepatosplenomegaly, coarse facies(gargoylism) , Corneal clouding Type 2: (Hunter syndrome) Mild hurler+aggressive behavior, no corneal clouding Iduronate-2-sulfatase, build-up of heparan sulfate, dermatan sulfate

Back

Neurofibroma(NF-1 association=bad more malignant, 90% not associated with NF-1) (Some of us probably will have/have neurofibromas not associated with NF-1 disorder)

Front

Plexiform=NF1 "rosary beads or bag of worms" Massive soft tissue=NF1 however most common is cutaneous=skin colored, NF1 feature when there are many. +s100

Back

Leigh Syndrome (MT-ATP6)

Front

encodes subunit of ATP synthase, movement disorder, recurrent vomiting, hypotonia

Back

Schwannoma(NF2 gene, 22) (Merlin protein deficient)

Front

Multiple Schwannomas: occur with true NF2 and Schwannomatosis disorders Verocay bodies(spindle cells make them) strongly s-100 protein reactive

Back

Myoclonic epilepsy with ragged red fibers (MERRF) (MT-TK)

Front

short stature, RNA transporter of lysine, elevated lactate and CK

Back

Perineuroma

Front

S100 negative, EMA positive, claudin positive. the sclerosing form is common on the hands and feet of patients, (NF2 gene, 22), often sciatic nerve

Back

Tay-Sachs disease(Cherry red spot, macula) (death by 2-3)(enzyme assay)

Front

Hexosaminidase A deficiency; GM2 ganglioside build-up. ONION cytoplasm, whorled configurations

Back