Histology BCS exam 1

Histology BCS exam 1

memorize.aimemorize.ai (lvl 286)
Section 1

Preview this deck

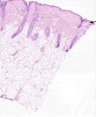
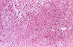
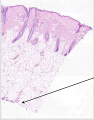
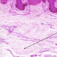
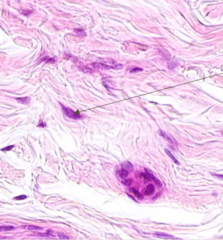
dermis

Front

Star 0%
Star 0%
Star 0%
Star 0%
Star 0%

0.0

0 reviews

5
0
4
0
3
0
2
0
1
0

Active users

0

All-time users

0

Favorites

0

Last updated

6 years ago

Date created

Mar 1, 2020

Cards (96)

Section 1

(50 cards)

dermis

Front

what layer of this skin is this

Back

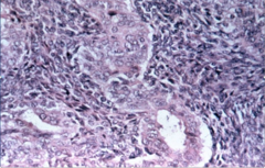
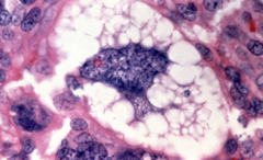
pleomorphic liposarcoma

Front

what is the name of this soft tissue tumor?

Back

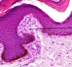
outer root sheath

Front

what is the name of this portion of the hair follicle?

Back

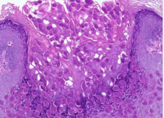
botryoid variant

Front

what is the name of this soft tissue tumor?

Back

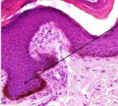
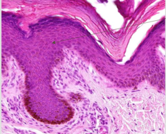
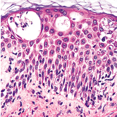
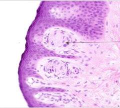
epidermal ridge

Front

what part of the epidermis is this?

Back

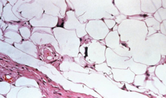
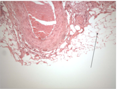
hypodermis

Front

what layer of the skin is this

Back

eccrine sweat gland

Front

what is the name of this sweat gland?

Back

arrector pili muscle

Front

what is the name of thisstructure?

Back

nail bed

Front

what is the name of this portion of the nail?

Back

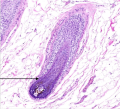
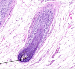
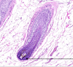
hair bulb

Front

what is the name of this portion of the hair follicle?

Back

nail matrix

Front

what is the name of this portion of the nail?

Back

Myxoid liposasrcoma

Front

what is the name of this soft tissue tumor?

Back

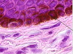
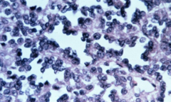
melanocyte

Front

what type of cell is this?

Back

meissners corpuscle

Front

what is this cell?

Back

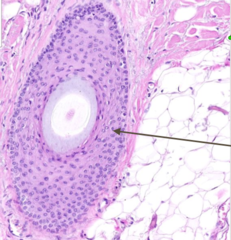
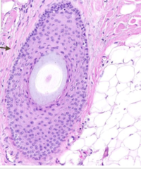
cortex

Front

what is the name of this portion of the hair follicle?

Back

nail root

Front

what is the name of this portion of the nail?

Back

alveolar rhabdomyosarcoma

Front

what is the name of this soft tissue tumor?

Back

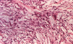
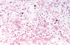
fibroblast

Front

what is the name of this cell?

Back

stratum granulosum

Front

what layer of the epidermis is this?

Back

matrix

Front

what is the name of this portion of the hair follicle?

Back

keratinocyte

Front

what type of cell is this

Back

ups

Front

what is the name of this soft tissue tumor?

Back

papillary layer

Front

what is the name of this dermis layer?

Back

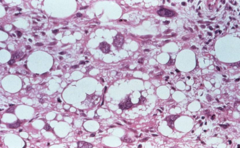
well differentiated liposarcoma

Front

what is the name of this soft tissue tumor?

Back

dermal papilla

Front

what is the name of this portion of the hair follicle?

Back

pleomorphic liposaroma

Front

what is the name of this soft tissue tumor?

Back

langerhan cell

Front

what is the name of this cell?

Back

hyponychium

Front

what is the name of this portion of the nail?

Back

embyronal rhabdomyosarcoma

Front

what is the name of this soft tissue tumor?

Back

stratum spinosum

Front

what layer of the epidermis is this?

Back

dermal papilae

Front

what layer of the dermis?

Back

reticular layer

Front

what is the name of this dermis layer?

Back

well differentiated liposarcoma

Front

what is the name of this soft tissue tumor?

Back

alveolar rhabdomyosarcoma

Front

what is the name of this soft tissue tumor?

Back

inner root sheath

Front

what is the name of this portion of the hair follicle?

Back

eponychium

Front

what is the name of this portion of the nail?

Back

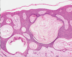
thick skin

Front

what type of skin is this?

Back

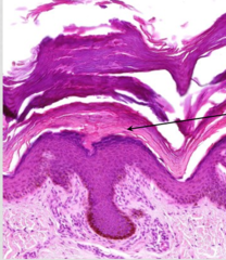
stratum corneum

Front

what layer of the epidermis is this?

Back

round cell liposarcoma

Front

what is the name of this soft tissue tumor?

Back

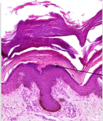
stratum lucidum

Front

what layer of the epidermis is this?

Back

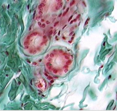
sebaceous gland

Front

what is the name of this gland?

Back

cuticle

Front

what is the name of this portion of the hair follicle?

Back

epidermis

Front

what layer of the skin is this

Back

embryonal rhabdomyosarcoma

Front

what is the name of this soft tissue tumor?

Back

apocrine sweat gland

Front

what is the name of this sweat gland?

Back

thin skin

Front

what type of skin is this?

Back

stratum basale

Front

what layer of the epidermis is this?

Back

dermal/ connective tissue sheath

Front

what is the name of this portion of the hair follicle?

Back

adipocyte

Front

what is the name of this cell?

Back

pacinian

Front

what is the name of this cell?

Back

Section 2

(46 cards)

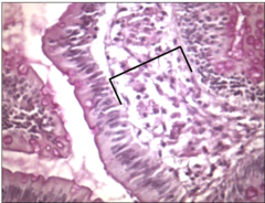
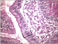
Pseudostratified columnar epithelium

Front

what type of epithelium is this?

Back

Squamous Cell Carcinoma, glassy pink cytoplasm (small arrow), squamous pearls of extracellular keratin (large arrow)

Front

What is the name of this epithelial tumor? What is depicted by the small arrow? Large arrow?

Back

elastin fibers

Front

what is the name of this structure?

Back

Acute Eczematous Dermatitis

Front

What is likely the diagnosis of this patient?

Back

collagen bundles

Front

what is this structure?

Back

Biphasic synovial sarcoma

Front

what is the name of this soft tissue tumor?

Back

type I collagen bundles

Front

what is this structure?

Back

Psoriasis

Front

What is likely the diagnosis of this patient?

Back

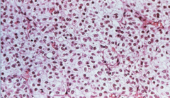
plasma cell

Front

what type of cell is this?

Back

elastin bundles

Front

what is this structure?

Back

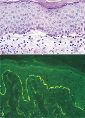
basal lamina

Front

what is this structure?

Back

Actinic Keratosis

Front

What is the name of this epithelial tumor?

Back

lung, aldehyde-fuchsin, collagen and smooth muscle, elastin

Front

where is this located? what type of stain is used? what is the yellow material? the purple?

Back

A) junctional B) dermal C) Compound

Front

Name each benign nevi

Back

trachea, hyaline

Front

where is this located? what type of cartilage is this?

Back

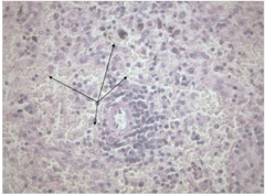
spleen, PAS, reticular fibers

Front

where is this located? what type of stain is this? what is this structure?

Back

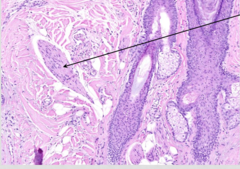
Fibroepithelial Polyp

Front

What is the name of this epithelial tumor

Back

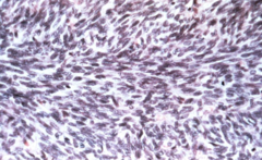
mitotic figured in nodular fascitis

Front

what is the name of this structure?

Back

collagen bundles

Front

what is this structure?

Back

Bullous Pemphigoid

Front

What is likely the diagnosis of this patient?

Back

basal cell carcinoma

Front

What is the name of this epithelial tumor?

Back

secretory portion of the Eccrine gland

Front

what is this?

Back

loose connective tissue

Front

what type of tissue is this?

Back

lymph node, silver stain, reticular fibers

Front

where is this located? what type of stain is this? what is this structure?

Back

Trichophyton spp

Front

what is the name of this fungal pathogen?

Back

Epidermophyton spp

Front

what is the name of this fungal pathogen?

Back

Pemphigus vulgaris

Front

What is likely the diagnosis of this patient?

Back

adipose tissue

Front

what type of tissue is this?

Back

loose connective tissue

Front

what type of tissue is this?

Back

Eccrine Gland

Front

what is this?

Back

Nodular fasciitis

Front

what is the name of this soft tissue tumor?

Back

nodular faciitis

Front

what is the name of this soft tissue tumor?

Back

Seborrheic Keratosis

Front

What is the name of this epithelial tumor

Back

Dermatitis Herpetiformis

Front

What is likely the diagnosis of this patient?

Back

chondrocyte

Front

what is this structure?

Back

dense regular connective tissue, fibroblast

Front

What type of connective tissue is this? what is this structure?

Back

Molluscum Contagiosum, poxvirus

Front

What's the name of this infection and what is it caused by?

Back

elastin

Front

what is this structure?

Back

chondrocytes

Front

what is this structure?

Back

perichondrium

Front

what is this structure?

Back

Microsporum spp

Front

what is the name of this fungal pathogen?

Back

fibromatosis

Front

what is the name of this soft tissue tumor?

Back

Monophasic synovial sarcoma

Front

what is the name of this soft tissue tumor?

Back

simple columnar epithelium

Front

what type of epithelium is this?

Back

dense irregular connective tissue, fibroblast

Front

What type of connective tissue is this? what is this structure?

Back

chondrocytes

Front

what is this structure?

Back