Section 1

Preview this deck

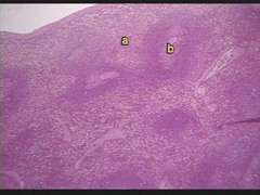
during apoptosis, cell contents remain membrane bound, therefore not eliciting inflammation

Front

Star 0%
Star 0%
Star 0%
Star 0%
Star 0%

0.0

0 reviews

5
0
4
0
3
0
2
0
1
0

Active users

0

All-time users

0

Favorites

0

Last updated

6 years ago

Date created

Mar 1, 2020

Cards (265)

Section 1

(50 cards)

during apoptosis, cell contents remain membrane bound, therefore not eliciting inflammation

Front

major difference between necrosis and apoptosis

Back

amyloidosis (congo red stain)

Front

what is this extracellular accumulation?

Back

melanoma

Front

what is this

Back

acute inflammation (fibrinous- loosely adhered)

Front

fibrinous CT indicates what type of inflammation?

Back

fatty acids fail to be converted into lipoproteins and get therefore are not transported out of the liver

Front

pathogenesis of fatty change?

Back

caspase 8

Front

which initiator caspase is for extrinsic apoptotic pathway?

Back

caspase 9

Front

which initiator caspase is for intrinsic apoptotic pathway?

Back

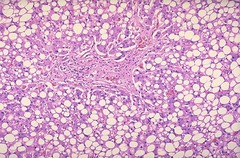
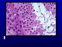
hepatic lipid accumulation

Front

organ? issue?

Back

cell shrinkage, chromatin condensation, cytoplasmic bleb & apoptotic bodies, phagocytosis of apoptotic bodies

Front

morphological features of apoptosis

Back

Pleural calcification (metastatic)

Front

Back

chronic inflammation

Front

fibrous CT indicates what type of inflammation?

Back

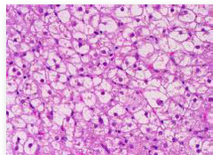
vacuolar degeneration histology

Front

describe this picture

Back

hemorrhage

Front

risks ulcers can cause

Back

fibrous connective tissue

Front

if large numbers of cells die, what will replace them

Back

Karryorrhexis

Front

Back

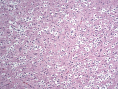
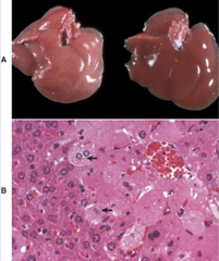
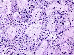
-Hydropic degeneration of the liver -accentuated lobular pattern; pallor-light pink

Front

Describe this liver

Back

gout (uric acid crystals)

Front

what is this extracellular accumulation?

Back

scarring

Front

healing of an ulcer

Back

irreversible condensation of chromatin (shrunken nucleus)

Front

pyknosis

Back

epidermal hyperplasia (allergic skin disease)

Front

Back

tyrosinase contains copper and is needed for the oxidation of tyrosine to melanin

Front

why does copper deficiency cause color fading?

Back

a pigment associated with jaundice

Front

what is bilirubin?

Back

glycogen accumulation vacuoles with indistinct border, nuclei central

Front

Issue? Description?

Back

small area of necrosis due to cut off blood supply

Front

infarct

Back

epithelial response to injury with damage to basement membrane

Front

ulceration

Back

integrin enters a high affinity state and can bind to ICAM.

Front

In the leukocyte adhesion cascade, once L-selectin is shed from the leukocyte what occurs?

Back

injury->hypoxia-> decrease oxidative phosphorylation -> decreased ATP -> na/k pump activity decreases --> influx on Ca2+ and Na+; efflux K+, ->H20 enters cell-> swelling-->cell membrane damage

Front

describe the pathogenesis from injury-> vacuolar degeneration

Back

apoptosis- phagocytes necrosis- neutrophils

Front

during apoptosis and necrosis what are the major immune cells for each?

Back

hematin

Front

pigment?

Back

mitochondrial and DNA damage

Front

intrinsic apoptotic pathway

Back

digested blood caused by parasites (brown pigment)

Front

what is hematin?

Back

myocardial necrosis coagulative

Front

disease? type of necrosis

Back

amyloid (amorphous and eosinophilic) in the pancreatic islets

Front

what is this extracellular accumulation?

Back

Acute cellular swelling

Front

vacuolar degeneration (hydropic degeneration)

Back

suppurative

Front

producing or associated with the generation of pus.

Back

Nuclear fragmentation

Front

Karyorrhexis

Back

abscess

Front

encapsulated accumulation of neutrophils

Back

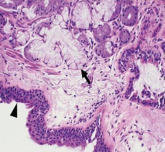
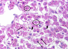
Ballooning Degeneration, Papular Stomatitis Arrows= inclusion bodies

Front

describe this oral mucosa. What is the arrow? disease?

Back

enlargement of a cell due to increase in size of organelles

Front

hypertrophy of a cell

Back

nuclear dissolution (pale nucleus)

Front

karyolysis

Back

increase in size due to increase in number of cells

Front

hyperplasia

Back

fat necrosis lost nuclei, vague cellular outlines, pale cytoplasm on H&E stain

Front

type of necrosis? morphologic features

Back

epithelial response to injury with basement membrane intact

Front

erosion

Back

coagulation necrosis denaturation with denser rigid texture to dead cells

Front

type of necrosis characteristics

Back

lipofuscin- pigment associated with aging

Front

what is the yellow-brown

Back

fat saponification, chalky white

Front

type of necrosis characteristics

Back

pyometra liquefactive necrosis (suppurative) purulent exudate

Front

disease type of necrosis type of exudate

Back

caspase 3, 6, 7, 12

Front

executioner caspases

Back

inclusion bodies

Front

Back

pus

Front

neutrophilic inflammation with high plasma protein content

Back

Section 2

(50 cards)

macrophage

Front

granulomatous

Back

decreases inflammation released from liver

Front

does albumin cause an increase or decrease in inflammation? Where is it released from?

Back

ligand for Integrin, involved in adhesion part of the leukocyte adhesion cascade

Front

ICAM-1

Back

infection with feline enteric corona virus --> replicated in enterocytes of PP in intestine --> mutate and replicate in macrophages and blood monocytes --> virus infected macrophages disseminates to multiple organs --> host immune response --> pyogranulomatus vasculitis

Front

pathogenesis for FIP

Back

edema

Front

vascular leakage of fluid into tissues

Back

1. Vasoconstriction 2. Platelet Plug

Front

primary hemostasis (2 main things)

Back

triglycerides milk white

Front

chylous

Back

bradykinin, PGD2, NO, LD4

Front

vasodilators

Back

chylous

Front

describe exudate

Back

coagulation pathway

Front

secondary hemostasis

Back

1. Increased intravascular hydrostatic pressure 2. Reduced intravascular oncotic pressure 3. Increased microvascular permeability 4. decreased lymphatic drainage

Front

4 major causes of edema/effusion

Back

increases inflammation released from liver

Front

does fibrinogen cause an increase or decrease in inflammation?Where is it released from?

Back

albumin, prealbumin, alpha-2 macroglobulin, transferrin

Front

4 proteins from liver that decrease inflammation?

Back

infected granulation tissue

Front

Back

3(Tissue Factor/thromboplastin)-7

Front

extrinsic coag pathway factors

Back

reduces oncotic pressure which will reduce absorption of fluid into the capillaries

Front

why does decreased albumin promote edema

Back

pain, swelling, redness, edema, loss of function, heat

Front

clinical signs of acute inflammation

Back

Th2

Front

primary immune response to eosinophilic granuloma

Back

compression of the heart produced by the accumulation of fluid in the pericardial sac

Front

cardiac tamponade

Back

clear fluid

Front

transudate

Back

increase

Front

does C-reactive protein increase or decrease inflammation?

Back

increase vascular permeability and smooth muscle contractions

Front

complement protein C3a does what two things?

Back

1. persistent injury 2. persistent infection by bacteria, fungi, parasites, viruses 3. prolonged exposure to toxins 4. autoimmune reactions

Front

4 main causes for chronic inflammation

Back

I: IgE II: IgM or IgG III: IgM or IgG IV: T- cells

Front

Immunological component to Type 1-IV hypersensativites

Back

factors that contribute to hemostasis and thrombosis. 1. Endothelial Injury * 2. Static or Turbulent Blood Flow 3. Blood Hypercoagulability

Front

Virchows triad

Back

effusion

Front

vascular leakage of fluid into a body cavity

Back

tunica intima , tunica media, tunica adventitia

Front

3 artery levels from lumen out

Back

Th1 lymphocytes

Front

priimary immune response to nodular granuloma

Back

non-pathogenic arrest of bleeding

Front

hemostasis

Back

Small intestine: severe, subactue, multifocal, surface, Pyogranulomatous vasculitis, .

Front

Morphological diagnosis

Back

10-5 -2(thrombin)-1 (fibrin)

Front

common coag pathway factors

Back

neurons, photoreceptors, cardiac muscle

Front

3 examples of permanent cells

Back

fluid rich in proteins and/or cells

Front

exudate

Back

neutrophils

Front

pyo

Back

fibrinous exudate (stringy pale fibrin)

Front

type of exudate?

Back

Extravasated blood

Front

hemorrhage

Back

a receptor involved in diapidesis of leukocytes out of the blood stream into the interstium

Front

PECAM1

Back

increase vascular permeability and chemotaxis

Front

complement protein C5a does what two major things?

Back

healthy granulation tissue

Front

Back

serosanguinous fibrinous purulent

Front

types of exudate

Back

petechial, ecchymotic, purpuric, paintbrush

Front

4 descriptions of hemorrhage

Back

NSAID inhibit COX1/Cox2 which inhibits Prostaglandin synthesis--> predisposing the kidneys to hypoperfusion and eventually ischemia (because prostaglandins have protective effect of renal tubules against ischemia)

Front

pathogenesis of renal papillary necrosis

Back

Th2 lymphocytes

Front

primary immune respose to diffuse granuloma

Back

12-11-9-8

Front

intrinsic coag pathway factors

Back

1. neutrophils 2 fibrin 3. macrophages

Front

3 features of Pyogranulomas histologically

Back

pathogenic inappropriate hemostasis

Front

thrombosis

Back

proud flesh- overgrown granulation tissue

Front

Back

1. Margination 2. Rolling 3. Adhesion 4. Migration

Front

4 major parts of leukocyte adhesion cascade?

Back

increase vascular permeability

Front

LTB4, LTC4, LT2, LTE4 do what thing

Back

purulent exudate due to meningitis (sulci are obsucred by exudate)

Front

describe this exudate

Back

Section 3

(50 cards)

malignant bone tumor

Front

Osteosarcoma

Back

flat, no stalk

Front

sessile tumor

Back

pathological activation of coagulation

Front

Disseminated Intravascular Coagulation (DIC)

Back

Endocardiosis

Front

Back

benign squamous epithelial tumor

Front

papilloma

Back

brain

Front

organ?

Back

systemic hypoperfusion

Front

shock

Back

mesenchymal cells

Front

Round cell tumors

Back

anaerobic metabolism (glycolysis) --> acidosis. Peripheral vasoconstriction cannot be maintained --> vasodilation

Front

what occurs during progression of shock?

Back

multifactorial injury to respiratory capillary endothelium and epithelium

Front

actue respiratory distress syndrome (ARDS)

Back

spleen

Front

organ?

Back

electricity, fear, s.c. injury, trauma --> autonomic NS discharge --> decrease in sympathetic tone --> peripheral vasodilation & bradycardia --> pooling blood --> hypoperfusion

Front

pathogenesis of neurogenic shock

Back

benign smooth muscle tumor

Front

Leiomyoma

Back

fingerlike projections from tumor

Front

papillary tumor

Back

epithelial metaplasia

Front

Back

malignant skeletal muscle tumor

Front

Rhabdomyosarcoma

Back

malignant smooth muscle tumor

Front

leiomyosarcoma

Back

malignant liver tumor

Front

Hepatocellular carcinoma

Back

benign glandular tumor

Front

adenoma

Back

no, only high doses

Front

do low and medium doses of LPS cause septic shock?

Back

myxomatous metaplasia

Front

Back

benign skeletal muscle tumor

Front

Rhabdomyoma

Back

HR increases, vasoconstriction, ADH & angiotensin II release --> increase BP, blood diverted to vital tissue

Front

what occurs during shock compensation?

Back

benign plasma cell tumor

Front

plasma cell tumor or plasmacytoma

Back

kidney

Front

organ?

Back

marked ulceration and necrosis

Front

fungating tumor

Back

hypoxia & platelet & coagulation activation, myocardial group failure --> multi-organ failure + DEATH

Front

During shock why is there irreversible cellular & tissue damage?

Back

tumor like lesion; disorganized mature tissue in abnormal location

Front

choristoma

Back

tumor like lesion; disorganized mature tissue in normal location

Front

hamartoma

Back

malignant macrophage tumor

Front

histiocytic sarcoma

Back

malignant lymphocyte tumor

Front

lymphoma and leukemia

Back

ring shaped

Front

annular tumor

Back

cat neoplasia

Front

Back

malignant plasma cell tumor

Front

multiple myeloma

Back

compensation --> progression --> irreversible cell & tissue damage

Front

stages of shock

Back

collagen type 1, elastin, fibronectin, laminin, glycosaminoglycans, proteoglycans

Front

what is ECM made of?

Back

benign mast cell tumor

Front

low grade mast cell tumor

Back

benign bone tumor

Front

Osteoma

Back

mesenchymal metaplasia

Front

Back

pedunculated polypoid tumor

Front

Back

Front

Epidermal dysplasia

Back

Mature cell type is replaced by a different mature cell type

Front

Metaplasia

Back

malignant glandular tumor

Front

adenocarcinoma

Back

malignant squamous epithelial tumor

Front

squamous cell carcinoma

Back

exposure to allergen --> IgE mediated mast cell degranulation --> histamine + --> vasodilation & increased vascular permeability --> hypotension --> tissue hypoperfusion

Front

pathogenesis of anaphylactic shock

Back

benign liver tumor

Front

hepatoma

Back

malignant mast cell tumor

Front

high grade mast cell tumor

Back

benign macrophage tumor

Front

histiocytoma

Back

age related

Front

myxomatous metaplasia

Back

diffuse endothelial damage or platelet activation

Front

DIC is triggered by many things all of which need to cause what to initiate DIC?

Back

Section 4

(50 cards)

high

Front

if albumin is high, oncotic pressure is ____

Back

high altitude -> hypoxia -> vasoconstriction -> heart works harder -> hypertrophy of arterial walls -> increase pressure and resistance (pulmonary hypertension) -> dilation & hypertrophy of right ventricle ->

Front

brisket disease pathogenesis

Back

HCM*, DCM, hyperthyroidism cardiac hypertrophy, congenital heart disease

Front

common heart diseases in cats

Back

VSD, PDA, persistant truncus arteriosus

Front

common congenital cardiac defects in horses?

Back

GI and pancreatic tumors

Front

which types of tumors metastasize through the portal vein into the liver?

Back

cancellous bone, cartilage, fat, muscle, vascular, or hematopoietic tissues

Front

sarcoma tissues

Back

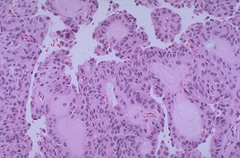
tubule growth; glandular epithelial origin

Front

type of tumor growth? common in?

Back

liver: severe, chronic, diffuse, hepatic fibrosis (cirrhosis)

Front

morphological diagnosis?

Back

mouth: focal, chronic, severe, oral fibrosarcoma

Front

morph diag

Back

morbidity due to complex systems not directly related to the tumor

Front

what is a paraneoplastic syndrome?

Back

fibrinous pericarditis*, toxic cardiomyopathy, endocardial fibrosis and calcification, endocarditis

Front

common heart diseases in horses

Back

lipid deposits (plaques) in intima and media tunicas; high cholesterol

Front

atherosclerorsis

Back

failure of heart to pump blood adequately

Front

cardiogenic shock

Back

glandular origin

Front

acini growth is common in what type of tumor origin?

Back

Selenium deficiency

Front

issue?

Back

lymphocytes, mast cells, plasma cell, macrophage

Front

round cell tumors are in which tissue types?

Back

Gall bladder: severe, chronic, diffuse, mucocele liver: severe, chronic, focal, heptatocellular carcinoma

Front

morph diag

Back

malignant tumor of mesenchymal origin

Front

sarcoma

Back

Vit E selenium deficiency (white muscle disease)*, toxic cardiomyopathy, brisket disease, pericarditis, lymphoma, endocarditisfip

Front

common heart diseases in cows

Back

fibrosis in the electrical system

Front

when do you see conductance disturbances?

Back

mineral deposition; calcinogenic plants, vit D tox, uremia, renal disease, Johne's disease

Front

arterial medial calcification

Back

carcinoma

Front

lympthatic metastasis for mostly _____

Back

dilated spaces lined by cells which tend to fill with fluid seen in glandular tumors

Front

cystic growth tumor

Back

edema (fluid not being reabsorbed back into the capillary)

Front

decrease in oncotic pressure will cause what?

Back

malignant tumor or epithelial origin

Front

carcinoma

Back

WBCs (NK cells, T cells, B Cells)

Front

types of lymphocytes (derived from common lymphoid progenitors)

Back

mesotheliomas and repro carcinomas

Front

tumors that metastasize through transcoelomic routes are

Back

1. transformed cells adhere and penetrate the basement membrane to ECM; 2. Intravasation into blood (interaction with lymphocytes, form tumor cell emboli - platelets), 3. Extravasation out of blood (metastatic deposits, angiogenesis)

Front

steps of invasion

Back

sarcoma

Front

hematogenous metastasis for mostly _____

Back

cord tumor aligned in chains; common in epithelial (carcinoma) tumors

Front

tumor growth descriptor? common in?

Back

lung

Front

tumors in the vena cava metastasize first in the ____

Back

1. tumor (e.g. adenocarcinoma in anal sac) --> increase PTHrP --> increase Ca++ rebabsorption & decrease phosphate reabsorption 2. tumor--> PTHrP --> stim osteoclasts --> resorb bone --> release Ca++ 3. tumor --> 1,25 dihydroxy vitamin D --> ca++ reabsorption in GI

Front

One paraneoplastic syndrome of cancer is hypercalcemia. What are the mechanisms?

Back

myxomatous valve degeneration (endocardiosis)*, congenital heart disease, DCM, hemorrhagic pericardial effusion, cardiac neoplasia, dirofilariasis

Front

common heart diseases in dog

Back

lung: moderate, chronic, multifocal, pleural, anthracosis

Front

morphological diagnosis?

Back

septal defects, PDA

Front

which diseases do you see shunts?

Back

intimal fibrosis in vessels distant from the heart; turbulence & age related

Front

arteriosclerosis

Back

liver

Front

tumors that enter the portal vein metastasize first in the ____

Back

erysipelothrix rhusiopathiae

Front

An infectious disease in swine associated with endocarditis and joint infections

Back

1. rupture 2. obstruction 3. myocardial injury 4. shunt 5. conductance disturbance 6. regurgitant flow

Front

mechanisms of pump ad flow failure

Back

Hypertrophic cardiac myopathy (HCM) & dilated cardiac myopathy (DCM)

Front

which diseases do you see myocardial injury

Back

malignant tumor of mesothelial origin

Front

mesothelioma

Back

bone, mammary, skin, soft tissue, thyroid tumors

Front

which types of tumors metastasize through the vena cava into the lungs?

Back

increases in oncotic pressure will decrease albumin synthesis decreases in oncotic pressure will increase albumin synthesis

Front

thinking of homeostasis, how does oncotic pressure affect albumin

Back

liver, glandular, skin

Front

carcinoma tissues

Back

sheet tumor; common in round cell tumor

Front

tumor growth descriptor? common in?

Back

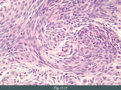
Whorls

Front

tumor growth type?

Back

vitamin E selenium deficiency*, pericarditis, endocarditis

Front

common heart diseases in swine

Back

packets tumor; common in neuroendocrine tumors (chemodectoma)

Front

tumor growth descriptor? common in?

Back

urinary bladder: mild, acute, multifocal, mucosal, petechial hemorrhage

Front

morphological diagnosis?

Back

liver: severe, chronic, diffuse, hepatic lipidosis

Front

morph diag

Back

Section 5

(50 cards)

seminoma (soft- like lymphoma)

Front

Back

ovotestes

Front

Back

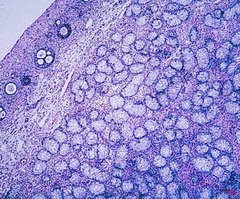
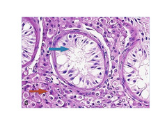
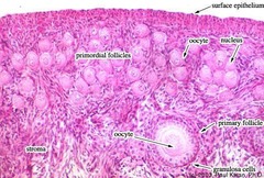
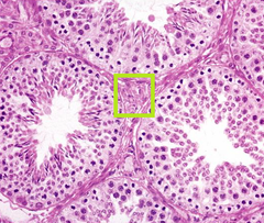
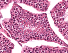
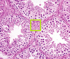
Normal seminiferous tubules Spermatogonia (near basal lamina) Spermatids (thin near lumen) Leydig cells

Front

What is this? Name the three main cells that you can see

Back

sheets, lymphoma (round cell tumors)

Front

tumor descriptor & type

Back

testicular degeneration/atrophy (vacuolation, multinucleated cells)

Front

Back

Front

Clara cell function

Back

mycobacterium bovis

Front

disease in cattle that causes lymphadenitis and granulomatous pneumonia

Back

Mannheimia haemolytica Pasturella multocida

Front

2 bacteria that cause shipping fever

Back

stable cells - divide infrequently, in G0 --> G1

Front

quiescent cells

Back

phlebitis

Front

inflammation of a vein

Back

true hermaphrodite

Front

Back

histoplasmosis

Front

Back

endarteritis

Front

inflammation of the intima of an artery

Back

Eosinophilic myocarditis

Front

Back

Testicular atrophy/degeneration

Front

Back

Leydig cells (interstitial cells)

Front

whats in the box

Back

Intratubular multinucleated cell Testicular Degeneration/atrophy

Front

This is a seminiferous tubule. What is the red arrow? What does that indicate

Back

acute, severe, ecchymotic, Endocardial Hemorrhage

Front

morphological diagnosis

Back

increased wall thickness

Front

concentric hypertrophy

Back

Male pseudohermaphrodite (XY)

Front

Back

corynebacterium pseudotuberculosis

Front

disease in goats/sheep that causes lymphadenitis and granulomatous pneumonia

Back

myocarditits

Front

Back

bronchioles

Front

where are clara cells located?

Back

heart: right atrium, hemangiosarcoma

Front

morphological diagnosis

Back

testicular hypoplasia (small)

Front

Back

endocardiosis

Front

most common cause of congestive heart failure

Back

testicular hypoplasia (no germ cells, only sertoli)

Front

Back

aerogenous hematogenous direct extension

Front

routes into the resp tract

Back

gonads

Front

pseudohermaphrodite is named based on ___

Back

cor pulomale

Front

pulmonary vascular disease that leads to right heart enlargement

Back

true hermaphrodite

Front

Back

epithelia (skin, mouth, gut, bladder, BM)

Front

labile cells examples

Back

Coccidioides immitis

Front

disease in dogs that causes lymphadenitis and granulomatous pneumonia

Back

epicardium

Front

whats below the pericardium

Back

duct system, genetalia

Front

phenotypic sex incudes

Back

continuously dividing

Front

labile cells

Back

10, 9, 7, 2

Front

vitamin K dependent coag factors

Back

ovary

Front

Back

heart base tumor

Front

Back

regress female mullerian ducts

Front

what does mis do

Back

ovary

Front

Back

otitis, conjunctivitis, pleural pneumonia

Front

Pasturella multocida in rabbits causes what symptoms?

Back

ventricular lumen increases

Front

eccentric hypertrophy

Back

endocardiosis

Front

Back

Bordatella bronchiseptica

Front

what bacteria can cause atopic rhinitis in pig, cats and rodents

Back

Testes Determining Factor (TDF)

Front

what hormone determines testicles

Back

liver, renal tubular, fibroblasts, endothelial, chondrocytes, osteocytes, CT

Front

quiescent tissue examples

Back

Lymphocytic myocarditis

Front

Back

pulmonary hypertension > pulmonary edema & erythrocytes pass out through vascular wall > erythrophagocytosis by alveolar macrophages > siderophages (contain hemosiderin)

Front

left sided heart failure pathogenesis

Back

simple cuboidal to columnar

Front

normal prostatic epithelium shape

Back

Section 6

(15 cards)

leydig tumor

Front

Back

fibrocartilagenous emboli

Front

Back

pathologic

Front

ends in cyst pathologic or non?

Back

Cystic rete ovarii (pathologic)

Front

Back

estrogen

Front

what do sertoli cell tumor release

Back

epithelial inclusion cyst (pathologic)

Front

Back

Sertoli cell tumor

Front

Back

spermatogonia (germ cell)

Front

arrows?

Back

testicular degeneration Spermatids are missing Multinucleated cells in the lumen

Front

what is this? what cells are missing? what cells are in the lumen

Back

hematomyelia

Front

Back

no

Front

do you see inflammatory cells in testicular hypoplasia?

Back

hematomyelia

Front

Back

subsurface epithelial structures (non pathologic)

Front

Back

testosterone

Front

what do leydig cell tumors release

Back

prostatic hyperplasia

Front

Back