Section 1

Preview this deck

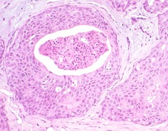
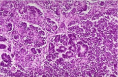
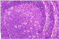
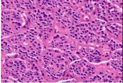
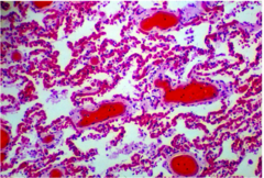
Encapsulated

Front

Star 0%
Star 0%
Star 0%
Star 0%
Star 0%

0.0

0 reviews

5
0
4
0
3
0
2
0
1
0

Active users

0

All-time users

0

Favorites

0

Last updated

6 years ago

Date created

Mar 1, 2020

Cards (133)

Section 1

(50 cards)

Encapsulated

Front

-Surrounded by a fibrous capsule -Thick collagenous border surrounds the lesion

Back

Infiltrative

Front

-Invading into and among the surrounding normal cells -Poorly defined border with normal tissue

Back

Compare and contrast Apoptosis and Necrosis

Front

Back

TP53

Front

-activates the intrinsic pathway of apoptosis -regulates Bcl proapoptic proteins

Back

Indian file

Front

-Cells infiltrate through tissue in single file lines -Lines are several cells long - unusually orderly for malignant cells

Back

Bosselated

Front

-Having bumps that stick out -Rounded Probuterances

Back

Discohesive

Front

-Falling apart into single cells -No common borders among cells

Back

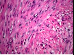
Storiform

Front

Having a cartwheel pattern - spindle cells with elongated nuclei radiating from a center point Cellular spindled lesion with whorls of cells as opposed to parallel fascicles or right angle bundles

Back

Pseudo-Rosettes

Front

Group of nonepithelial cells that are clustered and crowned around a common center

Back

Fascicular

Front

-Composed of fascicles -Bundles of elongated spindly cells streaming in polarized arrays

Back

Pushing Border

Front

-Expanding into and compressing the surrounding normal tissue -More often seen in benign neoplasms than malignant ones

Back

Hobnailed

Front

-Resembling a large headed nail -Epithelial or endothelial cells round up and protrude into the lumen as little humps

Back

True-Rosettes

Front

form around a lumen or fibrillary core

Back

Reticular

Front

-Resembling a network or netlike array -Microcystic or honeycomb appearance

Back

neoplasm

Front

hypercellular compared to the tissue normally seen in that site. Since increased nuclear to cytoplasmic ratio is a characteristic of malignant cells, most malignancies appear as a very blue lesion on H and E.

Back

metaplasia

Front

change in tissue type as a result of chronic irritation to a tissue that is more resistant/better able to cope with the irritation.

Back

Bad, Bax, and Puma

Front

-pro-apoptotic proteins -activated by TP53 -regulates the opening of the mitochondrial transitional pore (MTP) to release cytochrome C into the cytosol.

Back

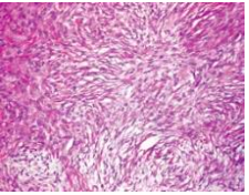
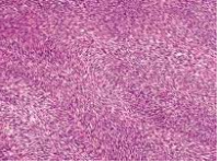
Spindled

Front

Composed of elongated cells with fusiform nuclei -Sheets or fasicles of fusiform cells, suggests a lesion is either of mesenchymal origin or a sarcomatoid variant of carcinoma

Back

Inflammation

Front

- influx of neutrophils (mainly seen in acute inflammation) or lymphocytes (characteristic of chronic inflammation)

Back

Circumscribed

Front

-Well-delineated lesion -Well-defined border between normal tissue and the lesion

Back

CD95 Fas Receptor

Front

-binds to FAS -activates the extrinsic apoptotic pathway -membrane receptors bind to caspases has intracellular death domain that binds procaspase 8 and activates its protease activity

Back

TNFR1

Front

-binds to TNF-alpha -activates the extrinsic apoptotic pathway -membrane receptors bind to caspases -has intracellular death domain that binds procaspase 8 and activates its protease activity

Back

Tissue Repair in an early stage- granulation tissue

Front

recently formed, quickly growing, very vascular tissue with inflammatory cells and nuclei of fibroblasts that are about to start making collagen

Back

Bcl-2, Bc-x

Front

-anti-apoptotic proteins

Back

Sessile

Front

Attached directly to the base, no stalk

Back

Lobular

Front

-Circumscribed or grouped architecture -Circumscribed, rounded nodules of cells, simulates a normal anatomic unit

Back

Polarized

Front

Epithelial cells with a uniform nuclear position, either apical (lumen side) or basal (basement membrane side) Endometrial glands show cells with subnuclear vacuoles following ovuluation.

Back

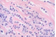
Palisading

Front

-Resembling a fence made of sharp stakes -Parallel arrays of nuclei that catch your eye at low power as a dark border

Back

Pedunculated

Front

With a stalk

Back

APF-1

Front

-binds to cytochrome C -activates and binds caspase 9 to form the apoptrosome

Back

Pagetoid spread

Front

-Single malignant cells scattered throughout a benign epidermis -Cells stand out at low power as not belonging in the epithelium

Back

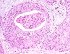
Cribriform

Front

-Perforated, like a collander -Well-formed holes within a glandular lumen

Back

Herringbone

Front

-Resembling a pattern of tweed fabric -Variant of fasicular that shows bundles alternating in a zigzag array

Back

Atrophy

Front

-reduction in cell size -cell death-apoptosis -different types: disuse, pressure, hormonal, denervation

Back

Presence of lymphoid tissue

Front

lymphocytes have very little cytoplasm on H and E so they always look blue

Back

Friable

Front

-Soft and falling apart -crumbly

Back

hypertrophy

Front

-increase in cell size

Back

Osseous (cartilagenous) metaplasia

Front

-production of cartilage or bone in areas of tissue injury -irritation due to dentures, injury to muscle-myositis ossificans

Back

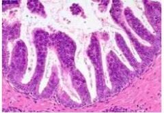
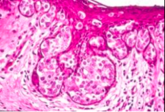
Papillary

Front

Exophytic growth pattern with fibrovascular cores supporting proliferative epithelium Cauliflower or coral shaped structures with branching fibrovascular core

Back

Serpiginous Border

Front

-Winding, snake-like -Irregular, curving

Back

Squamous metaplasia

Front

-transition from columnar epithelium to squamous epithelium in areas of chronic irritation -commonly in endocervix due to inflammation (oral contraception)

Back

Epithelioid

Front

-Round to oval cells with lots of cytoplasm -Cells look plump (opposite is 'sarcomatoid' - spindly)

Back

Biphasic

Front

-Having components of two cell lineages -Spindled cells (mesenchymal origin) with islands of glands (epithelial origin)

Back

Papyraceous

Front

Parchment-like, Devitalized tissue

Back

Alveolar

Front

-In little sacs or nests -Nested structure

Back

Eburnated

Front

-Like ivory -Polished, shiny surface

Back

Barrett's esophagus

Front

- metaplasia of columnar epithelium with goblet cells replaced by squamous epithelium -caused by gastric reflux

Back

hyperplasia

Front

increase in cell number

Back

Micropapillary

Front

-Papillary-shaped epithelial projections without true fibrovascular cores -Finger-like projections

Back

Glandular

Front

-Forming gland structures with lumens -Glands have polarized epithelial cells radiating around a lumen

Back

Section 2

(50 cards)

Centrilobular fibrosis

Front

Back

edema

Front

-accumulation of abnormal amounts of fluid in intersitital tissue space or body cavities -the fluid is non-inflammatory, due to demodynamic derangements transudate

Back

Neutrophil infiltrate

Front

Back

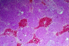
Occlusive Thrombus

Front

-grows circumferentially in lumen -occludes vessel

Back

Scirrhous

Front

describes a firm, irregular texture, gritty, (fresh pear or water chestnut)

Back

Karyolysis

Front

-irreversible -dissolution of the cell nucleus such as during mitosis or following cell death -it can be normal cell function

Back

Waterhouse Friederichsen Syndrome

Front

Hemmoragic necrosis of adrenal glands -infection from Niceria meningitinis

Back

Amniotic fluid embolism

Front

-rare but catastrophic complication of childbirth -sudden onset of cyanosis and dyspnea -can lead to DIC

Back

Fibroblasts in granulation tissue

Front

- Some of the elongated cells are fibroblasts, which will produce collagen and other extracellular matrix components and result in a scar.

Back

Active Hyperemia

Front

-excess amount of blood in an organ due to increased supply from arteries -inflammation, fevers, neurogenic or hormonal influences, and erythema

Back

Apoptotic body

Front

-pyknotic nucleus

Back

ascites

Front

edema of the peritoneal space

Back

Hematoma

Front

Blood enclosed within tissue

Back

Heart Failure cells

Front

macrophages filled with hemosidirin

Back

Pleural Effusion

Front

edema of the pleural space

Back

Collagenous portion of a scar

Front

Acellular collagen tissue -portion of the scar that is collagen is larger in relation to blood vessels

Back

Fat necrosis

Front

Back

Sarcoidosis

Front

Many non-caseating granulomas throughout the body

Back

Passive hyperemia "congestion"

Front

-excessive amount of blood in an organ due to decreased exit via veins -due to diminished venous flow or impaired venous drainage -can be local (due to thrombus in vein or obstruction of vein by tumor) or systemic

Back

Fat necrosis

Front

-release of pancreatic lipases which cause local destruction of adipocytes -caused by alcoholism, trauma, ischemia, and viral infections -hemorrhagic central areas of liquefaction (firm, gray-white nodules, small chalky white foci with dark hemorrhagic debris -fibrosis-surrounded by fibroblasts -giant cell formation and calcifications -replaced by scar tissue or walled off by fibrous tissue

Back

chronic inflammation

Front

Giant cell macrophages, and lymphocytes, plasma cells

Back

Petechiae

Front

Multiple pinpoint hemorrhages -seen in areas of increased intravascular pressure or in patients with low platelet counts or abnormal platelet function

Back

later recanalization

Front

Back

Caissons Disease

Front

-chronic form of decompression sickness -air embolism

Back

organization

Front

refers to something becoming solidified due to fibrous tissue

Back

Embolus

Front

-detached intravascular solid (thrombus), liquid (fat), or gaseous mass that is carried by the blood to a site distant from the point of origin -99% of all emboli are thromboemboli

Back

ecchymosis

Front

Larger subcutaneous hemmorage

Back

Granulation tissue

Front

Reddish, granular tissue seen at the site of an ulceration

Back

Atheromatous Embolism

Front

Caused by plaque

Back

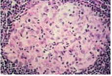
Non-caseating granuloma

Front

Lacks central necrosis

Back

effector caspases

Front

caspases 3, 6, 7

Back

coagulative necrosis

Front

-anucleate cells persist for days-weeks (DNA has been fragmented and degraded) -architecture of dead tissue is preserved -occurs as a result of vascular occlusion, common post MI -injury denatures structural proteins, enzymes, and blocks proteolysis

Back

Vegetation thrombus

Front

-builds up on heart valves -seen in cancer -can get blood borne bacteria deposited in the vegetation (endocarditis)

Back

desmoplastic response

Front

local fibroblasts respond to tumor and increase the amount of collagen

Back

Pericardial effusion

Front

edema of the pericardial space

Back

Paradoxical embolism

Front

-embolism travels from the venous to arterial circulation through interatrial or interventricular defects

Back

Infarction

Front

-localized area of ischemic necrosis resulting from circulatory insufficiency -caused by either interference with arterial blood flow or venous obstruction

Back

early recanalization and organized thrombus

Front

Back

karyorrhexis

Front

-irreversible -the fragmentation of the nucleus of a dying cell resulting in the irregular distribution of this material throughout the cytoplasm

Back

caseous necrosis

Front

-caused by TB -microorganism is unable to be cleared and in creates a chronic inflammatory response -a localized area of cellular debris (central caseous necrosis)-pink staining amorphous necrotic debris -fibrous wall may form -giant cells: fused macrophages

Back

Fat embolism

Front

-secondary to trauma to fat-containing tissues. -fat is suctioned into ruptured venues -only produces symptoms occasionally (sudden onset of tachypnea and dyspnea after a latent period)/

Back

Adult Respiratory Distress Syndrome (ARDS)/"Shock Lung"

Front

-diffuse alveolar damage -impairment of gas exchange due to injury to pneumnocytes causing hyaline to line membranes of alveoli

Back

Nutmeg pattern

Front

-seen in congested liver -grossly congested areas that are dark red, and alternate with normal brown liver

Back

Lines of Zahn

Front

evidence that there is a real thrombus that happened during life

Back

Chronic Passive Congestion in the lungs (pulmonary congestion)

Front

-due to failure of left ventricle, impedes exit of blood form lungs -capillaries become engorged with blood.

Back

Propogative thrombus

Front

-has a tail=growing -seen in the deep veins of extremities

Back

pyknosis

Front

-irreversible -condensation of chromatin in the nucleus of a cell undergoing necrosis or apoptosis

Back

Mural thrombus

Front

Attached to wall Non-occlusive Often seen in heart/aorta

Back

Caseating granuloma

Front

-caseous necrosis in the center of the granuloma (one side of Slide). -Zones of epithelioid histiocytes and lymphocytes at the other side surround the caseous material.

Back

Liquefaction Necrosis

Front

-focal bacterial or fungal infection -neutrophils (PMCs) and macrophages degrade the necrotic material/organisms -lots of granular debris seen -destruction of cellular architecture -inflammatory response -purulent exudate (pus) -vascular congestion with perivascular edema -seen in muscle abscesses (staph infection)

Back

Section 3

(33 cards)

malignant cells showing pleiomorphic, anisocytosic, and discohesive feature

Front

Back

Sarcoma

Front

-malignant tumor of mesenchymal origin -do not spread to lymph nodes and instead go straight to the hematogenous route.

Back

Carcinoma

Front

-malignant tumor of epithelial origin -tend to spread to regional lymph nodes first and can then metastasize via the bloodstream to distant sites

Back

Pleomorphism

Front

-feature of malignancy -increased variation in shape

Back

Malignant tumors that end in oma

Front

-seminoma -glioblastoma -neuroblastoma -mesothelioma -medulloblastoma -multiple myeloma -plasmacytoma -lymphoma -melanoma -

Back

Nuclear features of malignant cells

Front

-dark staining hyperchromatic nucleus -increased nuclear to cytoplasmic ratio -irregular shape -coarsened, granular chromatin texture, with chromati clumping -large and irregular nuclei

Back

Teratoma

Front

tumor made up of cells that come from different germ cell layers

Back

Mesothelioma

Front

-a malignant mesothelium tumor

Back

well or moderately differentiated tumor

Front

it retains the qualities of tissue of origin

Back

Cystadenoma

Front

Benign tumor of cystic and glandular components, commonly found in the ovaries.

Back

Anisocytosis

Front

-feature of malignancy -increased variation in size

Back

Decreased cell to cell adhesion

Front

-feature of malignancy -cells dont adhere to each other

Back

Nevus

Front

-benign tumor of melanocyte

Back

poorly differentiated tumor

Front

lost the tissue qualities of origin

Back

papilloma

Front

-epithelial tumor -contains finger like projections of epithelial structure

Back

benign sheet of cells, cohesive and sticking to each other

Front

Back

Leiomyoma

Front

Benign tumor derived from smooth muscle, most often of the uterus

Back

Abnormal mitosis figures

Front

-feature of malignancy -atypical, blizzard mitosis figures, Tripolar, quadripolar or multipolar spindles

Back

Comedo type

Front

-subtype of DCIS -shows necrosis -high grade 3 -solid or comedo growth patterns -high grade ductal carcinoma in situ, if there is a corresponding variation in nuclei or evidence of necrosis.

Back

fibroma

Front

comprised of fibroblasts with collagen matrix -mesenchymal tumor

Back

choristoma (heterotropic rest)

Front

-nest of normal cells from a different tissue

Back

Loss of polarity

Front

-feature of malignancy -sheets or large masses of tumor cells grow in a disorganized fashion

Back

-isocytosis -benign feature -all cells look the same

Front

Back

Rhabdomyosarcoma

Front

Striated muscle tumor

Back

Grading

Front

-an estimate of degree of differentiation of tumor cells (well, moderately, or poorly) -higher grade correlates with more aggressive tumor

Back

chondroma -mesenchymal tumor

Front

comprised of chondrocytes -mesenchymal tumor

Back

adenoma

Front

-benign epithelial neoplasms derived from glands -may form glandular structures

Back

Carcinoma In Situation (CIS)

Front

-most severe form of dysplasia -cannot metastasize -cytology and architectural features of carcinoma but no evidence of invasion of tumor cells -high probability of progression to invasive cancer -complete removal is often curative

Back

Undifferentiated tumor

Front

-often comprised of small dark staining cells with little cytoplasm (increased nuclear to cytoplasmic ratio) -have characteristics of malignancies

Back

lipoma

Front

comprised of adipocytes with little stroma -mesenchymal tumor

Back

Hamartoma

Front

benign tumor made up of disorganized tissue formed by cells that belong in the tissue but are not arranged properly.

Back

top is cohesive and bottom is discohesive

Front

Back

Lymphovascular invasion

Front

Back