Section 1

Preview this deck

Describe Fat necrosis

Front

Star 0%
Star 0%
Star 0%
Star 0%
Star 0%

0.0

0 reviews

5
0
4
0
3
0
2
0
1
0

Active users

0

All-time users

0

Favorites

0

Last updated

6 years ago

Date created

Mar 1, 2020

Cards (447)

Section 1

(50 cards)

Describe Fat necrosis

Front

a) enzymatic- acute pancreatitis & calcium saponification b) traumatic

Back

Describe how excess of certain chemicals can damage cells

Front

EXCESS of innocuous substances (glucose, salt, water, oxygen) or therapeutic agents (Acetaminophen, morphine) can cause cell injury and death. Of course, some things are always toxic (plutonium, other poisons).

Back

When can cell injury be reversible?

Front

Reversible injury can get better IF the assault abates BEFORE severe membrane damage and terminal mitochondrial dysfunction occur, or may it progress to irreversible injury and cell death.

Back

What is dry gangrene?

Front

Coagulative necrosis

Back

What are some mechanisms of membrane damage?

Front

Recall the lipid bilayer structure of cellular membranes. Mechanisms of membrane damage include: 1) Decreased phospholipid (PL) synthesis (PL needed as membrane component; dec. ATP= dec PL) 2) Increased phospholipid breakdown (inc. Phospholipase activity due to inc. Ca++), and breakdown products (act as detergent) 3) ROS, by lipid peroxidation 4) Cytoskeletal abnormalities (membrane anchors broken, e.g. by inc. protease activity due to inc. Ca++)

Back

What happens as a result of cellular breakdown? How do we observe this?

Front

The cellular breakdown leads to LEAKAGE of cytoplasmic contents which incites inflammation (get poetic). Under the microscope we see changes not only in necrotic cells, but also in the tissues built of them, and the results of the inflammatory response to the necrotic cells/tissue.

Back

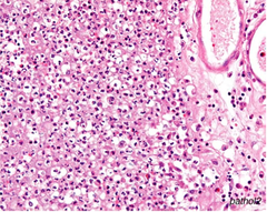
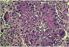
Describe Caseous necrosis

Front

Cells turned to cheesy debris (Tb, fungus). Can be at the center of a granuloma. YOU CANNOT SEE THE OUTLINES OF INDIVIDUAL DEAD CELLS (that's how it differs from coagulative)

Back

What is metaplasia?

Front

-Metaplasia is a reversible change of one cell type to another. This may be adaptive, but comes at a cost‐ -For example, in smokers the relatively fragile glandular epithelium in the airways may be replaced by more rugged squamous epithelium, better able to resist the noxious smoky atmosphere. -But then the mucociliary elevator for removing particulate matter is lost. -The noxious smoke ingredients that cause metaplasia can also cause neoplasia.

Back

What are the two types of hyperplasia?

Front

Hyperplasia may be physiologic (normal) or pathologic.

Back

How are free radicals increased?

Front

Most ROS are a type of Free Radical. Free Radicals are increased: a) By ionizing radiation (.OH, .H) b) By metabolism of certain chemicals/poisons (CCL4 to .CCL3) c) Inflammation (Chapter2)

Back

Describe Gangrenous necrosis

Front

more a clinical or gross term; may be coagulative(dry) or liquefactive(wet), due to superimposed bacterial infection.

Back

Describe coagulative necrosis.

Front

Mummification; leaves ghostly outlines of cells that once were (infarct). Heals with a scar.

Back

What are the most important membrane damage sites?

Front

a) Mitochondrial‐ get decreased ATP production, ultimately necrosis b) Plasma - osmotic imbalance, fluid influx/cell swelling, loss of cell contents, dec. ATP...necrosis. c) Lysosomal‐ release of lysosomal enzymes into cell, autodigestion, necrosis.

Back

How do ROS cause injury?

Front

ROS cause injury by: A) Lipid Peroxidation of Membranes B) Cross‐Linking Proteins C) DNA Damage

Back

Describe the characteristics of necrosis

Front

-Necrosis is messy, always pathologic, and we will focus more on it than we will on the clean, often physiologic process of APOPTOSIS. -Necrosis is an everyday phenomenon reported in pathology practice. Apoptosis is not, but it is still very important‐ we'll discuss it later.

Back

What are examples of physiologic hyperplasia?

Front

Physiologic hyperplasia examples include the increase in cell number seen in: Hormonal hyperplasia ‐The smooth muscle cells of the pregnant uterus (concurrent with smooth muscle hypertrophy) ‐The cells of the glandular epithelium of the breast at puberty and lactation Compensatory hyperplasia ‐The thickened skin and stratum corneum of the sole of the barefoot walker ‐The regenerative liver after partial hepatectomy. (Greek myth note‐ Prometheus‐ They knew!)

Back

What genetic disease can cause cellular injury?

Front

a) Malformations in Down's syndrome (trisomy 21) b) Single amino acid substitution causing sickle cell anemia c) Mutations causing enzyme defects leading to deficiency of functional proteins or accumulation of damaged DNA.

Back

What protects a cell from ROS?

Front

-Superoxide dismutase(O2‐), catalase and glutathione peroxidase(H2O2) decompose ROS, protect cell. -Vitamins E, A, C, and beta carotene also have antioxidant activity. When ROS production exceeds removal, oxidative stress occurs.

Back

What is a consistent feature of cell death by necrosis?

Front

MEMBRANE DAMAGE is a consistent feature of cell death by NECROSIS. Ischemia, Microbial toxins, Complement(lytic), Physical/Chemical agents can cause membrane damage.

Back

When are ROS produced?

Front

1) As a normal part of cell signaling pathways (NO, others) 2) Byproduct of oxidative phosphorylation (O2‐, H2O2... mitochondria aren't perfect...) 3) During "respiratory burst" in phagosomes in WBC for killing bacteria (HOCL, ONOO‐)

Back

Describe Liquefactive necrosis

Front

enzymes & phagocytosis liquefy and remove dead tissue (e.g. CNS infarct, lung abscess) Leaves a fluid filled spave

Back

Describe metaplasia of the esophagus due to gastric reflux

Front

-Another example of metaplasia occurs in chronic reflux esophagitis due to backwash of gastric acid into the esophagus. -The normal squamous esophageal mucosa is ill‐suited to an acid milieu, and is replaced by metaplastic GASTRIC mucosa, better suited to a low pH environment. If the reflux continues, the gastric mucosa may be replace by metaplastic INTESTINAL mucosa, which is maladaptive (offers no advantage in an acid environment), and can progress to cancer. -This intestinal metaplasia is called Barrett's esophagus.

Back

What are the main causes of cell injury?

Front

1. Oxygen deprivation 2. Chemicals 3. Infection 4. Immune reactions 5. Genetic Defects 6. Nutrition 7. Physical Agents 8. Aging

Back

What are the differences between reversible and irreversible injury?

Front

Reversible injury‐ We want to know about this, because we want to help reverse injury when we can. Irreversible injury‐ Results in cell death. 2 ways to die‐ messy necrosis and clean apoptosis. More on these

Back

What does cell damage depend on?

Front

Ok‐ moving on to how cell and thus tissue damage occurs, focusing on submicroscopic and molecular events Cell damage depends on ‐type, duration, and severity of injury (How Bad is the injury?) ‐type, status, adaptability, and genetic makeup of injured cell (How Strong is the victim?) (e.g. hypoxia toleration‐ cardiac vs. skeletal muscle, liver cell w& w/o glycogen) -Pathways of injury are complicated‐ one insult may trigger many biochemical alterations....

Back

What is etiology?

Front

Etiology‐ pathologic cause; WHY a disease develops.

Back

How can nutrition cause cell injury?

Front

Nutrition. Starvation, vitamin deficiency are obvious; Obesity increases risk of diabetes; animal fat increases atherosclerosis and cancer risk

Back

What happens cellularly as a result from hypoxia? What is the ultimate result?

Front

So‐ recall that most ATP is made by oxidative phosphorylation in mitochondria. O2 is required for this. It follows that HYPOXIA will DECREASE ATP production; so will mitochondrial damage and certain poisons (cyanide). Loss of ATP leads to‐ 1) Pumps Fail‐ cell takes on Na+ and H2O, lose K+, cell swells. Also takes on Ca2+, damage ensues. 2) Lactic Acidosis, due to anaerobic glycolysis, reducing enzyme activity. 3) Ribosomal detachment, with reduction of protein synthesis. -Ultimately, ATP loss leads to irreversible membrane damage and cell necrosis.

Back

Describe fibrinoid necrosis

Front

pink stuff in vessel walls (vasculitis, necrotizing arteriolitis in malignant HTN)

Back

What is an example of pathological hyperplasia?

Front

Pathologic hyperplasia can be seen in response to excessive hormonal, growth factor, or other stimulation. ‐Endometrial hyperplasia due to disturbed estrogen/progesterone balance ‐Granulation tissue formed to repair a wound due to factors elaborated by white blood cells and connective tissue cells. ‐Benign hyperplastic polyps of the colon, shown above.

Back

What is the difference between neoplasia and hyperplasia?

Front

(Important to distinguish the controlled cell proliferation of HYPERPLASIA from the uncontrolled proliferation of NEOPLASIA.)

Back

What does reversible cell injury look like?

Front

-REVERSIBLE injury may show cellular swelling, fatty change, and mild cytoplasmic eosinophilia (redness) by light microscopy. -Also‐Cytoplasmic vacuoles, membrane blebbing/loss of microvilli, mitochondrial swelling, ER dilation (EM may be required to see these).

Back

What is atrophy, and what are its causes?

Front

Atrophy is cell shrinkage (and thus organ shrinkage) in response to various causes‐ 1) Disuse (in muscles due to lack of exercise) 2) Denervation (in muscles due to ALS‐ Lou Gehrig, Stephen Hawking) 3) Diminished blood supply (atherosclerosis) 4) Diminished nutrition (diet) 5) Hormonal loss (menopause) 6) Aging ("senile" atrophy)

Back

What happens when membranes get leaky?

Front

DAMAGE TO MEMBRANES causes LEAKS: ‐in lysosomes, with release of digestive enzymes into the cytoplasm, causing NECROSIS. ‐in plasma membranes, with release of cytoplasmic contents into the extracellular milieu, inciting INFLAMMATION.

Back

What do injured cells look like?

Front

-So‐ what do cell damage and death look like? First, an irreversibly injured cell, even a dead cell, may look normal because injury first occurs at the molecular/biochemical level. -Observable changes lag behind molecular injury (above). -We pathologists routinely look at cells and tissues using a light microscope‐ seems more and more like a blunt tool as molecular understanding advances, but still standard in clinical medicine.

Back

What is wet gangrene

Front

Coagulative+Liquefactive necrosis

Back

What happens as a result of mitochondrial damage?

Front

a) Abnormal (even normal) mitochondrial oxidative phosphorylation leads to ROS formation; these are CORROSIVE‐cause Necrosis/Inflammation - more in a bit. b) Mitochondrial damage can open a hole in the mitochondrial membrane (MPTP‐ The "Mitochodrial Permeability Transition Pore"opened by Bax/Bak); mitochondrial leakage leads to apoptosis, discussed later.

Back

What are the main ROS?

Front

Reactive Oxygen Species (ROS) include, in increasing order of reactivity (?): 1. H202 2. O2- 3. HOCL 4. ONOO- 5. OH-

Back

What are the main targets and mechanisms of cell injury?

Front

The Main TARGETS & MECHANISMS of cell injury are shown in the Robbins diagram above‐ 1) Mitochondria - ATP production and reactive oxygen species (ROS) generation 2) Calcium homeostasis disturbance 3) Membrane damage 4) DNA damage and Protein Misfolding

Back

What is homeostasis?

Front

Homeostasis‐ from Bio, remember‐ the balanced steady state of living cells. Finely tuned; biologic parameters kept within narrow range.

Back

Describe hypertrophy. Give an example.

Front

-Hypertension (high blood pressure) will cause work‐induced HYPERTROPHY, with increased diameter (size) of cardiac myocytes. -Hypertrophy is an adaptive mechanism employed by cells with a limited ability to divide‐ e.g., cardiac and skeletal muscle. -Hypertrophy as an adaptive mechanism has limits. In cardiac hypertrophy due to hypertension, heart cells, and thus the entire heart, increase in size. This provides a more powerful organ to pump the high pressure blood. But hypertrophy cannot progress indefinitely‐ with continued hypertensive stress, degenerative changes occur in the hypertrophic myocytes. Adaptation to stress can lead to cell injury if the stress is not relieved. -Hypertrophy is not necessarily pathologic‐ for example, the pregnant uterus increases in size both by hypertrophy and by hyperplasia of smooth muscle cells in the uterine wall. And exercise can produce beneficial hypertrophic changes in skeletal and cardiac muscle.

Back

Describe cellular oxygen deprivation and the situations in which it occurs.

Front

a) In pneumonia, hypoxia occurs due to inadequate oxygenation of blood in the lungs, even though blood flow through the lungs is OK. b) In CO poisoning, CO binds to hemoglobin, preventing oxygenation of blood c) In anemia, too few red cells are present, reducing oxygen carrying capacity of blood

Back

What do irreversibly damaged cells look like?

Front

-IRREVERSIBLE injury/NECROSIS shows Marked Cytoplasmic Eosinophilia and Nuclear changes (karyolysis, pyknosis, karyorrhexis) with Cellular Fragmentation. These changes are not as subtle as those seen in reversible injury. -EM may show membrane damage, marked mitochondrial dilation, lysosomal disruption, and myelin figures.

Back

What is pathogenesis?

Front

Pathogenesis‐ pathologic evolution; HOW a disease develops.

Back

Describe the role of calcium in cell death

Front

-Ca2+ is maintained at 10,000X LESS INSIDE the cell than outside. -ATP‐dependent Ca2+ pumps keep Ca2+ out, and mitochondria and ER sequester Ca2+ inside the cell. -If the Ca2+ pumps fail, or if mitochondria/ER release Ca2+ into the cytosol, LYTIC ENZYMES are ACTIVATED, and Phospholipase, Protease, Endonuclease, ATPase enzymes bust the place up‐ get membrane and nuclear damage contributing to necrosis. -Also‐ Increased cytosolic Ca2+ can activate apoptosis (MPTP & Caspases, later).

Back

What is the difference between ishchemia and oxygen deprivation?

Front

Oxygen deprivation (Hypoxia) is to be distinguished from Low Blood Supply (Ischemia). Ischemia causes hypoxia, and deprives the tissue of nutrient supply and waste removal (so its worse than hypoxia alone) Ischemia is the most common cause of hypoxia, but inadequate oxygenation or diminished oxygen carrying capacity also occur‐

Back

What is atrophy?

Front

-Atrophy may be thought of as a retreat to a smaller size where survival is still possible. -Protein synthesis is reduced, cellular catabolism via ubiquitin‐proteosome pathway increases, and autophagy (where the cell eats itself to survive) may occur.

Back

What are the types of necrosis seen in practice?

Front

Coagulative- mummification; leaves ghostly outlines of cells that once were (infarct). Liquefactive- enzymes & phagocytosis liquefy and remove dead tissue (e.g. CNS infarct, lung abscess) Gangrenous- more a clinical or gross term; may be coagulative(dry) or liquefactive(wet), due to superimposed bacterial infection. Caseous- cells turned to cheesy debris (Tb, fungus) Fat Necrosis a) enzymatic- acute pancreatitis & calcium saponification b) traumatic Fibrinoid- pink stuff in vessel walls (vasculitis, necrotizing arteriolitis in malignant HTN)

Back

What are the main adaptations to cell stress?

Front

The 4 main cellular adaptations to stress are: Hypertrophy‐ Increase in cell size. Hyperplasia‐ Increase in cell number. Atrophy‐ Downsizing; cell shrinkage. Metaplasia‐ Change to a more adaptive cell type (maybe) .

Back

What can endometrial hyperplasia lead to? What is it caused by?

Front

Cancer. Caused by sex hormone imbalance.

Back

Section 2

(50 cards)

What environmental stresses affect aging?

Front

-Certain environmental stresses (e.g. caloric restriction) alter signaling pathways that effect aging (e.g. inulin/CF signaling, TOR, sirloins) with improvements in DNA repair, immune system function, and protein homeostasis. More work needs to be done...

Back

Describe fibrinolysis

Front

1. The proenzyme plasminogen is converted by proteolysis to plasmin, the most important fibrinolytic protease. 2. Plasmin splits fibrin. 3. It is a classic teaching that factor XII to Xlla activation links the fibrinolytic system, coagulation system, complement system, and kinin system

Back

Describe the status quo and apoptotic state of the mitochondria

Front

-Normally Bcl-2& Bcl-xl help keep MPTP closed, keep cytochrome c inside mitochondria. -BH3 sensor activation antagonizes Bcl-2&Bcl-xl, frees Bax&Bak to open MPTP, with leakage. -Extrinsic pathway on right, shows FasLigand cross-linking Fas, activating death domain and caspases.

Back

What is ischemia?

Front

-Ischemia is a common cause of cell injury underlying human disease‐ Heart attack, Stroke... -Hypoxia= Low Oxygen, therefore decreased oxidative phosphorylation, decreased ATP (normally, we burn 50 to 75 kg ATP/day...) Ischemia= Low Blood Supply, therefore Hypoxia PLUS: ‐substrates for glycolysis not delivered ‐ wastes not removed -So Ischemia is worse than Hypoxia alone; Ischemia injures tissues faster and more severely than Hypoxia alone. So... O2 deprivation=Decreased ATP =ion pumps fail=cell swelling, Ca2+ influx= decreased cell function =glycolysis =glycogen depletion, lactic acidosis =decreased protein synthesis

Back

What do apoptotic cells broadcast?

Front

Apoptotic cells and apoptotic bodies shout "EAT ME" ; signals include: a) phosphatidylserine flips from inner to outer leaflet of plasma membrane, looks tasty to WBC b) soluble factors secreted, smell good to WBC c) adhesive glycoproteins expressed, mmmm...chewy... Phagocytosis of apoptotic so efficient that they disappear without a trace,without inciting inflammation!

Back

What are anemic infarcts?

Front

1. These infarcts are white or pale infarcts. 2. They are usually caused by arterial occlusions in the heart, spleen, and kidney.

Back

What is required for the activation of the coagulation cascade?

Front

1. Exposure to an activating substance 2. Phospholipid Surface (on platelets) 3. Calcium

Back

How do self-reactive lymphocytes apoptose?

Front

Apoptosis of self-reactive lymphocytes- See self, die by BOTH intrinsic and Fas death receptor pathway

Back

How do cytotoxic T cells cause apoptosis?

Front

Cytotoxic T cells- punch hole with perforin, inject granzyme, induce apoptosis with and without caspases....

Back

What is autophagy?

Front

Autophagy- lysosmal digestion of cell's own components. 1) survival mechanism during times of starvation- cell eats itself to survive (can go on so long, otherwise apoptosis supervenes) 2) clearance of misfolded proteins- digest 'em. Defective autophagy may underlie some neurodegenerative diseases.

Back

What are examples of apoptosis?

Front

1) Growth factor deprivation 2) DNA Damage (p53 is shepherd) 3) Misfolded proteins/ER stress 4) Self‐Reactive Lymphocytes 5) Cytotoxic T cell (granzyme/perforin)

Back

What is thrombosis?

Front

Pathologic formation of an intravascular blood clot

Back

How does endothelium prevent thrombus formation?

Front

1. Blocks subendothelial collagen 2. Produces PGI2 (opposite of TXA2) 3. Produces NO 4. Secretes heparin-like molecules, activate anti-thrombin III 5. Tissue plasminogen activator (creates plasmin, which cleaves coagulation factors and fibrin) 6. Thrombomodulin (modifies thrombin's function so that it activates protein C, which inactivates factors V and factor VIII).

Back

What is infarction?

Front

Infarction is necrosis resulting from ischemia caused by obstruction of the blood supply; the necrotic tissue is referred to as an infarct.

Back

Describe the death receptor apoptosis pathway

Front

Death Receptor (extrinsic): Ligand binds cell surface receptors (e.g. Fas, TNF-1) with a cytoplasmic "death domain". a) Cytotoxic T cells carry FasL, which will cross-link Fas on the surface of the cell about to be assassinated.. b) Crosslinking of Fas leads to activation of it's cytoplasmic "death domain", which binds adapter protein c) Which activates initiator CASPASE-8, which activates executioner CASPASES (maybe BID for intrinsic path, too). The death receptor pathway is used to eliminate self-reactive lymphocytes and targets of cytotoxic T cells.

Back

What happens as a result of reperfusion of tissues?

Front

With reperfusion, collateral damage ensues‐ a) Increased ROS generation occurs because: ‐O2 is now available to make ROS ‐ damaged mitochondria make more ROS ‐ restored blood flow brings WBC, which make ROS ‐ antioxidant mechanisms damaged by ischemia b) Inflammation induced by ischemia increases due to influx of WBC (ROS, Enzymes) and Plasma Proteins (Complement).

Back

What is an embolism?

Front

An intravascular mass that travels downstream and occludes a blood vessel

Back

What are the steps of Primary Hemostasis?

Front

1. Constriction of the blood vessel (neural reflex, endothelial cells have a molecule called endothelin release upon injury that will also cause a vasoconstriction) 2. vWF will bind to exposed basement membrane collagen and will act as a binding scaffold for platelets (vWF is held within endothelial Wibel-Palade body, and on platelets) 3. Platelets bind vWF via GP-Ib (Platelet Adhesion) 4. Platelet adhesion causes conformational change that allows them to dump clotting intermediaries (TXA2 and ADP) 5. ADP causes platelets to express GP IIb/IIIa 6. GP IIb/IIIa and TXA2 will be necessary for platelet aggregation via fibrinogen 7. Conformational change in the platelet membrane makes the platelet phospholipid complex available (PF3), thus contributing to the activation of the coagulation cascade, leading to the formation of thrombin.

Back

What produces tissue factor?

Front

Injured/activated endothelium (TF activates Factor VII)

Back

What is Bernard Soulier Syndrome?

Front

Lack of GpIb

Back

What is the end product of the coagulation cascade?

Front

Thrombin--converts fibrinogen to fibrin

Back

How does DNA damage cause apoptosis?

Front

2- DNA damage- p53 accumulates, stops cell cycle in G1 to allow time for DNA repair. If damage too great, p53 triggers apoptosis by intrinsic pathway. p53 mutated or absent? Then DNA damaged cells survive, may lead to neoplasia. p53 is important- it "recognizes" DNA abnormalities, "assesses" whether they can be repaired, and sends the cell to apoptotic death if irreparable DNA damage is present.

Back

Describe the coagulation cascade

Front

-Goal is to "Get the perfect X" Intrinsic Pathway: Subendothelial Collagen=12, 11, (skip 10 because that's our goal) 9, 8 Extrinsic Pathway: Tissue Thromboplastin=7 Common path: 5, 2, 1 (521=10)

Back

What usually causes a pulmonary embolus?

Front

Thromboembolus (usually DVT) that dislodges and gets stuck in the pulmonary circulation

Back

What is the most common form of embolus?

Front

A thrombus that dislodges (Thromboembolus)

Back

How do misfolded proteins cause apoptosis?

Front

Misfolded proteins- Chaperones ordinarily orchestrate proper protein folding. Misfolded proteins get ubiquitinated and dumped in the proteosome for degradation. IF misfolded proteins accumulate in the ER, they cause "unfolded protein response" which increases chaperones and decreases protein translation, reducing misfolded protein levels. If misfolded protein load too great, "ER stress" results, activating caspases and causing apoptosis. Examples- Alzheimer's, Huntington's chorea, Parkinson's dz; possibly type 2 diabetes.

Back

Besides mitochondrial and death signal, what are other pathways of apoptosis?

Front

3) Granzyme/Perforin- cytotoxic T cells can directly activate caspases, and also cause caspase-independent apoptosis. 4) Inflammation/Infection may also induce apoptosis.

Back

What are hemorrhagic infarcts?

Front

1. These infarcts are red infarcts, in which red cells ooze into the necrotic area. 2. They occur characteristically in the lung and gastrointestinal tract as the result of arterial occlusion.These sites are loose, well-vascularized tissues with redundant arterial blood supplies {in the lung, from the pulmonary and bronchial systems; in the gastrointestinal tract, from multiple anastomoses between branches of the mesenteric artery), and a hemorrhage into the infarct occurs from the nonobstructed portion of the vasculature. 3. They can also be caused by venous occlusion. This is an important contribution to infarcts associated with volvulus, incarcerated hernias, and postoperative adhesions.

Back

Describe the extrinsic coagulation cascade

Front

-Extrinsic pathway of coagulation is initiated by tissue factor, which activates factor VII and forms a tissue factor- factor VIla complex. The complex initiates coagulation through the activation of factor X to factor Xa (and additionally through the activation of factor IX to IXa). -Factor Xa converts prothrombin (factor II) to thrombin (factor lla). Factor Va is a cofactor required in the conversion of prothrombin to thrombin. Thrombin converts fibrinogen to fibrin. -The prothrombin-mediated cleavage of fibrinogen results in a fibrin monomer, which is polymerized and stabilized by factor XIII, thus forming the fibrin clot. -The action of the tissue factor- factor VIla complex is limited by tissue factor path- way inhibitor.

Back

What is the most common thrombus location?

Front

DVT

Back

What is apoptosis?

Front

• Cell suicide • Enzymatic autodegradation of cell contents • Packaged into membrane‐bound fragments • Fragments delicious, phagocytes eat fast • PLASMA MEMBRANE REMAINS INTACT! • NO LEAKAGE, NO INFLAMMATION! • Often normal, sometimes pathologic

Back

What are blood vessels lined by?

Front

Endothelial cells which sit on top of basement membrane

Back

How do toxins damage cells?

Front

3) Toxins act by 2 main mechanisms‐ a) Direct covalent binding to biomolecules (e.g. mercury poisoning, cancer chemotherapy) b) Metabolic conversion of inactive precursor to toxic metabolite (e.g. CCL4, Acetaminophen) CCL4 metabolised to .CCL3, causes free radical injury with membrane lipid peroxidation -Acetaminophen metabolised to NAPQI, a highly reactive quinone, conjugates sulfhydryl groups to form thiol esters

Back

What are the physiological uses of apoptosis?

Front

Apoptosis normally eliminates old cells, unneeded cells, potentially harmful cells: ‐ in embryogenesis, programmed cell death eliminates cells not to be used ‐ hormone‐dependent involution of endometrium during menses, of breast after weaning ‐ cell loss in proliferating cell populations to keep cell numbers constant (intestinal crypt epithelium) ‐ retirement (inflammatory cells after immune response subsides) ‐ elimination of self‐reactive lymphocytes to prevent autoimmune reactions ‐ cell death induced by cytotoxic T lymphocytes to virus‐infected cells, tumor cells

Back

Describe the action of Protein C and endothelial involvement in its creation

Front

-Endothelium synthesizes thrombomodulin, a cell-surface protein that binds thrombin and converts it to an activator of protein C, a vitamin K-dependent* plasma protein. -Activated protein C (APC) cleaves factors Va and VIlla, thus inhibiting coagulation. -Endothelium also synthesizes protein S, a cofactor for APC

Back

What are the stages of fixing a vessel injury?

Front

1. Primary Hemostasis--Platelet Plug 2. Secondary Hemostasis--Stabilization of Platelet Plug

Back

What are mechanisms of aging?

Front

1) DNA damage‐ most is repaired, but some damage persists and is cumulative with time. ? Role for ROS. 2) Decreased cellular replication‐ "replicative senescence"... somatic cell telomere shortening‐ lose a bit with every replication. -When telomere becomes too short, cell no longer allowed to divide‐ "cell cycle arrest". Telomerase protects germ cells and stem cells by adding a new tail after replication. Some cancer cells have telomerase. 3) Defective protein homeostasis with aging: a) Reduced protein translation b) Defective Chaperones (proper folding) c) Defective Proteosomes (destroy abnormal proteins) d) Defective Repair enzymes

Back

Describe the effects of hypoxia on heart muscle

Front

-Heart muscle stops contracting after 60 seconds without oxygen. If O2 restored, changes are reversible‐ Heart will tolerate 20‐30 minutes of complete ischemia; skeletal muscle 2‐3 hours before irreversible injury. -With continued O2 deprivation, Mitochondrial damage, Membrane Damage, ROS accumulation, and MASSIVE Ca2+ influx cause NECROSIS. -Extensive Necrosis can lead to organ failure and death.

Back

Describe the mitochondrial apoptosis pathway

Front

1) Mitochondrial (intrinsic): the usual pathway. If cytochrome C escapes from mitochondria , apoptosis ensues. Steps- a) Injury- growth factor loss, DNA damage, misfolded proteins b) sensed by BH3 proteins of the Bcl-2 family, which inhibit pro-life Bcl-2 & Bcl-xl and c) activates pro-death Bax&Bakeffectors d) which dimerize and open the mitochondrial permeability transition pore e) thru which LEAKS CYTOCHROME C and other substances f) and activates initiator CASPASE-9, forming the apoptosome complex which activates executioner CASPASES

Back

What is the goal of secondary hemostasis?

Front

Stabilization of the platelet plug via the coagulation cascade

Back

Describe how thrombin formation causes positive feedback in the coagulation cascade

Front

Thrombin production further stimulates the pathway by the activation of fac- tor XI to factor XIa and by the activation of the cofactors factor V to factor Va and factor VIII to factor VIlla.

Back

What is the arteriolar vasoconstriction important for?

Front

Probably important in slowing massive exsanguinating hemorrhage in major injury

Back

How do we repair Blood Vessel damage?

Front

Hemostasis

Back

What is the best way to counteract ischemic injury?

Front

-So...In ischemic injury, we want to intervene before injury is irreversible. For example, in heart attack (acute myocardial infarction) with ischemia due to coronary occlusion by blood clot, we can give thrombolytic (clot‐busting agents‐ Tissue Plasminogen Activator) therapy to restore blood flow to reversibly damaged heart muscle. BUT... there are consequences

Back

How does growth factor deprivation cause cell death?

Front

1- Growth factor deprivation triggers intrinsic/mitochondrial pathway, activates Bax/Bak, decreases Bcl-2/Bcl-xl

Back

What do caspases 3, 6, and 7 do?

Front

These executioner caspases (3,6 and 7) cleave numerous targets, leading to nuclear and cytoskeletal breakdown. FLIP, a caspase antagonist, ordinarily blocks caspases. Some viruses use a FLIP homologue to keep infected cells alive.

Back

What does vWF travel in complex with?

Front

Factor VIII

Back

What are the pathologic instances of apoptosis?

Front

Apoptosis in Pathologic conditions can be a good thing, minimizing host reaction and collateral tissue damage: ‐DNA damage‐ when DNA repair enzymes can't cope, apoptosis supervenes. Good, because accumulated mutations can lead to cancer ‐Misfolded proteins‐ lead to "ER stress" and apoptosis ‐Virus‐infected cells‐ apoptosis induced either by the virus or by immune response ‐Atrophy due to duct obstruction‐ pancreas, parotid, kidney

Back

What is characteristics of a thrombus?

Front

1. Lines of Zahn 2. Attach to wall vessel

Back

What are the primary mechanisms and targets of cell injury and death?

Front

1) Mitochondria - ATP reduction and reactive oxygen species (ROS) generation 2) Calcium homeostasis disturbance‐ ATP reduction and Enzyme Activation 3) Membrane damage‐ Havoc as above Last on the list of mechanisms/targets of cell injury, 4) DNA damage and Protein Misfolding usually results in apoptosis, not necrosis, so we'll come back to it.

Back

Section 3

(50 cards)

What do platelet granules contain?

Front

1. Procoagulants* -VIII, V, ADP and Ca2+ 2. Inflammation -Histamine, Serotonin, Epinephrine 3. Repair -PGDF, TGFB

Back

What are the lipid soluble vitamins?

Front

• Four-A, D, E, K; are Fat-soluble

Back

What are the types of radiation?

Front

• Non-ionizing (UV); can move atoms in a molecule or cause vibration but is insufficient to displace electrons from atoms. • Ionizing (X-rays, Gamma rays/knife, Alpha particles-2 protons and 2 neutrons, and Beta particles-electrons); energy to remove tightly bound electrons.

Back

What are the causes of malnutrition?

Front

- Poverty - Ignorance - Chronic alcoholism - Acute illnesses - Chronic illnesses - Self-imposed dietary restriction(s) - Drugs, therapies, malabsorption

Back

Compare and contrast primary and secondary malnutrition

Front

• Primary malnutrition - One or all are missing • Secondary (conditional) malnutrition - Intake is good - Malabsorption, impaired utilization/storage, excess losses, or increased requirements

Back

Which coagulation cascade intermediaries are NOT serine proteases?

Front

1. V and VIII are glycoproteins 2. XIII is a transglutaminase

Back

Describe severe primary protein malnutrion

Front

• Severe PRIMARY protein -energy malnutrition - Serious and lethal • Two protein components (body) - SOMATIC-proteins in skeletal muscle - VISCERAL-proteins in visceral organs (e.g. liver) • Most common victims of protein-energy malnutrition are children.

Back

What determines ROS damage? What does it cause?

Front

- Rate and removal = damage determination - Lipid peroxidation of membranes - Cross-linking and other changes in proteins - DNA damage (single-strand DNA "breaks")

Back

Describe the intrinsic clotting pathway

Front

1. Factor XII is activated by negative charged molecules--mainly sub endothelial collagen. 2. Factor XII and prekallikrein activate one another by using HMWK as a cofactor 3. Factor XII activates Factor IX 4. Factor IX works with its cofactor (Factor VIII), calcium, and PF3 (on platelets) to activate factor X

Back

What is prothrombin?

Front

Factor II

Back

Which coagulation cascade intermediates are Vitamin K dependent?

Front

II, VII, IX, X

Back

What are the acute and chronic effects of alcohol?

Front

• Acute effects-toxicity and stupor/coma/death • Chronic effects-most often seen and profound - Liver - Gastrointestinal tract - Nerves - Vitamins/Nutrients - Heart - Malignancies

Back

Diagram the effects of lead concentration on the body

Front

Back

What is toxicology?

Front

• The science of poisons - Distribution, effects, mechanisms of action of toxic agents

Back

What is KWASHIORKOR?

Front

- Protein deprivation is RELATIVELY greater than the reduction in total calories. - LOSS OF VISCERAL PROTEIN • Liver is affected and albumin is markedly decreased - EDEMA - Loss of weight (overall) is masked by edema - Multiple other lesions » Fatty liver » Skin disease » Hair changes » Immune defects

Back

What is Marasmus?

Front

- Weight level falls to 60% of normal for sex, height, and age. - Protein AND total calories are reduced. - LOSS OF MUSCLE MASS (SOMATIC) • Adaptive (provides the body with amino acids as a source of energy where no intake of energy is occurring) - Visceral Protein Compartment-Spared - Serum albumin-normal - Fat stores-depleted

Back

What is antithrombin III?

Front

Inhibits activity of thrombin, IX, X, XI, and XII -Requires heparin-like molecules to be active (on intact endothelium) -Acts with heparin the drug -Antithrombin III is consumed through activity

Back

Describe the toxic effects of Lead. What are the its sources?

Front

1. Air, food, pica 2. Paints, gasoline, mines, foundries, batteries, spray paints 3. Flaking "old" paint- 1 sq. cm=175 ug lead • Children-blood brain barrier and brain damage • Absorbed lead-bones (competes with Ca++) - 80-85% bones (20-30 year half-life) - 5-10% blood (diagnostic levels; tests from blood) - 5-10% soft tissues

Back

Describe the action of Factor X

Front

Activated Factor X, along with its cofactor (Factor V), Calcium, and PF3 (on platelets) activate prothrombin, in order to form thrombin.

Back

What are xenobiotics?

Front

Xenobiotics-exogenous chemicals in the environment. Absorbed by: inhalation, ingestion, or skin contact.

Back

What are the measurements of radiation?

Front

• Curie (disintegrations per second-radionuclide) • Gray (Gy)-energy absorbed by a target tissue • Sievert (Sv)-Absorbed x Biologic effectiveness

Back

What does Thrombin do?

Front

-Activates Fibrinogen to Fibrin -Activates Factor XI (positive feedback) -Aggregates platelets -Acted on by thrombomodulin (away from injury) can activate Protein C, and along with protein S it cleaves Factors V and VIII (The cofactors of coagulation) -Activates Cofactors!!! Factors XIII and V!!!!***

Back

What is environmental pathology?

Front

• Encompasses outdoor, indoor, and occupational settings in which we (humans) live and work. • Eat, breathe, food and water, toxic agents • Personal environment (habits-smoking, etc.). • With AGE comes exposure • With BAD habits comes exposure • DNA damage, repair, and tumor formation or tissue damage

Back

How is the intrinsic pathway evaluated?

Front

PTT (Activated partial thromboplastin time)

Back

Diagram the metabolism of alcohol

Front

Back

What cross links fibrin?

Front

Factor XIII

Back

Diagram the coagulation cascade

Front

Back

What are the interactions between lead and nervous tissue?

Front

• Neurologic tissues-most resistant • High levels of lead for prolonged periods of time can even affect the neurologic tissues - Central effects-Children-Low IQ • Sensory, motor, intellectual, and psychological impairments - Peripheral effects-Adults-neuropathies

Back

What is Fibrinogen?

Front

Factor I

Back

What happens to toxins in the body?

Front

Toxins-metabolized (detoxification); beware of toxic metabolites (e.g. Acetaminophen, ETOH)

Back

How is the extrinsic pathway evaluated?

Front

PT (prothrombin time)

Back

What are environmental diseases?

Front

• Disorders caused by exposure to chemical or physical agents in the ambient, workplace, and personal environments, including diseases of nutritional origin. • What DO you do? and What DON'T you do?

Back

What is the major system for detoxifying xenobiotics?

Front

• Cytochrome P-450 system-major system for catalyzing reactions (activate or detoxify) - Both detoxification and activation CAN produce Reactive Oxygen Species-oxygen-derived free radicals

Back

What factors into environmental exposure?

Front

- Pollutants producing multiplicative effects - Age - Genetic predisposition - Different tissue sensitivities of exposed persons

Back

Describe the epidemiology of alcohol

Front

• 50% of adults in the Western world drink alcohol - 5-10%=chronic alcoholism - Binges are also a form of alcoholism • Absorbed-stomach and small intestine (unaltered) • Most-metabolized-cyP450,Alcohol dehydrogenase, and catalase

Back

What is Glanzmann thrombocytopenia?

Front

Lack of GpIIb/IIIa

Back

Describe the effects of tobacco. What toxic substances does it contain, and what are their effects?

Front

• Most common exogenous cause of human cancers (90% of lung cancers). • Most preventable cause of human death. 1. Tar, polycyclic aromatic hydrocarbons, benzopyrene, nitrosamines=carcinogenesis 2. Carbon monoxide=impaired oxygen transport 3. Nicotine=tumor promotion; addiction

Back

Describe the metabolic effects of alcohol

Front

1. Alcohol oxidation=decrease in Nicotinamide adenine dinucleotide (NAD+). Required for fatty acid oxidation in the liver (Fat accumulation in the liver). 2. Acetaldehyde-toxic effects 3. CYP2E1 metabolism of ETOH=Reactive oxygen species 4. Liver-Main site of chronic injury

Back

How is plasminogen inhibited?

Front

-Plasminogen activation blocked by plasmin activation inhibitor (PAI) -Free plasmin is inactivated by alpha2-antiplasmin

Back

Besides PT and PTT, how is the coagulation cascade measured?

Front

Fibrinogen amount

Back

What is Factor IV?

Front

Calcium Ion

Back

What are some organic toxins?

Front

Organics-solvents, polycyclic hydrocarbons (combustion of gas and coal); organochlorines (DDT, PCBs, Dioxin, etc.); Bisphenol (synthesis of polycarbonate food and water containers)

Back

Describe the extrinsic clotting pathway

Front

1. Tissue Factor secreted by activated endothelial cells activates Factor VII 2. Factor VII along with TF and PF3 (on platelets) and calcium activate Factor X 3. Factor VII also activates Factor IX (Real in vivo start to the coagulation cascade!!!)

Back

What is the fibrinolytic system? Describe its mediators and mechanism.

Front

-Digets unnecessary clots -Plasminogen is the major component, incorporated into blood clots during formation. Anticoagulant when activated -Activation to plasmin (Factor XII, and Tissue Plasminogen Activator, urokinase, streptokinase)

Back

What diseases are caused by tobacco?

Front

• Most common diseases=emphysema, chronic bronchitis, and lung cancer. • Many other organs affected- (e.g. atherosclerosis, among many others) • Passive smoke and disease(s) • Multiplicative effects = alcohol

Back

What are the effects of radiation exposure?

Front

- Rate of delivery - Field size - Cell proliferation - Hypoxia - Vascular damage - DNA damage

Back

Describe drugs/solvents

Front

Drugs/Solvents-lipophilic (penetrate cell membranes and gain entrance)

Back

Diagram the phases of xenobiotic elimination

Front

Back

What are ROS sources?

Front

- ROS-Sources - Mitochondrial respiration - Phagocytes

Back

What are the effects of lead on bone?

Front

Impaired Remodeling Of Calcified Cartilage= Interference With Normal remodeling

Back

Section 4

(50 cards)

How do viruses cause disease?

Front

- Major determinant of tropism is viral receptors on host cells Cause disease by: • Direct cytopathic effects • Antiviral immune response • Transformation of cells into tumor cells

Back

Diagram the classes of human pathogens

Front

Back

What area of the brain controls feeding?

Front

The Central Arcuate Nucleus of the Hypothalamus

Back

What are biofilms?

Front

-Biofilms = layer of extracelluar polysaccharides secreted by bacteria -Aids in adherence to tissues or devices and immune and drug evasion. -Important in endocarditis, artificial joint infections, and respiratory infections in CF pts

Back

What neurons within the central arcuate nucleus activate weight gain?

Front

-NPY (Neuropeptide Y) -AgRP

Back

What are the effects of Vitamin A toxicity?

Front

- Short or long-term excesses of vitamin A may produce toxic effects • ACUTE-Headache, dizziness, vomiting, stupor, blurred vision • CHRONIC-weight loss, anorexia, nausea, vomiting, bone and joint pain (Retinoic acid stimulates osteoclast production and activity; fractures are common) - Synthetic retinoids (skin disease) are not associated with these complications

Back

What do T cell deficient patients suffer from?

Front

T‐cell deficiencies - intracellular organisms such as viruses and some parasites

Back

What are the main healthcare acquired diseases?

Front

• Health care‐acquired diseases (Nosocomial) - 1.7 million pts/yr in USA • VRE/MRSA • WASH YOUR HANDS!!!!!!!

Back

What is the largest cause of vitamin overdose?

Front

Most chance for toxicity/overdose - Exogenous ingestion of just one vitamin - E.G. vitamin A toxicity (fat-soluble; stores)

Back

What is an example of a super antigen?

Front

• Staph TSS

Back

What can cause immunocompromise?

Front

- Infection (HIV/AIDS) - Drugs (steroids, immunosuppressives, chemo) - Malignancy (leukemia)

Back

How does a high fat low fiber diet impact cancer?

Front

• Bacteria, bulk, carcinogens/promoters • Colon carcinoma

Back

What are the urinary tract defenses?

Front

• Flushing of urine • Physical barrier of mucosa • Low ph of vagina • Anatomy (women uti's 10x more than men because of shorter urethra) - Urinary tract is almost always invaded from the exterior via the urethra

Back

What hormones do adipose cells secrete?

Front

-Leptin -Adiponectin -ESTRONE (Obese women, peripheral estrogen)

Back

What is the GMS Stain used for?

Front

Aspergillus

Back

What are the respiratory tract defenses?

Front

• Mucus and cilia (related to size of particles, less than 5um travel directly to alveoli) • Alveolar macrophages - Microbes that cause infection in lungs develop mechanisms to overcome the above defenses

Back

What is the Kinyoun stain used for?

Front

Nocardia

Back

What happens as a result of vitamin A deficiency?

Front

- Night blindness (vitamin A is part of rhodopsin) - Specialized epithelium • Metaplasia, keratinization • Eye • Respiratory System - Immune deficiency

Back

What are the functions of Vitamin A?

Front

- Normal vision in reduced light - Specialized epithelial cells (mucus-secreting) - Enhance immunity to infections

Back

When is the number of adipocytes within the body determined?

Front

By adolescence

Back

What is the Geimsa stain used for?

Front

Malaria

Back

How do bacteria cause disease?

Front

- Damage depends on three (virulence) factors: 1) Ability to adhere to host cells - Adhesins 2) Invade cells and tissues 3) Deliver toxins - Endo and exotoxin

Back

What is quorum sensing?

Front

Quorum sensing = specific genes (i.e. virulence genes) are expressed when concentration of bacteria gets high enough

Back

Describe bacterial pathogenicity genes

Front

- Genes for virulence factors are often found in clusters called pathogenicity islands - Sometimes pathogenicity genes are conferred by plasmids or bacteriophages

Back

Diagram the techniques of ID pathology

Front

Back

Give examples of how diet can impact disease

Front

- Hypertension and Na+ - Dietary fiber and colon diverticulosis and cancer - Caloric restriction (fasting) and increased lifespan - Garlic and heart disease(Not your Mom's Twilight)

Back

What are the GI immune defenses?

Front

- Stomachacid - Mucus - Lyticenzymes - Mucosal peptides called defensins - Normalflora - Secretory IgA -Most infections caused by weakened local defenses or when organisms develop ways to overcome defenses

Back

What does Leptin do?

Front

Reduce food intake/Increase energy expenditure

Back

Describe a microbe that causes symptoms distal to the primary point of infection

Front

Polio initially infects GI tract, but major manifestations in anterior horn cells of spinal cord

Back

What do antibody deficient patients suffer from?

Front

• Pts with antibody deficiencies (i.e. X‐linked a gammaglobulinemia) - predominantly bacterial and some viral infections

Back

Give examples of how diet can impact cancer

Front

- Exogenous Carcinogens - Endogenous synthesis of carcinogens from dietary components - Lack of protective factors

Back

Give an example of bacterial signaling-based exotoxins

Front

Cholera results in disregulation of adenylate cyclase

Back

What parts of our diet protect against cancer?

Front

• Vitamin C, E, Beta-carotenes, Selenium and antioxidant (protective) properties

Back

What is immunohistochemical stain used for (usually)?

Front

H. pylori, CMV

Back

Give examples of bacterial enzyme-based exotoxins

Front

• S. aureus exfoliative toxins separate keratinocytes from dermis

Back

What do complement deficient patients suffer from?

Front

Complement deficiencies - S. pneumo, H. influenzae. N. meningitidis

Back

What does Ghrelin do?

Front

-Secreted by stomach -Stimulates appetite -Only afferent component of weight management that stimulates feeding

Back

What is the Mucicarmine stain used for?

Front

cryptococcus

Back

Describe Vitamin A

Front

• Retinol, retinal, retinoic acid • Liver, fish, eggs, milk, butter • Carrots, squash, spinach • B-carotene-most important carotenoid • Fat-soluble

Back

What are the endogenous diet causes of cancer?

Front

Endogenous carcinogen- e.g. nitrosamines/amides • Gastric carcinoma (sodium nitrite-Nitrite/preservatives) • Nitrates (from foods; metabolized)

Back

What are the skin immune defenses?

Front

- Physical barrier - Low ph and fatty acids inhibit growth • Most infection caused by break in barrier

Back

What does Peptide YY do?

Front

-Secreted by ileum/colon -Signals satiety

Back

Describe the impact of diet on disease

Front

• Over, under-nutrition and deficiencies aside • Diet COMPOSITION (even in the absence of any of the above) may make a significant contribution to the causation and progression of a number of diseases. • Cholesterol; 75% inherited/25 % diet • Fats (saturated >>> unsaturated); lessening saturated fats • Oils (safflower, corn, and fish)

Back

What is endotoxin?

Front

- LPS, component of outer membrane of gram neg bacteria - Recognized by immune system • Activates protective immunity • Also involved in septic shock, ARDS, DIC (too many cytokines)

Back

What is the best source of vitamins?

Front

• Best source is Native food - Body knows what it needs and takes it - Pills DO NOT replace good dietary habits

Back

What are exogenous diet causes of cancer?

Front

Exogenous carcinogen- e.g. aflatoxin • Many others-saccharin, aspartame

Back

What is the PAS stain used for?

Front

acanthamoeba keratitis

Back

What neurons within the central arcuate nucleus activate weight loss?

Front

-POMC Neurons -CART Neurons

Back

What does Insulin do?

Front

-Secreted by pancreas. Decreases blood sugar. -Continual secretion can burn out pancreas (Type II DM)

Back

What is an example of a neurotoxin?

Front

• C. botulinum and C. tetani

Back

Section 5

(50 cards)

Describe chronic inflammation and scarring

Front

• Exhibited by many infections - May lead to complete healing or extensive scarring • Almost any inflammatory response, if severe enough and sufficient duration may result in chronic inflammation and scarring

Back

Describe Granulomatous Inflammation

Front

• Inflammatory infiltrate composed predominantly of histiocytes (tissue macrophages) • Most commonly associated with mycobacterial and fungal infections, sometimes with parasites or viruses

Back

What is innate immunity?

Front

• Innate immunity-natural/native. Cells and proteins always present and poised to fight. - Epithelium-Skin, GI tract, Respiratory tract - Phagocytic leukocytes-Neutrophils, monocytes/macrophages, NK cells, complement cascade proteins • PREVENT and CONTROL

Back

What do neutrophil deficient patients suffer from?

Front

Neutrophil function - S. aureus, some gram neg bacteria, some fungi

Back

What is tissue necrosis?

Front

• Organism produces tissue death so rapidly that inflammatory cells don't have time to accumulate. • May be caused by Clostridium perfringens, herpes (encephalitis), entamoeba histolytica

Back

What is Transthyretin?

Front

(TTR) 1. Normal serum protein that binds and transports thyroxin and retinol 2. Mutations alter structure and folding -Prone to aggregation -Resistant to proteolysis -Mutant lysozyme 3. Familial amyloid polyneuropathy 4. Senile systemic amyloidosis (heart, among others)

Back

Describe B2m Amyloidosis

Front

• B-2 microglobulin-MHC class I molecules and AB2m (similar to Beta 2 microglobulin) - Builds up in serum of patients with renal disease - Not efficiently filtered through dialysis membranes

Back

What are the immune cells of the body?

Front

- Lymphocytes • B cells • T cells - Antigen-presenting cells • Dendritic cells and Follicular Dendritic Cells • Macrophages - Effector cells • NK cells • Plasma Cells • CD4 or CD 8 cells • Macrophages

Back

Describe systemic amyloidosis

Front

• Systemic - Primary-Monoclonal protein (AL) - Secondary-Chronic inflammatory Condition (AA)

Back

What are the types of hypersensitivity reactions?

Front

• Type I-Immediate hypersensitivity (Allergy) IgE, Immediate hypersensitivity • Type II-Antibody-Mediated Disease • Type III-Immune Complex Disease • Type IV-T-cell Mediated Disease

Back

Where can amyloids occur within the body?

Front

• Amyloid may be systemic (generalized) or localized (single organ)

Back

What are the types of localized amyloidosis?

Front

- Senile Cerebral-AB amyloid - Endocrine-Calcitonin

Back

What processes usually percent disorders like amyloidosis?

Front

• Misfolded proteins-normally degraded intracellularly (proteasomes) or extracellularly by macrophages • These mechanisms fail in amyloidosis • Excess production of proteins that are prone to misfolding - Normal proteins that fold improperly - Mutant proteins that are prone to misfolding

Back

What organs are effected by secondary amyloidosis?

Front

- Kidneys, Liver, Spleen, Lymph Nodes, Adrenals, Thyroid

Back

What are the categories of bioterror?

Front

•A - Highest risk - Readily transmitted or disseminated, highmortality rate •B - Moderate risk •C - Emerging pathogens with potential for high mortality and morbidity

Back

What does an acid fast stain look like?

Front

Back

What is AA?

Front

AA (amyloid-associated) fibril- - Serum precursor (SAA) protein synthesized in the liver (influence of IL-6 and IL-1) - Long-standing inflammation or inflammatory conditions - Accumulation • Abnormal monocyte-derived enzymes • Genetically determined structural abnormality in the SAA molecule itself

Back

Describe the maturation of an adaptive immune response

Front

• Capture by Dendritic Cells • Naïve T cells proliferate - Cytokines (DCs, Macrophages, Lymphocytes) - T 4 cells (Subtypes) • TH1 • TH2 • TH17

Back

Describe primary amyloidosis

Front

- Usually systemic and AL - Bence-Jones proteins (serum and urine) - Primary (no other associated disease) - Primary (Plasma-cell derived) - A type of systemic amyloidosis

Back

What does purulent inflammation look like?

Front

Back

Describe Reactive Systemic Amyloidosis

Front

- Secondary to an associated inflammatory condition - Chronic inflammation - Tuberculosis, Bronchiectasis, Chronic osteomyelitis - Autoimmune disease (RA, Inflammatory bowel disease) - A type of systemic amyloidosis

Back

What does Wegner's granulomatomas look like?

Front

Back

What is adaptive immunity?

Front

• Adaptive Immunity-acquired or specific; normally silent. - Lymphocytes and their products. - Synonymous with immune system or immune response. • HUMORAL- antibodies (produced by B cells) - Extracellular organisms-blood, secretions, tissues • CELL-MEDIATED- T cells - Intracellular organisms

Back

What does granulomatas inflammation look like?

Front

Back

What are the types of host responses to infection?

Front

1. Suppurative (Purulent) 2. Mononuclear and Granulomatous 3. Cytopathic/cytoproliferative reaction 4. Tissue necrosis 5. Chronic inflammation and scarring

Back

Describe Delayed Type Hypersensitivity Reactions

Front

Delayed‐Type Hypersensitivity TH 1‐Interferon Gamma Prolonged DTH reactions= Granulomatous inflammation

Back

Describe Familial Amyloidotic neuropathy

Front

• Transthyretin • Peripheral and Autonomic nerves

Back

How was the term "amyloidosis" coined?

Front

• Abundant charged sugar groups in the absorbed proteins gives the deposits staining characteristics that were once thought to resemble starch (amylose) • So, these are called AMYLOID because they were "like" starch. • The name has entrenched itself despite the realization that the deposits are unrelated to starch. They are protein(s).

Back

Describe endocrine amyloidosis

Front

Endocrine amyloid - Calcitonin-Medullary carcinoma of thyroid

Back

How are host responses to infections complicated?

Front

• Typically not seen in a vacuum - I.E. AIDS patient with CMV inclusions and pneumocystis • Similar changes may also be seen in setting of physical or chemical injury or inflammatory conditions (i.e. vasculitis)

Back

Describe the Cytopathic/Cytoproliferative Reaction

Front

• Usually sparse inflammation • Cells develop inclusions, die, become architecturally abnormal and/or replicate • Usually done by viruses

Back

What are the types of hereditary amyloidosis?

Front

AA/Transthyretin

Back

Describe Senile systemic amyloidosis

Front

• Transthyretin • Systemic; Dominant involvement of the heart

Back

What does a GMS stain look like?

Front

Back

What is the acid fast stain for?

Front

For mycobacteria or nocardia (modified)

Back

Describe the pathogenesis of amyloidosis

Front

• A disorder of protein misfolding • More than 20 different proteins can aggregate to form fibrils with the appearance of amyloid • Non-branching fibrils (7.5 to 10 nm) • Beta-pleated sheet polypeptide chains • Congo Red stain produces congophilia (red stain) • Birefringence is seen with polarized light • Dichromatism (apple-green color) is seen with polarized light

Back

What are the types of systemic amyloidosis?

Front

AL/AA/B2

Back

Summarize the causes and effects of amyloidosis

Front

- An example (especially AL type) of immune system disorder (dys- or un-regulated/neoplastic immunoglobulin production) - Immune system dysfunction (B2-microglobulin) - Hyper-immune system function (chronic inflammatory response) - WITH CLINICAL SEQUELAE

Back

Clinically compare and contrast AA and AL

Front

• AA-control the underlying condition • AL-multiple myeloma-poorer prognosis - Reduce the burden of malignant cells

Back

What are the types of localized amyloidosis?

Front

AB/Endocrine

Back

What is AL?

Front

AL (amyloid light chain) protein - Immunoglobulin light chains - Monoclonal Plasma cell (or B cell) disorders - Lambda light chains more frequently

Back

What is AB amyloid?

Front

AB amyloid- - Cerebral lesions of Alzheimer disease - Core plaques - Blood vessels - Derived from trans-membrane glycoprotein • Amyloid precursor protein (APP)

Back

Describe the clinical course of amyloidosis

Front

• Non-specific symptoms • Poor prognosis; Short survival (1- 3 years) • Resorption of protein is RARE. • Tissue injury and impair function by causing pressure on cells and tissues. • It does not evoke an inflammatory response.

Back

What organs are effected by primary amyloidosis?

Front

- Heart, GI tract, Respiratory Tract, Peripheral Nerves, Skin, and Tongue

Back

Describe the essential morphology and histology of amyloidosis

Front

• Amyloid deposition is always - EXTRACELLULAR - Begins BETWEEN CELLS

Back

Summarize what amyloidosis is.

Front

• Associated with a number of inherited and inflammatory and neoplastic disorders • Extracellular deposits of fibrillar proteins • Tissue damage and functional compromise. • Produced by the aggregation of misfolded proteins or protein fragments. • Bind a variety of proteoglycans and glycosaminoglycans

Back

What does a GMS stain do?

Front

Will stain fungal organisms black

Back

What do CMV and HPV cytopathic reactions look like?

Front

Back

Describe Familial Mediterranean fever

Front

• Inflammation (serosal surfaces) • AA protein • Armenian, Sephardic Jewish, Arabic origins

Back

Describe the suppurative host response.

Front

• Response to acute tissue injury composed predominantly of neutrophils • Pus = neutrophils and liquefied, necrotic tissue • Usually due to bacteria

Back

Section 6

(50 cards)

Describe acute cellular graft rejection

Front

• Acute (Cellular)-First months; CD 4 and CD 8 cells; HLA differences

Back

Describe acute humoral graft rejection

Front

• Acute (Humoral)-Vasculitis; necrotizing vasculitis.

Back

What is abnormal blood flow?

Front

• Any loss of normal laminar blood flow - Turbulence causes activation of coagulation and injures endothelium - Stasis allows activation of platelets in contact with vascular wall, and slows washout of activated coagulation factors and entry of anticoagulants

Back

What type of immune disorder is Graves Disease?

Front

Type II Hypersensitivity

Back

What is edema?

Front

• Edema is the accumulation of interstitial fluid within tissues - Edema fluid accumulating within body cavities is called pleural effusion (hydrothorax), pericardial effusion (hydropericardium) or peritoneal effusion (ascites)

Back

What is anasarca?

Front

- Anasarca is severe, generalized edema with profound swelling and effusions

Back

Describe Hashimoto's Thyroiditis

Front

Hypothyroidism -Autoantigen recognition of thyroid tissue. T cell infiltration and destruction of the thyroid gland. -Thyroid gland becomes enlarged due to lymphoid cell infiltration (white and yellow as opposed to red, glandular hyperplasia)

Back

When should inherited hyper coagulability be considered?

Front

Inherited hypercoagulability should be considered in young patients (<50 y.o.) with repeated thrombosis, family history

Back

What type of immune disorder is Hashimoto's Thyroiditis?

Front

Type IV hypersensitivity with some autoantibody involvement (some type II)

Back

What are Permanent Cells

Front

Cannot divide (or it's nearly impossible for them to) -Neurons

Back

How are tissue grafts rejected?

Front

• Rejection of allografts-response mainly to MHC molecules • Direct recognition • Indirect recognition

Back

Describe the development of a Th1 response

Front

- IL-12=TH1 cells • IFN gamma-by TH1 cells=More TH1 cells • Potent macrophage stimulator

Back

What are emboli?

Front

• An embolus is a solid, liquid or gaseous mass that is carried by the blood to a site distant from its origin - Emboli lodge in vessels too small to allow further passage - Systemic emboli cause ischemic necrosis (infarction) of downstream tissues - Pulmonary emboli cause hypoxia, hypotension, right heart failure and sudden death

Back

Describe edema caused by Lymphatic obstruction

Front

• Neoplastic • Postsurgical • Post irradiation • Inflammation

Back

Draw out the mechanisms of edema

Front

Back

Describe T cell mediated hypersensitivity

Front

DTH - CD4 cytokine release (with damage) - Granulomatous inflammation • CD4+ cells drive the macrophage/monocyte accumulation - T-cell mediated cytotoxicity • CD8+ cells; perforin-granzyme system; death of targeted cells

Back

Describe edema caused by increased hydrostatic pressure.

Front

Impaired venous return -Congestive heart failure -Constrictive pericarditis -Ascites -Venous obstruction or compression Arteriolar Dilation -Neurohumoral dysregulation -Heat

Back

What is Virchow's Triad?

Front

• Virchow's Triad - Endothelial injury - Abnormal blood flow: stasis or turbulence - Hypercoagulability of the blood -these are implicated in thrombosis

Back

What are the possible fates of thrombi?

Front

• Propagation - increase in size • Embolization-dislodges and goes elsewhere in the vasculature • Dissolution - plasmin‐induced proteolysis and disappearance - Tends to occur in younger and smaller thrombi • Organization and recanalization - ingrowth of fibroblasts, endothelial cells, smooth muscle cells, with growth of capillary channels and eventual restoration of the lumen

Back

Describe hyperacute graft rejection

Front

• Hyperacute-Minutes/Hours; pre-formed anti- donor antibodies; vascular thrombosis.

Back

Describe Graves Disease

Front

-Autoantibody forms for TSH receptor, and leads to constitutive secretion of T3/T4. Hyperthyroidism. -Hyperplasia of thyroid glandular tissue (red histologically)

Back

Describe edema caused by Inflammation

Front

1. Acute inflammation 2. Chronic inflammation 3. Angiogenesis

Back

Describe the types of immunological tolerance

Front

• Tolerance (fundamental property of immune system) • Central Tolerance-apoptosis or switching to non-self reactive receptors. • Peripheral Tolerance-inactivation, suppression, or apoptosis

Back

Describe the clinical significance of hemorrhage

Front

• Depends on the volume of blood lost, and rate of bleeding - Rapid loss of up to 20% of blood volume can be tolerated by a healthy adult - Slower loss of greater volumes can also be well tolerated - Site of hemorrhage is important: hemorrhage into an enclosed space like the skull can be fatal - Chronic external bleeding can cause iron deficiency; internal bleeding does not

Back

What are the physiological causes of edema?

Front

1. Increased hydrostatic pressure 2. Reduced plasma osmotic pressure 3. Lymphatic obstruction 4. Sodium retention 5. Inflammation

Back

Describe edema caused by Sodium retention

Front

-Excessive salt intake with renal insufficiency -Increased tubular reabsorption of sodium 1. Renal hypoperfusion 2. Increased renin‐angiotensin

Back

Describe the development of a Th17 response

Front

IL-1, IL-6, IL-23=Th17 effector cells • TH17-promotes neutrophils and monocytes- inflammation

Back

What is congestion?

Front

• Congestion is a passive process resulting from impaired outflow of venous blood - Can occur systemically, as in cardiac failure - Can occur locally due to isolated venous obstruction • Congested tissues have an abnormal blue‐red color • Long‐standing congestion can cause inadequate tissue oxygenation and cell death

Back

Describe endothelial injury

Front

• Any endothelial injury will result in loss of thromboresistence - Need not be ulcerated or physically disrupted • Can be caused by hypertension, turbulence, bacterial toxins, radiation, metabolic abnormalities (homocystinemia, hypercholesterolemia), toxins in cigarette smoke, others

Back

What happens when self-tolerance fails?

Front

• Failure of self-tolerance- - Susceptibility genes - Infections or tissue alterations • Systemic Lupus Erythematosus

Back

What is the status quo of hemodynamics?

Front

• The health of cells and tissues depends on normal microvascular circulation • In the microcirculation, hydrostatic and osmotic pressure are in near balance, so there is little net movement of fluid from intravascular to extracellular space • Hemostasis prevents loss of blood from hemorrhage

Back

What are Stabile Cells?

Front

Don't usually divide, but can enter cell cycle if necessary. Scars can form with continued destruction. -Liver, Thyroid

Back

Describe SLE

Front

Lupus - Multi-system disorder - Protean Manifestations - Predominantly Immune Complex Deposition (Type III disease) - Some Autoantibodies (Type II disease)- Antiphospholipid Syndromes

Back

Describe the different types of pulmonary thromboemboli

Front

• Most PE (60 - 80%) are small and clinically silent • Embolism to small peripheral vessels causes pulmonary infarcts • Embolism to medium sized arteries causes pulmonary hemorrhage but not infarction - Due to dual circulation • Large PE can cause sudden death • Multiple emboli over time can cause pulmonary hypertension and right heart failure

Back

What are the types of hemorrhage?

Front

• Petechiae are minute (1 - 2mm) hemorrhages in skin, mucosa or serosal surfaces - Related to low platelet count, platelet dysfunction or loss of vascular wall support • Purpura are larger (3 - 5mm) hemorrhages - Caused by the same things are petechiae, trauma, vascular inflammation • Ecchymoses are larger (1 - 2cm) subcutaneous hematomas ("bruises") - Causes by trauma, coagulation disorders

Back

Describe cardiac thrombi

Front

• Thrombi in the heart chambers or aorta are called mural thrombi • Thrombi on heart valves are called vegetations, and may be related to infective endocartitis or non‐bacterial thrombotic endocarditis • Venous thrombi are common, with 90% occurring in leg veins. • Distinction of thrombi from postmortem clots is important to Pathologists

Back

Describe chronic graft rejection

Front

• Chronic- - Cellular-T cells and their cytokines - Humoral-Antibody-mediated

Back

Describe the arterial and venous thrombi

Front

• Arterial and cardiac thrombi arise at sites of endothelial injury or turbulence • Venous thrombi arise at sites of stasis • Both propagate in the direction of the heart - The propagating portion is prone to break off and embolize • Thrombi can have alternating lighter and darker layers called lines of Zahn

Back

What is a unique symptom of Grave's Disease? Why is it caused?

Front

Exopthalamos -GAG's are deposited in orbital soft tissue -Sympathetic stimulation of levator palpebrae muscle

Back

What are Labile Cells?

Front

Rapid Turnover, constantly dividing. -Mucosal cells

Back

What is hemorrhage?

Front

• Hemorrhage is the extravasation of blood from blood vessels • Hemorrhage may be external, or - Accumulate in tissues (hematoma) or - In body cavities (hemothorax, hemopericardium, hemoperitoneum, hemarthrosis)

Back

What are the clinical aspects of thrombi?

Front

• Thrombi are a major cause of morbidity and mortality - Cause obstruction of blood flow - May give rise to emboli • Deep venous thrombosis in leg veins is common, and 50% are asymptomatic • Give rise to pulmonary emboli

Back

Describe edema caused by Reduced plasma osmotic pressure

Front

• Protein losing glomerulopathies • Liver cirrhosis • Malnutrition • Protein losing enteropathy

Back

What is a pulmonary thromboembolism?

Front

• Causes 200,000 deaths per year in the US • More than 95% of PE arise from deep leg veins proximal to the popliteal fossa • The size of the embolus determines where it lodges - Large embolus at the bifurcation of the right and left pulmonary arteries is called a saddle embolus - Small emboli will pass to the periphery of the lung - A patient who has had one PE is at risk for more

Back

What is hyper coagulability? What are the types?

Front

• Any alteration in the hemostatic mechanism that predisposes a patient to thrombosis - Primary (inherited) hypercoagulability • Factor V Leiden, prothrombin 20210A, deficiencies of protein C, protein S, AT‐III, others - Secondary (acquired) hypercoagulability • Age, obesity, smoking, inactivity, cancers

Back

What is hemostasis?

Front

• Procoagulant and anticoagulant forces are in balance in a normal individual. - Dominance of anticoagulant forces results in hemorrhage - Dominance of procoagulant forces results in thrombosis • Hemostasis is discussed in greater detail in the accompanying web based exercise.

Back

What are two of the receptors used in HIV (according to this class)

Front

CXCR4-T cells CCRT-macrophages (CCR5--Macrophages and T cell, followed by a switch to CXCR4--T cells)

Back

Compare and contrast Hyperemia and Congestion

Front

• Hyperemia and congestion both refer to an increase in blood within the tissues - Hyperemia is an active process resulting from increased blood inflow - Congestion is a passive process resulting from decreased blood outflow

Back

What is hyperemia?

Front

• Hyperemia is an active process resulting from arteriolar dilation and increased blood flow - Occurs at sites of inflammation or infection - Occurs in exercising skeletal muscle • Hyperemic tissues are redder than normal due to increased oxygenated blood, and are warm to touch

Back

Describe the types of graft rejection (antibody VS T cell mediated)

Front

• T cell-mediated rejection-Acute and Chronic (Cellular) • Antibody mediated rejection-Hyperacute or Chronic (Humoral)

Back

Section 7

(50 cards)

Describe the complement cascade

Front

Back

What's an infarction?

Front

• An infarct is an area of ischemic necrosis caused by interruption of the blood supply - Infarction is the process by which an infarct is made • Most infarcts are caused by arterial thrombosis or arterial embolism - Less common causes include vasospasm, atherosclerosis or extrinsic compression of an artery • All infarcts may be bland or septic

Back

What are the minor cell-derived mediators of acute inflammation?

Front

ROS NO Lysosomal enzymes

Back

How do leukocytes act after driving at the site of inflammation?

Front

Once at the site, leukocytes activate Phagocytosis Intracellular destruction Extracellular destruction Mediators

Back

What are the types of chemical regulation of inflammation?

Front

1. Cell derived -Intracellualr granules 2. Plasma Protein Derived -Circulating in active form

Back

What does suppurative inflammation look like?

Front

Back

What does C5a do?

Front

○ Starts formation of MAC ○ Mimics C3a ○ Activates lipoxygenase ○ Activates and chemoattracts leukocytes

Back

What factors affect infarct development?

Front

• Anatomy of the vascular supply - Dual vascular supply is protective • Rate of occlusion • Tissue vulnerability to ischemia • Hypoxemia

Back

Describe Chediak Higashi syndrome

Front

Defective organelle trafficking Impaired phagocytosis, signaling Severely immunocompromised

Back

What is a red infarct?

Front

• Red (hemorrhagic) infarcts occur: - With veinous occlusion, as in torsion - In loose tissues where blood can collect - In tissues with dual circulation (lung, small bowel) - In congested tissues - Where blood flow is reestablished after infarction

Back

How do leukocytes carry-out extracellular destruction?

Front

Extracellular destruction ○ Secrete lysosomal contents NET Fibrillar extensions from neutrophils with antimicrobial chemicals

Back

What is Hageman factor, and what does it do?

Front

Hageman factor (Factor XII) Activates kinins Activates clotting Activates fibrinolysis Activates complement

Back

What does fibrinous inflammation look like?

Front

Back

What does C3b do?

Front

○ Cleaves C5 ○ Opsonizes material for phagocytosis

Back

Diagram the signaling recognition routes for acute inflammation initiation

Front

Back

What is inflammation?

Front

-Host process to eliminate a cause of injury and the resultant damage, and to begin repair -Can be a damaging process itself -Complex series of interactions

Back

What is a white infarct

Front

White (anemic) infarcts occur in solid organs with end arterial circulation, and in dense tissue

Back

How do leukocytes destroy engulfed material?

Front

○ Lysosome joins, becomes phagolysosome Phagocyte oxidase creates ROS Myeloperoxidase

Back

Describe inflammatory cell adhesion

Front

Integrins on leukocyte surface activate Tight binding, halt cells Binding causes cytoskeletal changes

Back

Describe Systemic Thromboembolism

Front

• Most (80%) arise from intracardiac mural thrombi - Others from aortic aneurysms, ulcerated atherosclerotic plaques, cardiac valvular vegetations - 10 - 15% unknown origin • Common embolization sites are lower extremities (75%), CNS (20%), intestines, kidneys, spleen

Back

What are the overall goals of inflammation?

Front

Five R's Recognition Recruitment Removal Regulation Repair

Back

What are the derivative of arachidonic acid?

Front

Bound in membrane Released by phospholipases Metabolized into eicosanoids ○ Cyclooxygenase: prostaglandins, thromboxanes ○ Lipoxygenase: leukotrienes and lipoxins

Back

What are the vasoactive amines?

Front

Histamine ○ Major source: Mast Cells ○ In response to: trauma, complement, cytokines, ○ Effect: vasodilation, increased permeability Serotonin ○ Major source: platelets ○ In response to: platelet aggregation ○ Effect: vasoconstriction

Back

What are the types of shock?

Front

- Cardiogenic shock: ↓ cardiac output due to pump failure - Hypovolemic shock: ↓ cardiac output due to pump failure - Septic shock

Back

What are the cardinal signs of inflammation?

Front

Rubor Calor Tumor Dolor Functio laesa

Back

What are the messengers of chronic inflammation?

Front

Chronic inflammation ○ IFN-gamma ○ IL-12

Back

What are the possible outcomes of acute inflammation?

Front

Resolution (activate repair pathways) Chronic inflammation Scarring

Back

What are the triggers of acute inflammation?

Front

Acute inflammation: triggers Infection Trauma Tissue necrosis Foreign bodies Immune reactions

Back

Describe inflammatory cell migration

Front

Chemotaxis following foreign materials, chemokines, complement Bind receptors, change cytoskeleton

Back

What are the stages of shock?

Front

Stages of shock: nonprogressive, progressive and irreversible

Back

Describe inflammatory cell transmigration

Front

Chemokines in the tissue attract cells Collagenases break through vessel (diapedesis)

Back

Describe LAD 1 and LAD 2 deficiency

Front

-Lazy Leukocyte Leukocyte adhesion deficiency Impaired migration, defective phagocytosis

Back

What are the main types of cell-derived inflammatory mediators?

Front

1. Vasoactive amines 2. Arachidonic acid

Back

Describe the vascular changes associated with acute inflammation

Front

Get blood (and cells) to the area ○ Vasodilation ○ Increased permeability ○ Adhesion activation

Back

Describe the control of inflammation

Front

Tightly controlled Cellular feedback loops Chemical inhibitors

Back

Diagram the aspects of inflammation and their time of onset

Front

Back

Diagram the pathways of eicosanoid synthesis

Front

Back

Diagram leukocyte rolling and migration

Front

Back

What are the cellular events of acute inflammation?

Front

Get cells to the area, start the attack ○ Migration-related molecules ○ Activating cytokines

Back

What are the major messengers of acute inflammation?

Front

○ IL-1,IL-6,TNF Source: macrophages, endothelial cells, mast cells Effect: activate endothelial cells - Increase adhesion, secrete more cytokines - Cause acute phase response ○ Chemokines CXC type attracts and activates neutrophils CC type attracts macrophages

Back

What are the mediators of immune cell attack?

Front

○ Cytokine secretion ○ Arachidonic acid metabolites Amplifies the inflammatory response Starts counteraction

Back

Describe chronic granulomatous disease

Front

Phagocyte oxidase defect Cannot kill engulfed bacteria

Back

Describe leukocyte phagocytosis

Front

Phagocytosis ○ Receptors find target -TLR, Inflammasome -Receptors for opsonins - IgG, complement C3 ○ Pseudopods engulf

Back

What are the pattern recognition receptors for inflammation?

Front

TLR: toll-like receptor ○ Recognizes microbial patterns, activates inflammation Inflammasome ○ Recognizes products of dead cells, activates inflammation

Back

What does ulceration look like?

Front

Back

What are other types of emboli?

Front

• Fat embolism • Bone marrow embolism • Amniotic fluid embolism • Air embolism

Back

Describe the mechanisms of inflammatory vascular changes

Front

1. Vessels dilate -Increased caliber=increased flow 2. Endothelial cells contract -Shriveled cells=gaps for cells to escape -Immediate/briefly due to bradykinin, histamine -Sustained due to TNF and IL-1. 3. Also transcytosis, leakage due to injury 4. Increased lymph drainage -Can lead to lymphangitis

Back

What is shock?

Front

• Systemic hypo perfusion of tissues - Caused by diminished cardiac output or decreased effective blood volume - Causes tissue hypoxia, with cellular dysfunction and death

Back

What does C3a do?

Front

C3a ○ Vascular permeability ○ Vasclular dilation (triggers mast cells)

Back

Describe inflammatory cell rolling

Front

Margination and rolling Flow changes push WBC's to periphery Cytokines (histamine, IL-1, TNF) induce selectins on endothelial surface

Back

Section 8

(50 cards)

Diagram second intention wound healing

Front

Back

Compare and contrast regeneration and scarring

Front

Regeneration: ○ Labile tissues -Skin, intestines, liver ○ Remaining cells and stem cells proliferate and replace lost cells Scarring: ○ Permanent tissues -Heart, brain ○ If unable to regenerate, undergoes fibrosis ○ Provides structural stability, not function

Back

Describe the genetic basis of cancer.

Front

• Genetic disorder‐ DNA mutations acquired spontaneously or by environmental insults; minority germline mutations (hereditary) - Genetic changes cause dysregulation of cell growth, survival, senescence, programmed cell death, etc. - Survival advantage of tumor cells, dominate cell populationclonality i.e., progeny of one cell

Back

How does angiogenesis occur in instances of tissue damage and scar formation?

Front

Hypoxia = VEGF from tissues VEGF causes NO production (vasodilation) VEGF causes endothelial migration Vessels form and organize -interact with MMP in ECM

Back

What are the steps of scar formation?

Front

Angiogenesis -Granulation tissue Migration and proliferation of connective tissue cells Maturation/organization

Back

What is the function of the ECM?

Front

Functions as a fluid reservoir Regulates growth and differentiation Scaffolding for repair

Back

What is cancer?

Front

Cell growth dysregulation

Back

What is a tumor? What type are there?

Front

• Tumor=neoplasm - Benign - Malignant

Back

What are the acute phase proteins?

Front

CRP, fibrinogen, serum amyloid May act as opsonins Give clues to inflammatory state (ESR, CRP)

Back

Describe the collagens and elastics of the ECM

Front

They offer structure, strength 1. Collagen: fibrillar: types I, II, III, V -Cross-linked, strong, vitamin C dependent 2. Collagen: non-fibrillar: type IV -Less strong, makes basement membrane

Back

What are the exceptions to the "oma" benign tumor rule?

Front

- Exceptions to -oma meaning benign: Lymphoma, mesothelioma, melanoma, seminoma -All are MALIGNANT!

Back

What are the pathways of macrophage activation?

Front

Classical ○ Microbial products, foreign substances, IFN Causes increase in lysosomes, cytokines If persistent, can become giant cells Alternative ○ Activated by non-IFN cytokines (IL4, IL13) Causes increase in repair-related growth factors

Back

Diagram first intention wound healing

Front

Back

What are the components of the ECM?

Front

1. Fibrous collagens and elastins 2. Proteoglycan gels 3. Adhesive glycoproteins

Back

Describe benign tumors and their nomenclature.

Front

• Innocent • Remain localized • Patient generally survives • Named by suffix -oma added to cell type of origin - e.g., chondroma, lipoma, fibroma, adenoma, papilloma

Back

Describe the non-neutrophil granulocytes of inflammation

Front

Eosinophils ○ Allergy, parasites Mast cells

Back

What is granulomatas inflammation? Give examples.

Front

Distinctive chronic inflammatory pattern Aggregates of macrophages with lymphs ○ Infection: TB, syphilis, Leprosy ○ Autoimmune conditions: Crohn disease ○ Diseases: CGD ○ Sarcoid

Back

What are the subtypes of granulomas?

Front

Caseating ○ Hypoxia and inflammatory injury cause central necrosis ○ Prototype is TB Non caseating ○ Sarcoid, Crohn, exposures

Back

Describe G protein coupled growth factor receptors

Front

Largest family of membrane receptors ○ Chemokines, many others Binding of receptor causes G-protein/cAMP interaction

Back

What are the hallmarks of cancer*???

Front

1. Autonomous growth, unregulated by physiologic cues 2. Lack of response to growth inhibitory signals 3. Evasion of cell death 4. Limitless replicative potential 5. Angiogenesis 6. Invasion of local tissue and spread to distant sites 7. Ability to evade immune system

Back

Describe how Hageman Factor acts on clotting

Front

Activates clotting ○ Factor Xa Increases vascular permeability Forms thrombin - activates and attracts leukocytes - Increases permeability - Activates complement

Back

Describe macrophages and their function

Front

1. Circulate as monocytes At site of injury, reach tissue and transform to macrophages 2. Functions Phagocytosis Secrete cytokines (IL-1, TNF) Antigen presentation/Interaction with T-cells Initiate repair processes

Back

Describe the role of B and T cells in inflammation

Front

T and B cells recruited to sites Same mechanisms as for all leukocytes B cells become plasma cells T cells secrete cytokines, direct process

Back

What are the functions of growth factors?

Front

Stimulate survival and proliferation Prevent apoptosis Promote migration, differentiation

Back

What happens during leukocytosis?

Front

○ Leukemoid reaction, left shift ○ Bacteria: more PMN, Virus: more lymph

Back

Describe how Hageman Factor activates fibrinolysis

Front

Plasminogen-->plasmin Breaks down clot (fibrin products increase vascular permeability) Activates complement

Back

Describe malignant tumors and the basis of their nomenclature.

Front

• Cancer=malignant • Invade and destroy adjacent structures • Spread to distant sites (metastasize) • Nomenclature depends on tissue of origin

Back

What factors affect tissue repair?

Front

Infection (most important cause of delay) Nutrition Steroids Mechanical variables/wound location Poor perfusion Foreign bodies

Back

What are the types of growth factors?

Front

1. Receptors with intrinsic kinase activity 2. G-protein receptors 3. Receptors without intrinsic enzyme activity

Back

Describe growth receptors that lack intrinsic kinase activity

Front

Numerous cytokines Binding of receptor causes change in protein that allows interaction with JAK protein

Back

Diagram Type I and Type II Macrophages

Front

Back

Describe the high control which exists over inflammatory mediators.

Front

1. Kininase 2. Antioxidant scavengers 3. Rapid degradation (lipoxygenase path) 4. Complement regulatory proteins - C1 inhibitor (Inhibit C1q) - DAF (Dissociate C2b4b) - Factor H (Dissociate Alternative Pathway) 5. Macrophage secretion of IL-10

Back

What are the two types of repair?

Front

1. Regeneration 2. Scarring

Back

Describe second intention wound healing

Front

○ Larger wound ○ Larger clot ○ More intense inflammation ○ More wound to fill ○ Wound contraction required ○ Scar strength 10% at 1 week 80% by 3 months

Back

Describe fever induction

Front

○ Pyrogens activate cyclooxygenase ○ Increased prostaglandins elevates temp set point in hypothalamus ○ Shift blood flow centrally to prevent heat loss -Causes increased BP and HR

Back

What are the effects of the acute phase cytokines?

Front

1. Fever 2. Leukocytosis 3. Acute Phase Protein Production

Back

Describe first intention wound healing

Front

First intention ○ Small wounds ○ Regenerative repair ○ 24 hours: neutrophils ○ 48 hours: epithelial growth ○ 3 days: macrophages ○ 5 days: neovascularization ○ Weeks: collagen remodeling

Back

What are the types of chronic inflammation, and what is it?

Front

Persistent inflammation, injury and repair 1. Persistent infection ○ TB, syphilis, viruses 2. Hypersensitivity reactions ○ Autoimmune, environmental allergens 3. Exposure ○ Silica

Back

Describe the proteoglycan gels of the ECM

Front

Resilience, lubrication, reservoir ○ Heparan sulfate, hyaluronic acid

Back

Describe how Hageman factor activates kinins

Front

Activates kinins ○ HMWK-->bradykinin Vasodilation, bronchocontriction, pain

Back

Describe growth Receptors with intrinsic kinase activity

Front

EGF, VEGF Binding of receptor causes phosphorylation and lead to cell proliferation

Back

What is the impact of the ECM on tissue repair?

Front

Regeneration can only take place if the ECM framework is mostly intact. If not, scarring and fibrosis are the path

Back

Describe the adhesive glycoproteins of the ECM

Front

Connects matrix to itself and to cells ○ Fibronectin, laminin, integrins

Back

Describe the steps of connective tissue organization in scar formation

Front

1. Migration and proliferation of fibroblasts PDGF, TGF-B produced by inflammatory cells 2. Deposition of ECM proteins Fibroblasts begin producing growth factors such as TGF-B Promotes collagen synthesis and has anti-inflammatory effects 3. Organization Degradation of collagen by matrix metalloproteinases

Back

What is the nomenclature for mesenchymal neoplasias?

Front

• Mesenchymal: sarcoma (liposarcoma, chondrosarcoma) - From blood or hematopoetic elements: leukemia or lymphoma

Back

What are the components of the ECM?

Front

○ Interstitial Matrix -Gel formed by mesenchymal cells ○ Basement membrane -Junction between epithelium and mesenchyme - Formed by both cells

Back

What cause the acute phase response?

Front

IL-1,IL-6,TNF Cause acute phase response

Back

What are stem cells, and what are their types?

Front

1. Self-renewing, asymmetrically replicating 2. Two major types Embryonic stem cells: ○ Truly pluripotent Adult stem cells ○ More differentiated along a tissue line

Back

What are the hallmarks of chronic inflammation?

Front

Predominantly mononuclear cells (macrophages, lymphocytes) Neutrophils may still be present

Back

What is neoplasia?

Front

• Neoplasia: new growth; autonomous, increase growth regardless of local environment

Back

Section 9

(47 cards)

Describe the TNM classification of tumor staging

Front

• T (tumor) - Size, depth of invasion • N (node) - Number of examined lymph nodes involved • M (metastasis) - Distant location

Back

Describe Acquired Preneoplastic Lesions

Front

• Increased likelihood of malignancy, yet most do not progress to cancer • Often arise in setting of chronic tissue injury or inflammation (stimulate continuing regenerative proliferation) • Clinically important because removal or reversal may prevent development of a cancer

Back

What is a hamartoma?

Front

• Hamartoma: mass of disorganized tissue indigenous to a site

Back

What is a mixed tumor?

Front

• Mixed tumors (epithelial and stromal components): Fibroadenoma, pleomorphic adenoma, carcinosarcoma

Back

What are the components of a tumor?

Front

• Parenchyma: neoplastic cells - Determines biologic behavior - Component name is derived from • Stroma: supporting, host‐derived, non‐ neoplastic - Connective tissue, blood vessels, inflammatory cells - Crucial to growth of neoplasm

Back

Describe anaplasia

Front

-A reversion of differentiation in cells and is characteristic of malignant neoplasms (tumors) • Pleomorphic nuclei‐ variation in size and shape; bizarre • Hyperchromatic nuclei • Coarse, clumped chromatin • Mitoses: numerous, atypical • Loss of normal polarity • Increased nuclear to cytoplasmic ratio

Back

What are the major serum tumor markers and their tumors?

Front

• PSA‐ prostate carcinoma • AFP‐ hepatocellular carcinoma, germ cell tumors • hCG‐ germ cell tumors • CA19‐9‐ pancreatic and gastric carcinomas • CA15‐3‐ breast carcinoma • CA125‐ ovarian carcinoma

Back

Compare and contrast benign and malignant tumors in terms of local invasion

Front

• Next to metastasis, most reliable feature to distinguish benign vs. malignant • Benign tumors - Remain localized - No capacity to invade, infiltrate, or metastasize - Well circumscribed, may have capsule • Malignant tumors - Grow by progressive infiltration, invasion, destruction, penetration of surrounding tissue - Poorly circumscribed, no capsule - Clinical importance: surgical margin evaluation

Back

What is metastasis?

Front

• Secondary implants that are discontinuous with primary tumor and located in remote tissues or fluids • Identifies a tumor as malignant • 30% of newly diagnosed cancers present with metastasis - Variable based on type of tumor: basal cell of skin vs. melanoma; central nervous system tumors

Back

How many human cancers are hereditary?

Front

• Important: only 5‐10% of all human cancers fall into these categories - More likely that genotype indirectly influences likelihood of developing environmentally induced cancers

Back

Describe the impact of age on cancer

Front

• Frequency of cancer increases with age • After age 75, risk of death from cancer actually decreases • Accumulation of DNA mutations/damage over time • Decline in immune competence • Most cancer deaths occur from ages 55‐75; causes only about 10% deaths from ages under 15

Back

Describe the impact of different diet types on cancer

Front

• Diet - Japan: Gastric carcinomas - U.S.: Colon and breast - With each subsequent generation of Japanese‐ Americans, the rates move toward American rates; diet‐environment is primary reason for geographic differences

Back

What is carcinogenesis?

Front

-Molecular basis of cancer • Review web‐based content from Dr. Marzich! • Nonlethal genetic damage lies at heart of carcinogenesis • May be caused by chemicals, radiation, viruses, or inherited in germ line • Tumors result from clonal expansion of a genetically damaged cell

Back

Describe the autosomal recessive cancer syndromes

Front

-DEFECTIVE DNA REPAIR • Chromosomal or DNA instability • High rates of certain cancers • Example: xeroderma pigmentosum - Cancers in sun‐exposed skin

Back

What are the regulatory genes for neoplasia?

Front

• Oncogenes: growth promoting; dominant • Tumor suppressor genes: prevent uncontrolled growth; usually recessive • Genes that regulate apoptosis • Genes involved in DNA repair: HNPCC; BRCA1/2

Back

Give examples of microbial carcinogenesis

Front

• HTLV‐1: T cell leukemia/lymphoma • HPV: cervical cancer, oropharyngeal cancer, also benign warts • EBV: Burkitt lymphoma • Hepatitis B and C: hepatocellular carcinoma • Helicobacter pylori: gastric adenocarcinoma and MALT lymphoma

Back

Describe the types of cancer heredity

Front

• Autosomal dominant cancer syndromes • Autosomal recessive syndromes of defective DNA repair • Familial cancers of uncertain inheritance

Back

Describe the clinical relevance of chemotherapy side effects

Front

• Cancer cachexia: body wasting, increase BMR, loss of fat and lean body weight • Side effects of chemo/radiation may require intervention by dietician and other interventions like G‐tube/parenteral feeding

Back

Describe radiation carcinogenesis

Front

• UV light, x‐rays, nuclear fissions, radionuclides • Miners, nuclear disasters • Therapeutic radiation-->secondary malignancies • UV light causes DNA damage - Cumulative exposure: SCC and BCC - Intense intermittent exposure: melanoma

Back

What is dysplasia?

Front

• Disorderly, but non‐neoplastic proliferation (not cancer, some regress spontaneously‐ others progress to cancer)

Back

What is the clinical relevance of benign tumors?

Front

• Location‐ even benign tumors can cause morbidity and mortality - Impingement, bleeding, infection, functional activity

Back

Describe tumor lymphatic spread

Front

• Pattern depends on site of primary tumor and natural pathway of lymphatic drainage • Sentinel lymph node: breast, melanoma - Inject dye/radiolabeled tracer into tumor - Remove lymph node(s) first to receive tracer - Special procedures in pathology to examine these - Additional surgical therapy based on findings - Can spare patient lymph node dissection with complications such as lymphedema

Back

What is the nomenclature for epithelial neoplasias?

Front

• Epithelium (mesoderm, endoderm, ectoderm): carcinoma - Adenocarcinoma: glandular pattern - Squamous cell carcinoma: produce keratin and/or have intercellular bridges - Undifferentiated carcinoma - Small cell carcinoma (neuroendocrine differentiation)

Back

Describe tumor hematogenous spread

Front

• Usually invades veins as opposed to arteries • Liver and lungs most frequently involved sites • Renal cell carcinoma notoriously grows and invades renal veins, can extend up into IVC

Back

Compare and contrast grading and staging of tumors

Front

• Grading and staging tumors to help determine best course of adjuvant therapy • Grading: well to poorly differentiated, numerical grades, etc. • Staging: I‐IV based on TNM and other clinical/laboratory factors

Back

What is the process of carcinogenesis?

Front

• Multi-step process; multiplevgenetic alterations accumulate over time and cause cancer phenotype

Back

Describe the autosomal dominant cancer syndromes

Front

• Inheritance of a single mutant gene greatly increases risk of developing a tumor • Retinoblastoma: - tumor suppressor gene - 10,000 fold increase risk - Bilateral - Risk for other cancers such as osteosarcoma

Back

Where do the prostate and lung tumors tend to metastasize? What type of spread is it?

Front

-Hematogenous • Prostate-->bone • Lung-->adrenal glands and brain

Back

What is a teratoma?

Front

• Teratoma: more than one germ cell layer; originate from totipotential germ cells

Back

What types of mutations affect cancer?

Front

Mutations:deletion,insertion,frameshift, translocations, etc.

Back

Describe the familial cancers of unknown inheritance

Front

• Colon, breast, ovary and brain • Early age at onset, tumors in 2 or more first‐ degree relatives, multiple or bilateral tumors

Back

Give some examples of the hallmarks of cancer

Front

- Self‐sufficiency in growth signals: Her‐2 - Insensitivity to growth inhibitory signals - Evasion of cell death: BCL‐2 - Limitless replicative potential - Development of sustained angiogenesis - Ability to invade and metastasize

Back

What is a paraneoplastic syndrome?

Front

Paraneoplastic syndromes: symptom complexes that cannot be explained by local spread/functionality of tumor -Ectopic production of bioactive substances

Back

Summarize tumor immunity

Front

• Cell‐mediated mechanisms can have anti‐ tumor activity • Immunosupressed patients have increased risk for development of cancer • Tumors develop ways to avoid immune system

Back

Compare and contrast the rate of benign and malignant tumor growth

Front

• Benign tumors - Slow, months to years - Exception‐ leiomyoma under estrogenic stimulation • Malignant tumors - Rapid - Correlates inversely with level of differentiation - Necrosis occurs when outgrow blood supply

Back

What are the two general categories of cancer causes?

Front

• Two general categories of cancer causes Hereditary: genetic predisposition -Humans have no control over these Environmental: sunlight, asbestos, smoking, alcohol, sexual practices (age at first intercourse, number of sexual partners) -Humans have much control over these -Predominant cause of most common sporadic cancers

Back

What's more important grading or staging?

Front

• Staging more important than grade

Back

Describe the ways in which tumors can metastasize

Front

1. Seeding within body cavities - e.g., peritoneal implants/carcinomatosis from ovarian carcinoma 2. Hematogenous spread - Sarcoma 3. Lymphatic spread - Carcinoma

Back

Describe the tissue, blood, and molecular testing for cancer. Give examples.

Front

• Tissue specimens: cytology , biopsy, or surgical resections - Routine and immunohistochemistry for diagnosis and prognosis • Blood and/ or body fluids: cytology, tumor markers, flow cytometry • Molecular testing: MSI, translocations, FISH, Her‐2, BRAF, ALK/EGFR, Oncotype

Back

Describe the progression of bronchial neoplasms

Front

Metaplasia->Dysplasia->Carcinoma

Back

Describe chemical carcinogens

Front

• Damage DNA either directly or after metabolic conversion (P450 may influence carcinogenesis)

Back

Describe tumor spred via seeding

Front

• Peritoneal carcinomatosis - Ovarian and fallopian tube primaries - Colonic adenocarcinoma • Pleural fluid/ ascites - Lung adenocarcinoma - Breast carcinoma

Back

What is a choristoma?

Front

Choristoma: Nodule of heterotopic cells

Back

What are the types of carcinogenic agents?

Front

• Chemical • Radiant energy • Microbial

Back

What differentiates benign and malignant tumors?

Front

1. Genetic complexity 2. Differentiation‐resemblance to cell type of origin; graded for most tumors; well differentiated tumors may produce mucin, keratin, hormones, etc. 3. Anaplasia‐Lackofdifferentiation 4. Rate of growth 5. Local invasion 6. Metastasis

Back

Give examples of acquired preneoplastic lesions

Front

• Examples - Bronchial squamous metaplasia and dysplasia in smokers airways - Endometrial hyperplasia in women with unopposed estrogenic stimulation - Leukoplakia of oral cavity, vulva, etc. - Adenomas of colon - Cervical dysplasia

Back

Describe the characteristics of dysplasia

Front

• Epithelial lesions - Cervix - Colonic tubular adenomas • Loss of normal polarity and architecture (anarchy) • Pleomorphism, hyperchromasia, mitotic activity • If involves entire thickness of epithelium‐ carcinoma in situ (pre‐invasive stage; basement membrane intact)

Back