Section 1

Preview this deck

Portable x-ray device often uses a stationary anode (doesn't rotate) which limits tube rating

Front

Star 0%
Star 0%
Star 0%
Star 0%
Star 0%

0.0

0 reviews

5
0
4
0
3
0
2
0
1
0

Active users

2

All-time users

2

Favorites

0

Last updated

1 year ago

Date created

Mar 1, 2020

Cards (702)

Section 1

(50 cards)

Portable x-ray device often uses a stationary anode (doesn't rotate) which limits tube rating

Front

Back

Binding force

Front

attractive force between electrons and protons strength of this force is inversely proportional to the square of the distance between the nucleus and the electrons K shell electron has a larger binding force than electron in L or M shells direction of this force is pointed towards the nucleus

Back

HVL depends on beam filtration

Front

if the beam is filtered, higher HVL less filtration, lower HVL *average photon energy determines penetration capacity and increased HVL

Back

10th HVL

Front

thickness of the material that can attenuate an x-ray to 90%

Back

Beam intensity

Front

number of x-rays X energy

Back

Because velocity is fixed, frequency and wavelength have an inverse relationship.

Front

Back

Quality

Front

overall energy of the beam changes in average energy reflect changes in quality

Back

Half value layer

Front

amount of material required to attenuate an x-ray to 1/2 the original output the higher the average photon energy, the more penetrating it will be, the larger HVL is

Back

Filtration diagram

Front

Back

HVL depends on anode material (Tungsten)

Front

Back

Electron stream Actual focal spot Apparent (effective) focal spot

Front

apparent focal spot defines the amount of blur

Back

Single phase generator

Front

produces polyspectrum energy

Back

K, L, M

Front

K shell (inner most)- 2 electrons L shell- 8 electrons M shell- 18 electrons

Back

-69.5 keV is the binding energy of K shell electron

Front

Back

X-ray focal spot

Front

.6 and 1.2mm

Back

Heel effect

Front

bc x-rays on anode side must pass through greater thickness of anode, have reduction in intensity of x-rays heel effect is worse with: 1. smaller anode angles 2. closer object to source distance 3. larger field of view heel effect is better with: 1. large anode angle 2. larger object to source distance 3. smaller field of view mammo- thicker part of the chest wall aligned with the cathode chest x-ray- cathode side down ap thoracic spine xray- cathode side lower thoracic spine due to increasing soft tissues

Back

What is the purpose of a focusing cup?

Front

help the electron beam strike the target in an acceptable size

Back

Line focus principal

Front

small angle = small effective spot = better spatial resolution highly testable tradeoff: - angle is too small, then x-ray beam might not be large enough to expose a standard image receptor at a typical 40 inch source to image distance - steeper (smaller) angle = greater heel effect

Back

Mammo focal spot

Front

.3 and .1mm

Back

The larger the atomic number Z, the more x-rays will be produced due to Bremsstrahlung

Front

Back

mA

Front

ampere- describes the current or movement of electrons number of electrons per second moving from the filament to the target direct relationship quantity of x-rays produced by the tube depends on the number of electrons that flow from the filament kVp affects both the quality (ability to penetrate and energy) and the quantity (number of x-rays). mA and exposure time (mAs) affect only the quantity

Back

At the same kVp, a single phase vs a triple phase generator will

Front

at the same kVp: a single generator has less quantity and quality. a triple phase generator has more quantity and quality.

Back

Anode

Front

only 1% of the electrons that strike the target will result in the production of x-rays. rest of the energy is converted to heat. electrons on the target = heat

Back

Characteristic x-ray

Front

inner electron is forced out and filled by an outer electron exchange results in release of potential energy in form of a characteristic photon making the spiky thing on spectrum diagrams

Back

Velocity =

Front

velocity = frequency X wavelength

Back

* of energy to remove an electron from an atom

Front

15eV of energy to remove an electron from an atom

Back

Mass number

Front

number of protons + neutrons A

Back

kVp vs keV

Front

kVp describes the electron stream as a whole with the number selected being the peak keV describes a single individual electron within that stream

Back

Atomic number

Front

# protons Z

Back

Max energy = max kVp

Front

Back

Wider spot "blooming"

Front

high mA low kVp

Back

The average energy is between 1/3 to 1/2 the max energy

Front

Back

x-ray tube picture

Front

Back

Quantity

Front

total number of x-rays or area under the curve in a spectrum diagram

Back

In nucs, low Z materials (plastic) shield beta emitters in order to minimize bremsstrahlung production

Front

Back

Bound particles have negative energy. The closer to the nucleus, the greater the negative potential energy.

Front

Back

Bremsstrahlung

Front

radiative losses as electrons slow down and approach the nucleus they have 3 responses: 1. strike nucleus giving off max energy to x-ray 2. come close the nucleus and give of medium energy to the x-ray 3. travel distant from the nucleus and give off little energy to the x-ray most 80% of x-rays are produced this way larger the atomic number Z, more brehmsstrahlung

Back

What is the purpose of the tube/glass enclosure/ envelope?

Front

primary purpose is to maintain a vacuum allows the amount and speed of the electrons to be controlled independently without a vacuum the electrons accelerating towards the anode would collide with gas

Back

mAs = quantity

Front

direct relationship

Back

Interactions at the target

Front

bremsstrahlung and ionization cause x-rays and excitation does not

Back

K shell binding energy of tungsten is

Front

-69.5 keV

Back

What is the purpose of a rotating anode?

Front

spread the heat produced over a large surface area to prevent the anode from melting

Back

Focal spot

Front

area of x-ray production on the anode smaller anode better spatial resolution but can't disperse heat. address by: angling the anode and using a rotating anode.

Back

HVL does not depend on mAs and does depend on kVp

Front

Back

Alpha particles

Front

2 protons, 2 neutrons net charge is 2 heavy positive charge allows them to suck electrons trivia: can't travel far can't penetrate used for treatment, not imaging

Back

Cathode

Front

negative part of the tube / filament made of tungsten gets really hot allows enough energy to escape the metal and form a cloud of electrons

Back

Energy =

Front

Energy = frequency X constant "h"

Back

mono-energetic beam has higher HVL than poly-energetic beam at the same kVp

Front

Back

Auger electrons

Front

lighter elements emit auger electrons a secondary ionization occurs when the electron ejected form the aroma has enough kinetic energy to cause addition ionization events ejected electrons called delta rays

Back

increase kVp by 15%, you decrease the mA by half and maintain the same x-ray density on film if you decrease the kVp by 15% you need double the mA to main the same density on film

Front

Back

Section 2

(50 cards)

Quantum mottle

Front

x-ray beam not perfectly uniform and at low doses you notice it more

Back

High energy, linear attenuation and half value layer

Front

high energy, decreased linear attenuation, increased half value layer

Back

a major determinant of spatial resolution of digital images is the pixel size and spacing (pixel pitch)

Front

Back

if you want to increase the x-ray exposure you can

Front

double your mAs or increase the kVp by 15%

Back

K edge

Front

photo electric effect peaks at the binding energy for the inner shell electron select kVp between 65-90 when using barium (k edge 37 keV) and iodine (k edge 33 keV)

Back

Increased filed size

Front

increased field size = decreased collimation = decreased quantum noise = increased dose and scatter

Back

Classical

Front

aka coherent, thomson gets absorbed and re-emitted without a loss of energy, but it's easier to think about it just bouncing off and changing direction x-rays are low in energy (less than 10keV) do not cause ionization do not contribute to the image adds a small amount of dose to the patient

Back

Modulation transfer function

Front

tells you how good the system is so you can compare digital film systems or plain film systems

Back

If given a choice to increase mA or kVp to decrease noise, you should choose?

Front

increase mA if you go too high with the kVp

Back

What if you want to lower the dose but maintain a constant exposure?

Front

raise the kVp by 15% lower the mAs by 50% this works bc the higher kVp x-rays will penetrate more easily and deliver a lower dose

Back

wider window width decreases contrast

Front

Back

DEXA

Front

relies on transmission measurements at two different photon energies 2 methods: 1. using a filter that drops the k-edge in the middle of the spectrum- separating the curve into two peaks- or two different energies (around 40 and 70) 2. switch the tube voltage between low and high Dose for DEXA very low .001 mSv

Back

spatial resolution

Front

how close 2 lines can be to each other and still be resolved as separate quantified with "line pairs per mm"

Back

Grid ratio

Front

describes how dense the grid is ratio of the height of the lead to the distance between them higher the ratio, less scatter, better the contrast higher grid ratio, higher dose

Back

What determines the amount of scatter?

Front

kVp field of view thickness

Back

High density, linear attenuation and half value layer

Front

increased density, increased linear attenuation, decreased half value layer

Back

pixel pitch

Front

measurement from the center of one pixel to the next

Back

Detective quantum efficiency

Front

prediction of dose measure of efficiency of a detector converting x-ray energy into an image the higher the DQE, the lower the dose DQE is directly proportional to MTF DQE is inversely proportional to SNR DQE is better at low spatial resolution DQE of DR is 0.45 better than CR or plain film which is 0.25

Back

center point (or midpoint) of the level is going to determine the brightness

Front

Back

imaging processing software is capable of producing an image with a specified level of contrast even when higher kVp

Front

Back

narrow widow width increases contrast

Front

Back

decreased pixel pitch = better spatial resolution

Front

Back

inverse square law

Front

energy twice as far from the source is spread out over four times the area 1/4th the intensity

Back

Compton scattering

Front

occurs at high energies x-ray strikes an outer shell electron. electron is ejected. original x-ray is a scattered photon. causes 3 things: 1. frees an electron 2. ionizes an atom 3. deflects the incoming x-ray as a scattered photon compton contributes to dose to patient major source of occupational exposure compton is the dominant force contributing to scatter/fog does NOT depend on the Z of the atom dependent on density of the material

Back

What if you want to visualize low contrast objects / tissue?

Front

keep the kVp constant and increase the mAs

Back

sharpness- ability of the x-ray system to define an edge resolution- ability of x-ray system to differentiate two close objects Modulation transfer function- relationship between sharpness and resolution

Front

Back

kVp still influences contrast, but digital systems have a much wider dynamic range

Front

Back

How do you reduce noise?

Front

use a grid use an air gap increase the mA

Back

More x-rays on the film = darker = more radiographic density

Front

Back

What increases scatter?

Front

high kVp technique large field of view thick people

Back

increased pixel density = better spatial resolution

Front

Back

Photoelectric interaction

Front

dominates at lower energy levels relative to compton x-ray strikes an inner shell electron contributes to image contrast probability of photo electric effect is 1/Energy^3 probability of photo electric effect is proportional to the Z^3

Back

Grid cut off

Front

risk of using a grid you block so many photos that you cause a quantum mottle (noisy image) happens with grid is aligned incorrectly

Back

Classical, Compton, PE chart

Front

Back

Linear attenuation

Front

more attenuation occurs with dense object more attenuation occurs with higher Z material lower attenuation occurs with higher kVp higher attenuation occurs at K edge unlike mass attenuation, the linear attenuation of ice, water, and water vapor is different

Back

Attenuation in tissue depends on 3 things:

Front

1. effective atomic number in tissue 2. x-ray beam quality 3. tissue density

Back

Bucky factor

Front

mAs required with grid / mAs without the grid

Back

Collimation reduces noise

Front

Back

to compensate for the decreased photons hitting the image receptor when you collimate (decreased signal to quantum noise ratio) - the mAs is increased

Front

Back

Geometric unsharpness: small focal spot = * blur closer source is to image = * blur closer the object is to the detector = * blur more magnification = * blur

Front

small focal spot = less blur closer source is to image = more blur closer the object is to the detector = less blur more magnification = more blur

Back

magnification =

Front

source to detector distance / source to object distance

Back

What is the primary factor influencing image contrast in digital systems? What is the primary factor influencing image contrast in film systems?

Front

What is the primary factor influencing image contrast in digital systems? LUT What is the primary factor influencing image contrast in film systems? kVp

Back

Mass attenuation

Front

supposed to reflect the attenuation important point is mass attenuation of ice, water, and water vapor is the same

Back

Noise

Front

data that contributes nothing useful to the image

Back

Grid

Front

multiple thin metallic lead stripes with interspersed radiolucent spaces blocks off angle x-rays and allows the ones coming straight into contact the image receptor

Back

Photoelectric effect is the fundamental method by which contrast is developed

Front

Back

Smaller spot "thinning"

Front

high kVp

Back

Bucky grids

Front

moving grid wiggles back and forth rapidly, too fast to be seen if the grid motion fails and stops moving, you will end up with grid lines

Back

Different names for classical

Front

coherent, thomson

Back

Higher kVp = smaller attenuation coefficients = less contrast

Front

Back

Section 3

(50 cards)

Digital mammo vs analog: -lower spatial resolution - less dose -can post process window and level afterwards, so fewer repeats -noise is fixed

Front

Back

Storage phosphor (CR)

Front

uses a phosphor called barium fluorohalide x-ray causes an electron in the phosphor to change to a metastable state (one that it can hold for several days) to read it out the plate is exposed to a laser that sweeps back and forth red light of the laser liberates the trapped electrons and they return to their shells as they return to their shells, they release a blue-green light which is directed onto a photodetector which then amplifies the light signal and converts to an electronic signal amount of light detected is proportional to the intensity of the incident x-ray photo stimulated phosphorus have a wide detectable range, tolerating x-ray intensities 100 times higher and 100 times lower than the 5 micro Gy needed for an old school screen film plate is reset by forcible exposure to bright white light- which erases it. if you forget to do this, you will get ghosting artifacts.

Back

What is the difference between direct and indirect?

Front

indirect (scintillators) xray -> light -> charge direct (photoconductors) xray-> charge

Back

Automatic exposure control

Front

acts like a timer which decides when to terminate exposure works by using an ionization chamber, placed between the patient and the image receptor duration of the exposure is determined by the density and thickness of the area of the patient placed over the ionization chamber controls only the quantity of radiation reaching the image receptor- no effect on kVp must be re-calibrated if that receptor changes (you upgrade from film to a CR digital system)

Back

K edge filtration in mammo

Front

moly or rhodium filters are used to remove energies lower than 15 and higher than 20keV filters block both high and low photons to remove low energy photos which only give dose and high energy photos that don't help with contrast Rh/Rh used for dense breasts bc it is higher energy compared to Mo/Mo Mo anode with Rhodium filters used to produce an intermediate end spectra between Mo/Mo and Rh/Rh NEVER use an Rh target (21 kev) with a Mo filter (20 kev k edge) Mo anode can also be combined with an aluminum filter, for a harder beam to penetrate dense breasts some digital systems will use Tungsten / Rho and Tungsten / Silver- this creates a higher energy spectrum for increased penetration and lower dose. contrast is lost- but some post processing can bring it back.

Back

kVp and Mas for CXR, abd, foot

Front

Back

PPV2

Front

cases where biopsy was recommended Br4,5 benchmark 25.4%

Back

Direct conversion vs indirect conversion

Front

Back

Grad ratio

Front

height/width between grids

Back

Ghosting

Front

in digital imaging residual image from prior exposure burned into the detector this is why lead is not allowed on flat panel digital systems

Back

a higher kVp can be used (adjusted by 15% rule) and a quality image still produced

Front

Back

Target anodes for mammo?

Front

molybdenum or rhodium anode are used over tungsten bc they have lower energy combination of low kVp and low Z give molybdenum a high peak of characteristic x-ray with low bremsstrahlung around 18 keV (instead of 69.5 like tungsten)

Back

Why lower energy in mammo?

Front

photoelectric effect dominates at lower kVp photoelectric effect is directly proportional to atomic number cubed- Z ^3 and indirectly with energy 1/E^3

Back

Types of digital detectors

Front

storage phosphor (CR)- type of indirect flat panel detector (DR)- direct and indirect

Back

Mag view in mammo

Front

breast is moved away from the detector and closer to the source. typically the distance to the source is cut in half, which doubles the mag. and increases the dose used to evaluate Ca, so you need a smaller focal spot for better spatial resolution less mA about a quarter of conventional contact mamma longer exposure time (about triple that of conventional contact mammo)

Back

Air gap

Front

you don't use a grid for mag views, instead you have an air gap off axis scatter misses the target

Back

Direct systems that avoid lateral dispersion of light have better spatial resolution

Front

Back

Increased pixel density = better spatial resolution Decreased pixel pitch (measurement from center of one pixel to the next) = better spatial resolution

Front

Back

Processor QC

Front

daily

Back

Direct flat panel detector

Front

x-rays go through the amorphous selenium and electrons are released without being converted to light converted to a digital signal stored by TFT

Back

Indirect flat panel detector

Front

x-ray activates thallium doped cesium iodide scintillator emit light in response to absorbed x-ray light gets emitted then converted by a photodiode into an electric charge the electric charge is captured and transmitted by the thin film transistor (TFT) to the workstation

Back

Compression mammo

Front

reduced thickness = less scatter = lower kVp lower kVp = less scatter = improved contrast reduced thickness = less mAs needed = less dose breast doesn't move = less motion artifact breast smashed closer to bucky = less geometric magnification less motion and less geometric mag = improved spatial resolution

Back

Darkroom cleanliness

Front

daily

Back

Beryllium window

Front

diagnostic imaging uses pyrex glass. pyrex glass is not used in mammo bc it causes excess attenuation. mamma uses beryllium

Back

Focal spot, mA, exposure time in mammo vs plain film

Front

mamma uses smaller focal spots, lower mA, and longer exposure times

Back

Film vs Digital

Front

Digital- larger dynamic range + linear response to exposure - bc has larger dynamic range, you can adjust the brightness and contrast -bc you can adjust the contrast and brightness afterwards, you can increase the kVp by 15% and half your mA to decrease the dose Film- narrow dynamic range + curvilinear response to exposure

Back

Bit depth

Front

determines the number of shades of gray displayed on a computer monitor 2 to the x power greater the pixel bit depth, the more shades of gray available for image display and better contrast resolution

Back

Spatial resolution for DR is superior to CR bc the pixel detector is built into the DR flat panel

Front

Back

Grid mammo

Front

mammo uses a smaller grid ratio, 4-5. general x ray 6-16. bucky favor is 2 for mammo, 5 for general x ray. dose is increased with a grid

Back

What is the optimal kVp for mammo?

Front

20keV 25kVp

Back

Lateral dispersion of light

Front

problem with indirect methods that use phosphors light diffuses laterally after it leaves the site of conversion from an x-ray loss of spatial resolution, which get worse with increasing thickness of the crystal making the crystal thin has its own problems, bc your sensitivity for collecting the x-ray is going to drop off Gadolinium oxysulfide has more lateral dispersion than CsI columnar structure makes a thick crystal

Back

Recall rate

Front

5-7%

Back

Plain film vs Digital summary

Front

Back

PPV1

Front

positive screening cases any br0,3,4,5 benchmark is 4.4%

Back

Digital has lower dose than film bc you can post process. Aka digital has higher dose efficiency.

Front

Back

Imaging newborns

Front

do not use a grid lower the kVp- around 65 kVp lower mAs- around 2-4 mAs

Back

Heel effect mammo

Front

cathode goes near chest wall

Back

Plain film has better spatial resolution than digital, bc they don't have the limitation of individual units (pixels)

Front

Back

Contact mammo vs mag view mammo chart

Front

Back

MQSA does not have specific line pair requirements for digital mammo

Front

Back

Mammo vs General Dx chart

Front

Back

Spatial resolution for flat panel detectors is limited to the DEL (detector element); smaller detector elements = better spatial resolution

Front

Back

Pixels gone bad

Front

in digital imaging manifests as a square or a streak

Back

This vs that direct vs indirect digital radiography

Front

Indirect- cesium iodide scintillator (CSI) Direct- amorphous selenium photoconductor (PADS) both direct and indirect use a TFT read out array

Back

Ways to reduce scatter (improve contrast)

Front

collimate compress the part which reduces the thickness lower kVp grid/air gap- reduces the number of scatter photons that strike the film detector

Back

PPV3

Front

results of biopsy aka positive biopsy rate, biopsy yield of malignancy benchmark 31.0%

Back

4cms of patient tissue will require them to double the mA

Front

Back

You need to lower energy to a nearly mono-energetic beam to enhance attenuation differences and increase spatial resolution to see microcalcs

Front

Back

Spatial resolution lp/mm screen film mammo digital mammo digital radiograph CT MRI

Front

screen film mammo 15 lp/mm digital mammo 7 lp/mm digital radiograph 3 lp/mm CT 0.7 lp/mm MRI 0.3 lp/mm

Back

Cancers / 1000 screened

Front

3-8

Back

Section 4

(50 cards)

Saturation artifact

Front

dose increases to penetrate dense obj like metal and regions around it are bright

Back

What improves spatial resolution? What is the main limiter?

Front

Electronic Mag Quality of the tv display

Back

Image intensifier basic set up

Front

Back

Image intensifier

Front

Back

Minification gain

Front

reducing image size from the input phosphor to the output phosphor increase brightness

Back

The ability of the image intensifier to increase brightness deteriorates with the age of the tube which requires more dose to produce the same output brightness. older I.I.= more dose Image intensifier is replaced when the conversion gain falls to 50%

Front

Back

Where is the ideal place to stand?

Front

on the same side of the patient as the I.I. preferabel to position the C arm x-ray tube under the table

Back

Darkroom fog

Front

semi-annually

Back

Flare or glare artifact

Front

transition form heavy attenuation to minimal attenuation you can see bright white "glare" at the periphery near the decreased attenuation this is from an overproduction of x-rays in this thin area, to compensate for the nearby thick area image becomes brighter with transition to less attenuation

Back

Phantom eval

Front

weekly

Back

Lag artifact

Front

move the I.I. and ghosted image remains superimposed from the prior field

Back

* is behind MQSA

Front

FDA

Back

Flux gain

Front

high voltage between the photocathode and the output phosphor causes electrons to accelerate and yields a gain in energy accelerating electrons increases brightness

Back

Vignetting artifact

Front

edges are darker than the center

Back

Places that do mamma have to be accredited and certified i.e. pay money every * years

Front

3

Back

Last image hold vs fluoro spot

Front

Back

S distortion

Front

interference with earth's magnetic field on flow of electrons towards the I.I. seen large field of view adding mu metal improves the artifact bc it deflects the magnetic field

Back

Best position of the I.I. and the x-ray tube?

Front

x-ray tube source far away from patient I.I. close to the patient 1. decreases patient dose 2. decreases scatter to the operator 3. increase image sharpness by decreasing focal spot blur and magnification

Back

MQSA requires a resolution of 12 line pairs per mm for screen film and manufacture specs for digital (7lp/mm)

Front

Back

Spatial resolution vs electronic mag

Front

if the input field is cut in half, the size of the object being viewed is cut in half, but the output is still fixed. relative to the original setting, the object has undergone a 2X magnification, and a double in spatial resolution. the dose goes up bc when you halve the input field, the brightness decrease by 1/3, so to compensate the radiation at the input quadruples. more radiation = more dose

Back

Automatic brightness control

Front

device that optimizes image exposure in regular x-ray automatic exposure control systems primarily mess with mA (quantity) and less so the kVp (quality) for fluoro, ABC used during electronic mag

Back

Viewbox conditions

Front

weekly

Back

Conversion gain

Front

describes efficiency of an I.I. in changing incident x-rays into light

Back

What is the general radiation change with each magnification?

Front

increases dose by 1.4- 2.0 times you get less light out, the ABC turns up the juice to maintain the picture

Back

KERMA

Front

kinetic energy release per unit mass

Back

Double the distance from the tube does what to dose?

Front

decreases it by a factor of 4 (inverse square law)

Back

Screen film contrast

Front

semi-annually

Back

2 diff types of image acquisition in fluoro:

Front

1. image intesifier 2. flat panel detector

Back

Phantom limit with and without a grid

Front

3 mGy, measured with a GRID dose limit wihtout a grid is 1 mGy no actual regulation of wha ta human breast can endure

Back

Collimators

Front

pro: reduce dose pro: reduce scatter con: alter exposure

Back

You have to have * documented hours of mammo education

Front

60

Back

Brightness gain is the combined effects of flux gain and magnification gain

Front

Back

Compression test

Front

semi-annually

Back

Kerma area product (KAP)

Front

amount of kerma X cross sectional area of the beam total radiation incident on a patient measurement of total radiation dose in the exam

Back

Air KERMA

Front

estimation of how many photons are in a unit of air prior to the energy striking the skin

Back

GU radiology set up

Front

GU radiology set up with bladder closer to the receptor with source above the table instead of below the operator lens dose is higher with the source above the table

Back

Geometric mag vs Electronic mag

Front

Geometric mag: - mammo - move the obj closer to the source Electronic mag: - decrease the input field by half, the automatic exposure control will increase the juice to compensate for brightness

Back

Regular Dx vs Fluoro

Front

Dx higher mA and short exposure time Fluoro lower mA due to very long exposure time

Back

Electronic mag increases the air KERMA and therefore the skin dose, bc you increased the juice. Electronic mag does not increase the KAP bc even though you increased the juice, you decreased the cross sectional area.

Front

Back

You have to do * months of formal training

Front

3

Back

* LP/mm in the anode-cathode direction

Front

13

Back

Pincushion distortion

Front

bent lines at the periphery seen with large field of view

Back

Max automatic exposure control Normal air kerma limit: High level control:

Front

normal size: 87 mGy/min 10 R/min high level control/obese: 176 mGy/min 20 R/min in high level mode, you must have audible or visual alarms in addition the normal time alarm used in fluoro

Back

The relationship between intrinsic receptor resolution and the focal spot size (R/F) will determine if geometric mag will increase or decrease spatial resolution R/F > 0.5 mag will reduce unsharpness R/F < 0.5 mag will increase unsharpness

Front

Back

Less magnification (small FOV) = magnified = less bright More minification (larger FOV) = less magnified = more bright

Front

Back

During the last 2 years you have to read * mammograms during a 6 month period under direct supervision

Front

240

Back

Both electronic and geometric mag increase the dose, but geometric increases it more. Focal spot blur also occurs with Geometric.

Front

Back

* LP/mm in the left right right direction

Front

11

Back

Repeat analysis

Front

quarterly

Back

breast phantom average breast

Front

4.2cm 50% adipose 5-% glandular

Back

Section 5

(50 cards)

Frame averaging

Front

increases SNR (less mottle), but more susceptible to blur

Back

DSA takes a single frame image and subtracts it from a post contrast image. it removes everything that is still and leaves stuff that's moving, like blood.

Front

Back

Additional high dose situations: later and oblique views

Front

Back

People always use a drop of 30 to 15 frames per second as an example bc that equals 1 dose reduction of 30% It is not a direct 1:1 thing 50% reduction in pulse rate = 30% reduction in dose

Front

Back

Dose area product / KAP

Front

measures radiation dose to air in mGy X collimator area unit = mGy/cm *measure is independent of beam location as you move the beam away from the patient, the intensity decreases, but the beam spreads out more KAP is NOT dependent on location

Back

Motion creates ghosting

Front

Back

Be careful how the question is worded. A lower frame rate will have more mA per individual pulse- but the overall mAs will be decreased relative to regular fluoro below 30 frames per second.

Front

Back

Flat panel detector system

Front

new fluoro machine

Back

increased kVp = less skin dose, slightly more organ dose. if you compensate for the increased kVp with a drop in mA then dose decreases. bc if you increase kVp by 15%, then you can decrease mA by 50%. for CT, if you increase kV = increased dose.

Front

Back

Pixel binning

Front

binning increases pixel size reduced spatial resolution (but improves SNR)

Back

Pitch and fill factor

Front

Pitch- linear dimension of a detector element Fill factor- the portion of the area that's sensitive to light fill factor = sensitive area / pitch ^2

Back

How is spatial resolution tested for?

Front

lead bar pattern

Back

When does pulse fluoro reduce dose?

Front

if you drop the rate below 30 pulse/second

Back

II systems are limited by?

Front

TV systems (1.0-2.0 lp/mm for GI and 2.0-4.0 lp/mm for angio)

Back

If you measure spatial resolution at a diagonal (45 degrees to the raster lines) does it get better or worse?

Front

better. spatial resolution improves by a factor of square root of 2 over the vertical or horizontal resolution

Back

Pulsed fluoro is good for moving patients (wiggling babies)- gives you sharper images with less motion blur

Front

Back

Barium study kVp

Front

because the amount of barium you give is higher than the amount of iodine, you have to penetrate it. and pick a higher kV. pick a kV of 100+ k-edge of barium is 37 keV

Back

FPD systems are limited by?

Front

detector element size (2.5-3.0 lp/mm)

Back

total dose for IR = dose per frame rate X frame rate X duration X number of runs

Front

Back

A fatter patient gets more skin dose, because the automatic brightness control sees less penetration- then cranks up the dose.

Front

Back

Grids in IR are not used for extremities or peds

Front

Back

Regular vs pulsed fluoro

Front

Regular- continuous low mA with higher S = mAs Pulsed- pulsed high mA with lower S= mAs regular fluoro mAs = pulsed fluoro mAs

Back

What limits the spatial resolution of an I.I.?

Front

television display system resolution of TV depends on the raster scan lines, the bandwidth, and the FOV

Back

Interventional reference point

Front

measures radiation emitted from the source likely underestimates patient skin dose

Back

kVp for a low volume iodinated study = 70kV. chosen to max out K-Edge. kVp for a high volume barium study = >100kV. chosen to max out penetration.

Front

Back

Patient and operator dose doubles with a lateral view compared to a PA

Front

Back

Are artifacts of I.I. the same as flat panel detectors?

Front

No, flat panel detectors do NOT have pincushion, S distortion, vignette, glare, or saturation

Back

Bad pixel

Front

appear as white or black spots on flat panel detectors interpolating to fill data corrects for this artifact

Back

Dose spreading

Front

change angle of gantry to spread skin dose over a broad area

Back

Regulatory dose with no high level control present

Front

10R/min 87 mGy/min

Back

How is distortion checked for?

Front

mesh screen or plate look for straight lines not pincushion or S distortion

Back

Pulsed fluoro

Front

dose is administered in pulses, instead of continuously. you get less motion artifact (better spatial resolution in moving objects) and overall less dose (if less than 30 frames per second)

Back

Pulsed fluoro can reduce dose when the frame rate is below 30 frame/second

Front

Back

50% of the dose is delivered in the superficial 3-5cm of skin/fat. the depth of the 50% depends on the kVp and filtration (higher kVP + copper filtration = more penetration)

Front

Back

Dynamic range

Front

only an issue for I.I. with variability n very dense or transparent stuff

Back

Does the display limit the spatial resolution of a flat panel detector system?

Front

no, FPD usually have displays with the same matrix as the image receptor

Back

Vertical resolution is limited by?

Front

number of raster lines that the display monitor uses must alternate white and black to reproduce a line pair image on the I.I., so the max number of line pairs in the vertical direction is half the number of lines used. you use the Kell factor to correct for the lines not matching up. vertical resolution = raster lines X kell factor / 2 x FOV in mm decreasing the FOV improves the spatial resolution

Back

Smaller FOV, better spatial resolution

Front

Back

Better pure spatial resolution FPD vs II?

Front

II systems are better and change with FOV

Back

Iodine study kVp

Front

pick a kV of 70 places the average energy around 35 k-edge of iodine is 33 keV

Back

If the matrix size is 1100 X 1100 and the FOV is 25cm, wha tis the pixel size of the detector element?

Front

pixel = FOV/matrix needs to be in mm: 25 cm = 250mm 250mm/1100 = 0.23mm pixel size

Back

Dose outside of lead, standing 1 meter away form the patient is 1/1000 of the dose received by the patient you get 0.1% of what the patient gets at 1 meter

Front

Back

Best place to stand

Front

stand on the image receptor side of the patient you are trying to avoid the large amount of compton scatter radiation produced where the beam enters the patient

Back

Binning

Front

taking several detector elements and making a large detector element *binning improves SNR

Back

typical dose is 0.3-0.5 mGy per gram at the retrace skin position (10x-20x more per image than fluoro)

Front

Back

Digital subtraction angiography (DSA) is performed at a kVp of 70 to exploit the k-edge of iodine

Front

Back

*Magnification will increase air kerma, but not KAP

Front

Back

Source to skin distance

Front

if you are using under the table positioning the SSD depends on the table height small SSD = high dose short angiographers stand on a platform so the source to image receptor distance is kept at 100cm or more.

Back

Most IR systems use a pulsed fluoro to help reduce dose

Front

Back

Lag artifact (ghosting)

Front

occurs with both I.I. and flat panel detector occurs if the exposure uses high radiation

Back

Section 6

(50 cards)

Increase beam width: reduced scan time reduced motion artifact increases partial volume mAs is unchanged, bc a larger area of tissue is scanned

Front

Back

What is the relationship between HU and x-ray attenuation?

Front

when HU increases by 10 HU, x-ray attenuation increases by 1%

Back

Regular Dx vs CT chart

Front

Back

Filtered back projection

Front

sharpening of the projection data prior to back projection

Back

Does changing the keV mess with the HU? Why?

Front

Yes since PE dominates at a lower energy, low keV will create a higher HU

Back

conceptus dose limit is * mSv per month

Front

0.5 mSv per month for conceptus dose limit

Back

Helical scanning

Front

tables moves at a constant speed, tube is on the entire time. advantages: primary advantage = faster secondary advantage= post acquisition flexibility

Back

Nitroglycerin

Front

0.8-1.2 mg glycerole trinitrate 5mg isosorbide dinitrate dilates coronary arteries contraindications: aortic stenosis hypertrophic cardiomyopathy phosphodiesterase inhibitor like sildenafil for 48 hours prior to exam

Back

is mAs the same on CT as plain film?

Front

no CT uses effective mAs which is tube current mA x exposure time

Back

How do you calculate pixel size?

Front

field of view / matrix

Back

How does dual energy CT work?

Front

HU of each pixel obtained at 140 and 80 kVp scan you can do a virtual non-con find out what a stone is made of

Back

Hounsfield unit equation

Front

HU = 1000 X (attenuation of material - attenuation of water) / attenuation of water

Back

Increased kVp = image noise will decrease

Front

Back

Window, Level example

Front

Back

Regulatory dose limit is * mSv

Front

50 mSv regulatory dose

Back

Regulatory dose with high level control on

Front

20R/min 176 mGy/min an audible alarm must be used

Back

Window, Level HU Brian Lung Abd Bone

Front

Back

*Minimal slice thickness is determined by detector element aperture width in a modern CT

Front

Back

if you turn down the mAs what happens to your images?

Front

less mAs = more noise

Back

Secondary ulceration

Front

24 Gy

Back

Axial scanning

Front

tube comes on and takes a picture, tube shuts off, and the table moves advantages: better spatial resolution in the z-dimension since full image sets are taken less partial volume artifact

Back

Temporary epilation (hair loss)

Front

3 Gy

Back

sinogram

Front

represents the data from all the projections of all tube angles

Back

Bow tie filters

Front

compensate for uneven filtration reduce scatter and dose made of teflon, low Z material, to reduce hardening

Back

B blocker

Front

metoprolol (lopressor) 2.5-5.0mg IV lower heart rate to less than 65 bmp for prospective ECG contraindication: <60 HR SBP <100 cardiac failure asthma, COPD active bronchospasm 2nd or 3rd degree AV block antidotes: fluids atropine 0.5mg IV glucagon 50 micrograms/kg IV loading dose followed by continuous infusion 1-15 mg/h

Back

Pitch

Front

table movement / beam width 1 = no overlap >1 = table moved fast creates gap less dose worse spatial resolution <1= table moves slow creates overlap more dose better spatial resolution

Back

Smooth kernel

Front

decreased noise decreased spatial resolution soft tissue kernel

Back

in 1 year, you get * mSv

Front

5 mSv typical dose in 1 year

Back

most CT scanners are 3rd generation

Front

meaning the x-ray tube and the detectors spin around the patient in synchrony

Back

How do you improve spatial resolution?

Front

pixels smaller matrix larger

Back

What is the relationship between pixel width and height to voxels?

Front

voxel has a 3rd dimension (depth) which represents the slice thickness. voxel is a cute, pixel is a square.

Back

Moist desquamation /ulceration

Front

18 Gy

Back

What kind of x-xrays are used with CT?

Front

highly filtered, high kV (average energy 75 keV)

Back

Advise patient for burns, esp 10 days post procedure

Front

2-5 Gy

Back

Telangiectasia

Front

10 Gy

Back

Raw data -> projection back projection filtered back projection iterative reconstruction

Front

back projection- old way filter back projection- modern way, math filter applied iterative reconstruction- corrects for noise so you can use lower dose

Back

Chronic erythema / main erythema

Front

6 Gy

Back

Unlike conventional radiography with automatic exposure control, increasing kVp in CT will increase radiation dose to the patient

Front

Back

Dry desquamation

Front

13 Gy

Back

No action is needed below

Front

2Gy

Back

CT has very high tube currents up to 1000mA

Front

Back

Sharp kernel

Front

increased noise increased spatial resolution bone kernel

Back

Cardiac CT prospective retrospective

Front

performed during diastole prospective: -step and shoot, R-R interval -pro: reduced radiation -con: non-functional imaging, susceptible motion artifact -trivia: always axial, not helical. retrospective: -scans the whole time and then back calculates -pro: functional imaging with contraction and wall motion -con: higher radiation, low pitch, increased dose

Back

Will filtration change the HU?

Front

Yes filtration will remove low energy photons, that increase the average energy and lower HUs seen with cupping artifact

Back

Early transient erythema

Front

2 Gy

Back

Permanent epilation

Front

7 Gy

Back

Collimator is used at the x-ray tube and detector to shape the x-ray beam which defines the thickness of a slice and reduces scatter

Front

Back

Procedure and dose should be reviewed by physics

Front

Above 5 Gy

Back

What is the matrix size for CT? Each pixel is?

Front

Matrix is 512 x 512 each pixel represents 4096 possible shades of gray 12 bits 2^12 = 4096

Back

Anti scatter septa

Front

grids to prevent scatter in CT

Back

Section 7

(50 cards)

Patient motion

Front

to fix: tie the patient down modern fast scanner *align the scanner in the primary direction of motion *over scanning an extra 10% on the 360 rotation, with the repeated portion average.

Back

Beam hardening

Front

lower energy photons removed leaving a harder beam with an increased average energy ex. cupping and dark bands/streak to fix: filtration to remove the lower energy components or adding a bow tie filter calibration correction using a phantom to allow the detector to compensate for hardening effects correction software tilting the gantry to avoid areas causing hardening

Back

Photon starvation

Front

high attenuation areas like the shoulders result in streaking fixing it: 1. automatic tube current modulation- increase the dose in the area of greater attenuation 2. adaptive filtration performed to correct the attention profile and smooth the data

Back

DLP

Front

CTDI vol X length of the scan in cm

Back

The thinner the detector element aperture, the better the spatial resolution in the Z direction

Front

Back

Phantom size

Front

body phantom is 32cm if the patient is larger than the phantom, then dose is over estimated if the patient is smaller than the phantom, the dose is underestimated

Back

Effective dose

Front

k X DLP k is a constant effective dose will be in Sv

Back

Dark bands/ streak

Front

dark bands / streaks between two dense objects x-rays that pass through one are less attenuated than those that pass through both

Back

Embryo dose in a CT abd and pelvis is

Front

30 mGy

Back

CTDI vol head

Front

75 mGy

Back

Incomplete projection

Front

if parts of the patient are hanging outside the field but attenuating x-rays messes with computer's math ex. arms hanging down to fix: position pt correctly

Back

Detector aperture size

Front

as the detector size is reduced the cranial-caudal resolution (z-axis increases) the in-plane x-y axis is NOT affected by aperture size

Back

Number of projects, more data, better spatial resolution

Front

Back

Pediatric considerations

Front

reducing mAs works to reduce dose kVp can also be reduced. 70 kVp is good for peds. reduced techniques are possible bc x-ray penetration is greater in child dose reduction in head CT are more modest than peds belly if the patient is thin, reducing the kV will improve the contrast resolution bc of less compton scatter

Back

Fat person

Front

increase mA increasing rotation time will result in more photons, but dose and movement will also increase. lower the pitch increasing kVp

Back

Holding matrix size constant, decreasing FOV, decreases pixel size. This increases spatial resolution but decreases contrast resolution (less photons per box)

Front

Back

CT angio study = kVp of 100 (120 in a fat person)

Front

Back

Increase signal to noise

Front

higher mA longer rotation time higher kVp larger slice thickness large pixel decreased pitch

Back

Over ranging

Front

with helical scanning you need 1/2 rotation beyond the planned scan length so you can create the first and last image only happens with helical/spiral scans, not axial. higher the pitch, more over ranging over ranging contributes more to the DLP for short scans like pedi and cardiac ct increases with increasing number of slices acquired simultaenously

Back

modulating mA based on the density of the scout

Front

Back

Holding matrix size constant and increasing FOV will increase pixel size. This decreases spatial resolution but increases contrast resolution (more photons per box).

Front

Back

Strategies to reduce breast dose

Front

decrease mA use mA modulation based on density shield breasts with bismuth can degrade image and cause him hardening falsely elevating the HU

Back

Over beaming

Front

radiation extends beyond the active detector area and not used for imaging decreases with increasing number of slices acquired simultaneously

Back

Dose of 1 chest CT is equal to * PA + Lateral CXR

Front

100

Back

Reference dose set by ACR at 75 percentile, doses above that should be investigated and reduced if possible

Front

Back

CTDI vol adult abd

Front

25 mGy for adult abd

Back

Ring artifact

Front

calibration error or defective detector on 3rd generation scanner fixing: recalibrate detector or replace

Back

Partial volume

Front

2 types: 1. partial volume effect- dense object protrudes into the width of an x-ray beam resulting in divergence of the beam manifesting as shading artifacts 2. CT voxels are cubes. if one dense thing takes up half the cube and a low attenuating thing takes up the other half, the machine will average them together and make something of intermediate density. fixing it: thinner slices

Back

Individual dose monitoring is mandated if the occupational dose is greater than 10% of the annual dose limit 500 mrem

Front

Back

Volume CTDI

Front

weighted CTDI / pitch

Back

Body scan vs head scan variation with scan plane

Front

body scan- surface is about twice the central dose head scan- central and surface are very similar

Back

Undersampling

Front

insufficient number of projections used to reconstruct the CT results in misregistration artifacts and poor quality 2 types: 1. view aliasing- under sampling between 2 projections. fine stripes radiating from the edge of a dense object. fixed by slowing the rotation and acquiring the largest number of projections per rotation. 2. ray aliasing- under sampling within a projection you see strips close to the structure. fixed by using specialized high resolution techniques.

Back

increased mA = improved signal to noise increased mA = improved signal to noise but not 1:1. you need 4x the mA to double the SNR. increased mA= decreased quantum mottle

Front

Back

Smooth filter

Front

poor spatial resolution, less noise

Back

Risk of radiation induce cancer per dose

Front

5% per Sv adult 15% per Sv for child 1/10th for someone older than 50

Back

Sharp filter

Front

better spatial resolution, more noise

Back

Signal changes directly with increased x-ray flux. Twice the x-rays, twice the signal. Noise changes by a factor of the square root of N. In other words, twice the x-rays square root of 2 or 1.4 the noise.

Front

Back

Weighted CTDI

Front

1/3 central CTDI + 2/3 peripheral CTDI mGy

Back

Focal spot (smaller = better): determines spatial resolution in the x-y plane, side to side. Detector size (smaller = better): determines spatial resolution in the z plane, cranio-caudal direction, long axis.

Front

Back

Metal artifact

Front

metals with high Z (iron, platinum) have more artifact than those with lower Z (titanium) fix: *increase kVp, *thinner slices, software

Back

in conventional radiography and CT, HVL of soft tissue is 3cm

Front

Back

Decrease kv, * HU

Front

decrease kv, increase HU

Back

Helical artifact in axial plane: single section

Front

artifact from the helical interpolation *main place seen is at the top of the skull (anatomy changing rapidly in the Z direction) higher the pitch, the worse this is to fix: reduce variation in the z direction use a low pitch use 180 degree instead of 360 when possible use thin sections *this is why head CTs are done with axial over helical imaging

Back

CTDI vol peds abd

Front

20 mGy for peds abd (5 year old)

Back

CT of extremities has a low effective dose <1mSv bc they don't contain radiosensitive organs

Front

Back

CT vs plain film with spatial resolution and contrast resolution

Front

Contrast resolution- CT superior Spatial resolution- plain film is superior

Back

Factors that affect spatial resolution and contrast resolution chart

Front

Back

CT contrast resolution (ability to discriminate between structures) is excellent but spatial resolution is poor.

Front

Back

Cupping

Front

center of the image appears darker type of beam hardening x-rays pasting through the middle of a uniform shape like a head are hardened more than those traveling through the shorter path periphery

Back

If you increase the kVp you will increase your CTDIw on both a head and body phantom

Front

Back

Section 8

(50 cards)

Spatial pulse length

Front

number of cycles emitted X wavelength *objects closer than 1/2 spatial pulse length will NOT be resolved

Back

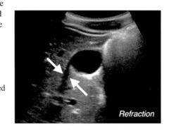
Refraction

Front

bending of sound wave caused by a change in speed what influences refraction? 1. speed change based on tissue compression 2. angle of incidence as sound passes from tissue to fluid there is a change in speed bc of the different compressive abilities of the tissues results in bending of the beam. se this along the edges of fluid filled structures like the GB.

Back

Axial resolution

Front

tell 2 closely spaced objects in the direction of the beam apart minimum required separation between the 2 electors is 1/2 the spatial pulse length *objects closer than 1/2 spatial pulse length will NOT be resolved

Back

Curvilinear probes

Front

type of linear probe that operates with individual elements firing on their own face is curved so that scan lines diverge deeper into the image giving a wider field of view for deeper structures used for abdominal imaging

Back

What determines the strength of echoes?

Front

angle and impedance

Back

Tissue thickness that reduces the US intensity by 3dB is considered the half value thickness

Front

Back

Focusing

Front

try and converge / narrow the ultrasound beam, again with goal of improving lateral resolution

Back

Higher frequency = more scatter

Front

Back

Speed = wavelength X frequency

Front

Back

Is the axial resolution constant at different depths?

Front

yes has nothing to do with depth, just spatial pulse length

Back

Low damping (high Q)

Front

narrow bandwidth *for doppler to preserve velocity info

Back

Relative intensity

Front

dB change of 10 in dB scale corresponds to 2 orders of magnet 100 times dB is based on a log 10 scale reducing the sound intensity to 10% is 10 dB reducing to 1% is 20 dB reducing to .1% is 30 dB

Back

Will increasing the transmit gain (power) help with lateral resolution?

Front

no transmit gain widens the beam you want a nice narrow beam use minimal transmit gain

Back

Heavy damping (low Q)

Front

broad bandwidth *high spatial (axial) resolution fewer interference effects and more uniformity

Back

Linear probes (sequenced)

Front

each element fire and receives on their own width of transducer = width of the sum of ht individual elements linear arrays are good for peds, superficial carotids, leg veins, testicles, thyroids

Back

Operating frequency is determined from the speed of sound and the thickness of the piezoelectric material. Only way to change frequency is to change the probe. Wavelength changes to accommodate changing velocity in different material.

Front

Back

Phased probes

Front

hive mind firing in multiples using interference patterns to steer the beam probes are made smaller good for limited acoustic windows in between ribs, transvaginal

Back

Dampening block

Front

sits behind the piezoelectric crystal and absorbs backward directed energy

Back

Piezoelectric material

Front

functional component of the transducer made of lead-zinc-titanate (PZT) when compressed the dipoles get disturbed which is measured and recorded

Back

Speed is constant in a particular media, so that an increase in frequency decreases the wavelength and vice versa

Front

Back

Total/complete reflection can occur if the speed difference and the angle of incidence exceeds the critical angle

Front

Back

Impedance (Z)

Front

density X speed of sound

Back

Speed effect on frequency

Front

none, frequency is the same in various media *wavelength changes in media

Back

More or less scatter with high frequency probes?

Front

More- smaller wavelengths make surface look rougher (non-specular) causes scatter

Back

Frequency

Front

rate of change between compression and rarefaction Hertz number of times a wave oscillates through a cycle each second

Back

Near field

Front

Fresnel beam converges higher transducer frequency = longer near field larger diameter element = longer near field

Back

Stair step artifact

Front

stair step on edges of multi planar reformatted image occurs when you have a wide collimation of non-overlpaiing intervals less severe with a helical scanner where you get some overlap to fix: thin slices

Back

Focal depth zone

Front

narrowest beam maximum intensity spot between converging and diverging beams get you best echoes and lateral resolution here

Back

loss of 3dB represents a *% loss of signal intensity

Front

loss of 3dB represents a 50% loss of signal intensity

Back

Helical artifact in multi-section

Front

classic windmill appearance where several rows of detectors intersect worsens with increased helical pitch to fix: z filter reduces severity of windmill artifacts

Back

Zebra artifact

Front

reformatted artifact secondary to helical interpolation with increased noise along the z axis manifests as zebra stripes and pronounced on 3D imaging most significant away form axis of rotation- nose is worst off axis

Back

How does the machine know what speed is?

Front

it doesn't justa assumes everything is always 1540 m/s causes artifacts

Back

What is impedance?

Front

degree of stiffness in a tissue determines the strength of surface reflection

Back

Optimal matching layer thickness is equal to 1/4 the wavelength

Front

Back

Stand off pad

Front

block of ultrasound gel or low impedance material that you can scan through works by moving superficial things into the focal zone

Back

What ist he unit used for impedance?

Front

rayl

Back

Is the lateral resolution constant at different depths?

Front

no the lateral resolution worsens in the deeper field

Back

Reflection

Front

differences in acoustic impedance of 2 neighboring tissues results in reflection large difference in impedance results in a large reflection -why gel must be used between transducer and skin to eliminate air pockets

Back

The thickness of the transducer is equal to 1/2 the wavelength. Lower frequency is seen with thicker crystals and higher frequency is seen with thinner crystals.

Front

Back

More or less attenuation with high frequency probes?

Front

More

Back

You will get a big reflection if?

Front

there is a large difference in impedance ex. thats why you need gel between skin and air

Back

As the frequency increases, the HVT decreases you use high frequency probe for superficial stuff

Front

Back

Wavelength

Front

distance between areas of compression

Back

0.5dB per cm per MHz or 0.5 (dB/cm)/MHz

Front

Back

Is the speed of sound constant in tissue?

Front

No changes via wavelength depending on compressibility of the tissue slow in air fast in bones

Back

Matching layer

Front

minimizes the acoustic impedance differences between the transducer and the patient

Back

Speed in different materials

Front

based on compressibility air- very compressible- low speed bone- not compressible- fast speed *ultrasound machine is stupid and assumes everything travels at 1540 m/s in tissue the fact that the machine thinks speed is constant causes artifacts

Back

Far field

Front

Fraunhofer beam diverges

Back

What makes the sound have bend?

Front

changes in the speed of sound occur as it travels through different media creating bending aka refraction as described by snell's law

Back

Lateral resolution

Front

resolving objects perpendicular to the beam the thinner the beam, the more likely each will fall into a separate beam best at the focal zone

Back

Section 9

(50 cards)

Refraction artifact

Front

speed difference in tissues cause refraction resulting in 1. object appears wider than it actually is 2. object can be misplaced to the side of the returning echo 3. object can appear duplicated classic look: "duplicated SMA" occurs secondary to symmetry of geometry

Back

Power doppler

Front

very sensitive look for presence of flow without info on direction

Back

Mirror image artifact

Front

US beam passes through a highly reflective surface and gets repeatedly reflected liver lung interface

Back

Time gain compensation

Front

makes uniform brightness from top to bottom works by compensating for loss of echo strength caused by depth of the reflector treats echoes differently depending on which depth they are returning from you could manually manipulate it by wiggling buttons around (now automated with a button push)

Back

Focal zone

Front

center your focal zone tightly over the object

Back

B mode

Front

B = brightness conversion of A line info to brightness modulated dots

Back

Flash artifact

Front

burst of color filling the screen secondary to transducer or patient motion classic ex. is fetal kick

Back

A mode

Front

A = amplitude only used by ophtho for eye measurements

Back

Summary of lateral resolution: -best at the focal zone -changes with depth -best with a narrow pulse beam width -best with higher frequency -best with higher scan line density -large diabetes transducers have longer focal zones and better lateral resolution

Front

Back

Ring down artifact

Front

fluid trapped between tetrahedron of air bubbles parallel bands extending *posterior to a collection of gas

Back

*Higher frequency = more narrow the beam = better lateral resolution

Front

Back

Shadowing

Front

material attenuates US beam more than the surrounding tissue the beam distal to this is weaker (darker) than the surrounding field

Back

Output power vs. Receiver gain

Front

Output power: -increases brightness by adjusting the sound pulse SENT TO THE BODY -degrades lateral resolution Receiver gain: -increases brightness by adjusting the sound pulse AFTER IT RETURNS to the transducer ALARA favors receiver gain

Back

Increased through transmission

Front

material attenuates sound less than the surround tissue and the strength of the beam distal is stronger (brighter) than the surrounding field

Back

Improving axial, lateral, elevation resolution

Front

Back

Higher scan line density = better lateral resolution

Front

Back

Color bleed

Front

looks like color extending beyond the vessel wall decreases sensitivity to thrombus or stenosis to fix: decrease color gain

Back

Stable cavitation

Front

micro bubbles present in the media expand and contract

Back

Aliasing

Front

high velocities are displayed as negative occurs when the doppler shift is greater than Nyquist limit Nyquist limit (kHz) = 1/2 X pulse repetition frequency to fix: -decrease doppler shift by using a low frequency transducer or using a doppler angle closer to 90 (increasing the angle) -increasing pulse repetition frequency (which will increase your Nyquist) or selecting a sample volume at a lesser depth or increasing the scale

Back

Power doppler is extremely sensitive to flow, even slow flow

Front

Back

Twinkle artifact

Front

occurs behind strongly reflecting surfaces like calcifications manifests as noisy spectrum with rapid fluctuation of red and blue colors this artifact has greater sensitivity for detection of small stones than acoustic shadowing this is highly dependent on machine settings and how round the reflecting surface is (more rough = more twinkle)

Back

Power doppler does NOT exhibit aliasing (both color and spectral can)

Front

Back

US Assumptions: -All echoes originate within the main beam -All echoes return to the transducer after a single 180 degree reflection -Amt of time an echo takes to return to the probe depends directly on the object depth -Speed of sound in human tissue is constant 1540 m/s -Sound beam and its echo travel in a straight path -Acoustic energy is uniformly attenuated

Front

Back

Speed displacement artifact

Front

speed of sound slows down in fat, relative to liver the beam takes longer to return in fat and is perceived by the machine as being further away creating an appearance of discontinuous and focally displaced liver border

Back

You can't place the probe perpendicular to the vessel, bc gives you false impression of no flow

Front

Back

Harmonics

Front

involves transmitting at one frequency and receiving at another this is possible bc body tissues distort the wave wave has to travel some distance to become distorted enough to generate harmonics harmonics are NOT produced in the near field (they haven't traveled far enough) process IMPROVES lateral resolution reduction in artifacts- specifically reverberation because you are dealing with higher frequency, you do lose some depth penetration (rmr high frequency attenuated faster) makes a solid look like a cyst by turning it anechoic

Back

Doppler angle is not as important with color doppler since the information is semi quantitative

Front

Back

Artifacts from multiple echoes chart: reverberation comet tail ring down mirror image

Front

Back

Elevation resolution (slice thickness)

Front

similar to lateral resolution, but in the orthogonal plane worst measure of resolution depends on height of transducer element source of volume average

Back

Compound imaging

Front

image an object in multiple different directions with electronic strong of the ultrasound beam will sharpen edges loss of posterior shadowing makes a cyst look solid by removing posterior features

Back

Thermal index

Front

max temp. rise in tissue secondary to energy absorption

Back

Axial, lateral, elevation resolution dependent on

Front

Back

Most intensity = spectral pulsed doppler mode

Front

Back

Reverberation artifact

Front

sound wave hits two parallel highly reflective surfaces multiple equidistant spaced linear reflections

Back

Mirror image

Front

occurs secondary to a vessel adjacent to a highly reflective surface, such as lung. results in duplication of the structure being evaluated classic locations are sub diaphragmatic region of the liver and supraclavicular region

Back

Spatial resolution of color doppler is less compared to gray scale imaging (although smaller vessels are better seen)

Front

Back

Power doppler has NO dependence on doppler angle- you can measure doppler totally perpendicular to the vessel

Front

Back

Tissue vibration

Front

secondary to turbulent flow doppler shows mixture of red and blue classic ex. AV fistula in a kidney post biopsy

Back

Why must the doppler angle be more than 30?

Front

angles less than 20 cause refraction and loss of signal aliasing becomes an issue

Back

M mode

Front

M = motion B mode information used to display echoes from a moving organ like heart valves

Back

Doppler angle

Front

should be between 30-60 cos 90 = 0, then the numerator would be 0

Back

Pseudoflow artifact

Front

things that move like blood but are not classic example: ureteral jets

Back

Beam width artifact

Front

US beam exists the transducer with the same width as the transducer. it then narrows to the focal zone and diverges in the far field. if the divergent beam encounters a strong reflector, it sends signal back that is assumed to be from the main beam. classic location: bladder with peripheral echoes improved with: 1. adjusting the focal zone to the level of interest 2. placing the transducer at the center of the image

Back

Side lobe artifact

Front

off axis / side beam hitting a strong reflector incorrectly assumed as coming from the main beam *happens more in linear arrays seen when incorrectly placed echoes overall an anechoic structure bladder, "pseudo sludge" GB

Back

Comet tail artifact

Front

form of reverberation 2 parallel highly reflective surfaces closer together with the sequential echoes closely spaced space between them may be less than 1/2 the spatial pulse length and as a result the displayed echoes will look like a triangle

Back

Pulsed wave (spectral) doppler

Front

spectrum of doppler shifts instead of a single frequency obtains the direction of blood flow

Back

Mechanical index

Front

how likely cavitation will occur matters the most with contrast enhanced US

Back

Color doppler

Front

direction of flow with colors red and blue color intensity varies depending on the flow intensity obtains samples of each pixel multiple times and displays average shift

Back

Harmonics vs compound imaging

Front

compound- makes a cyst look like a solid by removing posterior features harmonics- makes a solid look like a cyst by making it anechoic

Back

What is the relationship between transducer width and lateral spatial resolution?

Front

Longer transducer = longer focal zone length = longer near field

Back

Section 10

(50 cards)

Internal conversion

Front

energy emitted from gamma emission is instead transferred and expels an inner shell electron with a downward cascade of electrons form higher levels this results in emission of an x-ray or auger electron *bad bc you are emitting particles which case harm and are not imageable gamma photons

Back

Spectral doppler deposits more heat compared to gray scale ultrasound

Front

Back

Scintillation crystal

Front

sodium iodine doped with thallium when struck with a photon will produce a pulse of light thick crystal = better sensitivity, worse resolution thin crystal = better resolution, worse sensitivity thin crystals allow the the photomultiplier tube to sit closer and improve resolution but don't catch as many photons as a thick crystal

Back

Band of stability

Front

Back

Metastable state

Front

in most cases the transition from an isobaric to isometric transition is fast, but sometimes you enter an intermediate "metastable" state

Back

Pinhole collimator

Front

magnifies and inverts used for thyroid and small parts magnification: f = b, no mag f > b, mag f < b, gets smaller if you move the pinhole far enough way, the image will get smaller

Back

Converging hole collimator

Front

magnifies without inverting

Back

Bombardment

Front

you can create tracers with bombardment in a nuclear reactor or a cyclotron a cyclotron is helpful bc of transmutation where you don't need to clean up the parent element

Back

Alpha decay

Front

occurs in heavier unstable atoms helium nuclei (2 protons, 2 neutrons) slow, fat, and worthless for imaging can be used for treatment with bone pain in cancer mets via Radium 223

Back

QA on dose calibrator (ionizing chamber)

Front

Consistency -should be within 5% of computed activity -performed daily Linearity -performed quarterly Accuracy -performed at installation and annually Geometry -performed at installation and moving the device

Back

Pulse height analyzer

Front

removes background scatter and only evaluates tracer you're looking at

Back

How long do you keep a radioactive material?

Front

10 half lives

Back

Ionizing chamber

Front

used when higher doses are expected no dead time problem detects exposure from 0.1 to 100R/h

Back

Thyroid probe

Front

modified version of the NaI well counter primary use to calculate thyroid uptake dose is compared to a calibrated capsule of the same radionuclide

Back

Thermal induced damage is a threshold phenomenon (you get no tissue damage until a certain temperature is reached)

Front

Back

Sodium iodide well counter

Front

same thing as a gamma camera hole in a block of NaI crystal in which the sample is placed can be overwhelmed if the sample exceeds 5000 counts per second, it will be under reported good for in-vitro blood or urine samples good for wipe tests samples

Back

Diverging collimator

Front

minimizes object

Back

Ring badge

Front

worn on dominant hand, index finger, label inwards towards the source/palm, under a glove to avoid contamination

Back

Star artifact

Front

intense energy results in septal penetration of the hexagonal collimator holes seen in the thyroid bed after high therapeutic dose (using a medium ene. collimator instead of high)

Back

You don't wear lead in nucs bc it won't stop the gamma rays

Front

Back

Half life

Front

amount of time needed for a radionuclide to be reduced into half of it's existing activity physical half life biologic half life- how long it takes to pee or poo half life effective half life- takes both physiologic and biologic half life into account 1/effective = 1/physical + 1/biologic

Back

Center of rotation

Front

performed monthly ensures gamma cameras used for SPECT are centered correctly 5 small 99mTc point sources along the axis of rotation axis should be straight

Back

whatever gives more counts = more sensitivity.

Front

Back

Photomultiplier tube

Front

convert light to electric signal record location on an x-y axis that goes to a computer records Z signal intensity which goes to the pulse height analyzer

Back

Electron capture

Front

captures an electron from the k shell isobaric- decreased atomic number, but mass does not change excellent for imaging bc it is coupled to isomeric transition results in emission of gamma photons

Back

Sensitive tissues on fetus: embryo less than 8 weeks after conception head, brain, spine any fetus eyeball any age

Front

Back

Parallel hole collimator chart -septa length -hole diameter -septa thickness

Front

sensitivity and resolution have an inverse relationship more counts, better sensitivity but degrades resolution distance affects resolution, NOT sensitivity short septa, better sensitivity long septa, better resolution wide holes, better sensitivity narrow holes, better resolution high energy = long thick septa + wide hole low energy = short thin septa + narrow hole

Back

Scanning maternal uterine arteries with doppler is ok as long s the fetus is outside the beam

Front

Back

Cavitation is most likely to occur with low frequency and high pressure

Front

Back

Isomeric transition

Front

after undergoing an isobaric transition, there is often left over energy that then undergoes isometric transition

Back

perform SPECT when improved spatial resolution is needed

Front

Back

Geiger muller counter

Front

detects small amount of radioactive contamination gas filled chamber that beeps dead time- device is very sensitive but can be overloaded - max dose 100mR/h does not provide info on radiation type

Back

Flood test

Front

tests if the camera can produce a uniform image along the entire crystal surface 2-5% of non-uniformity is allowed, 1% if SPECT 2 types: 1. Daily- Extrinsic with a collimator 2. Weekly- Intrinsic with no collimator -Na99mTcO4 or Co57 source Recommended counts for both extrinsic and intrinsic range is between 5-10 million

Back

Energy window

Front

performed daily you can use a string, vial, or patient for Tc you would use a 20% window centered at 140 keV

Back

Thermal index: Below 0.7 for OB imaging between 1.0-1.5, US not exceed 30 minutes between 2.5-3.0- US should not exceed 1 minute greater 3.0 US should not be used

Front

Back

Per NCRP a risk benefit decision when the TI exceeds a value of 1.0 and the MI exceeds a value of 0.5

Front

Back

Activity

Front

amount of disintegrations per second historically measured in Curie (Ci) which is 3.7 X 10^10 disintegrations per second new SI units Becquerel (Bq) which is one disintegrations per second

Back

Pulsed doppler (spectral, power, color) should not be used on embryo

Front

Back

Keep TI under 1.0 (some sources say 0.7)

Front

Back

Collimator type chart and pics -parallel -pinhole -converging -diverging

Front

Back

Transient cavitation

Front

bubble oscillation become so large the bubbles collapse resulting in shock waves causing damage

Back

Image linearity and spatial resolution

Front

performed weekly lead bar phantom w parallel lines placed between collimator and Co57 sheet tests image resolution and linearity resolution- ability differentiate 2 distinct points linearity- are all bars straight

Back

Film badge

Front

should be worn on the collar at the chest/neck level

Back

Rate of energy absorption increases with frequency and the rise in temperature slows secondary to conduction and perfusion

Front

Back

Soft tissue index should be used in early gestation. Bone index should be used after 10 weeks when bone ossification s evident.

Front

Back

M mode US is recommended instead of spectral doppler US to document heart rate of fetus

Front

Back

Beta Minus

Front

neutron turns into proton emits a beta particle and a neutrino isobaric transition- atomic number changed, but atomic mass is unchanged not good for imaging you want a plastic shield bc it has a low Z preventing bremmstahlung x-rays

Back

Downscatter

Front

high energy photons spill into window of a low energy emitter image with Xe before Tc image lower photon energy tracers first

Back

Beta positive

Front

proton turns into neutron emits positron and neutrino takes 1.02MeV of energy positron travels, meets an electron, and annihilates resulting in TWO 511 keV photons emitted 180 degrees apart from each other 511 keV + 511 keV = 1022 (1.02 MeV)

Back

Fission

Front

another way to create tracers where you fire neutrons into large atoms which split them into multiple tracers

Back

Section 11

(50 cards)

PET limitation: angulation

Front

the two 511 keV photons are not totally 180 degrees apart

Back

PET is depth independent PET attenuation is depth dependent

Front

Back

What if it gets on my clothes?

Front

take them off and they'll be held by the RSO

Back

TR

Front

time to repetition time between two successive RF pulses

Back

Agreement states

Front

states that reach an agreement with the federal government more strict but not less strict then the national agency

Back

T2 vs T2*

Front

T2* = tissue spin + field inhomogeneity T2 = tissue spin * T2 always decay faster than T2

Back

Steps for major/minor spill

Front

Major: 1. clear area 2. cover spill but do NOT clean it up 3. clearly indicate boundaries of spill area 4. shield source 5. notify radiation safety officer 6. decontaminate person Minor: 1. protect the patient 2. confine the spill 3. clean up the spill 4. survey clean up items 5. survey clean up people

Back

With PET, attenuation correction is applied before reconstruction which is an advantage over SPECT.

Front

Back

Major spill and doses of radio tracers

Front

call radiation officer to clean up 100 mCi of Tc, Ti 10 mCi of In, I-123, Ga 1 mCi of I-131

Back

2D system

Front

pro: lead or tungsten septa that block unwanted scatter con: also blocks correctly oriented photons

Back

SUV equation

Front

tissue radioactivity concentration X weight / injected dose activity

Back

Minor spill

Front

you clean it up

Back

Code of federal regulations (CFR) 10 CFR part 19 10 CFR part 20 10 CFR part 35

Front

10 CFR part 19- notices, instructions, reports to workers 10 CFR part 20- protection against radiation 10 CFR part 35- medical use of byproducts

Back

68 Ge/ 68 Ga

Front

Germanium 68 will decay into Gallium 68, similar to Tc and Moly Gallium 68 emits 511 keV positrons, but has a half life of 68 minutes so it's easier to user Germanium that has a half life of 271 days

Back

Glucose and SUV

Front

High glucose = lower SUV

Back

Normalization scan

Front

done monthly expose detectors to a uniform flux of positrons

Back

Wipe test does not work on xenon

Front

Back

Noise equivalent counts (NEC)

Front

signal to noise ratio of PET scan ratio of true coincidences over total coincidences (true + false)

Back

Free induction decay

Front

after you give an RF pulse, the protons sync up and the signal decreases bc of T2*

Back

RF pulse

Front

decreases longitudinal magnetization and establishes a transverse magnetization

Back

Uncorrected PET

Front

hot skin, hot lungs

Back

PET

Front

proton converts to a neutron with positron emission positron and electron annihilate creating TWO 511 kEv photons that are emitted 180 degrees from each other which is detected by the PET scanner Computer assumes two 511 kEv photons travel in a straight line 2 criteria for photons to be considered a true coincidence pair and calculated along the Line of Response: 1. stay within 25-30% of the full width half maximum centered at the 511 photo peak 2. photons struck detector at nearly the same time If the photons meet with the above criteria and a Line of Response has been generated, that data will make a sinogram which is converted into a picture by iterative reconstruction

Back

PET limitation: scatter

Front

detectors try hard not to get fooled by having coincidence detection

Back

Pre FDG Prep

Front

Fast 4 hours if they eat or take insulin, drives FDG into muscles oral hydration frequent voiding decreases bladder dose no exercise for 24-48 hours metformin is ok to take. warm room, propranolol, diazepam given to prevent brown fat

Back

PET limitation: crystal thickness

Front

PET requires thick crystals to handle high energy 511 photons thick crystals limit resolution this is the primary limiting factor of resolution for PET

Back

T2

Front

transverse magnetization decay aka spin spin relaxation signal has decayed to 37% of its original value

Back

Smaller than 1cm and SUV

Front

smaller than 1cm = lower SUV

Back

Fat vs Skinny SUV

Front

SUV in fat people are overestimated (fat people- eat more sugar- hotter)

Back

PET limitation: positron range

Front

positron travels prior to annihilation event so the detectors cannot track the original location of emission

Back

PET has a lot more 10X more counts that SPECT so it has less mottle

Front

Back

You need an odd number of protons for MRI

Front

Back

Is T1 different in a stronger magnet?

Front

Stronger magnet makes T1 longer stronger magnet gives protons more energy so it takes longer for them to relax

Back

PET is a set of rings and detectors SPECT few cameras rotating around the patient

Front

Back

T1

Front

longitudinal relaxation aka spin-lattice relaxation involves exchange of thermal energy T1 defined as the time at which longitudinal magnetization is 63% of it's final value short T1 bright, long T1 dark

Back

Signal cannot be measured in the longitudinal direction

Front

Back

Truncation artifact PET

Front

The field of view is bigger in a PET scanner compared to a CT. Therefore if the patient is fat, a peripheral lesion may not be see on the CT but can be seen on the PET. Fat people can have artificially lower or higher SUVs in peripheral lesions secondary to FOV differences between CT and PET.

Back

What if it gets on my skin?

Front

wash with soap and water

Back

SPECT

Front

single photon system (unlike PET that uses 2 photons) slow, total scan time is 15 minutes uses iterative reconstruction to make the picture SPECT has the advantage of improved contrast from overlapping structures over planar imaging SPECT is depth-dependent (PET is not)

Back

True, Scatter, Random coincidence

Front

Back

The CT part of a PET scan is performed so you can see where things are and for attenuation correction

Front

Back

What if xenon leak?

Front

Leave room asap close the door

Back

Iterative reconstruction and SUV

Front

more iterations, higher SUV

Back

Time of flight

Front

uses quick detection to estimate the point of annihilation used for large objects iwht low contrast *improved spatial resolution and image contrast trivia: SUV measurements with TOF images are higher than those on standard PET

Back

Coordinate system MRI

Front

Back

Timing and SUV

Front

the longer you wait to scan, the higher the SUV

Back

Blank scan

Front

PET QA done daily performed with "nothing in the field of view" 2 methods: 1. By using positron 68Ge or 137Cs alone in the scanner 2. phantom filled with 511 keV positron emitting 68Ge/Ga

Back

What cases protons to lose their T2 relaxation?

Front

1. inhomogeneities in the external field 2. inhomogeneities in the actual tissues

Back

Larmor equation

Front

precession frequency = magnetic field strength in tesla X gyromagnetic constant

Back

3D system

Front

do NOT use septa pro: large increase in sensitivity and allows you to decrease amount of tracer you are giving cons: 1. dead time- you can overwhelm the detectors with high count rates 2. too many random events cause noise 3. lot of scatter

Back

PET deals with high energy 511 keV so requires thicker crystal Bismuth Germinate, Lutetium oxyorthosilicate (LSO), Lutetium Ytrium Oxyorthosilicate (LYSO) SPECT medium energy photons

Front

Back

Section 12

(50 cards)

Type 2 chemical shift artifact

Front

black line in all directions a fat water interface to fix: adjust TE spin echo sequence

Back

Inversion recovery

Front

*start with a 180 degree preparation pulse wait for the thing you want to saturate to hit its null point, and then slam it with a 90 degree pulse

Back

Spin echo

Front

90 RF pulse with 180 rephasing pulse 180 pulse administered at 1/2 TE 180 pulse given to improve heterogeneous field and gives T2, not T2 has a long TR, and long duration time

Back

Truncation/Gibbs

Front

high contrast interfaces both frequency and phase encoding, but more commonly in the phase encoding CSF-cord mimics syrinx limited sampling of free induction decay to fix: increase matrix decrease bandwidth decrease pixel size

Back

Zipper artifact

Front

stray RF signals defective shielding pulse ox monitor in the room to fix: close the door remove electronic devies repair RF shielding

Back

When do you deliver the 180 refocusing pulse?

Front

1/2 the TE or time to echo

Back

GRE

Front

gradient echo use flip angle less than 90 no 180 degree pulse faster acquisition bc the flip angle is less than 90 you get T2* bc there is no 180 degree pulse so you get more susceptibility artifact less heating and Specific absorption rate

Back

Better spatial resolution

Front

small voxel small field of view larger matrix thinner slices (large slice selection gradient, thin transmit bandwidth)

Back

Gadolinium and T2 effects

Front

At high concentration, T2 dominates pseudo layer from T2 shortening at high Gd concentration

Back

Better signal to noise

Front

noise is random variation in the signal that causes degradation larger voxel = better SNR stronger magnet long TR big FOV large slice (shallow slice selection gradient, thick transmit bandwidth) more NEX short TE small matrix small receiver bandwidth correct coil size

Back

Phase encoding is longer than frequency encoding so it is done on the thinner portion

Front

Back

Spin echo sequences will get rid of india ink but not chemical shift

Front

Back

K space is filled at each TR, TR contributes to the duration of the sequence.

Front

Back

Duration of a 2D study

Front

repetition time X number of phase encoding steps X number of excitations exception- fast spin echo and 3D imaging

Back

Fast spin echo duration equation

Front

1/ echo train length

Back

Type 1 chemical shift artifact

Front

bright on one side, dark on the other *frequency encoding direction (diff from most) fix: flip PE/FE use STIR increase receiver bandwidth

Back

Partial volume MR artifact

Front

different signal intensities overlap in a single volume results in averaging to fix: make pixels smaller

Back

Echo planar imaging

Front

EPI- noisy one fastest acquisition turn phase and frequency encoding on and off rapidly, fast filling of k space. DWI very vulnerable to magnetic susceptibility

Back

Motion artifact

Front

to fix: stop moving breath hold respiratory gating respiratory ordered phase encoding- phase encoding steps are ordered with respiration breathing navigator apply fat sat band across abdomen switch phase encoding direction blade/propeller to oversample center k-space resulting in redundant information for error correction

Back

Steps of a basic spin echo sequence

Front

Back

Flow on spin echo and gradient echo

Front

Spin echo: flow looks dark, moving blood gets hit with 90 degree pulse, moves out of the way before 180 pulse, so no signal Gradient echo: flowing blood looks bright

Back

Echo train length

Front

number of echoes in the same TR in fast spin echo sequence

Back

Contrast agent chart: Magnevist Multihance Eovist Gadavist

Front

Back

Modification relationship to SNR, SR, duration chart

Front

Back

Aliasing

Front

undersampling phase encoding direction fix: FOB bigger flip the PE/FE surface coils sat bands

Back

Phase encoding direction abd head breast

Front

shorter distance is used for the phase encoding direction abd- front to back head- side to side breast- side to side spine- sagittal direction

Back

Good and bad sequence for susceptibility artifact

Front

no susceptibly artifact- STIR more artifact- echo planar imaging and GRE (no 180 pulse)

Back

Gadolinium

Front

must chelate gado with DTPA to prevent toxicity causes T1 shortening bc it's paramagnetic with 7 unpaired electrons the T1 shortening gets stronger with stronger field strength

Back

Receiver bandwidth vs transmit bandwidth

Front

Back

STIR -less susceptible to metallic artifact and field inhomogeneity -cant be used with gadolinium bc it has a similar time to inversion as fat and will be nulled out

Front

Back

K space

Front

center- contrast periphery- spatial resolution

Back

Functional MRI

Front

increased blood flow to areas that are active resulting in a decrease of deoxyhemoglobin fMRI depends on the T2* effects of deoxyhemoglobin

Back

Magic angle artifact

Front

MSK tendon artifact angle 55 degrees seen short TE sequences like T1, PD, GRE NOT seen in T2 sequences with long TE to fix: high field strength results in greater T2

Back

Spin Echo vs Gradient Echo TR and TE

Front

Back

Fat saturation technique vs STIR

Front

fat sat technique is used with gado STIR cannot be used with gado Directions for fat sat: 1. select the fat peak 2. send an RF pulse at fat resonance, so they cannot give signal 3. everything else will give signal except for fat STIR: 180 pulse, followed by 90, good for metal artifact

Back

Thin slices

Front

Large slice selection gradient Thin transmit bandwidth

Back

Thick slices

Front

Small slice selection gradient Thick transmit bandwidth

Back

Fast spin echo

Front

apply multiple 180 RF pulses to reduce TR and duration of the study Echo train length- number of echoes in the same TR *T2 fat signal is longer with fast spin echo bc of J coupling interference Duration- 1/ echo train length

Back

Duration of a 3D study

Front

TR x Phase encoding steps x Number excitations x #slices 3D studies have better SNR but take longer so performed less

Back

B factor

Front

B factor controls how much ADC contributes to the study the higher the B factor, the greater the diffusion weighting B Zero = long TR, long TE, poor mans T2

Back

Proton density has excellent SNR

Front

Long TR - big FOV --> big voxels --> better SNR Short TE- small matrix --> big voxel --> better SNR

Back

1. Select the desired slice -place the gradient perpendicular to the desired plane 2. Encoding spatial information in the phase encoding direction 3. Encoding spatial information in the frequency encoding direction

Front

Back

ADC

Front

made by taking the negative logarithm from the difference between the B0 and B500-1000

Back

The phase matrix is another way of saying number of phase encoding steps or lines you need to fill

Front

Back

You must get the out of phase images at 2.2 msec. hepatic steatosis (microscopic fat)- dark on all out of phase hemochromatosis- gets darker on in phase which progresses over time

Front

Back

How to fix T2*

Front

Hit it with a 180 refocusing pulse that 1. turns T2* into T2 2. creates an echo

Back

T1, T2, PD TR TE

Front

Back

Cross talk artifact

Front

to fix: increase gap betweens actions interleave slices (all odds, all evens) 3D not susceptible to this artifact

Back

Receiver bandwidth

Front

fat bandwidth gives you rapid sampling of data, which picks up more noise, worse SNR narrow bandwidth gives you slow sampling of data, less noise, better SNR

Back

What makes a flow void?

Front

no flow: gets 90 and 180= makes an echo slow flow: gets some 90 and 180= makes an echo fast flow: gets 90, misses 180 = no echo

Back

Section 13

(50 cards)

MR Artifact chart

Front

Back

If there is a code in the scanner. MRI techs get pt out of the scanner, start CPR, stabilize pt, and get them out into zone 2 for the code team. you can code them in zone 3, but never zone 4

Front

Back

How to prevent bore from touching the skin?

Front

pad the skin

Back

Inhomogeneous fat suppression

Front

local field inhomogeneities cause fat protons to precess at different frequencies which prevents fat suppression to fix: STIR esp with metal

Back

Zone 4

Front

restricted room where the patient gets scanned

Back

Contrast agent safety

Front

nephrogenic systemic fibrosis GFR>30 to get contrast dialysis does not make it ok bc you can't dialyze the gado out

Back

MR scanner keeps the wires cold by submerging them in liquid helium

Front

Back

Kerma is the same as the absorbed dose with low energy photons, bc the photoelectric effect dominates. Kerma is more than the absorbed dose with high energy photons, bc photons shoot through and don't contribute to dose.

Front

Back

Noisy MRI sequence

Front

noise comes from the gradient coils gradient intensive sequences like echo-planar imaging are the loudest

Back

Eddy current

Front

occurs when gradients are turned on and off rapidly at bone brain interface most severe with DWI to fix: optimize the sequence of gradient pulses

Back

Exposure

Front

ability x-rays ionize air measured in Roentgens

Back

Dark blood sequence

Front

spin echo double inversion recovery- 2 consecutive 180 pulses good for anatomy

Back

Kerma

Front

stands for kinetic energy release per unit mass estimates how much primary energy gets transferred when you expose a person to x-rays

Back

Crisscross artifact / herringbone

Front

obliquely oriented stripes throughout the image data processing/ reconstruction error to fix: reconstruct the image again

Back

Absorbed radiation dose

Front

amount of energy absorbed per unit mass measured in Gy or Rads (1 Gy=100 rads)

Back

If you double the duty cycle (1/2 the TR), what do you do to the SAR?

Front

doubles

Back

Equivalent dose

Front

biologic effect corrected for by type of radiation Sievert

Back

Annual QC for MRI scanners

Front

performed by medical physicist magnetic field homogeneity slice position accuracy slice thickness accuracy radio frequency coil check display monitor check

Back

SAR equation

Front

specific absorption rate SAR = B02 x alpha2 X duty cycle B02- strength magnet squared alpha-flip angle squared duty cycle= cool down. longer TR- more cool down increasing your TR, decreases your duty cycle

Back

Inversion recovery cardiac

Front

nulls myocardium to look for delayed enhancement

Back

Effective dose

Front

biologic effect on tissue type Sievert closest measure of cancer risk bc it considers both radiation and tissue type

Back

Damage to fetal ossicles is a theoretical risk for fetal MRI

Front

Back

What sequence has the highest SAR?

Front

spin echo, bc has higher flip angles

Back

Pad areas between extremities and prevent them from touching each other which can cause burns

Front

Back

Implant rupture screening will NOT have contrast, but instead have fat and water saturated sequence (only silicone is bright)

Front

Back

Tissue doses are higher than air kerma bc x-ray interaction with tissue creates scatter and secondary electrons which contribute to dose

Front

Back

How to reduce neurostimulation during MRI?

Front

electrical currents result in painful neurostimulation typically in arms and legs were the gradient magnetic field is changing most rapidly occurs in high bandwidth readouts and rapid gradient switching (echo-planar imaging) to fix: 1. reduce readout bandwidth 2. increase TR

Back

Weekly QC for MRI

Front

performed by MRI techs center frequency table positioning set up and scanning geometric accuracy high contrast resolution verified by phantom low contrast resolution artifact analysis film quality control visual checklist

Back

5G Line

Front

Gauss exclusion zone magnetism outside of this line won't mess up implanted devices like pacemaker, insulin pump, vagus nerve stimulator this does not mean pulling won't occur

Back

Zone 1

Front

no restriction outside the building

Back

Collimation effect on air kerma and KAP

Front

Collimation increases air kerma bc of automatic bright control increasing the juice but decreases KAP

Back

Susceptibility artifact

Front

metal, ca, gado, bone air interface like sinus most severe with gradient echo lease severe with spin echo bc of the 180 degree refocusing pulse decreasing T2* to fix: use spin echo and fast spin echo instead of gradient echo reduce field strength high receiver bandwidth thin slices align the longitudinal axis of the metal implants with axis of the main field STIR does way better than selective fat suppression blooming artifact from metal clips worse on in phase bc it is done later (more timing = more blooming). the T2* effect worsens over time.

Back

Kerma area product (KAP)

Front

dose area product KAP = kerma dose X cross sectional area total radiation incident on the patient *independent of source distance geometric magnification increases entrance skin KERMA but does not change the KAP

Back

If you double the flip angle, what do you do to the SAR?

Front

quadruples

Back

Antenna effect

Front

abandoned intracardiac pacemaker lead results in the electric field coupling with the wire

Back

Dielectric effects / standing waves

Front

worse with stronger magnet large ascites bellies dark signal int he central abdomen to fix: apply dielectric pads parallel RF transmission

Back

Zone 2

Front

no restriction waiting/ dressing room screen patients

Back

If you double B0, what do you do to the SAR?

Front

quadruples

Back

Quench

Front

shut scanner down fast venting all liquid helium out of the room to the outside if there is a crack in the pipe, the helium will enter the room. it displaces the oxygen and pressure pins the door closed. a code in the scanner is not a reason to quench

Back

Signal flair in breast

Front

if the breast is too close to the cold element it will not fat sat and looks bright to fix: reposition the patient

Back

What are the SAR limits?

Front

FDA limits 4W/kg over 15 minutes 3W/hg over 10 minutes

Back

Zone 3

Front

restricted room control room for MR techs lock on door between zone 2 and 3

Back

Shimming

Front

improves field homogeneity combination of passive and active shimming is done passive shimming- phantom is scanned and shim plate positioned active shimming- uses the coil before or after each patient

Back

Chemical shift artifact in breast

Front

seen in the breast at the fat water interface corrected by increasing the bandwidth to capture both fat and water in the same phase

Back

Bright blood sequence

Front

gradient sequence SSFP- primary gradient sequence for wall motion and volume analysis. CINE.

Back

Medicated patches can burn the patient during MR

Front

Back

FDA max for noise in MRI

Front

140 dB for MR 99dB for patients with hearing protection

Back

Motion breathing cardiac in breast

Front

breathing and heart beating is corrected for by running the phase encoding direction side to side

Back

Translational force

Front

getting pulled into the magnet don't bring o2 tank into zone 4 transitional force has nothing to do with the 5G line

Back

High yield trivia: KAP represents the total energy incident on the patient KAP does not indicate risk of skin burns KAP is a good indicator of stochastic risk Air kerma is an indicator of deterministic risk

Front

Back

Section 14

(50 cards)

Radon (alpha emitter) is the single largest contributor to effective dose

Front

Back

Radiation induced sterility in males has a latent period between irradiation and sterility

Front

Back

8-15 weeks is the most vulnerable time

Front

Back

Final number of double stranded DNA breaks is more important than the initial number of breaks bc some will be repaired.

Front

Back

Double stranded DNA breaks are the most important lesions caused by x-rays

Front

Back

Stochastic

Front

shit happens follows a linear quadratic no threshold model committed dose- stochastic vocab word- means probability of cancer induction and genetic damage

Back

Survival curve

Front

repair shoulder- when repair mechanisms can work the repair shoulder only exists with low LET radiation curves higher dose rate makes a smaller repair shoulder and a steeper drop in the curve oxygen will make a steeper drop in the curve

Back

Radiation induced sterility in females causes menopausal symptoms

Front

Back

Deterministic

Front

x amount of radiation causes x effect *once you cause the threshold, you get the result *after you cross the threshold, the more dose you get, the more severe that thing gets

Back

First 2 weeks of implantation 50-100mGy causes fetal loss. If the fetus survives, she will have no lasting effects. All or nothing.

Front

Back

Cell phase order of sensitivity

Front

most sensitive during mitosis M>G2>G1>S G1 phase is the most variable in length

Back

Syndrome with most sensitivity to x-rays

Front

ataxia telangiectasia

Back

What is the most sensitive blood cell in the body?

Front

lymphocytes dose of 0.25 Gy is enough to depress the amount circulating in the body

Back

After 15 weeks, the brain is less sensitive to radiation

Front

Back

Risk of radiation induced cancer 1 Sv = 5.5% chance of developing cancer

Front

Back

What is the most radiosensitive part of the body?

Front

GI tract

Back

Transient skin erythema can be seen in hours with the main wave occurring after 10 days

Front

Back

Teratogenicity of radiation is dose and time dependent

Front

Back

Fetal thyroid dose NOT take up iodine prior to week 8. so if mom gets I-131 prior to week 8, the fetus will not be hypothyroid.

Front

Back

Kill effect

Front

As LET increases, RBE will increase to a certain point Above 100 keV/micrometer of tissue, RBE decreases with increasing LET

Back

Damage to tissues is result of electron ionization

Front

Back

Acute radiation syndrome

Front

clinical response when the body is hit with a large amount of radiation 4 phases: 1. flu symptoms 2. then you feel better during the latent phase 3. then your syndrome subtype manifests according to the chart 4. then you either recover or die

Back

Lethal dose 50/30

Front

Dose kills 50% of people in 30 days *LD50/30 for a person is around 3-4Gy without treatment

Back

Latency

Front

time between radiation exposure and cancer leukemia has the shortest latency 5-7 years

Back

Malmo rooms drywall should be

Front

2 layers of 5/8 in dry wall

Back

Relative biologic effectiveness

Front

capability of radiation with different LETs to produce a particular biologic reaction RBE = dose of 250 kV x-rays / dose in Gy of test radiation

Back

Cataracts caused by radiation are in the posterior lens

Front

Back

Deterministic vs stochastic effect chart

Front

Back

risk of radiation induced cancer in adult, child, elderly

Front

adult: 4-5% risk per Sv child: 15% per Sv 1/10th that for someone older than 50

Back

Low LET radiation cases single strand breaks which can be repaired High LET radiation cases double stranded breaks which are harder to repair mutation results when the radiation change the nitrogenous base which is transferred when the cell divides

Front

Back

Male gonad shield

Front

placed just below the pubic symphysis

Back

Law of bergonie and tribondeau

Front

cell sensitivity directly related to reproductive activity and inversely related to their differentiation more a cell turns over like skin, blood, gi tract, reproductive cells, more sensitive they are the less turn over and more differentiated they are brain, nerves, muscles, the less sensitive they are

Back

60% of x-ray damage to biologic material is mediated by free radicals

Front

Back

Triaging patients with possible acute radiation syndrome

Front

the earlier the symptoms appear, the worse pt will do *early vomiting marker of severity / poor prognosis

Back

Carcinogenic by radiation is stochastic (all or nothing) based on Beir 5 or UNSCEAR committees

Front

Back

total body dose of 0.75 - 1.25 Gy will cause nausea 30% of the time

Front

Back

Mammo doors should be equivalent to 1 mm of steel

Front

Back

Female gonad shield

Front

placed 1 inch medial to the anterior superior iliac spine and covers from the pubic symphysis to the sacrum

Back

Doses over 100-200 mGy associated with reduced head diameter and mental retardation

Front

Back

Working population has a risk of 4-5% / Sv for cancer

Front

Back

IQ drops 30 points per 1 Sv with the reins of retardation being 40% at 1 Sv

Front

Back

Radon workers get more lung cancer

Front

Back

Oxygen enhancement ratio (OER)

Front

biologic tissue is more sensitive to radiation in an oxygenated state OER only matters for low LET radiation

Back

Takes a low dose to increase risk of childhood leukemia (just a few radiographs)

Front

Back

Direct vs indirect ionization radiation, including chart.

Front

direct- act directly on DNA indirect- act on water majority of irradiation is the result of indirect action on water creating free radicals

Back

Majority of energy received by biologic material from x-rays is transferred by electrons

Front

Back

Greatest source of exposure to ionization radiation for the general population of the US DUE TO HUMAN ACTIVITY is medical imaging

Front

Back

Radiation induced sterility in males does NOT affect hormone levels or libido

Front

Back

X-ray or gamma ray dose of 1000 Gy in a period of second/minutes will cause instant death of a large number of cells

Front

Back

Linear energy transfer

Front

average amount of energy deposited per unit path 2 types: 1. High LET- neutrons, protons, alpha particles, heavy ions- much more damaging 2. Low LET- photons, gamma rays, electrons, positrons

Back

Section 15

(2 cards)

For MRI you must have controlled access so the field outside does not exceed 5 Gauss

Front

Back

SAR should not exceed 4W/kg for whole body for 15 minutes

Front

Back