Section 1

Preview this deck

Number 1 leading cause of Death in the United States

Front

Star 0%
Star 0%
Star 0%
Star 0%
Star 0%

0.0

0 reviews

5
0
4
0
3
0
2
0
1
0

Active users

0

All-time users

0

Favorites

0

Last updated

6 years ago

Date created

Mar 1, 2020

Cards (132)

Section 1

(50 cards)

Number 1 leading cause of Death in the United States

Front

heart disease- 633,842 deaths

Back

Structural disease

Front

Involve PHYSICAL and BIOCHEMICAL changes. actual chages occur in cell. These changes may be the result of heredity disorders, inflammatory diseases, physical injury, tumors. All can cause changes in cells.

Back

Cystic Fibrosis

Front

production of abnormally thick mucus in the respiratory system Caused by GENETIC DEFECT, occurs 1 in every 2000 births, FAMILY HISTORY OF CF Increased sodium levels in sweat can be used to diagnose patients Treat with aerosols (bronchodilators & antibiotics) Poor prognosis - death by age 30

Back

number 6

Front

Alzheimers-110,000

Back

Define Etiology

Front

study of the cause of a disease

Back

Define Inflammation

Front

Another body response to injury, localizes and isolates toxic substances while destroying the organism involved.

Back

This type of injury is assocuated with atrophy. SLOWER ONSET and is usually long lasting. Occurs after a longer period of time

Front

Chronic injury

Back

Define Idiopathic Disease

Front

A disease where the cause is unknown

Back

This type of injury has a SUDDEN ONSET and runs a SHORT severe course. Lack of oxygen, trauma, infection, hypersensitivity For example a bruise. It occurs suddenly as the result of this kind of injury

Front

Acute Injury

Back

Define necrosis

Front

The death of cells. Result of acute injury.

Back

What is a cells initial response to injury?

Front

Degeneration

Back

Define manifest

Front

After injury the sequence of events that occur in the body will usually result in the disease becoming apparent

Back

True or False The amount of cell degeneration depends on severity of injury

Front

True

Back

Define Atrophy

Front

A wasting of any part of the body. Disuse atrophy. Longer it goes on the more atrophy that occurs

Back

Define Symptoms

Front

changes that are perceived by the patient. Headache, nausea. subjective

Back

Define repair

Front

the body's attempt to return to normal.

Back

Define Transudate

Front

Watery fluid that passes through a membrane or tissue and is due to INCREASED HYDROSTATIC or DECREASED OSMOTIC pressure in the vascular system. Low prpotein content and tend to be generalized, and quite wattery.

Back

number 4

Front

accidents 146,571

Back

number 5

Front

strokes or cerebrovascular diseases

Back

Does fibrous or connective tissue repair have the same structure or function as the original?

Front

No

Back

Leukemia

Front

cancer of blood

Back

Define endogenous agents

Front

include vascular insufficiency, immune reactions, changes in metabolism

Back

What type of tissue repair is known as scarring or fibrosis?

Front

Connective tissue repair

Back

What are the 4 types of cancer?

Front

Carcinoma Sarcoma Leukemia Lymphoma

Back

Define Signs

Front

abnormal changes that are interpreted by the physician or health professional. Lung or heart sounds objective

Back

Define Exogenous agents.

Front

include trauma, chemical injury, microbial infection (viral and bacterial infections)

Back

Wattery protein poor fluid that develops in the lungs as a result of congestive heart failure is an example of an

Front

transdate

Back

Define Pathology

Front

study of diseases that cause abnormalities in the structure or function of organ systems

Back

Define benign tumor

Front

is the least serious and seldom lethal. It CAN be fatal if it invades areas of the brain and destroys those areas.

Back

Cloudy, thick, protein rich fluid that develops as the result of a burn is an example of an

Front

exudate

Back

Degeneration

Front

is the initial cell response to injury. The amount of cell degeneration depends on severity of injury.

Back

Lymphoma

Front

cancer of lymphatic system

Back

Define Hyperplasia

Front

is an increase in the number of cells in a tissue and is an exaggerated response to various stimuli. i.e (the enlargement of an organ or tissue caused by an increase in the reproduction rate of its cells) Usually receded when the cause of hyperplasia is identified. It will usually go away. Cysts or goiters

Back

Define malignant tumor

Front

or cancer is uncontrolled in its growth. It invades adjacent areas and spreads through the body, blood stream, lyymphatic system

Back

Growth disturbances

Front

are any type of lesion or tissue mass that is characterized by the proliferation (increase in number) of cells. The greater the rate of proliferation or reproductive ability of a cell, the greater the disease potential

Back

Carcinoma

Front

originates in EPITHELIAL tissue

Back

Define acute injury

Front

an injury that occurs suddenly during activity, often a sprain or strain.

Back

The five leading causes of death account for 75% of deaths in the United States.

Front

Number 1 - heart disease- 633,842 deaths Number 2- cancer 595,930 Number 3- COPD 155,041 Number 4- accidents 146,571 Number 5- strokes or cerebrovascular diseases Number 6- Alzheimers-110,000

Back

Sarcoma

Front

cancer of connective tissue

Back

Define Functional Diseases

Front

Any disease that has no lesion. So no cellular changes. mental illness, spastic colon, tension headaches, (real diseases but no actual changes occur in cells) i.e. medical condition that impairs normal functioning of bodily processes that remains largely undetected under examination

Back

number 3

Front

COPD 155,041

Back

Define Lesion

Front

any type of cellular changes. If lesion is present a cellular change has occurred

Back

True or False The greater the rate of proliferation of a cell, the greater the disease potential

Front

True

Back

number 1

Front

heart disease- 633,842 deaths

Back

number 2

Front

cancer 595,930

Back

Define Exudates

Front

Exudates are a cloudy, thick, PROTEIN RICH fluid. Associated with certain types of injury like burns. Fluid that develops around the burn

Back

What 2 agents cause structural changes?

Front

Structural changes are started by two types of agents - exogenous and endogenous

Back

Define Regeneration

Front

is the replacement of dead tissue with new tissue that is identical in structure and function as the original.

Back

Define Disease

Front

pattern of response the body makes to some form of injury

Back

Define Neoplasm

Front

Abnormal proliferation of cells (increase in number) that are no longer controlled by the factors of growth that normal cells are. i.e a new and abnormal growth of tissue in some part of the body, especially as a characteristic of cancer.

Back

Section 2

(50 cards)

Cholecystitis/cholelithiasis:

Front

inflammation of gallbladder/gallstones Etiology: cystic duct is obstructed by MUCUS or STONES causing bile to back up and irritate the wall Signs and symptoms: belching, heartburn, increased fullness after eating, WORSE AFTER A MEAL HIGH IN FAT Diagnosis: cholecystogram or ultrasound Treatment: diet or surgical removal or gallbladder

Back

One way Cystic Fibrosis can be diagnosed

Front

Increased sodium levels in sweat

Back

Asthma:

Front

Spasmodic constriction of the bronchi. Etiology: extrinsic (such as pollen, dust, air pollutants, animal dander) is usually due to an allergic reaction. Allergic sensitivity = 50%. Intrinsic (such as tonsillitis, adenoids, or sinus infection) occurs secondary to existing bronchial infections. Mixed is a combination of the two. Signs & Symptoms: Recurrent dyspnea with wheezing, difficulty with expiration. Diagnosis: chest x-ray - Sometimes. During attack may have lung hyperinflation, flattened diaphragm. Recurrent attacks = mucus lines bronchi, which can lead to atelectasis. Treatment: Bronchodilators, antihistamines, oxygen. If allergic reaction, patient needs to know what it is and avoid it and know how stress affects their asthma.

Back

Achalasia:

Front

gastroesophageal sphincter (esophagus into stomach) fails to relax, causing an obstruction Etiology: unknown Signs and Symptoms: progressive dysphagia, feeling of being full Diagnosis: barium swallow, tapered narrowing of distal esophagus Treatment: low-bulk, bland diet, chew food thoroughly

Back

Adult Respiratory Distress Syndrome:

Front

SUDDEN respiratory failure due to the inability of the alveolar capillaries to exchange air and gases Can be caused by acute alveolar injuries such as toxic inhalation, septic shock, near drownings, severe burn cases, and post surgery patients. -radiographs show wide spread fluid consolidation of the lungs.

Back

Hepatitis B is more common in

Front

drug users and homosexuals

Back

What type of radiographs should be taken to demonstrate a pleural effusion

Front

Chest x-rays and a lateral decubitus chest. Doing a lateral decubitus helps differentiate from other respiratory diseases/pathologies.

Back

Bifid collecting System

Front

duplication of the renal collecting system, can involve the renal pelvis or the ureters, MOST FREQUENT ANOMALY Etiology: congenital Signs and Symptoms: NO signs and symptoms Diagnosis:IVP Treatment: none needed, unless there is an infection

Back

Diverticulosis/Diverticulitis

Front

- a pouch or sac-like herniation of the mucous membrane lining through a defect in the muscular wall of the LARGE bowel. If it becomes inflamed, it is diverticulitis. Etiology - a low-fiber diet leads to a weakening of the bowel wall, causing diverticulosis. The accumulation of feces in the pouches results in diverticulitis. Signs & Symptoms- hemorrhage, pain in abdomen, constipation or diarrhea. Diagnosis- BE Treatment - diverticulosis - none; diverticulitis - high residue diet, antibiotics, antispasmodics, surgery if necessary.

Back

Most common site for duodenal ulcer is

Front

In the bulb

Back

Polycystic Kidneys

Front

INHERITED DISEASE; multiple cysts in the kidneys causing impairment of renal function Etiology: GENETIC DEFECT Signs and symptoms: ASYMPTOMATIC FOR 30-50 YEARS, lower abdominal pain, and blood in urine. As patient ages the cysts enlarge causing compression of tissue which may cause ischemia (inadequate blood supply) Diagnosis: IVP, CT, retrograde pyelogram, MRI, ultrasound Treatment: no cure

Back

Most common site for gastric ulcer is

Front

lesser curvature

Back

What positions allow better visualization of esophageal varicies?

Front

Valsalva maneuver

Back

Cirrhosis

Front

chronic liver disease characterized by diffuse destruction of hepatocytes WITH FIBROTIC REGENERATION (scar tissue) MORE COMMON IN MEN most of the liver damage is the result of malnutrition; biliary cirrhosis is the result of any disease that reduces or blocks the flow of bile through the ducts; Prognosis- is poor. Many die within 5 years

Back

Hiatal hernia

Front

herniation of the stomach through the cardiac sphincter Etiology: can be congenital or acquired Signs and symptoms: gastric reflux, heartburn, feeling of being full Diagnosis: UGI, TRENDELENBURG and VALSALVA MANEUVER to visualize herniation Treatment: avoid spicy foods, remain erect after meals, head elevated while sleeping

Back

Ureterocele

Front

herniation of DISTAL ureter into the bladder (obstruction) Congenital stenosis of URETEROVESICAL JUNCTION Obstruction causes pain and hematuria IVP for diagnosis Surgical removal of distal ureter

Back

NephroCALCinosis:

Front

NOT KIDNEY STONES irregular deposits of CALCIUM in the KIDNEY TISSUE. Etiology: OCCURS AS A RESULT OF ANOTHER DISEASE THAT CAUSE A DISTURBANCE IN CALCIUM METABOLISM Signs and symptoms: pain, blood in urine Diagnosis: Abdomen xray, IVP Treatment: high fluid intake, identifying the underlying disease and treat that

Back

Which hepatitis type is often referred to as serum hepatitis and has a more GRADUAL ONSET and a HIGHER MORTALITY RATE

Front

Hepatitis Type B

Back

Esophageal varices

Front

dilated, tortuous veins of the distal esophagus -Result of increased pressure in portal venous system -Diagnosis: abdomen series, barium swallow, endoscopy, WAVE LIKE APPEARANCE, Valsalva maneuver to visualize better reatment: VASSOPRESSIN to contract the vessels and reduce hemorrhaging, surgical bypass surgery to redirect blood flow and DECREASE VENOUS PRSSURE (less venous pressure means veins wont be as enlarged

Back

Esophageal diverticula

Front

-outpouchings of esophageal wall -Diagnosed by barium swallow Signs and symptoms: asymptomatic at first, DYSPHAGIA (difficulty swallowing) Treatment: bland diet, chewing food thoroughly, water after eating, surgical removal may be needed

Back

What causes hepatitis B?

Front

Contaminated BLOOD

Back

How are the different hepatitis types usually differentiated?

Front

patient's history usually differentiates type A from type B & C.

Back

What is used to diagnose a bifid collecting system?

Front

IVP

Back

The string sign is associated with

Front

pyloric stenosis and chrons disease

Back

Horseshoe Kidney

Front

congenital deformity where lower poles of kidneys are fused Etiology: CONGENITAL Signs and symptoms: doesn't impair renal function, no symptoms typically Diagnosis: abdomen x-ray, IVP Treatment: none needed

Back

Bronchitis

Front

Widespread inflammation with thickening of the bronchial walls and the secretion of mucus. (The inflammation causes the walls to narrow) Inflammation impedes passage of air in bronchi/bronchioles. In severe cases, bronchial obstruction can occur. Etiology: HEAVY SMOKERS, LONG TERM EXPOSURE TO POLLUTANTS, SECOND HAND SMOKE signs and symptoms-PRODUCTIVE COUGH FOR AT LEAST 2 MONTHS OR 2 CONSECUTIVE YEARS Treatment: Remove causative agent (such as smoking, air pollution), antibiotics, respiratory therapy with medications can reduce spasms.

Back

What types of radiographs should be taken for better visualization of a volvulus?

Front

AP, lateral & decubitus radiographs of the abdomen

Back

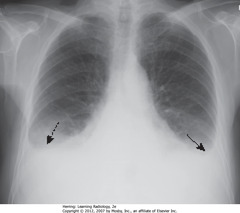
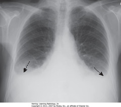
What would you expect a chest x ray to look like for a pleural effusion?

Front

costophrenic angles are blunted or totally lost because of fluid.

Back

Chronic Obstructive Pulmonary Disease (COPD):

Front

A nonspecific chronic condition of persistant obstruction of BRONCHIAL AIRFLOW. Associated with long term respiratory diseases - asthma, emphysema, TB, bronchitis. -Early symptoms are dyspnea & mild persistent cough with sputum production. Eventually patient becomes fatigued from any physical activity. -elongated cardiac shadow, aortic arch is prominent, increased radiolucency in lower lung field, diaphragm usually flattened. Treatment: Usually consists of preventing further complications. Bronchodilators, oxygen, antibiotics. Prognosis: Not good since COPD occurs as a RESULT OF NUMEROUS INSULTS TO THE RESPIRATORY SYSTEM

Back

Pulmonary Edema:

Front

Excessive fluid in the ALVEOLI OCCURS OFTEN AT NIGHT -Cold, clammy skin; tachycardia and tachypnea; low BP

Back

What type of infection is hepatitis

Front

viral

Back

Hepatitis

Front

characterized by destruction of hepatocytes (liver cells).caused by hepatitis virus Etiology - Type A: More common in children and ADULTS OF low econ status. Acute onset and reasonable prognosis. Type B: is referred to as serum hepatitis and has a more gradual onset and a higher mortality rate. Type C: used to be common in blood transfusions. Type A is caused by congestion of contaminated water or food. Type B and C are acquired from contaminated blood. All viral. Signs & Symptoms- malaise, fatigue, anorexia, fever. Eventually necrosis of hepatocytes, jaundice, and hepatomegaly. Diagnosis - patient's history usually differentiates type A from type B & C. Type B more common in homosexuals and drug users. Abdomen radiograph. Treatment - bed rest, patient's diet should contain ample calories & protein, meds for nausea & vomiting.

Back

What is used to diagnose a Horseshoe Kidney?

Front

IVP

Back

What causes hepatitis A?

Front

Contaminated food or water

Back

Volvulus

Front

a loop of bowel twisting on itself. Etiology - may result from an ingested foreign body, adhesions or an unknown cause. Signs & Symptoms- vomiting, marked abdominal distention, severe abdominal pain. Diagnosis - AP, lateral & decubitus radiographs of the abdomen, barium enema. Shows SMOOTH TAPERED NARROWING Treatment - careful insertion of a sigmoidoscope can usually correct a volvulus in the sigmoid region

Back

What causes hepatitis C?

Front

Contaminated BLOOD

Back

Bladder diverticula

Front

outpouchings in the wall of the urinary bladder Etiology: congenital defect(from birth) or a result of inflammation or chronic obstruction Signs and symptoms: often asymptomatic, but symptoms include inability to urinate, UTI, or blood in the urine Diagnosis: VOIDING CYSTOGRAM, IVP post void X-ray Treatment: fluids and antibiotics, possible surgery to remove diverticulum

Back

Vesicoureteral Reflux

Front

occurs when urine flows backwards form the bladder into the ureters. OCCURA MOSTLY IN YOUNG CHILDREN AGES 3-7. can occur bc of inflammation of the bladder. Etiology: may be genetic Signs and symptoms: UTI, frequent urination, blood in urine. Diagnosis: IVP which will show dilated ureters, voiding cystourethrogram will show degree of reflux. Treatment: antibiotics if infection occurs.

Back

Signs and symptoms of hepatitis

Front

malaise, fatigue, anorexia, fever. Eventually NECROSIS OF HEPATOCYTES, jaundice, and hepatomegaly (ENLALRGED LIVER)

Back

Hydronephrosis (NOT KIDNEY STONES):

Front

a primary dilation of the renal pelvis and calyces (swelling of the kidney due to build up of urine) most of the time its from kidney stones. Etiology: can be congenital, ureteral tumor, structure, blood clots, or inflammation, but most frequently it is due to stones in the ureters. Bilateral hydronephrosis is caused from a blockage from the base of the bladder or urethra. Signs and symptoms: pain(dull to sharp), pus/blood in urine. Diagnosis: IVP, Retrograde pyelogram, CT Treatment: removal of the calculi through surgery or lithotripsy.

Back

Pleural Effusion

Front

An accumulation of an exudate or transudate in the pleural cavity. (Not in the lung itself, just the pleural cavity) Treatment: Because pleural effusion can compress the lung (can cause atelectasis) & cause collapse, it is important that the fluid be removed. If large amounts of fluid, a chest tube may be used. Antibiotics for infection.

Back

Renal Calculi (KIDNEY STONES):

Front

calculi in the renal collecting system. RECURRANCE IS VERY HIGH IF SOMEONE HAS HAD STONES BEFORE. Dehydration and obstruction are both common when stones are present. Etiology: 50% of persons with calculi have an abnormality of metabolism that accelerates the stone formation. GOUT and LEUKEMIA can both cause stones to form as well. Signs and Symptoms: Lots of pain, constant dull pain when obstruction occurs, also can have nausea, vomiting, and chills when stone is moving through ureters. Diagnosis: abdomen xray, IVP Treatment: lithotripsy, analgesics, increased fluids.

Back

What is used to diagnose polycystic kidneys

Front

IVP, retrograde pyelogram, MRI, ultrasound

Back

Hepatitis A is more common in

Front

children and low economic status individuals

Back

Hyaline Membrane Disease (Respiratory Distress Syndrome)

Front

incomplete maturity of surfactant cells (lungs). PRESENT IN NEWBORNS -Appears 24 hours after birth -Related to prematurity, c-sections, and diabetic mothers -Treat with warm, humidified air through a respirator -AFTER 72 HOURS BABY RECOVERS QUICKLY

Back

What positions allow better visualization of hiatal hernia

Front

Valsalva maneuver and trendelenburg

Back

Pancreatitis

Front

inflammation of pancreas Etiology: common in ALCOHOLIC MEN and WOMEN WITH BILIARY DISEASE Signs and symptoms: severe abdominal pain radiating to back, nausea, vomiting, jaundice Diagnosis: abdomen x-ray (dilation of bowel and calcifications in pancreas seen), labs, CT, ultrasound Treatment: pain relief drugs, maintain fluid levels to prevent shock, no alcohol and healthy diet

Back

Atelectasis (collapsed lung)

Front

collapse of all or part of a lung. Can be acute or chronic. May be caused by obstruction of a bronchus or by compression of the lung. Obstruction can be FOREIGN BODY or MUCUS PLUG or compression of lung. Large lymph nodes can be pressing on lungs or tumors. Treatment - removal of obstruction or compressing agent. Whatever is causing it has to be removed -DIFFICULT TO PENETRATE

Back

Hepatitis Type C

Front

used to be common in blood transfusions.

Back

Primary Obstructive Megaloureter

Front

Primary Obstructive Megaloureter: Obstruction of the ureter. Etiology: may be congenital, could be form stones in the ureter. \ Signs and symptoms: pain, blood in urine Diagnosis: IVP: sometimes the IVP can cause the obstruction to loose. Treatment: removal of the obstruction

Back

Section 3

(32 cards)

Define Silicosis

Front

small discrete nodular lesions that take on egg shell calcifications

Back

When is cholecystitis usually worse

Front

After eating a meal high in fat

Back

-asbestosis

Front

a lung disease resulting from the inhalation of asbestos particles "ground glass" or "honeycomb" appearance pleural thickening

Back

Respiratory diseases that are easy to penetrate

Front

Pneumothorax Lung abscess Emphysema

Back

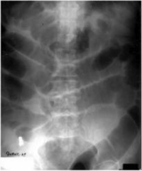
Bowel Obstruction

Front

Bowel Obstruction Description- both the small and large bowels are nearly always active in peristalsis Mechanical Bowel Obstruction Description-one in which the lumen of the bowel becomes occluded due to trapped hernia, tumors, volvulus, intussusception, crohn's disease, appendicitis Etiology- most often occurs postoperatively from adhesions Signs and symptoms- vomiting with bile, abdominal distention, and pain Diagnosis- sequential radiographs taken over 12-24 hours show gas in small bowel with multiple air/fluid levels. Erect/Decubitus films show step ladder appearance Treatment- decompression of the intestine to remove gas and surgery to remove the causative agent

Back

Where do duodenal ulcers usually occur?

Front

In the bulb

Back

Hirschsprung's Disease

Front

Description- an ABSENCE OF GANGLION CELLS in the rectosigmoid region. In a child with Hirschsprung disease, stool moves through the bowel until it reaches the part lacking nerve cells. Etiology- Peristalsis lacks in certain parts of the colon. Mainly affects MALES ages 6 to 7, more than females. Thought to be a familial congenital defect. Signs & Symptoms- gas, distension, constipation. Diagnosis- barium enema, rectal biopsy. DILATED SIGMOID COLON AND LARGE AMOUNTS OF FECES Treatment- IMMEDIATE RESECTION OF THE SECTION INVOLVED IS NECESSARY

Back

What type of appearance does paralytic ileus typically take on a radiograph

Front

step ladder appearance

Back

The terminal ileum

Front

The terminal ileum is the distal end of the small intestine that intersects with the large intestine.

Back

anthracosis

Front

anthracosis or "COAL MINERS DISEASE": inhalation of coal dust small opacities & in advance stages there are cavitary lesions

Back

Coiled spring sign

Front

Back

What type of radiographs are helpful in showing a pneumothorax?

Front

Lateral Decubitus INSPIRATION AND EXPIRATION CHEST X-RAYS

Back

berylliosis

Front

exposure to beryllium dust.

Back

Colonic Polyps

Front

Description- these are small masses of tissue which grow off the bowel wall and project inward into the lumen. Etiology- unknown. frequently in left colon & sigmoid. Can become malignant. Signs & Symptoms- rectal bleeding, constipation, diarrhea, sometimes asymptomatic. Diagnosis-AIR CONTRAST BARIUM ENEMA sigmoidoscopy and colonoscopy. Contour defects. Treatment- usually removed because of the potential for malignancy.

Back

Where do Gastric ulcers typically occur?

Front

most frequently occur in the lesser curvature.

Back

Paralytic Ileus

Front

Description- FAILURE OF NORMAL PERISTALSIS Etiology- most commonly occurs following surgery and intraperitoneal or retroperitoneal infection. Adynamic ileus. Certain drugs can cause this. Signs & Symptoms- Abdominal pain, diarrhea, VOMITING WITHOUT NAUSEA Diagnosis- Abdomen radiograph. Intestinal gas/fluid on films. Step ladder appearance. Treatment- MEDICAL STIMULATION OF THE BOWEL TO RESTORE PERISTALSIS.

Back

String sign is typically associated with?

Front

Chrons disease and pyloric stenosis

Back

Emphysema

Front

Description: an irreversible over aeration or dilation of the air spaces accompanied by destruction of the walls of the ALVEOLI. Develops slowly.(a condition in which the air sacs of the lungs are damaged and enlarged, causing breathlessness) Etiology: associated with chronic inflammation such as in heavy smokers MOST COMMON CHRONIC DISEASE OF THE LUNG Can be detected as early as adolescence. Most likely shows between 50-80 years old. Major causes of death in industrialized countries (More air pollutions) Signs & Symptoms: progessive dyspnea, chronic cough, develop barrel chest, can lead to chronic complications Diagnosis: chest radiographs-large oversized chest & lung, area of radiolucency, diaphragms are flattened, easy to penetrate (air) Treatment: elimination of smoking & air pollutants, bronchodilators to reduce broncho spasms Prognosis-poor

Back

Intussusception

Front

a telescoping of a part of the bowel into an adjacent distal portion. 95% of cases involve children. 87% before the age of 2. Etiology- when it occurs in children, the cause is unknown. In adults it occurs in relation to polyps, carcinoma, and diverticulum. Normal peristalsis accelerates. Edema and hemorrhage. Bowel can become gangrenous. Signs & Symptoms- intermittent/severe abdominal pain, abnormal stools, tender distended abdomen. Diagnosis- barium enema. COILED SPRING SIGN. Ileum telescopes into colon. Treatment- IN CHILDREN THE BARIUM ENEMA ISELF CAN REVERSE THE CONDITION In adults, surgery is usually necessary to manually push the bowel back in position. If that is unsuccessful, a bowel resection is performed.

Back

Lung abcess and Empyema

Front

Lung abcess and Empyema Description-a localized spherical lesion. When puss develops in the lesion you get the abcess. Etiology- caused by an organism that invades the tissue and eats away at it. Signs and symptoms-Bloody and foul smelling sputum, chest pain, sweating, fever, dyspnea. Diagnosis-chest radiograph, if it's early on its easy to penetrate because microorganism is eating at tissue. As it advances and the pus forms you get empyema because of the buildup. Treatment-if an open wound occurs, warm moist applications help drain pus. Prognosis- good with proper care

Back

When does pulmonary edema often occur?

Front

often at night

Back

what part of the lungs does emphysema damage

Front

the alveoli

Back

Bronchiectasis

Front

Diagnosis: a WEAKENING of the wall of the bronchus due to chronic inflammation. (not to be confused with bronchitis which is inflammation of bronchus which cause bronchi to constrict.) Etiology: can be congenital or result of bacterial infection Signs & Symptoms: PERMANENTLY DILATED, affects lower lobes bilaterally, bad smelling secretions Diagnosis- chest x ray Treatment- palliative since the dilation of the bronchi is permanent -bronchodilators to keep air moving through lungs Peribronchial thickening or scattered oral or circular cystic spaces which can take on honeycomb look

Back

What is the most common chronic disease of the lung?

Front

emphysema

Back

What do duodenal ulcers usually look like on radiograph?

Front

Clover leaf appearance will demonstrate duodenal ulcers.

Back

Crohn's Disease

Front

Description- a chronic enteritis which primarily affects the TERMINAL ILEUM, but can occur in other areas Etiology- unknown Signs and symptoms-RIGHT LOWER QUADRANT PAIN cramping, gas, nausea, diarrhea, bleeding (ranges from minimal to massive) Diagnosis-barium enema shows the loops involved appearing to be separating, string sign, cobblestone appearance Treatment- anti-inflammatory drugs, physical rest, low fiber diet in some cases, in others a low fat diet, surgery if obstruction, hemorrhage, perforation About 70% require surgery but often comes back in another part

Back

Peptic Ulcers

Front

Description- chronic injury of the GASTRIC and DUODENAL MUCOSA Duodenal ulcers-usually occur in the bulb (95% of ulcers in bulb) Gastric ulcers most frequently occur in the lesser curvature. 10% of the population may have ulcers Duodenal ulcer complications- stenosis, perforation, hemorrhage Gastric ulcer complications-stenosis, perforation, come back as gastric carcinoma, hemorrhage Etiology-it is now believed that a bacterium, helicobacter pylori, is the most common cause of ulcers Used to be thought as result of stress and spicy food Smoking, alcohol, aspirin, spicy foods, and stress can make a present ulcer worse Signs and symptoms- annoying, burning pain in upper abdomen that is often relieved by eating, nausea, vomiting, loss of appetite Diagnosis-UGI will show collection of barium. If ulceration active-->area not filling with barium. Clover leaf appearance will demonstrate duodenal ulcers. Treatment-antibiotic treatment eat several small meals instead of the usual three large meals per day, no spicy foods, no alcohol, no smoking, no analgesics or steroids, avoid emotional stress, in severe cases surgical resection. Avoid irritants.

Back

What is believed to be the primary cause of most ulcers

Front

it is now believed that a bacterium, helicobacter pylori, is the most common cause of ulcers

Back

Tuberculosis

Front

Chronic infectious, inflammatory disorder most common in the lungs but can be found in most any organ of the body. (an infectious bacterial disease characterized by the growth of nodules (tubercles) in the tissues, especially the lungs.) TRANSMITTED BY INHALATION OF INFECTED DROPLETS Etiology: produced by MYOBACTERIUM, which can remain dormant in people for along time and randomly pop up. Has been showing up in the US over the last 15-20 years CONTAMINATED MILK can be how it is spread in other countries Signs & Symptoms: may be asymptomatic, early symptoms are VAGUE WEIGHT LOSS, cough, wheezing, heavy cough Diagnosis: tb skin test, lab tests, chest x ray- arrested TB is hard to penetrate Treatment: chemotherapy and oral meds MEDS GIVEN OVER 9-18 MONTH PERIOD May not be able to tell if its active or passive on x ray

Back

Respiratory diseases that are hard to penetrate

Front

Pulmonary edema Atelectasis (collapsed lung) Pneumonia Pleural effusion Bronchiectasis Arrested TB Pneumoconiosis (all kinds) Empyema (pus)

Back

Pneumothorax

Front

The presence of air in the pleural cavity. Can cause atelactasis Etiology- spontaneous pneumothorax is caused by the rupturing of small blebs on the surface of the lung. May also be secondary to other lung diseases such as asthma, lung cancer, chest trauma. Signs and symptoms- sudden sharp pain that's worse with cough and breathing. SOB, palor, weakness, rapid pulse, anxiety. Easy to penetrate on x-ray. Decrease exposure factors. Diagnosis- chest radiograph.LATERAL DECUBITUS IS OFTEN HELPFUL IN DETECTING SMALL PNEUMOTHORACES Treatment- spontaneous with less than 30% of the lung collapsed. Bed rest and monitor vital signs. Traumatic Pneumo- chest tube may need to be inserted. Spontaneous pneumos usually reoccur. Large pneumo can interfere with cardiac function Prognosis- generally good Prevention-spontaneous-should avoid extreme changes in atmospheric pressure

Back

Pneumoconiosis

Front

Pulmonary changes which take place following the inhalation of a variety of dusts and particulate matter. Etiology- silicosis: silica particles, asbestosis: inhaling asbestos fibers, berylliosis: exposure to beryllium dust, anthracosis or "coal miner's disease": inhalation of coal dust Includes several different diseases Depends on amount of dust & how long they've been exposed Signs & Symptoms: dyspnea and dry cough

Back