Section 1

Preview this deck

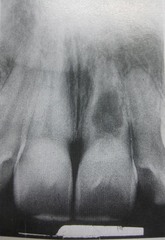
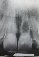
Scalloping around the root (radiographic terms used to describe lesions in bone)

Front

Star 0%
Star 0%
Star 0%
Star 0%
Star 0%

0.0

0 reviews

5
0
4
0
3
0
2
0
1
0

Active users

0

All-time users

0

Favorites

0

Last updated

6 years ago

Date created

Mar 1, 2020

Cards (34)

Section 1

(34 cards)

Scalloping around the root (radiographic terms used to describe lesions in bone)

Front

A radiolucent lesion that extends between the roots, as seen in a traumatic bone cyst; this lesion appears to extend up the periodontal ligament.

Back

Multilocular (radiographic terms used to describe lesions in bone)

Front

Describes a lesion that extends beyond the confines of one distinct area and is defined as many lobes or parts that are somewhat fused together, making up the entire lesion; a multiocular radiolucency is sometimes described as resembling soap bubbles; an odontogenic keratocyst often presents as multiocular, radiolucent lesion.

Back

Lobule ( Clinical Appearance of Soft Tissue Lesions)

Front

A segment or lobe that is part of the whole; these lobes sometimes appear fused together.

Back

Centimeter ( size of lesion)

Front

one- hundredth of a meter; equivalent to a little less than one-half inch. If a lesion is described as being 3cm in size it is really about one and one half inches.

Back

Macule ( Clinical Appearance of Soft Tissue Lesions)

Front

An area that is usually distinguished by a color different from that of the surrounding tissue; it is flat and does not protrude above the surface of the normal tissue. A freckle is an example of a macule.

Back

Nodule ( soft tissue consistency)

Front

A palpable solid lesion up to 1 cm in diameter found in soft tissue; it can occur above, level with, or beneath the skin surface.

Back

Well circumscribed (radiographic terms used to describe lesions in bone)

Front

Term used to describe a lesion with borders that are specifically defined and in which one can clearly see the exact margins and extent.

Back

Coalescense (radiographic terms used to describe lesions in bone)

Front

The process by which parts of a whole join together.

Back

Palpation ( Clinical Appearance of Soft Tissue Lesions)

Front

The evaluation of a lesion by feeling it with the fingers to determine the texture of the area; the descriptive terms for palpation are soft, firm, semifirm, and fluid filled; these terms also describe the consistency of a lesion.

Back

Radiolucent and radiopaque (radiographic terms used to describe lesions in bone)

Front

Terms used to describe a mixture of light and dark areas within a lesion, usually denoting a stage in the development of the lesion; for example in a stage I periapical cemento-osseous dysplasia (cementoma) the lesion is radiolucent; in stage II it is radiolucent and radiopaque.

Back

Papillary (surface texture)

Front

Resembling small, nipple-shaped projections or elevations found in clusters.

Back

Dyspnea

Front

Difficulty breathing

Back

Papule ( Clinical Appearance of Soft Tissue Lesions)

Front

A small circumscribed lesion usually less than 1 cm in diameter that is elevated or protrudes above the surface of normal surrounding tissue.

Back

Fissure (surface texture)

Front

A cleft or groove, normal or otherwise, showing prominent depth.

Back

Dysphagia

Front

Difficulty swallowing

Back

Erythema( color of lesion)

Front

An abnormal redness of the mucosa or gingiva.

Back

Pallor ( color of lesion)

Front

Paleness of the skin or mucosal tissues.

Back

Anomaly

Front

Something that deviates from what is standard or normal.

Back

Sessile ( Clinical Appearance of Soft Tissue Lesions)

Front

Describing the base of a lesion that is flat or broad instead of stemlike.

Back

Corrugated (surface texture)

Front

Wrinkled

Back

Colors ( color of lesion)

Front

Red, pink, salmon, white, blue-black, gray, brown, and blck are the words used most frequently to describe the colors of oral lesions; they can be used to identify specific lesions and may also be incorporated into general descriptions.

Back

Erythroplakia ( color of lesion)

Front

A clinical term used to describe an oral mucosal lesion that appears as a smooth red patch or granular red and velvety patch.

Back

Radiopaque (radiographic terms used to describe lesions in bone)

Front

Describes the light or white area on a radiograph that results from the inability of radiant energy to pass through the structure; the denser the structure, the lighter or whiter it appears on the radiograph.

Back

Millimeter( size of lesion)

Front

One-thousandth of a meter. The periodontal probe is of great assistance in documenting the size or diameter of a lesion that can be measured in millimeters.

Back

pedunculated ( Clinical Appearance of Soft Tissue Lesions)

Front

attached by a stemlike or stalklike base similar to that of a mushroom

Back

pustules ( Clinical Appearance of Soft Tissue Lesions)

Front

Variously sized circumscribed elevations containing pus.

Back

Leukoplakia( color of lesion)

Front

A clinical term for a white plaquelike lesion on the oral mucosa that cannot be rubbed off or diagnosed as a specific disease.

Back

Diffuse (radiographic terms used to describe lesions in bone)

Front

Describes a lesion with borders that are not well defined, making it impossible to detect the exact parameters of the lesion; this may make treatment more difficult and, depending on the biopsy results, more radical.

Back

Dysphonia

Front

Difficulty speaking

Back

Smooth, rough, folded (surface texture)

Front

Terms used to describe the surface texture of a lesion.

Back

Bulla ( Clinical Appearance of Soft Tissue Lesions)

Front

A circumscribed,elevated lesion that is more than 5mm in diameter, usually contains serous fluid and looks like a blister.

Back

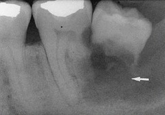
Root resorption (radiographic terms used to describe lesions in bone)

Front

Observed radiographically when the apex of the tooth appears shortened or blunted and irregularly shaped; occurs as a respons to simuli, which can include a cyst, tumor, or trauma.

Back

Unilocular (radiographic terms used to describe lesions in bone)

Front

Having one compartment or unit that is well defined or outlined, as in a simple radicular cyst.

Back

Radiolucent (radiographic terms used to describe lesions in bone)

Front

Describes the black or dark areas on a radiograph; radiant energy can pass through these structures; less dense tissue such as the pulp is seen as a radiolucent structure.

Back