Section 1

Preview this deck

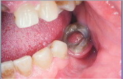
Ulcerative lesion caused by trauma like biting and vigorous brushing a)aphthous ulcer b) traumatic ulcer c)necrotizing ulcerative gingivitis (NUG/NUP)

Front

Star 0%
Star 0%
Star 0%
Star 0%
Star 0%

0.0

0 reviews

5
0
4
0
3
0
2
0
1
0

Active users

1

All-time users

1

Favorites

0

Last updated

1 year ago

Date created

Mar 1, 2020

Cards (54)

Section 1

(50 cards)

Ulcerative lesion caused by trauma like biting and vigorous brushing a)aphthous ulcer b) traumatic ulcer c)necrotizing ulcerative gingivitis (NUG/NUP)

Front

Traumatic ulcer- heals in 7 to 14 days

Back

Short lingual frenum that limits tongue movement and affects speech

Front

Ankyloglossia (tongue-tied)

Back

Depression on the mandible at the inferior alveolar canal- submandibular gland a)Ranula b)Pleomorphic adenoma c)epidemic parotitis (mumps) d)Stafne's bone cyst

Front

Stafne's bone cyst

Back

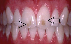
Staining that may occur from enlarged pulp chamber or trauma (darkened dentin)

Front

Intrinsic stain- endogenous ex. tetracyline stain

Back

Staining that occurs from environmental factors such as tobacco use, wine, grape juice

Front

Extrinsic stain- exogenous

Back

Calcification within salivary gland or duct. What is the most common site?

Front

Sialolithiasis or salivary stones -most common site is Wharton's duct

Back

most common tooth to have microdontia

Front

maxillary lateral incisor- peg lateral

Back

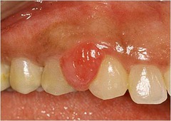
"pregnancy tumor" a)gingival hyperplasia b)papillary hyperplasia of the palate c)epulis fissuratum d)pyogenic granuloma

Front

pyogenic granuloma- granulation tissue in response to local irritant

Back

Intraoral sebaceous glands that appear as small yellow nodules of buccal mucosa

Front

Fordyce's granules

Back

Bluish pink fluid filled nodule on lower lip caused by severance of the salivary gland a)Mucocele b)Pleomorphic adenoma c)epidemic parotitis (mumps) d)Ranula

Front

Mucocele

Back

Herpes simplex 1

Front

-Oral herpes

Back

Which virus is the causative organism for Epstein-Barr virus (EBV)

Front

Herpes virus

Back

Milky white lesions of buccal mucosa that disappear when stretched; more prominent in dark skin individuals a)leukoplakia b)leukoedema c)pseudomembranous candidiasis d)candida albicans e)nicotinic stomatitis

Front

Leukoedema

Back

Oligodontia

Front

- Congenitally missing 6 or more teeth

Back

Herpes simplex virus 2

Front

Genital herpes

Back

Inflamed pulp tissue within a tooth that is severely decayed or has a large open caries lesion a)gingival hyperplasia b)papillary hyperplasia of the palate c)epulis fissuratum d)chronic hyperplastic pulpitis-pulp polyp

Front

Chronic Hyperplastic Pulpitis- pulp polyp

Back

Developmental vascular lesion most commonly found on tongue a) pleomorphic adenoma b)hemangioma c)fibroma d)Papilloma

Front

Hemangioma -greater incidence in females

Back

most common teeth to have dens in dente

Front

maxillary lateral incisor

Back

Which B vitamin deficiency causes a lesion with similar appearance with angular cheilitis?

Front

Vitamin B2- riboflavin

Back

A form of thrush that appears reddened, associated with HIV/AIDS clients

Front

Erythematous candidiasis

Back

Varicella Zoster Virus

Front

chicken pox and shingles

Back

Turner's tooth

Front

Hypocalcified permanent tooth

Back

The developmental tooth condition that is identified by an enlarged root body and lack of constriction at the CEJ- more common in down syndrome patients

Front

Taurodontism- aka "bull tooth"

Back

Asymptomatic tongue lesion that shows areas of erythema surrounded by a raised white border

Front

Geographic tongue -aka erythema migrans, benign migratory glossitis

Back

Elongation of the filiform papillae can be caused by heavy smoking, antibiotic therapy, and/or poor oral hygiene

Front

Hairy tongue

Back

A grey, blue-black flat lesion on buccal mucosa- also known ask focal argyrosis

Front

Amalgam tattoo

Back

a benign pigmented lesion of oral cavity characterized by increase in melanin pigmentation a)ecchymosis b)melanotic macule c)melanoma d)petechia

Front

melanotic macule

Back

Virus transmitted through saliva or respiratory secretions that causes bilateral parotid enlargement and flu-like symptoms a)Mucocele b)Pleomorphic adenoma c)epidemic parotitis (mumps) d)Ranula

Front

Mumps or epidemic parotitis

Back

Fibroma around denture flange, caused by ill- fitting denture a)gingival hyperplasia b)papillary hyperplasia of the palate c)epulis fissuratum d)chronic hyperplastic pulpitis-pulp polyp

Front

Epulis fissuratum (inflammatory fibrous hyperplasia

Back

Enlarged tongue caused by excessive growth hormone, common in down syndrome patients

Front

Macroglossia

Back

Hyperkeratotic line of buccal mucosa along occlusal plane

Front

Linea alba

Back

Most common fungal infection that can have several different presentations. Can be caused from dentures, steroid inhalers, antibiotic therapy, HIV+, uncontrolled diabetes a)leukoplakia b)leukoedema c)pseudomembranous candidiasis d)candida albicans e)nicotinic stomatitis

Front

Candida albicans

Back

Recurring and painful, well-circumscribed lesion with an erythematous halo, located on unattached mucosa a)aphthous ulcer b) traumatic ulcer c)necrotizing ulcerative gingivitis (NUG/NUP)

Front

Aphthous ulcer -stress, acid or trauma induced

Back

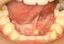
Fluid filled nodule on the floor of the mouth, usually associated with sublingual gland. Known as the "mucocele of the floor of the mouth"

Front

Ranula

Back

Reddened atrophic area at midline of the tongue on the dorsal surface, often associated with candida albicans

Front

Median Rhomboid Glossitis or Central papillary atrophy

Back

Wart caused by human papilloma virus

Front

Verruca vulgaris

Back

White plaques that wipe off but leave painful red patches a)leukoplakia b)leukoedema c)pseudomembranous candidiasis d)candida albicans e)nicotinic stomatitis

Front

Pseudomembranous candidiasis aka thrush

Back

Concrescence

Front

teeth are joined at the cementum -mostly 2nd and 3rd molars are affected

Back

Fissures and grooves on the dorsal surface of the tongue, common in down syndrome patients

Front

Fissured tongue -aka furrowed tongue, scrotal tongue

Back

Term that means complete absence of teeth

Front

anodontia

Back

white patches on oral mucosa that can NOT be wiped off a)leukoplakia b)leukoedema c)pseudomembranous candidiasis d)candida albicans e)nicotinic stomatitis

Front

Leukoplakia

Back

A hyperkerototic wrinkled appearance to the hard palate with scattered red dots due to inflamed minor salivary glands a)leukoplakia b)leukoedema c)pseudomembranous candidiasis d)candida albicans e)nicotinic stomatitis

Front

Nicotinic stomatitis - "smokers palate"

Back

Punched-out blunted papillae generally caused by fusiform bacillus and spirochete a)aphthous ulcer b) traumatic ulcer c)necrotizing ulcerative gingivitis (NUG/NUP)

Front

Necrotizing ulcerative gingivitis- associated with decreased resistance to infection

Back

Multinucleated giant cells, very vascular causing deep reddish color- clinical appearance similar to pyogenic granuloma a)gingival hyperplasia b)papillary hyperplasia of the palate c)peripheral giant cell granuloma d)chronic hyperplastic pulpitis-pulp polyp

Front

peripheral giant cell granuloma

Back

What is the most common tumor of the oral cavity? a) pleomorphic adenoma b)hemangioma c)fibroma

Front

Fibroma- hyperplastic tissue in response to irritation, usually painless

Back

Which tooth development condition is classified by opalescent dentin

Front

Dentinogenesis imperfecta: inherited dentin disorder

Back

Epstein-Barr virus (EBV)

Front

-member of the herpes virus family -mononucleosis infection -oral hairy leukoplakia -droplet transmission

Back

Most common supernumerary teeth

Front

1) mesiodens: between 8 and 9 2) maxillary fourth molar

Back

most common, benign tumor of the salivary glands, parotid gland is the most common location a)Mucocele b)Pleomorphic adenoma c)epidemic parotitis (mumps) d)Ranula

Front

Pleomorphic adenoma- mixed tumor

Back

Cauliflower-like, peculated-stalked lesion found in soft palate and uvula caused by HPV a) pleomorphic adenoma b)hemangioma c)fibroma d)Papilloma

Front

Papilloma

Back

Section 2

(4 cards)

Recurrent and painful HSV infection of the fingers a)kaposi's sarcoma b)herpangina c)hand-foot & mouth d)herpetic whitlow

Front

Herpetic whitlow

Back

Vesicles or ulcera of posterior oral cavity or soft palate, flu-like symptoms a)Kaposi's sarcoma b)herpangina c)hand-foot & mouth d)herpetic whitlow

Front

Herpangina (coxsackie virus)

Back

Ulcerations of feet, mouth and hands with flu-like symptoms a)Kaposi's sarcoma b)herpangina c)hand-foot & mouth d)herpetic whitlow

Front

Hand foot and moth (coxsackie virus) prevalent in young children

Back

A virus associtated with AIDS that presents with multiple bluish-purple and white macules and plaques a)Kaposi's sarcoma b)herpangina c)hand-foot & mouth d)herpetic whitlow

Front

Kaposi's sarcoma - HHV8

Back