Section 1

Preview this deck

sialadenitis

Front

Star 0%
Star 0%
Star 0%
Star 0%
Star 0%

0.0

0 reviews

5
0
4
0
3
0
2
0
1
0

Active users

1

All-time users

1

Favorites

0

Last updated

1 year ago

Date created

Mar 14, 2020

Cards (241)

Section 1

(50 cards)

sialadenitis

Front

-Painful swelling of the gland -cause: infection, obstruction of salivary

Back

sialolith

Front

-obstruction in the gland hard nodule in soft tissue at a salivary gland -calcification of material -can be seen radiographically

Back

cocaine use

Front

-painful erythema and ulceration and necrotic ulcers -midpalatal and site of contact

Back

traumatic neuroma

Front

-painful submucosal nodule -injury to peripheral nerve -mass of nerve cells -surgical removal

Back

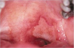
necrotizing sialometaplasia

Front

-moderately painful swelling and ulceration, acute onset -most common at the junction of the hard and soft palate -necrosis of salivary gland -cause:compromised blood supply

Back

mucocele

Front

-localized tissue swelling that increases and decreases in size most commonly on lower lip -severed salivary gland duct -mucous filled

Back

papillary hyperplasia of the palate

Front

-mucosa surfaced by multiple erythematous papillary projections on hard palate -cause: constant wearing of maxillary prosthesis

Back

radicular cyst

Front

-asymptomatic radiolucency associated with the root of a NONVITAL tooth

Back

mandibular tori

Front

-exophytic growth of normal compact bone -genetic

Back

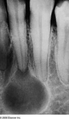
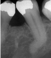
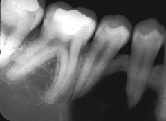
periapical abscess

Front

-Pain, swelling, fistula, slight extrusion of tooth at root -radiographically thickening of PDL and periapical radiolucency ACUTE

Back

amalgam tattoo

Front

-blueish grey macule most common on gingiva -may appear as opaque granules in radiograph

Back

smokeless tobacco associated keratosis

Front

-granular to white, wrinkled appearance at the site where tobacco is placed -hyperkeratosis and epithelial hyperplasia with possible epithelial atypia

Back

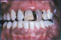
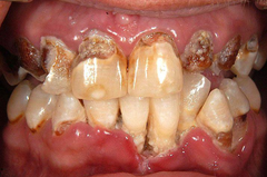
Meth mouth

Front

-generalized extensive destruction of tooth surface -meth use

Back

leukodema

Front

-African American -grey-white film the gives the mucosa an opalescent quality -less when stretched

Back

erosion

Front

-loss of tooth structure w/ smooth polished surface -cause: chemical action, bulemia

Back

retrocuspid papillae

Front

-red sessile nodule on the lingual gingiva of the mandibular cuspids

Back

torus palatinus

Front

-exophytic growth of normal compact bone -more common in females and native americans -genetic

Back

attrition

Front

-men more than women -flattening of incisal and occlusal tooth surfaces -cause: mastication and bruxism

Back

frictional keratosis

Front

-white mucosal surface (hyperkeratosis) -Cause: chronic friction

Back

melanosis

Front

-diffuse grayish brown color of areas on the gingiva -cause: smoking, trauma, postinflammatory

Back

Electric burn

Front

-tissue destruction

Back

periapical granuloma

Front

-asymptomatic, tooth sensitive to percussion, slight extrusion of tooth -radiographically: slight thickening PDL and periodontal radiolucency CHRONIC

Back

melanin pigmentation

Front

-variant of normal -brown-gray pigmented mucosa -most prominent in dark skin

Back

irritation fibroma

Front

-broad based pink exophytic lesion -cause: trauma

Back

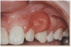
pyogenic granuloma

Front

-deep red-purple exophytic lesion, usually ulcerated most common on gingiva -ulcerated granulation tissue -cause: response to injury, puberty, pregnancy

Back

traumatic ulcer

Front

-painful, mucosal ulceration caused by trauma -ulcer w/ eosinophils present in inflammatory infiltrate

Back

nicotine stomatitis

Front

-white, opacification of the hard palatal mucosa with raised red dots -hyperkeratosis with inflamed minor salivary glands

Back

fordyce granules

Front

-most common buccal mucosa and lips -tiny, yellow lobules in clusters -ectopic sebaceous glands -variance of normal 80% have it

Back

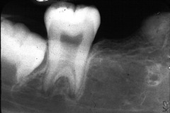
focal sclerosing osteomyelitis

Front

-asymptomatic, bone adjacent to any tooth radiopaque area below roots -Mandibular 1st molar most common

Back

hematoma

Front

-red to purple to blueish black mass lesion (size depends on extent of trauma) -most common sites buccal and labial mucosa

Back

thermal burn

Front

-painful erythema and superficial ulceration

Back

hairy tongue

Front

-elongated filaform papillae on the dorsal midposterior tongue (black, white, red) -unknown cause

Back

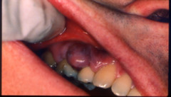
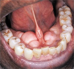
ranula

Front

-fluid filled swelling that increase and decreases in size floor of the mouth -larger than mucocele

Back

solar (actinic) cheilitis

Front

-indistinct, fissured skin-mucosal interface at the vermillion border -cause: sun exposure

Back

denture induced fibrous hyperplasia (epulis fissuatum)

Front

-elongated folds of exophytic tissue surrounding denture flange in the vestibule -ill fitting denture

Back

external resorption

Front

-blunting of root apex to severe loss of root substance

Back

fissured tongue

Front

-deep fissures or grooves on the dorsal tongue -unknown cause possibly genetic

Back

peripheral giant cell granuloma

Front

-deep red-purple lesion on gingiva -any age more frequent 40-60yrs more common women

Back

abraision

Front

-Loss of tooth structure at site of wear -cause:repetitive mechanical habit

Back

chronic hyperplastic pulpitis

Front

-Red or pink nodule protruding from the pulp chamber or a tooth with a large open carious lesion (usually molars)

Back

gingival enlagement

Front

-Increase in the bulk of the free and attached gingiva with no stippling and erythmatous to normal color generalized or localized

Back

Lingual vericosities

Front

-red to purple enlarged blood vessels on the ventral and lateral surfaces of the tongue

Back

geographic tongue

Front

-erythematous, depapillated areas with white borders occaisional complaint of burning tongue -dorsal and lateral surfaces -genetic associate w/ stress

Back

abfraction

Front

-wedge shaped notching at the cervical area of involved teeth -cause: Biochemical forces on teeth

Back

internal resorption

Front

-round to ovoid radiolucency in the central part of the tooth -chronic inflammation -may see pinkish hue to crown if it is involved

Back

median rhomboid glossitis

Front

-flat or slightly raised erythemtous, rectangular, area anterior to the circumvallate papillae -midline of dorsal tongue -cause unknown sometimes associated with Candida

Back

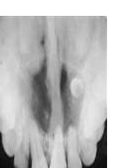
residual cyst

Front

-radiolucency at the site of EXTRACTION -radicular cyst not removed when EXT

Back

linea alba

Front

anterior-posterior white line on buccal mucosa at occlusal plane

Back

lingual thyroid nodule

Front

-women more than men -exophytic mass at the midline of the dorsal tongue posterior to the circumvallate papilla -developmental thyroid tissue trapped in tongue

Back

Chemical burn

Front

-painful ulcer with necrotic surface

Back

Section 2

(50 cards)

Langerhans cell histocytosis (Langerhans cell disease)

Front

Erthematous lesions unclear cause

Back

erythema multiforme

Front

"Bullseye" -target lesions -explosive onset -young adults men more than women -unclear cause

Back

infectious mononucleosis

Front

Back

NUG

Front

-Borrelia vincentii plus fusiform bacillus -painful, erythematous gingivitis w/ necrosis and cratering of the interdental papillae, foul odor and metallic taste possible fever and lymphadenopathy

Back

pemphigus vulgaris

Front

POSITIVE NIKOLSKY SIGN -progressive involvement of mucous membranes and skin, oral lesions, painful, erythema, vesicles, bullae, erosions

Back

Steven Johnson syndrome

Front

severe form of erythema multiform -drug related

Back

contact mucositis

Front

-smooth, shiny, firm mucosa with erythema and edema -may form vesicles with itching and burning -mucosa in contact w/ allergen

Back

hand foot and mouth

Front

Back

herpetiform aphthous ulcer

Front

-painful, small 1-2mm ulcers, often occur in groups and resolve spontaneously

Back

herpangina

Front

Back

acute osteomyelitis

Front

-bone less than 1 week

Back

bullous pemphigoid

Front

-Oral lesions as cicatricial pemphigoid but less common -80% over 60

Back

Bechet syndrome

Front

-aphthous-like ulcers -30yrs old

Back

fixed drug eruptions

Front

-type 3 hypersensitivity -lesions appear in same spot when drug is present go away when gone

Back

herpes zoster

Front

Back

major aphthous ulcer

Front

-painful, larger than 1cm often deep may last several weeks and scar when healing -unclear possible immuno link

Back

verruca vulgaris

Front

Back

syphilis

Front

-Treponema pallidum -Primary: chancre Secondary: mucous patches (most contageous) tertiary: gumma

Back

contact dermatitis

Front

-Erythema, swelling vesicles to encrusted, scaly white appearance -skin in contact with allergen

Back

angioedema

Front

-diffuse swelling of tissue usually no itching skin or mucosa -type 1 hypersensitivity

Back

Lichen planus

Front

-Wickham striae -erosive and plaque-like lesions may occur with desquamative gingivitis -middle age women over men -cause unknown

Back

recurrent herpes simplex infection

Front

Back

acute disseminated form (Letterer-Siwe disease)

Front

Back

chronic disseminated multifocal form (Hand-Schuller-Christian disease)

Front

-CLASSIC TRIAD: skull radiolucencies, exopthalmos, diabetes insipidus -Oral: sore mouth with or without ulceration, halitosis, gingivitis, unpleasant taste, loose/sore teeth -children under 5

Back

chronic osteomyelitis

Front

-involved bone is painful with swelling -irregular radiolucency

Back

HIV/ AIDS

Front

Back

actinomycosis

Front

-Actinomyces israelii -draining abscesses with SULFUR GRANULES in the pus

Back

oral candidiasis

Front

Back

measles

Front

Back

commisural lip pits

Front

-tiny blind tracts are present at the corner of the lips

Back

Tonsilitis and Pharyngitis

Front

-Staphylococcus pyogens and other bacteria and virus -Enlarged tonsils mucosal erythema

Back

chickenpox

Front

Back

TB

Front

-Mycobacterium tuberculosis -oral lesions: (rare) painful nonhealing, slowly enlarging, deep or supeficial ulcers -most common tongue

Back

Solitary (chronic) localized form (eosinophilic granuloma)

Front

-

Back

primary herpetic gingivostomatitis

Front

Back

condyloma acuminatum

Front

Back

lingual thyroid

Front

-smooth nodular mass of tissue at the midline posterior to the circumvallate papillae -asymptomatic or cause feeling of fullness or difficulty swallowing

Back

multifocal epithelial hyperplasia

Front

Back

Impetigo

Front

-Staphylococcus aureus or occasionally Staphylococcus pyogens -children -Vesicles or crusted lesions

Back

pericornitis

Front

-Erythematous, painful, swollen tissue around the crown of a partially erupted tooth

Back

mumps

Front

Back

ankyloglossia

Front

-complete or partial fusion of the lingual frenum of tongue to floor of mouth

Back

aveolar osteitis (dry socket)

Front

-pain develops several days after EXT -dislodged clot

Back

acute lymphonodular pharyngitis

Front

Back

systemic lupus erythmatosus

Front

BUTTERFLY RASH -oral lesions, erythematous plaques or erosions, white striations radiating from center of the lesion -women more than men african american more than white -autoimmune

Back

Sjogren syndrome

Front

-2 types primary and secondary -dry eye, dry mouth -autoimmune

Back

mucous membrane pemphigoid

Front

-Oral lesions, desquamative gingivitis, bullae, erosions, ulcers, lesions heal with scarring -gingiva and eyes -adults

Back

minor aphthous ulcer

Front

-Painful, discrete, round to oval, yellowish white ulcers w/ halo of erythemia up to 1cm spontaneous healing in 7-10days on oral mucosa not covering bone -anterior more than posterior -woman more than men younger more than old -trauma

Back

uticaria

Front

-type 1 hypersensitivity rxn usually -multiple areas of well demarcated swelling accompanied by itching

Back

reactive arthritis (Reiter syndrome)

Front

-TRIAD: arthritis, urethritis, conjunctivitis -skin lesions oral lesions apthouslike ulces, lesions resembling geographic tongue -abnormal immunologic response to infectious agent or genetic influence

Back

Section 3

(50 cards)

impacted teeth

Front

-Teeth dont erupt

Back

Papillion-Lefevre

Front

-Genetic -tooth mobility, pockets,PALMOPLANTAR HYPERKERATOSIS -profuse inflammatory infiltrate of soft dental tissues

Back

thyroglossal tract cyst

Front

-diagnosed around 20yrs -if below the hyoid bulge or swelling in the midline of the neck -thyroid tissue inside

Back

concrescence

Front

roots of adjacent teeth connected by cementum

Back

dilaceration

Front

sharp bend in tooth root

Back

supernumerary teeth

Front

presence or one or more extra teeth

Back

Cyclic neutropenia

Front

-genetic -gingivitis, perio, ulcers, hemorrhage -diminished neutrophils in peripheral blood

Back

regional odontodysplasia

Front

-"GHOSTLIKE APPEARANCE" on radiograph -affect teeth wont erupt or have delayed eruption -maxilla>mandible

Back

enamel hypoplasia

Front

-crowns have one or more rows of tiny pits and stains

Back

epidermal cyst

Front

-localized firm moveable swelling on skin of face or neck HAIR FOLLICLE

Back

nasolabial cyst

Front

-women>men 40-50yr old -expansion or swelling in the nasolabial fold area or in mucolabial fold area

Back

macrodontia

Front

tooth larger than normal

Back

taurodontism

Front

pulp chamber is large and elongated

Back

enamel hypocalcification

Front

-crowns may have pitting, grooves, or staining chalk white spots on middle -trauma to enamel during maturation phase

Back

Cat cry syndrome

Front

-depletion 5p -catlike cry, severe mental retardation

Back

enamel pearl

Front

small sphere of enamel on root surface

Back

mesiodens

Front

MOST COMMON EXTRA TOOTH -extra tooth seen at the midline of the anterior maxilla

Back

anodontia

Front

absence of all primary or perm. teeth

Back

distomolar

Front

SECOND MOST COMMON EXTRA TOOTH -distal to third molar

Back

trisomy 13

Front

-extra chromosome 13 -bilateral cleft lip and palate, polydactyly, microphthalmia

Back

talon cusp

Front

accessory cusp on lingual of incisor

Back

Klinefelter

Front

-one extra X chromosome in men -tall stature, gynecomastia, hypoplastic mandible

Back

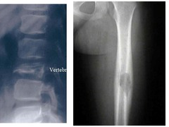
simple bone cyst (traumatic bone cyst)

Front

-USUALLY ASYMPTOMATIC -teenage and young adults occasionally enlargement of bone in mandible

Back

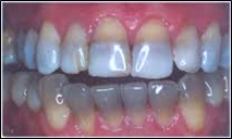
endogenous staining

Front

-w/ tetracycline appears grey/silver

Back

Cyst

Front

abnormal, pathologic sac or cavity lined by epithelium and surrounded by fibrous connective tissue.

Back

eruption cyst

Front

-children -swelling at the site of eruption

Back

fusion

Front

single crown with separate or fused roots

Back

dens in dente

Front

enamel invagination noted within the crown of the tooth

Back

lateral periodontal cyst (uni) botryoid cyst (multi)

Front

-50-60yrs men>women -lateral aspect of tooth root -most common mandibular cuspid premolar area -lined by nonkeratin. squamous epithelium that may have focal thickening

Back

glandular odontogenic cyst

Front

-40-50yrs -may cause enlargement of bone unilocular or multilocular radiolucency -most common anterior maxilla or posterior mandible

Back

odontogenic keratocyst

Front

-20-30yrs old -well defined, usually multilocular radiolucency -when large may cause buccal swelling - posterior mandible most common site -lined by parakeratotic squamous epithelium *8-10 CELLS THICK

Back

dermoid cyst

Front

-present at birth -if large can displace tongue -dough-like consist. on anterior floor of mouth

Back

dens envaginatus

Front

accessory enamel cusp seen on occlusal surface

Back

aneurysmal bone cyst

Front

-expansion of involved bone -multilocular HONEYCOMB OR SOAPBUBBLE radiolucency posterior maxilla and mandible -age<30 women>men

Back

cervical lymphoepithelial cyst

Front

-branchial cyst appears as bulbous area on the lateral neck (anterior border of sternocleidomastoid muscle) -intraoral: pink-yellow well delineated raised nodule (lateral border of posterior tongue/floor of mouth) *LYMPHOID TISSUE ENCLOSED

Back

ankylosed teeth

Front

-No PDL -connected straight to bone

Back

dentigerous cyst

Front

-young adult -well defined unilocular radiolucency around crown of unerupted impacted or developing tooth

Back

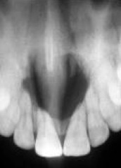
nasopalatine canal cyst

Front

-40-60yr men>women -asymptomatic pink bulge at the incisive papillae area well circumscribed radiolucency between the maxillary central incisors -HEART SHAPED

Back

hypodontia

Front

absence of 1 or more teeth most common (in order) max 3rd mand 3rd max lat incis. mand 2nd premolar

Back

Turner syndrome

Front

-one X chromosome missing in women -short stature, webbing of neck, edema of hands

Back

trisomy 21

Front

-extra chromosome 21 -slanted eyes, gingivoperiodontitis, fissured tongue, hypodontia

Back

gingival cyst

Front

-50-60yrs -bulge or swelling or attached gingiva or interdental papillae -soft tissue of mandibular cuspid premolar area -lined by nonkeratin. squamous epithelium that may have focal thickening

Back

median mandibular cyst

Front

-Asymptomatic-very large may cause expansion of lingual aspect of mandible -well circumscribed radiolucency below the apicies of the mandibular incisors

Back

globulomaxillary cyst

Front

-asymptomatic, pear shaped radiolucency -between maxillary lateral incisor cuspid

Back

static bone cyst (Stafne)

Front

-asymptomatic, anterior to the angle of the ramus inferior to the mandibular canal -well circumscribed radiolucency in the mandible below mandibular canal -PSEUDOCYST W/ NORMAL SALIVARY GLAND TISSUE

Back

supernumerary roots

Front

extra root most common: mandibular

Back

median palatine canal cyst

Front

-large swelling at midline or hard palate -unilocular radiolucency

Back

microdontia

Front

tooth smaller than normal

Back

gemination

Front

common root with bifid crown

Back

primordial cyst

Front

-young adults -well defined radiolucency develops in place of a tooth -mandibular 3rd most common

Back

Section 4

(50 cards)

Amelogenesis imperfecta: snow capped (hypomaturation)

Front

Back

mucoepidermoid carcinoma

Front

-F>M -asymptomatic swelling or mass associated with the parotid -most common intraoral: palate or central in mandible

Back

adenomatoid odontogenic tumor

Front

Back

Amelogenesis imperfecta: hypocalcified type

Front

Back

hypohidrodic ectodermal dysplasia

Front

Back

lipoma

Front

Back

Amelogenesis imperfecta: hypomaturation type

Front

Back

pleomorphic adenoma

Front

->40yrs F>M -non-ulcerated, dome-shaped parotid gland -Most common intraoral:palate

Back

Laband syndrome

Front

-marked gingival hyperplasia, abnormal nails, short fingers and toes -increase collagen in affected gingiva

Back

benign cementoblastoma

Front

Back

ameloblastic firoma

Front

Back

neurofibromatosis of von Recklinghausen

Front

Back

calcifying odontogenic cyst

Front

Back

focal palmoplantar and gingival hyperkeratosis

Front

-Keratosis of gingiva, palms and soles

Back

hypophosphatasia

Front

Back

Mandibulofacial dysostosis

Front

Back

Amelogenesis imperfecta: pitted hypoplastic

Front

Back

coronal dentin dysplasia

Front

Back

monomorphic adenoma

Front

-f>m -smooth surfaced mass on upper lip, buccal mucosa, Warthin tumor:parotid -Encapsulated epithelial tumor

Back

Gardner syndrome

Front

-Multiple osteomas, colon polyps, adenocarcinoma -odontomas and osteomas in jaws

Back

ameloblastoma

Front

-slow growing expansion of the bone -intraosseous peripheral tumors may occur, mand>max; post>ant

Back

Papilloma

Front

-Exophytic fingerlike projections on the soft palate or tongue -low risk HPV

Back

neurofibroma/ schwannoma

Front

Back

odontogenic myxoma

Front

Back

Peutz-Jeghers syndrome

Front

Back

Cherubism

Front

-Bilateral enlargement of face -multiple bilateral radiolucencies of the mandibular ramus -multinucleated giant cells in loose connective tissue

Back

radicular dentin dysplasia

Front

Back

central cementifying and ossifying fibromas

Front

Back

Ellis-Van Crevald syndrome

Front

-Absent upper vestibule, serrated lower alveolar ridge, polydactyly -Thinning enamel radiographically

Back

hypophosphatemic vitamin-D resistant rickets

Front

Back

peripheral ossifying fibroma

Front

Back

Dentinogenesis imperfecta

Front

Back

Basal cell carcinoma

Front

->40yrs M=F whites -nonhealing ulcer; rolled borders on skin of face -neoplastic and associated w/ sun

Back

White sponge nevus

Front

Back

hereditary hemorrhagic telangiectasia

Front

Back

congenital epulis

Front

Back

Verrucous carcinoma

Front

->55yrs old M>F -slow growing exophytic mass;papillary projections -most common: vestibule, buccal mucosa

Back

odontoma

Front

Back

Epithelial dysplasia

Front

-White, erythematous or mixed white and erythmatous mucosal lesion most common on the floor of the mouth and tongue -premalignant - smoking considered a risk factor

Back

granular cell tumor

Front

Back

multiple mucosal neuroma syndrome

Front

Back

Gingival fibromatosis, hypertrichosis, epilepsy, and mental retardation syndrome

Front

-gingival hyperplasia, abundant body hair, epilepsy

Back

calcifying epithelial odontogenic tumor

Front

Back

osteogenesis imperfecta

Front

Back

Nevoid basal cell carcinoma syndrome

Front

Back

Cleidocranial dysplasia

Front

-Supernumerary teeth, absent clavicles, open fontanelles -multiple impacted teeth

Back

Squamous cell carcinoma

Front

-exophytic mass, ulcerated leukoplakia, erythroplakia -most common floor of the mouth, tongue and lips - >40yr m>f

Back

Gingival fibromatosis with multiple hyaline fibromas

Front

-Gingival hyperplasia, hypertrophy of nails, multiple tumors -hyaline fibromas

Back

adenoid cystic carcinoma

Front

-F>M -Mass, often painful, surface may be ulcerated associated with the parotid -most common oral: palate

Back

ameloblastic fibro-odontoma

Front

Back

Section 5

(41 cards)

Kaposi sarcoma

Front

Back

Pernicious anemia

Front

Back

Polycythemia

Front

Back

hemangioma

Front

Back

hypothyroidism

Front

Back

rhabdomyosarcoma

Front

Back

Folic acid and b12 deficiencies

Front

Back

Iron deficiency anemia

Front

Back

Addison disease

Front

Back

focal cemento-osseous dysplasia

Front

-30-50yrs F>M White -asymptomatic, well defined radiopacity-radiolucency in posterior mandible -fibrous connective tissue w/ round globular calcifications

Back

multiple myeloma

Front

Back

hemophilia

Front

Back

chondrosarcoma

Front

Back

hyperparathyroidism

Front

Back

Osteomalacia

Front

Back

osteoma

Front

Back

bisphosphonate- associated osteonecrosis

Front

Back

malignant melanoma

Front

Back

Graves Disease

Front

Back

osteosarcoma

Front

Back

thrombocytopenia

Front

Back

Aneurysmal bone cyst

Front

Back

Central giant cell granuloma

Front

Back

Plummer-Vinson syndrome

Front

Back

Aplastic anemia

Front

Back

Hyperpituitarism

Front

Back

Sickle cell anemia

Front

Back

lymphangioma

Front

Back

periapical cemento-osseous dysplasia

Front

->30yr F>M more common African decent -asymptomatic;vital teeth of the anterior mandible -benign fibro-osseous lesion

Back

celiac disease

Front

Back

lymphoma

Front

Back

diabetes mellitus

Front

Back

malanocytic nevi

Front

Back

Paget disease

Front

Back

metastatic tumors

Front

Back

fibrous dysplasia

Front

Back

florid cemento-osseous dysplasia

Front

->40yrs F>M more common African decent -Asymptomatic, multiple areas of radiolucency

Back

leukemia

Front

Back

cyclic neutropenia

Front

Back

Thalassemia

Front

Back

Agranulocytosis

Front

Back